家猫子宫血管肌纤维母细胞瘤:需要精确的诊断和适当的围手术期处理。

IF 0.8 4区 农林科学 Q3 VETERINARY SCIENCES
Veterinarni Medicina Pub Date : 2025-05-26 eCollection Date: 2025-05-01 DOI:10.17221/88/2024-VETMED
Tae-Un Kim, Jai Soon Park, Jae-Hyuk Yim, Woo Jun Kim, Sung Bin Hong, Yi-Rang Jung, Seong-Kyoon Choi, Su-Min Baek, Jin-Kyu Park
{"title":"家猫子宫血管肌纤维母细胞瘤:需要精确的诊断和适当的围手术期处理。","authors":"Tae-Un Kim, Jai Soon Park, Jae-Hyuk Yim, Woo Jun Kim, Sung Bin Hong, Yi-Rang Jung, Seong-Kyoon Choi, Su-Min Baek, Jin-Kyu Park","doi":"10.17221/88/2024-VETMED","DOIUrl":null,"url":null,"abstract":"<p><p>Angiomyofibroblastoma (AMFB) is rarely reported in humans as well as domestic animals, especially in the female genital tract. This painless tumour is characterised by the proliferation of spindle or ovoid tumour cells with myofibroblastic differentiation, which often cluster around thin-walled blood vessels. This report presents a case of feline AMFB for the first time. Preoperative abdominal radiography demonstrated an enlarged uterus with the dorsolateral displacement of the ovaries, and transabdominal ultrasonography showed an enlarged uterus with diffuse hypoechoic areas. The resected uterus showed a firm texture with a grey to brownish colour. A microscopic examination revealed proliferation of well-differentiated neoplastic spindle cells on a background of abundant fibrous stroma containing numerous blood vessels. Myxoid degeneration and vascular extravasation were not observed. The neoplastic cells were diffusely immunopositive for α-SMA and vimentin and focally positive for desmin (in the perivascular areas). AMFB is rare in veterinary medicine and the feline uterine AMFB observed in the present case had not been previously reported. Although previously reported as a safe, benign tumour, a surgical procedure of a large AMFB in small animals without proper diagnosis may become life-threatening.</p>","PeriodicalId":23532,"journal":{"name":"Veterinarni Medicina","volume":"70 5","pages":"177-183"},"PeriodicalIF":0.8000,"publicationDate":"2025-05-26","publicationTypes":"Journal Article","fieldsOfStudy":null,"isOpenAccess":false,"openAccessPdf":"https://www.ncbi.nlm.nih.gov/pmc/articles/PMC12303033/pdf/","citationCount":"0","resultStr":"{\"title\":\"Uterine angiomyofibroblastoma in a domestic cat: A need of precise diagnosis for proper perioperative management.\",\"authors\":\"Tae-Un Kim, Jai Soon Park, Jae-Hyuk Yim, Woo Jun Kim, Sung Bin Hong, Yi-Rang Jung, Seong-Kyoon Choi, Su-Min Baek, Jin-Kyu Park\",\"doi\":\"10.17221/88/2024-VETMED\",\"DOIUrl\":null,\"url\":null,\"abstract\":\"<p><p>Angiomyofibroblastoma (AMFB) is rarely reported in humans as well as domestic animals, especially in the female genital tract. This painless tumour is characterised by the proliferation of spindle or ovoid tumour cells with myofibroblastic differentiation, which often cluster around thin-walled blood vessels. This report presents a case of feline AMFB for the first time. Preoperative abdominal radiography demonstrated an enlarged uterus with the dorsolateral displacement of the ovaries, and transabdominal ultrasonography showed an enlarged uterus with diffuse hypoechoic areas. The resected uterus showed a firm texture with a grey to brownish colour. A microscopic examination revealed proliferation of well-differentiated neoplastic spindle cells on a background of abundant fibrous stroma containing numerous blood vessels. Myxoid degeneration and vascular extravasation were not observed. The neoplastic cells were diffusely immunopositive for α-SMA and vimentin and focally positive for desmin (in the perivascular areas). AMFB is rare in veterinary medicine and the feline uterine AMFB observed in the present case had not been previously reported. Although previously reported as a safe, benign tumour, a surgical procedure of a large AMFB in small animals without proper diagnosis may become life-threatening.</p>\",\"PeriodicalId\":23532,\"journal\":{\"name\":\"Veterinarni Medicina\",\"volume\":\"70 5\",\"pages\":\"177-183\"},\"PeriodicalIF\":0.8000,\"publicationDate\":\"2025-05-26\",\"publicationTypes\":\"Journal Article\",\"fieldsOfStudy\":null,\"isOpenAccess\":false,\"openAccessPdf\":\"https://www.ncbi.nlm.nih.gov/pmc/articles/PMC12303033/pdf/\",\"citationCount\":\"0\",\"resultStr\":null,\"platform\":\"Semanticscholar\",\"paperid\":null,\"PeriodicalName\":\"Veterinarni Medicina\",\"FirstCategoryId\":\"97\",\"ListUrlMain\":\"https://doi.org/10.17221/88/2024-VETMED\",\"RegionNum\":4,\"RegionCategory\":\"农林科学\",\"ArticlePicture\":[],\"TitleCN\":null,\"AbstractTextCN\":null,\"PMCID\":null,\"EPubDate\":\"2025/5/1 0:00:00\",\"PubModel\":\"eCollection\",\"JCR\":\"Q3\",\"JCRName\":\"VETERINARY SCIENCES\",\"Score\":null,\"Total\":0}","platform":"Semanticscholar","paperid":null,"PeriodicalName":"Veterinarni Medicina","FirstCategoryId":"97","ListUrlMain":"https://doi.org/10.17221/88/2024-VETMED","RegionNum":4,"RegionCategory":"农林科学","ArticlePicture":[],"TitleCN":null,"AbstractTextCN":null,"PMCID":null,"EPubDate":"2025/5/1 0:00:00","PubModel":"eCollection","JCR":"Q3","JCRName":"VETERINARY SCIENCES","Score":null,"Total":0}
引用次数: 0

