释放死亡之犬:metacaspase 5,微管和超敏反应。

IF 4.5 2区 生物学 Q1 PLANT SCIENCES
Xin Zhu, Kunxi Zhang, Peijie Gong, Michael Riemann, Peter Nick
{"title":"释放死亡之犬:metacaspase 5,微管和超敏反应。","authors":"Xin Zhu, Kunxi Zhang, Peijie Gong, Michael Riemann, Peter Nick","doi":"10.1007/s00299-025-03567-x","DOIUrl":null,"url":null,"abstract":"<p><strong>Key message: </strong>Vitis rupestris metacaspase 5, tethered to microtubules, drives grapevine. Hypersensitive response via calcium-dependent auto-processing, linking cytoskeletal dynamics to defence activation by elicitors. Metacaspase 5 is a key player for the hypersensitive response of grapevine against biotrophic pathogens and must be activated rapidly as to prevent colonisation. This activation is likely to occur through changes in protein activity. By expressing a GFP fusion of metacaspase 5 from Vitis rupestris in tobacco BY-2 cells, we can show that this protein is bound to microtubules and that the overexpressors are more responsive to the cell-death-inducing elicitors, cis-3-hexenal and harpin. The disruption of microtubules and actin filaments by these elicitors can be blocked by inhibitors of dynamic turnover and stabilisation. Stabilisation of microtubules by taxol can mitigate cis-3-hexenal induced mortality. Mutations of the catalytic or the putative microtubule-binding sites of metacaspase 5 can suppress auto-processing of this enzyme in biochemical assay. Likewise, the response to cis-3-hexenal (cell death, induction of salicylate-related gene expression) is suppressed in cells, whilst the cytoplasmic remodelling is retained. Calcium and the sites for catalysis or microtubule binding are required for both auto-processing and enzyme activity. We arrive at a model, where metacaspase 5 is inactive when tethered to microtubules, but becomes unleashed for auto-processing upon defence-mediated microtubule breakdown.</p>","PeriodicalId":20204,"journal":{"name":"Plant Cell Reports","volume":"44 8","pages":"184"},"PeriodicalIF":4.5000,"publicationDate":"2025-07-30","publicationTypes":"Journal Article","fieldsOfStudy":null,"isOpenAccess":false,"openAccessPdf":"https://www.ncbi.nlm.nih.gov/pmc/articles/PMC12310787/pdf/","citationCount":"0","resultStr":"{\"title\":\"Unleash the dogs of death: metacaspase 5, microtubules, and hypersensitive response.\",\"authors\":\"Xin Zhu, Kunxi Zhang, Peijie Gong, Michael Riemann, Peter Nick\",\"doi\":\"10.1007/s00299-025-03567-x\",\"DOIUrl\":null,\"url\":null,\"abstract\":\"<p><strong>Key message: </strong>Vitis rupestris metacaspase 5, tethered to microtubules, drives grapevine. Hypersensitive response via calcium-dependent auto-processing, linking cytoskeletal dynamics to defence activation by elicitors. Metacaspase 5 is a key player for the hypersensitive response of grapevine against biotrophic pathogens and must be activated rapidly as to prevent colonisation. This activation is likely to occur through changes in protein activity. By expressing a GFP fusion of metacaspase 5 from Vitis rupestris in tobacco BY-2 cells, we can show that this protein is bound to microtubules and that the overexpressors are more responsive to the cell-death-inducing elicitors, cis-3-hexenal and harpin. The disruption of microtubules and actin filaments by these elicitors can be blocked by inhibitors of dynamic turnover and stabilisation. Stabilisation of microtubules by taxol can mitigate cis-3-hexenal induced mortality. Mutations of the catalytic or the putative microtubule-binding sites of metacaspase 5 can suppress auto-processing of this enzyme in biochemical assay. Likewise, the response to cis-3-hexenal (cell death, induction of salicylate-related gene expression) is suppressed in cells, whilst the cytoplasmic remodelling is retained. Calcium and the sites for catalysis or microtubule binding are required for both auto-processing and enzyme activity. We arrive at a model, where metacaspase 5 is inactive when tethered to microtubules, but becomes unleashed for auto-processing upon defence-mediated microtubule breakdown.</p>\",\"PeriodicalId\":20204,\"journal\":{\"name\":\"Plant Cell Reports\",\"volume\":\"44 8\",\"pages\":\"184\"},\"PeriodicalIF\":4.5000,\"publicationDate\":\"2025-07-30\",\"publicationTypes\":\"Journal Article\",\"fieldsOfStudy\":null,\"isOpenAccess\":false,\"openAccessPdf\":\"https://www.ncbi.nlm.nih.gov/pmc/articles/PMC12310787/pdf/\",\"citationCount\":\"0\",\"resultStr\":null,\"platform\":\"Semanticscholar\",\"paperid\":null,\"PeriodicalName\":\"Plant Cell Reports\",\"FirstCategoryId\":\"99\",\"ListUrlMain\":\"https://doi.org/10.1007/s00299-025-03567-x\",\"RegionNum\":2,\"RegionCategory\":\"生物学\",\"ArticlePicture\":[],\"TitleCN\":null,\"AbstractTextCN\":null,\"PMCID\":null,\"EPubDate\":\"\",\"PubModel\":\"\",\"JCR\":\"Q1\",\"JCRName\":\"PLANT SCIENCES\",\"Score\":null,\"Total\":0}","platform":"Semanticscholar","paperid":null,"PeriodicalName":"Plant Cell Reports","FirstCategoryId":"99","ListUrlMain":"https://doi.org/10.1007/s00299-025-03567-x","RegionNum":2,"RegionCategory":"生物学","ArticlePicture":[],"TitleCN":null,"AbstractTextCN":null,"PMCID":null,"EPubDate":"","PubModel":"","JCR":"Q1","JCRName":"PLANT SCIENCES","Score":null,"Total":0}
引用次数: 0

