复发性胶质母细胞瘤1例的68Ga-PSMA PET/CT。

IF 0.5 Q4 RADIOLOGY, NUCLEAR MEDICINE & MEDICAL IMAGING
Indian Journal of Nuclear Medicine Pub Date : 2025-03-01 Epub Date: 2025-06-27 DOI:10.4103/ijnm.ijnm_126_24
Arunachalam Raghupathi Vishnu, Nishikant Avinash Damle, Kunhi Parambath Haresh, Madhavi Tripathi, G B Priyanka
{"title":"复发性胶质母细胞瘤1例的68Ga-PSMA PET/CT。","authors":"Arunachalam Raghupathi Vishnu, Nishikant Avinash Damle, Kunhi Parambath Haresh, Madhavi Tripathi, G B Priyanka","doi":"10.4103/ijnm.ijnm_126_24","DOIUrl":null,"url":null,"abstract":"<p><p>Glioblastoma multiforme (GBM) is a high-grade brain tumor with a high recurrence rate. We present the case of a 57-year-old man with left frontal lobe GBM who was operated on and received radiation therapy in June 2023 and was referred for <sup>68</sup>Ga-PSMA 11 PET/CT with a clinical suspicion of recurrence. The scan showed intense tracer uptake in the left frontal lobe lesion with severe edema, which was consistent with recurrence. Our case underscores the role of <sup>68</sup>Ga PSMA 11 PET/CT imaging of suspected glioblastoma recurrence which is the initial step in GBM theranostics with PSMA.</p>","PeriodicalId":45830,"journal":{"name":"Indian Journal of Nuclear Medicine","volume":"40 2","pages":"115-116"},"PeriodicalIF":0.5000,"publicationDate":"2025-03-01","publicationTypes":"Journal Article","fieldsOfStudy":null,"isOpenAccess":false,"openAccessPdf":"https://www.ncbi.nlm.nih.gov/pmc/articles/PMC12303207/pdf/","citationCount":"0","resultStr":"{\"title\":\"<sup>68</sup>Ga-PSMA PET/CT in a case of recurrent Glioblastoma.\",\"authors\":\"Arunachalam Raghupathi Vishnu, Nishikant Avinash Damle, Kunhi Parambath Haresh, Madhavi Tripathi, G B Priyanka\",\"doi\":\"10.4103/ijnm.ijnm_126_24\",\"DOIUrl\":null,\"url\":null,\"abstract\":\"<p><p>Glioblastoma multiforme (GBM) is a high-grade brain tumor with a high recurrence rate. We present the case of a 57-year-old man with left frontal lobe GBM who was operated on and received radiation therapy in June 2023 and was referred for <sup>68</sup>Ga-PSMA 11 PET/CT with a clinical suspicion of recurrence. The scan showed intense tracer uptake in the left frontal lobe lesion with severe edema, which was consistent with recurrence. Our case underscores the role of <sup>68</sup>Ga PSMA 11 PET/CT imaging of suspected glioblastoma recurrence which is the initial step in GBM theranostics with PSMA.</p>\",\"PeriodicalId\":45830,\"journal\":{\"name\":\"Indian Journal of Nuclear Medicine\",\"volume\":\"40 2\",\"pages\":\"115-116\"},\"PeriodicalIF\":0.5000,\"publicationDate\":\"2025-03-01\",\"publicationTypes\":\"Journal Article\",\"fieldsOfStudy\":null,\"isOpenAccess\":false,\"openAccessPdf\":\"https://www.ncbi.nlm.nih.gov/pmc/articles/PMC12303207/pdf/\",\"citationCount\":\"0\",\"resultStr\":null,\"platform\":\"Semanticscholar\",\"paperid\":null,\"PeriodicalName\":\"Indian Journal of Nuclear Medicine\",\"FirstCategoryId\":\"1085\",\"ListUrlMain\":\"https://doi.org/10.4103/ijnm.ijnm_126_24\",\"RegionNum\":0,\"RegionCategory\":null,\"ArticlePicture\":[],\"TitleCN\":null,\"AbstractTextCN\":null,\"PMCID\":null,\"EPubDate\":\"2025/6/27 0:00:00\",\"PubModel\":\"Epub\",\"JCR\":\"Q4\",\"JCRName\":\"RADIOLOGY, NUCLEAR MEDICINE & MEDICAL IMAGING\",\"Score\":null,\"Total\":0}","platform":"Semanticscholar","paperid":null,"PeriodicalName":"Indian Journal of Nuclear Medicine","FirstCategoryId":"1085","ListUrlMain":"https://doi.org/10.4103/ijnm.ijnm_126_24","RegionNum":0,"RegionCategory":null,"ArticlePicture":[],"TitleCN":null,"AbstractTextCN":null,"PMCID":null,"EPubDate":"2025/6/27 0:00:00","PubModel":"Epub","JCR":"Q4","JCRName":"RADIOLOGY, NUCLEAR MEDICINE & MEDICAL IMAGING","Score":null,"Total":0}
引用次数: 0

摘要

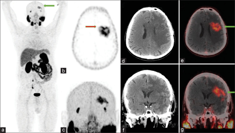
多形性胶质母细胞瘤(GBM)是一种高级别脑肿瘤,复发率高。我们报告一名57岁男性左额叶GBM患者于2023年6月接受手术和放疗,并因临床怀疑复发而转诊68Ga-PSMA 11 PET/CT。扫描显示左侧额叶病变有强烈的示踪剂摄取,伴有严重水肿,与复发相符。我们的病例强调了68Ga PSMA 11 PET/CT成像在可疑胶质母细胞瘤复发中的作用,这是PSMA治疗GBM的第一步。
本文章由计算机程序翻译,如有差异,请以英文原文为准。

<sup>68</sup>Ga-PSMA PET/CT in a case of recurrent Glioblastoma.

68Ga-PSMA PET/CT in a case of recurrent Glioblastoma.

Glioblastoma multiforme (GBM) is a high-grade brain tumor with a high recurrence rate. We present the case of a 57-year-old man with left frontal lobe GBM who was operated on and received radiation therapy in June 2023 and was referred for 68Ga-PSMA 11 PET/CT with a clinical suspicion of recurrence. The scan showed intense tracer uptake in the left frontal lobe lesion with severe edema, which was consistent with recurrence. Our case underscores the role of 68Ga PSMA 11 PET/CT imaging of suspected glioblastoma recurrence which is the initial step in GBM theranostics with PSMA.

求助全文
通过发布文献求助,成功后即可免费获取论文全文。 去求助
来源期刊
Indian Journal of Nuclear Medicine
Indian Journal of Nuclear Medicine RADIOLOGY, NUCLEAR MEDICINE & MEDICAL IMAGING-
CiteScore
0.70
自引率
0.00%
发文量
46
×
引用
GB/T 7714-2015
复制
MLA
复制
APA
复制
导出至
BibTeX EndNote RefMan NoteFirst NoteExpress
×
提示
您的信息不完整,为了账户安全,请先补充。
现在去补充
×
提示
您因"违规操作"
具体请查看互助需知
我知道了
×
提示
确定
请完成安全验证×
copy
已复制链接
快去分享给好友吧!
我知道了
右上角分享
点击右上角分享
0
联系我们:info@booksci.cn Book学术提供免费学术资源搜索服务,方便国内外学者检索中英文文献。致力于提供最便捷和优质的服务体验。 Copyright © 2023 布克学术 All rights reserved.
京ICP备2023020795号-1
ghs 京公网安备 11010802042870号
Book学术文献互助
Book学术文献互助群
群 号:604180095
Book学术官方微信