重组细胞可透性嘌呤霉素n -乙酰转移酶通过直接蛋白转导赋予嘌呤霉素抗性。

IF 3.1 4区 生物学 Q3 BIOTECHNOLOGY & APPLIED MICROBIOLOGY
Jiwon Choi, Kyung-Hee Cho, Jiwon Im, Yeeun Seo, Amitesh Sharma, Kartic, Shivani Devi, Nattan Stalin, Seo Jin Park, Tae-Sik Park
{"title":"重组细胞可透性嘌呤霉素n -乙酰转移酶通过直接蛋白转导赋予嘌呤霉素抗性。","authors":"Jiwon Choi, Kyung-Hee Cho, Jiwon Im, Yeeun Seo, Amitesh Sharma, Kartic, Shivani Devi, Nattan Stalin, Seo Jin Park, Tae-Sik Park","doi":"10.4014/jmb.2502.02049","DOIUrl":null,"url":null,"abstract":"<p><p>Puromycin N-acetyltransferase (PAC) is an enzyme that catalyzes the acetylation of puromycin, an inhibitor of protein synthesis. The PAC gene is often co-transfected with genes of interest in the same vector to serve as a selective marker, conferring puromycin resistance to mammalian cells. Cell-penetrating peptides (CPPs), which are 5-30 amino acids in length, facilitate the translocation of functional cargoes across the cell membrane. Among these, the HIV-transactivator of transcription (TAT) sequence is widely applied for its cell-penetrating and protein-delivery capabilities. In this study, we investigated whether attachment of the TAT sequence to PAC (TAT-PAC) enables intracellular delivery of TAT-PAC protein into mammalian cells, thereby conferring puromycin resistance. A recombinant TAT-PAC protein was expressed in <i>Escherichia coli</i> and purified to homogeneity. The purified TAT-PAC protein retained enzymatic activity, with a specific activity of 197 nmol/min/mg. Intracellular delivery of TAT-PAC was confirmed using confocal microscopy and flow cytometry, employing an RFP (red fluorescent protein)-tagged TAT-PAC fusion protein. Treatment of HEK293 and SY5Y cells with TAT-PAC resulted in increased cell viability in the presence of puromycin, demonstrating its functionality as a selection marker. This study suggests the potential application of cell-permeable PAC protein for selection of co-delivered therapeutic or gene-editing proteins in mammalian cells, providing a promising alternative to traditional genetic selection methods.</p>","PeriodicalId":16481,"journal":{"name":"Journal of microbiology and biotechnology","volume":"35 ","pages":"e2502049"},"PeriodicalIF":3.1000,"publicationDate":"2025-07-18","publicationTypes":"Journal Article","fieldsOfStudy":null,"isOpenAccess":false,"openAccessPdf":"https://www.ncbi.nlm.nih.gov/pmc/articles/PMC12325001/pdf/","citationCount":"0","resultStr":"{\"title\":\"Recombinant Cell-Permeable Puromycin <i>N</i>-Acetyltransferase Confers Puromycin Resistance by Direct Protein Transduction.\",\"authors\":\"Jiwon Choi, Kyung-Hee Cho, Jiwon Im, Yeeun Seo, Amitesh Sharma, Kartic, Shivani Devi, Nattan Stalin, Seo Jin Park, Tae-Sik Park\",\"doi\":\"10.4014/jmb.2502.02049\",\"DOIUrl\":null,\"url\":null,\"abstract\":\"<p><p>Puromycin N-acetyltransferase (PAC) is an enzyme that catalyzes the acetylation of puromycin, an inhibitor of protein synthesis. The PAC gene is often co-transfected with genes of interest in the same vector to serve as a selective marker, conferring puromycin resistance to mammalian cells. Cell-penetrating peptides (CPPs), which are 5-30 amino acids in length, facilitate the translocation of functional cargoes across the cell membrane. Among these, the HIV-transactivator of transcription (TAT) sequence is widely applied for its cell-penetrating and protein-delivery capabilities. In this study, we investigated whether attachment of the TAT sequence to PAC (TAT-PAC) enables intracellular delivery of TAT-PAC protein into mammalian cells, thereby conferring puromycin resistance. A recombinant TAT-PAC protein was expressed in <i>Escherichia coli</i> and purified to homogeneity. The purified TAT-PAC protein retained enzymatic activity, with a specific activity of 197 nmol/min/mg. Intracellular delivery of TAT-PAC was confirmed using confocal microscopy and flow cytometry, employing an RFP (red fluorescent protein)-tagged TAT-PAC fusion protein. Treatment of HEK293 and SY5Y cells with TAT-PAC resulted in increased cell viability in the presence of puromycin, demonstrating its functionality as a selection marker. This study suggests the potential application of cell-permeable PAC protein for selection of co-delivered therapeutic or gene-editing proteins in mammalian cells, providing a promising alternative to traditional genetic selection methods.</p>\",\"PeriodicalId\":16481,\"journal\":{\"name\":\"Journal of microbiology and biotechnology\",\"volume\":\"35 \",\"pages\":\"e2502049\"},\"PeriodicalIF\":3.1000,\"publicationDate\":\"2025-07-18\",\"publicationTypes\":\"Journal Article\",\"fieldsOfStudy\":null,\"isOpenAccess\":false,\"openAccessPdf\":\"https://www.ncbi.nlm.nih.gov/pmc/articles/PMC12325001/pdf/\",\"citationCount\":\"0\",\"resultStr\":null,\"platform\":\"Semanticscholar\",\"paperid\":null,\"PeriodicalName\":\"Journal of microbiology and biotechnology\",\"FirstCategoryId\":\"5\",\"ListUrlMain\":\"https://doi.org/10.4014/jmb.2502.02049\",\"RegionNum\":4,\"RegionCategory\":\"生物学\",\"ArticlePicture\":[],\"TitleCN\":null,\"AbstractTextCN\":null,\"PMCID\":null,\"EPubDate\":\"\",\"PubModel\":\"\",\"JCR\":\"Q3\",\"JCRName\":\"BIOTECHNOLOGY & APPLIED MICROBIOLOGY\",\"Score\":null,\"Total\":0}","platform":"Semanticscholar","paperid":null,"PeriodicalName":"Journal of microbiology and biotechnology","FirstCategoryId":"5","ListUrlMain":"https://doi.org/10.4014/jmb.2502.02049","RegionNum":4,"RegionCategory":"生物学","ArticlePicture":[],"TitleCN":null,"AbstractTextCN":null,"PMCID":null,"EPubDate":"","PubModel":"","JCR":"Q3","JCRName":"BIOTECHNOLOGY & APPLIED MICROBIOLOGY","Score":null,"Total":0}
引用次数: 0