摘要

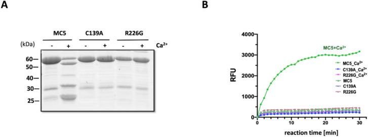
关键信息:葡萄metacaspase 5,拴在微管上,驱动葡萄藤。通过钙依赖性自动处理的超敏反应,将细胞骨架动力学与激发子的防御激活联系起来。Metacaspase 5是葡萄对生物营养病原体过敏反应的关键参与者,必须迅速激活以防止定植。这种激活很可能是通过蛋白质活性的变化而发生的。通过在烟草By -2细胞中表达来自葡萄的metacaspase 5的GFP融合,我们可以证明该蛋白与微管结合,并且过表达物对细胞死亡诱导子顺式-3-己烯醛和harpin的反应更灵敏。这些激发子对微管和肌动蛋白丝的破坏可以被动态周转和稳定抑制剂阻断。紫杉醇稳定微管可以减轻顺-3-己烯醛引起的死亡。在生化试验中,metacaspase 5的催化位点或假定的微管结合位点的突变可以抑制该酶的自动加工。同样,对顺式-3-己烯醛的反应(细胞死亡,诱导水杨酸相关基因表达)在细胞中被抑制,而细胞质重构被保留。钙和催化或微管结合的位点是自动加工和酶活性所必需的。我们得出了一个模型,其中metacaspase 5在连接到微管时是无活性的,但在防御介导的微管分解时被释放出来进行自动处理。
本文章由计算机程序翻译,如有差异,请以英文原文为准。

Unleash the dogs of death: metacaspase 5, microtubules, and hypersensitive response.

Unleash the dogs of death: metacaspase 5, microtubules, and hypersensitive response.

Unleash the dogs of death: metacaspase 5, microtubules, and hypersensitive response.

Unleash the dogs of death: metacaspase 5, microtubules, and hypersensitive response.

Key message: Vitis rupestris metacaspase 5, tethered to microtubules, drives grapevine. Hypersensitive response via calcium-dependent auto-processing, linking cytoskeletal dynamics to defence activation by elicitors. Metacaspase 5 is a key player for the hypersensitive response of grapevine against biotrophic pathogens and must be activated rapidly as to prevent colonisation. This activation is likely to occur through changes in protein activity. By expressing a GFP fusion of metacaspase 5 from Vitis rupestris in tobacco BY-2 cells, we can show that this protein is bound to microtubules and that the overexpressors are more responsive to the cell-death-inducing elicitors, cis-3-hexenal and harpin. The disruption of microtubules and actin filaments by these elicitors can be blocked by inhibitors of dynamic turnover and stabilisation. Stabilisation of microtubules by taxol can mitigate cis-3-hexenal induced mortality. Mutations of the catalytic or the putative microtubule-binding sites of metacaspase 5 can suppress auto-processing of this enzyme in biochemical assay. Likewise, the response to cis-3-hexenal (cell death, induction of salicylate-related gene expression) is suppressed in cells, whilst the cytoplasmic remodelling is retained. Calcium and the sites for catalysis or microtubule binding are required for both auto-processing and enzyme activity. We arrive at a model, where metacaspase 5 is inactive when tethered to microtubules, but becomes unleashed for auto-processing upon defence-mediated microtubule breakdown.

求助全文
通过发布文献求助,成功后即可免费获取论文全文。 去求助
来源期刊
Plant Cell Reports
Plant Cell Reports 生物-植物科学
CiteScore
10.80
自引率
1.60%
发文量
135
审稿时长
3.2 months
期刊介绍: Plant Cell Reports publishes original, peer-reviewed articles on new advances in all aspects of plant cell science, plant genetics and molecular biology. Papers selected for publication contribute significant new advances to clearly identified technological problems and/or biological questions. The articles will prove relevant beyond the narrow topic of interest to a readership with broad scientific background. The coverage includes such topics as: - genomics and genetics - metabolism - cell biology - abiotic and biotic stress - phytopathology - gene transfer and expression - molecular pharming - systems biology - nanobiotechnology - genome editing - phenomics and synthetic biology The journal also publishes opinion papers, review and focus articles on the latest developments and new advances in research and technology in plant molecular biology and biotechnology.
×
引用
GB/T 7714-2015
复制
MLA
复制
APA
复制
导出至
BibTeX EndNote RefMan NoteFirst NoteExpress
×
提示
您的信息不完整,为了账户安全,请先补充。
现在去补充
×
提示
您因"违规操作"
具体请查看互助需知
我知道了
×
提示
确定
请完成安全验证×
copy
已复制链接
快去分享给好友吧!
我知道了
右上角分享
点击右上角分享
0
联系我们:info@booksci.cn Book学术提供免费学术资源搜索服务,方便国内外学者检索中英文文献。致力于提供最便捷和优质的服务体验。 Copyright © 2023 布克学术 All rights reserved.
京ICP备2023020795号-1
ghs 京公网安备 11010802042870号
Book学术文献互助
Book学术文献互助群
群 号:604180095
Book学术官方微信