胎儿磁共振成像诊断胎儿脑膜下出血:成像谱和尸检结果。

IF 2.3 3区 医学 Q2 PEDIATRICS
Pediatric Radiology Pub Date : 2025-08-01 Epub Date: 2025-07-30 DOI:10.1007/s00247-025-06353-9
Stephanie Libzon, Debora Kidron, Uri Erlik, Karina Krajden-Haratz, Moran Hausman-Kedem, Liat Ben Sira
{"title":"胎儿磁共振成像诊断胎儿脑膜下出血:成像谱和尸检结果。","authors":"Stephanie Libzon, Debora Kidron, Uri Erlik, Karina Krajden-Haratz, Moran Hausman-Kedem, Liat Ben Sira","doi":"10.1007/s00247-025-06353-9","DOIUrl":null,"url":null,"abstract":"<p><p>Subpial hemorrhage is a rare intracranial hemorrhage typically described in neonates. We report the first prenatal diagnosis of subpial hemorrhage in a 28-year-old primigravida, defined on fetal magnetic resonance imaging (MRI) by its hallmark cortical inward depression (\"cortical buckling\") and restricted diffusion on the apparent diffusion coefficient map, and later confirmed by autopsy. This case implicates intrinsic fetal factors-rather than birth trauma or neonatal asphyxia-in subpial hemorrhage pathogenesis and highlights the critical role of fetal MRI in distinguishing subpial hemorrhage from other fetal hemorrhages, with important implications for prenatal counseling and perinatal management.</p>","PeriodicalId":19755,"journal":{"name":"Pediatric Radiology","volume":" ","pages":"1952-1956"},"PeriodicalIF":2.3000,"publicationDate":"2025-08-01","publicationTypes":"Journal Article","fieldsOfStudy":null,"isOpenAccess":false,"openAccessPdf":"https://www.ncbi.nlm.nih.gov/pmc/articles/PMC12394351/pdf/","citationCount":"0","resultStr":"{\"title\":\"Antenatal subpial hemorrhage diagnosed by fetal magnetic resonance imaging: imaging spectrum and autopsy findings.\",\"authors\":\"Stephanie Libzon, Debora Kidron, Uri Erlik, Karina Krajden-Haratz, Moran Hausman-Kedem, Liat Ben Sira\",\"doi\":\"10.1007/s00247-025-06353-9\",\"DOIUrl\":null,\"url\":null,\"abstract\":\"<p><p>Subpial hemorrhage is a rare intracranial hemorrhage typically described in neonates. We report the first prenatal diagnosis of subpial hemorrhage in a 28-year-old primigravida, defined on fetal magnetic resonance imaging (MRI) by its hallmark cortical inward depression (\\\"cortical buckling\\\") and restricted diffusion on the apparent diffusion coefficient map, and later confirmed by autopsy. This case implicates intrinsic fetal factors-rather than birth trauma or neonatal asphyxia-in subpial hemorrhage pathogenesis and highlights the critical role of fetal MRI in distinguishing subpial hemorrhage from other fetal hemorrhages, with important implications for prenatal counseling and perinatal management.</p>\",\"PeriodicalId\":19755,\"journal\":{\"name\":\"Pediatric Radiology\",\"volume\":\" \",\"pages\":\"1952-1956\"},\"PeriodicalIF\":2.3000,\"publicationDate\":\"2025-08-01\",\"publicationTypes\":\"Journal Article\",\"fieldsOfStudy\":null,\"isOpenAccess\":false,\"openAccessPdf\":\"https://www.ncbi.nlm.nih.gov/pmc/articles/PMC12394351/pdf/\",\"citationCount\":\"0\",\"resultStr\":null,\"platform\":\"Semanticscholar\",\"paperid\":null,\"PeriodicalName\":\"Pediatric Radiology\",\"FirstCategoryId\":\"3\",\"ListUrlMain\":\"https://doi.org/10.1007/s00247-025-06353-9\",\"RegionNum\":3,\"RegionCategory\":\"医学\",\"ArticlePicture\":[],\"TitleCN\":null,\"AbstractTextCN\":null,\"PMCID\":null,\"EPubDate\":\"2025/7/30 0:00:00\",\"PubModel\":\"Epub\",\"JCR\":\"Q2\",\"JCRName\":\"PEDIATRICS\",\"Score\":null,\"Total\":0}","platform":"Semanticscholar","paperid":null,"PeriodicalName":"Pediatric Radiology","FirstCategoryId":"3","ListUrlMain":"https://doi.org/10.1007/s00247-025-06353-9","RegionNum":3,"RegionCategory":"医学","ArticlePicture":[],"TitleCN":null,"AbstractTextCN":null,"PMCID":null,"EPubDate":"2025/7/30 0:00:00","PubModel":"Epub","JCR":"Q2","JCRName":"PEDIATRICS","Score":null,"Total":0}
引用次数: 0