摘要

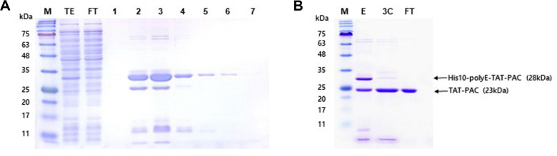
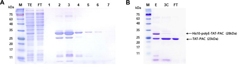
嘌呤霉素n -乙酰转移酶是一种催化嘌呤霉素乙酰化的酶,嘌呤霉素是一种蛋白质合成抑制剂。PAC基因通常在同一载体中与感兴趣的基因共转染,作为选择性标记物,赋予哺乳动物细胞对嘌呤霉素的抗性。细胞穿透肽(CPPs)的长度为5-30个氨基酸,可促进功能性货物在细胞膜上的易位。其中,hiv转录反激活子(TAT)序列因其细胞穿透和蛋白质递送能力而被广泛应用。在这项研究中,我们研究了TAT序列附着在PAC (TAT-PAC)上是否能使TAT-PAC蛋白在细胞内传递到哺乳动物细胞中,从而赋予嘌呤霉素耐药性。重组TAT-PAC蛋白在大肠杆菌中表达并纯化至均匀性。纯化后的TAT-PAC蛋白保持酶活性,比活性为197 nmol/min/mg。使用共聚焦显微镜和流式细胞术,使用RFP(红色荧光蛋白)标记的TAT-PAC融合蛋白,证实了TAT-PAC的细胞内递送。用TAT-PAC处理HEK293和SY5Y细胞,在嘌呤霉素存在的情况下,细胞活力增加,证明了其作为选择标记的功能。该研究提示了细胞渗透性PAC蛋白在哺乳动物细胞中用于选择共递送治疗或基因编辑蛋白的潜在应用,为传统的遗传选择方法提供了一种有希望的替代方法。
本文章由计算机程序翻译,如有差异,请以英文原文为准。

Recombinant Cell-Permeable Puromycin <i>N</i>-Acetyltransferase Confers Puromycin Resistance by Direct Protein Transduction.