摘要

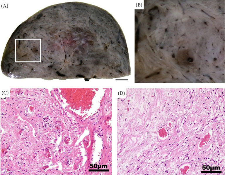
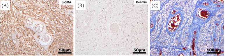
血管肌成纤维细胞瘤(AMFB)在人类和家畜中很少报道,特别是在女性生殖道中。这种无痛性肿瘤的特征是梭形或卵形肿瘤细胞增生,具有肌成纤维细胞分化,常聚集在薄壁血管周围。本报告首次报道了猫AMFB病例。术前腹部x线检查显示子宫增大伴卵巢背外侧移位,经腹超声检查显示子宫增大伴弥漫性低回声区。切除的子宫质地坚硬,呈灰褐色。显微镜检查显示分化良好的肿瘤梭形细胞在含有大量血管的丰富纤维间质背景下增生。未见粘液样变性和血管外渗。肿瘤细胞弥漫性α-SMA和vimentin免疫阳性,局灶性desmin免疫阳性(在血管周围)。AMFB在兽医学中是罕见的,本病例中观察到的猫子宫AMFB此前未见报道。虽然以前的报道是一种安全的良性肿瘤,但在没有正确诊断的情况下,对小动物进行大型AMFB的外科手术可能会危及生命。
本文章由计算机程序翻译,如有差异,请以英文原文为准。

Uterine angiomyofibroblastoma in a domestic cat: A need of precise diagnosis for proper perioperative management.

Uterine angiomyofibroblastoma in a domestic cat: A need of precise diagnosis for proper perioperative management.

Uterine angiomyofibroblastoma in a domestic cat: A need of precise diagnosis for proper perioperative management.

Uterine angiomyofibroblastoma in a domestic cat: A need of precise diagnosis for proper perioperative management.

Angiomyofibroblastoma (AMFB) is rarely reported in humans as well as domestic animals, especially in the female genital tract. This painless tumour is characterised by the proliferation of spindle or ovoid tumour cells with myofibroblastic differentiation, which often cluster around thin-walled blood vessels. This report presents a case of feline AMFB for the first time. Preoperative abdominal radiography demonstrated an enlarged uterus with the dorsolateral displacement of the ovaries, and transabdominal ultrasonography showed an enlarged uterus with diffuse hypoechoic areas. The resected uterus showed a firm texture with a grey to brownish colour. A microscopic examination revealed proliferation of well-differentiated neoplastic spindle cells on a background of abundant fibrous stroma containing numerous blood vessels. Myxoid degeneration and vascular extravasation were not observed. The neoplastic cells were diffusely immunopositive for α-SMA and vimentin and focally positive for desmin (in the perivascular areas). AMFB is rare in veterinary medicine and the feline uterine AMFB observed in the present case had not been previously reported. Although previously reported as a safe, benign tumour, a surgical procedure of a large AMFB in small animals without proper diagnosis may become life-threatening.

求助全文
通过发布文献求助,成功后即可免费获取论文全文。 去求助
来源期刊
Veterinarni Medicina
Veterinarni Medicina Veterinary Sciences-兽医学
CiteScore
1.30
自引率
0.00%
发文量
62
审稿时长
18-36 weeks
期刊介绍: The journal Veterinarni Medicina publishes in English original papers, short communications, critical reviews and case reports from all fields of veterinary and biomedical sciences.
×
引用
GB/T 7714-2015
复制
MLA
复制
APA
复制
导出至
BibTeX EndNote RefMan NoteFirst NoteExpress
×
提示
您的信息不完整,为了账户安全,请先补充。
现在去补充
×
提示
您因"违规操作"
具体请查看互助需知
我知道了
×
提示
确定
请完成安全验证×
copy
已复制链接
快去分享给好友吧!
我知道了
右上角分享
点击右上角分享
0
联系我们:info@booksci.cn Book学术提供免费学术资源搜索服务,方便国内外学者检索中英文文献。致力于提供最便捷和优质的服务体验。 Copyright © 2023 布克学术 All rights reserved.
京ICP备2023020795号-1
ghs 京公网安备 11010802042870号
Book学术文献互助
Book学术文献互助群
群 号:604180095
Book学术官方微信