18F-FDG PET/CT评价转移性原发性甲状腺肉瘤1例。

IF 0.5 Q4 RADIOLOGY, NUCLEAR MEDICINE & MEDICAL IMAGING
Indian Journal of Nuclear Medicine Pub Date : 2025-03-01 Epub Date: 2025-06-27 DOI:10.4103/ijnm.ijnm_147_24
Archana Yadav, A V S Anil Kumar, Vempa Satish, Kritika Dewan
{"title":"18F-FDG PET/CT评价转移性原发性甲状腺肉瘤1例。","authors":"Archana Yadav, A V S Anil Kumar, Vempa Satish, Kritika Dewan","doi":"10.4103/ijnm.ijnm_147_24","DOIUrl":null,"url":null,"abstract":"<p><p>Among the thyroid malignancies, primary thyroid sarcomas are very rare, comprising < 1% of all thyroid malignancies. Sarcoma, in particular spindle cell sarcomas of the thyroid gland, is very rare and aggressive which carries poor prognosis. Very little has been published regarding imaging findings and metastatic patterns of this rare entity. We report a case of metastatic spindle cell sarcoma of the thyroid presenting with hoarseness of voice and anterior neck swelling. Subsequent fluorine-18-fluorodeoxyglucose positron emission tomography/computed tomography (<sup>18</sup>F-FDG PET/CT) imaging demonstrated a fluorine-18-FDG avid mass lesion in the left lobe of the thyroid, along with FDG avid cervical lymph nodes and multiple FDG avid nodules of varying sizes in the bilateral lung fields. <sup>18</sup>F-FDG PET/CT proved invaluable in accurately staging this rare case of metastatic high-grade sarcoma originating from the thyroid.</p>","PeriodicalId":45830,"journal":{"name":"Indian Journal of Nuclear Medicine","volume":"40 2","pages":"95-98"},"PeriodicalIF":0.5000,"publicationDate":"2025-03-01","publicationTypes":"Journal Article","fieldsOfStudy":null,"isOpenAccess":false,"openAccessPdf":"https://www.ncbi.nlm.nih.gov/pmc/articles/PMC12303213/pdf/","citationCount":"0","resultStr":"{\"title\":\"A Case Report of Metastatic Primary Thyroid Sarcoma Evaluated by <sup>18</sup>F-FDG PET/CT.\",\"authors\":\"Archana Yadav, A V S Anil Kumar, Vempa Satish, Kritika Dewan\",\"doi\":\"10.4103/ijnm.ijnm_147_24\",\"DOIUrl\":null,\"url\":null,\"abstract\":\"<p><p>Among the thyroid malignancies, primary thyroid sarcomas are very rare, comprising < 1% of all thyroid malignancies. Sarcoma, in particular spindle cell sarcomas of the thyroid gland, is very rare and aggressive which carries poor prognosis. Very little has been published regarding imaging findings and metastatic patterns of this rare entity. We report a case of metastatic spindle cell sarcoma of the thyroid presenting with hoarseness of voice and anterior neck swelling. Subsequent fluorine-18-fluorodeoxyglucose positron emission tomography/computed tomography (<sup>18</sup>F-FDG PET/CT) imaging demonstrated a fluorine-18-FDG avid mass lesion in the left lobe of the thyroid, along with FDG avid cervical lymph nodes and multiple FDG avid nodules of varying sizes in the bilateral lung fields. <sup>18</sup>F-FDG PET/CT proved invaluable in accurately staging this rare case of metastatic high-grade sarcoma originating from the thyroid.</p>\",\"PeriodicalId\":45830,\"journal\":{\"name\":\"Indian Journal of Nuclear Medicine\",\"volume\":\"40 2\",\"pages\":\"95-98\"},\"PeriodicalIF\":0.5000,\"publicationDate\":\"2025-03-01\",\"publicationTypes\":\"Journal Article\",\"fieldsOfStudy\":null,\"isOpenAccess\":false,\"openAccessPdf\":\"https://www.ncbi.nlm.nih.gov/pmc/articles/PMC12303213/pdf/\",\"citationCount\":\"0\",\"resultStr\":null,\"platform\":\"Semanticscholar\",\"paperid\":null,\"PeriodicalName\":\"Indian Journal of Nuclear Medicine\",\"FirstCategoryId\":\"1085\",\"ListUrlMain\":\"https://doi.org/10.4103/ijnm.ijnm_147_24\",\"RegionNum\":0,\"RegionCategory\":null,\"ArticlePicture\":[],\"TitleCN\":null,\"AbstractTextCN\":null,\"PMCID\":null,\"EPubDate\":\"2025/6/27 0:00:00\",\"PubModel\":\"Epub\",\"JCR\":\"Q4\",\"JCRName\":\"RADIOLOGY, NUCLEAR MEDICINE & MEDICAL IMAGING\",\"Score\":null,\"Total\":0}","platform":"Semanticscholar","paperid":null,"PeriodicalName":"Indian Journal of Nuclear Medicine","FirstCategoryId":"1085","ListUrlMain":"https://doi.org/10.4103/ijnm.ijnm_147_24","RegionNum":0,"RegionCategory":null,"ArticlePicture":[],"TitleCN":null,"AbstractTextCN":null,"PMCID":null,"EPubDate":"2025/6/27 0:00:00","PubModel":"Epub","JCR":"Q4","JCRName":"RADIOLOGY, NUCLEAR MEDICINE & MEDICAL IMAGING","Score":null,"Total":0}
引用次数: 0

