肱骨内侧上髁炎:9只猫(17只肘部)的回顾性病例。

IF 2.1 2区 农林科学 Q2 VETERINARY SCIENCES
Journal of Feline Medicine and Surgery Pub Date : 2025-07-01 Epub Date: 2025-07-30 DOI:10.1177/1098612X251347952
Mary Baldeon, Karen Lisette Perry
{"title":"肱骨内侧上髁炎:9只猫(17只肘部)的回顾性病例。","authors":"Mary Baldeon, Karen Lisette Perry","doi":"10.1177/1098612X251347952","DOIUrl":null,"url":null,"abstract":"<p><p><i>Case series summary</i> The aim of this study was to describe the clinical findings, diagnostic results and response to both non-surgical and surgical therapy in cats with medial humeral epicondylitis (MHE). The medical records of one institution were searched for cats with a radiographically confirmed diagnosis of MHE where non-surgical therapy alone or both non-surgical and surgical therapy had been trialed. Nine cats (17 elbows) were included. None of the cats had a history of outdoor access. Orthopedic examination revealed pain upon palpation over the medial epicondyle (n = 15), elbow pronation/supination (n = 7) or carpal flexion (n = 7) and palpable mineralization distal to the medial epicondyle (n = 7). Epicondylitis was radiographically graded as mild (n = 8), moderate (n = 7) or severe (n = 2). CT was performed in 10 elbows and revealed additional information in seven, including intra-articular mineralized bodies in five elbows. Ultrasound was performed in four elbows and revealed fluid surrounding the flexor carpi ulnaris muscle. After non-surgical management, four cats showed no response, four showed a partial response and one showed a complete response. Cats with less advanced radiographic changes appeared to show more favorable responses. Four cats (seven elbows) underwent surgical treatment with ulnar neuritis being evident in all. Lameness resolved postoperatively in three cats (five elbows).<i>Relevance and novel information</i> An insidious onset of moderate-grade lameness associated with pain on palpation caudodistal to the medial epicondyle should increase the index of suspicion for MHE and prompt assessment for the presence of palpable mineralization and pain on carpal flexion. Ulnar neuritis is common in cats with MHE and they frequently present with free articular mineralized bodies. Radiographs can only detect advanced or chronic stages of MHE, by which time non-surgical management is likely to be ineffective. Earlier diagnosis using ultrasound may improve the prognosis after non-surgical management.</p>","PeriodicalId":15851,"journal":{"name":"Journal of Feline Medicine and Surgery","volume":"27 7","pages":"1098612X251347952"},"PeriodicalIF":2.1000,"publicationDate":"2025-07-01","publicationTypes":"Journal Article","fieldsOfStudy":null,"isOpenAccess":false,"openAccessPdf":"https://www.ncbi.nlm.nih.gov/pmc/articles/PMC12317204/pdf/","citationCount":"0","resultStr":"{\"title\":\"Medial humeral epicondylitis: a retrospective case series of nine cats (17 elbows).\",\"authors\":\"Mary Baldeon, Karen Lisette Perry\",\"doi\":\"10.1177/1098612X251347952\",\"DOIUrl\":null,\"url\":null,\"abstract\":\"<p><p><i>Case series summary</i> The aim of this study was to describe the clinical findings, diagnostic results and response to both non-surgical and surgical therapy in cats with medial humeral epicondylitis (MHE). The medical records of one institution were searched for cats with a radiographically confirmed diagnosis of MHE where non-surgical therapy alone or both non-surgical and surgical therapy had been trialed. Nine cats (17 elbows) were included. None of the cats had a history of outdoor access. Orthopedic examination revealed pain upon palpation over the medial epicondyle (n = 15), elbow pronation/supination (n = 7) or carpal flexion (n = 7) and palpable mineralization distal to the medial epicondyle (n = 7). Epicondylitis was radiographically graded as mild (n = 8), moderate (n = 7) or severe (n = 2). CT was performed in 10 elbows and revealed additional information in seven, including intra-articular mineralized bodies in five elbows. Ultrasound was performed in four elbows and revealed fluid surrounding the flexor carpi ulnaris muscle. After non-surgical management, four cats showed no response, four showed a partial response and one showed a complete response. Cats with less advanced radiographic changes appeared to show more favorable responses. Four cats (seven elbows) underwent surgical treatment with ulnar neuritis being evident in all. Lameness resolved postoperatively in three cats (five elbows).<i>Relevance and novel information</i> An insidious onset of moderate-grade lameness associated with pain on palpation caudodistal to the medial epicondyle should increase the index of suspicion for MHE and prompt assessment for the presence of palpable mineralization and pain on carpal flexion. Ulnar neuritis is common in cats with MHE and they frequently present with free articular mineralized bodies. Radiographs can only detect advanced or chronic stages of MHE, by which time non-surgical management is likely to be ineffective. Earlier diagnosis using ultrasound may improve the prognosis after non-surgical management.</p>\",\"PeriodicalId\":15851,\"journal\":{\"name\":\"Journal of Feline Medicine and Surgery\",\"volume\":\"27 7\",\"pages\":\"1098612X251347952\"},\"PeriodicalIF\":2.1000,\"publicationDate\":\"2025-07-01\",\"publicationTypes\":\"Journal Article\",\"fieldsOfStudy\":null,\"isOpenAccess\":false,\"openAccessPdf\":\"https://www.ncbi.nlm.nih.gov/pmc/articles/PMC12317204/pdf/\",\"citationCount\":\"0\",\"resultStr\":null,\"platform\":\"Semanticscholar\",\"paperid\":null,\"PeriodicalName\":\"Journal of Feline Medicine and Surgery\",\"FirstCategoryId\":\"97\",\"ListUrlMain\":\"https://doi.org/10.1177/1098612X251347952\",\"RegionNum\":2,\"RegionCategory\":\"农林科学\",\"ArticlePicture\":[],\"TitleCN\":null,\"AbstractTextCN\":null,\"PMCID\":null,\"EPubDate\":\"2025/7/30 0:00:00\",\"PubModel\":\"Epub\",\"JCR\":\"Q2\",\"JCRName\":\"VETERINARY SCIENCES\",\"Score\":null,\"Total\":0}","platform":"Semanticscholar","paperid":null,"PeriodicalName":"Journal of Feline Medicine and Surgery","FirstCategoryId":"97","ListUrlMain":"https://doi.org/10.1177/1098612X251347952","RegionNum":2,"RegionCategory":"农林科学","ArticlePicture":[],"TitleCN":null,"AbstractTextCN":null,"PMCID":null,"EPubDate":"2025/7/30 0:00:00","PubModel":"Epub","JCR":"Q2","JCRName":"VETERINARY SCIENCES","Score":null,"Total":0}
引用次数: 0