Recombinant Cell-Permeable Puromycin <i>N</i>-Acetyltransferase Confers Puromycin Resistance by Direct Protein Transduction.

Recombinant Cell-Permeable Puromycin <i>N</i>-Acetyltransferase Confers Puromycin Resistance by Direct Protein Transduction.

Recombinant Cell-Permeable Puromycin <i>N</i>-Acetyltransferase Confers Puromycin Resistance by Direct Protein Transduction.

Recombinant Cell-Permeable Puromycin <i>N</i>-Acetyltransferase Confers Puromycin Resistance by Direct Protein Transduction.

Recombinant Cell-Permeable Puromycin <i>N</i>-Acetyltransferase Confers Puromycin Resistance by Direct Protein Transduction.

Recombinant Cell-Permeable Puromycin N-Acetyltransferase Confers Puromycin Resistance by Direct Protein Transduction.

Puromycin N-acetyltransferase (PAC) is an enzyme that catalyzes the acetylation of puromycin, an inhibitor of protein synthesis. The PAC gene is often co-transfected with genes of interest in the same vector to serve as a selective marker, conferring puromycin resistance to mammalian cells. Cell-penetrating peptides (CPPs), which are 5-30 amino acids in length, facilitate the translocation of functional cargoes across the cell membrane. Among these, the HIV-transactivator of transcription (TAT) sequence is widely applied for its cell-penetrating and protein-delivery capabilities. In this study, we investigated whether attachment of the TAT sequence to PAC (TAT-PAC) enables intracellular delivery of TAT-PAC protein into mammalian cells, thereby conferring puromycin resistance. A recombinant TAT-PAC protein was expressed in Escherichia coli and purified to homogeneity. The purified TAT-PAC protein retained enzymatic activity, with a specific activity of 197 nmol/min/mg. Intracellular delivery of TAT-PAC was confirmed using confocal microscopy and flow cytometry, employing an RFP (red fluorescent protein)-tagged TAT-PAC fusion protein. Treatment of HEK293 and SY5Y cells with TAT-PAC resulted in increased cell viability in the presence of puromycin, demonstrating its functionality as a selection marker. This study suggests the potential application of cell-permeable PAC protein for selection of co-delivered therapeutic or gene-editing proteins in mammalian cells, providing a promising alternative to traditional genetic selection methods.

求助全文
通过发布文献求助,成功后即可免费获取论文全文。 去求助
来源期刊
Journal of microbiology and biotechnology
Journal of microbiology and biotechnology BIOTECHNOLOGY & APPLIED MICROBIOLOGY-MICROBIOLOGY
CiteScore
5.50
自引率
3.60%
发文量
151
审稿时长
2 months
期刊介绍: The Journal of Microbiology and Biotechnology (JMB) is a monthly international journal devoted to the advancement and dissemination of scientific knowledge pertaining to microbiology, biotechnology, and related academic disciplines. It covers various scientific and technological aspects of Molecular and Cellular Microbiology, Environmental Microbiology and Biotechnology, Food Biotechnology, and Biotechnology and Bioengineering (subcategories are listed below). Launched in March 1991, the JMB is published by the Korean Society for Microbiology and Biotechnology (KMB) and distributed worldwide.
×
引用
GB/T 7714-2015
复制
MLA
复制
APA
复制
导出至
BibTeX EndNote RefMan NoteFirst NoteExpress
×
提示
您的信息不完整,为了账户安全,请先补充。
现在去补充
×
提示
您因"违规操作"
具体请查看互助需知
我知道了
×
提示
确定
请完成安全验证×
copy
已复制链接
快去分享给好友吧!
我知道了
右上角分享
点击右上角分享
0
联系我们:info@booksci.cn Book学术提供免费学术资源搜索服务,方便国内外学者检索中英文文献。致力于提供最便捷和优质的服务体验。 Copyright © 2023 布克学术 All rights reserved.
京ICP备2023020795号-1
ghs 京公网安备 11010802042870号
Book学术文献互助
Book学术文献互助群
群 号:604180095
Book学术官方微信