摘要

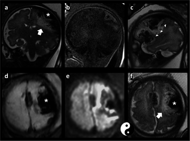
脑膜下出血是一种罕见的颅内出血,通常发生在新生儿身上。我们报告了一名28岁初产妇的首次产前诊断,胎儿磁共振成像(MRI)通过其特征皮质向内凹陷(“皮质屈曲”)和表观扩散系数图上的扩散受限来确定其脑膜下出血,后来通过尸检证实。本病例提示腹膜下出血的发病机制是胎儿的内在因素,而不是出生创伤或新生儿窒息,并强调了胎儿MRI在区分腹膜下出血和其他胎儿出血方面的关键作用,对产前咨询和围产期管理具有重要意义。
本文章由计算机程序翻译,如有差异,请以英文原文为准。

Antenatal subpial hemorrhage diagnosed by fetal magnetic resonance imaging: imaging spectrum and autopsy findings.

Antenatal subpial hemorrhage diagnosed by fetal magnetic resonance imaging: imaging spectrum and autopsy findings.

Antenatal subpial hemorrhage diagnosed by fetal magnetic resonance imaging: imaging spectrum and autopsy findings.

Antenatal subpial hemorrhage diagnosed by fetal magnetic resonance imaging: imaging spectrum and autopsy findings.

Subpial hemorrhage is a rare intracranial hemorrhage typically described in neonates. We report the first prenatal diagnosis of subpial hemorrhage in a 28-year-old primigravida, defined on fetal magnetic resonance imaging (MRI) by its hallmark cortical inward depression ("cortical buckling") and restricted diffusion on the apparent diffusion coefficient map, and later confirmed by autopsy. This case implicates intrinsic fetal factors-rather than birth trauma or neonatal asphyxia-in subpial hemorrhage pathogenesis and highlights the critical role of fetal MRI in distinguishing subpial hemorrhage from other fetal hemorrhages, with important implications for prenatal counseling and perinatal management.

求助全文
通过发布文献求助,成功后即可免费获取论文全文。 去求助
来源期刊
Pediatric Radiology
Pediatric Radiology 医学-核医学
CiteScore
4.40
自引率
17.40%
发文量
300
审稿时长
3-6 weeks
期刊介绍: Official Journal of the European Society of Pediatric Radiology, the Society for Pediatric Radiology and the Asian and Oceanic Society for Pediatric Radiology Pediatric Radiology informs its readers of new findings and progress in all areas of pediatric imaging and in related fields. This is achieved by a blend of original papers, complemented by reviews that set out the present state of knowledge in a particular area of the specialty or summarize specific topics in which discussion has led to clear conclusions. Advances in technology, methodology, apparatus and auxiliary equipment are presented, and modifications of standard techniques are described. Manuscripts submitted for publication must contain a statement to the effect that all human studies have been reviewed by the appropriate ethics committee and have therefore been performed in accordance with the ethical standards laid down in an appropriate version of the 1964 Declaration of Helsinki. It should also be stated clearly in the text that all persons gave their informed consent prior to their inclusion in the study. Details that might disclose the identity of the subjects under study should be omitted.
×
引用
GB/T 7714-2015
复制
MLA
复制
APA
复制
导出至
BibTeX EndNote RefMan NoteFirst NoteExpress
×
提示
您的信息不完整,为了账户安全,请先补充。
现在去补充
×
提示
您因"违规操作"
具体请查看互助需知
我知道了
×
提示
确定
请完成安全验证×
copy
已复制链接
快去分享给好友吧!
我知道了
右上角分享
点击右上角分享
0
联系我们:info@booksci.cn Book学术提供免费学术资源搜索服务,方便国内外学者检索中英文文献。致力于提供最便捷和优质的服务体验。 Copyright © 2023 布克学术 All rights reserved.
京ICP备2023020795号-1
ghs 京公网安备 11010802042870号
Book学术文献互助
Book学术文献互助群
群 号:604180095
Book学术官方微信