摘要

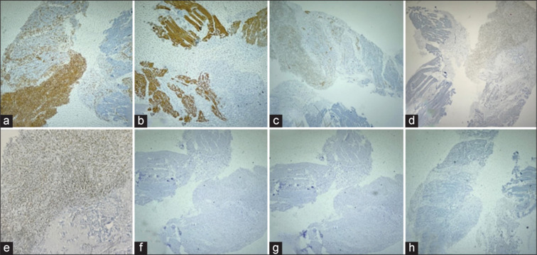
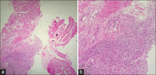
在甲状腺恶性肿瘤中,原发性甲状腺肉瘤非常罕见,占所有甲状腺恶性肿瘤的1%以下。肉瘤,尤其是甲状腺梭形细胞肉瘤,非常罕见且侵袭性强,预后差。很少有关于这种罕见肿瘤的影像学表现和转移模式的报道。我们报告一例转移性梭形细胞肉瘤的甲状腺表现为声音嘶哑和前颈部肿胀。随后的氟-18-氟脱氧葡萄糖正电子发射断层扫描/计算机断层扫描(18F-FDG PET/CT)成像显示甲状腺左叶氟-18-FDG密集肿块病变,伴FDG密集颈部淋巴结和双侧肺野多个不同大小的FDG密集结节。18F-FDG PET/CT对这一罕见的甲状腺转移性高级别肉瘤的准确分期是非常宝贵的。
本文章由计算机程序翻译,如有差异,请以英文原文为准。

A Case Report of Metastatic Primary Thyroid Sarcoma Evaluated by <sup>18</sup>F-FDG PET/CT.

A Case Report of Metastatic Primary Thyroid Sarcoma Evaluated by <sup>18</sup>F-FDG PET/CT.

A Case Report of Metastatic Primary Thyroid Sarcoma Evaluated by <sup>18</sup>F-FDG PET/CT.

A Case Report of Metastatic Primary Thyroid Sarcoma Evaluated by 18F-FDG PET/CT.

Among the thyroid malignancies, primary thyroid sarcomas are very rare, comprising < 1% of all thyroid malignancies. Sarcoma, in particular spindle cell sarcomas of the thyroid gland, is very rare and aggressive which carries poor prognosis. Very little has been published regarding imaging findings and metastatic patterns of this rare entity. We report a case of metastatic spindle cell sarcoma of the thyroid presenting with hoarseness of voice and anterior neck swelling. Subsequent fluorine-18-fluorodeoxyglucose positron emission tomography/computed tomography (18F-FDG PET/CT) imaging demonstrated a fluorine-18-FDG avid mass lesion in the left lobe of the thyroid, along with FDG avid cervical lymph nodes and multiple FDG avid nodules of varying sizes in the bilateral lung fields. 18F-FDG PET/CT proved invaluable in accurately staging this rare case of metastatic high-grade sarcoma originating from the thyroid.

求助全文
通过发布文献求助,成功后即可免费获取论文全文。 去求助
来源期刊
Indian Journal of Nuclear Medicine
Indian Journal of Nuclear Medicine RADIOLOGY, NUCLEAR MEDICINE & MEDICAL IMAGING-
CiteScore
0.70
自引率
0.00%
发文量
46
×
引用
GB/T 7714-2015
复制
MLA
复制
APA
复制
导出至
BibTeX EndNote RefMan NoteFirst NoteExpress
×
提示
您的信息不完整,为了账户安全,请先补充。
现在去补充
×
提示
您因"违规操作"
具体请查看互助需知
我知道了
×
提示
确定
请完成安全验证×
copy
已复制链接
快去分享给好友吧!
我知道了
右上角分享
点击右上角分享
0
联系我们:info@booksci.cn Book学术提供免费学术资源搜索服务,方便国内外学者检索中英文文献。致力于提供最便捷和优质的服务体验。 Copyright © 2023 布克学术 All rights reserved.
京ICP备2023020795号-1
ghs 京公网安备 11010802042870号
Book学术文献互助
Book学术文献互助群
群 号:604180095
Book学术官方微信