摘要

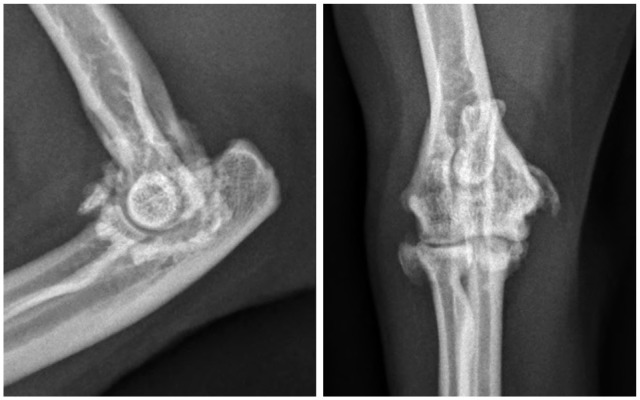
本研究的目的是描述患有内侧肱骨上髁炎(MHE)的猫的临床表现、诊断结果和非手术和手术治疗的反应。我们检索了一家机构的医疗记录,寻找经放射学证实诊断为MHE的猫,这些猫单独进行非手术治疗或同时进行非手术和手术治疗。包括9只猫(17只肘部)。这些猫都没有户外活动的记录。骨科检查显示触诊内侧上髁疼痛(n = 15),肘关节旋前(n = 7)或腕屈曲(n = 7),内侧上髁远端可触及矿化(n = 7)。上髁炎放射学分级为轻度(n = 8)、中度(n = 7)和重度(n = 2)。在10个肘部进行了CT检查,在7个肘部发现了额外的信息,包括5个肘部的关节内矿化体。在四个肘部进行超声检查,发现尺侧腕屈肌周围有液体。非手术治疗后,4只猫无反应,4只猫部分反应,1只猫完全反应。放射学变化不那么严重的猫似乎表现出更有利的反应。4只猫(7只肘部)接受了手术治疗,所有猫都有明显的尺神经炎。3只猫(5只肘部)术后跛行消失。隐伏的中度跛行与触诊疼痛相关的内上髁尾远端疼痛应该增加MHE的怀疑指数,并及时评估是否存在可触及的矿化和腕屈疼痛。尺神经炎是常见的猫与MHE,他们经常出现游离关节矿化体。x线摄影只能检测晚期或慢性MHE,此时非手术治疗可能无效。早期超声诊断可改善非手术治疗后的预后。
本文章由计算机程序翻译,如有差异,请以英文原文为准。

Medial humeral epicondylitis: a retrospective case series of nine cats (17 elbows).

Medial humeral epicondylitis: a retrospective case series of nine cats (17 elbows).

Medial humeral epicondylitis: a retrospective case series of nine cats (17 elbows).

Medial humeral epicondylitis: a retrospective case series of nine cats (17 elbows).

Case series summary The aim of this study was to describe the clinical findings, diagnostic results and response to both non-surgical and surgical therapy in cats with medial humeral epicondylitis (MHE). The medical records of one institution were searched for cats with a radiographically confirmed diagnosis of MHE where non-surgical therapy alone or both non-surgical and surgical therapy had been trialed. Nine cats (17 elbows) were included. None of the cats had a history of outdoor access. Orthopedic examination revealed pain upon palpation over the medial epicondyle (n = 15), elbow pronation/supination (n = 7) or carpal flexion (n = 7) and palpable mineralization distal to the medial epicondyle (n = 7). Epicondylitis was radiographically graded as mild (n = 8), moderate (n = 7) or severe (n = 2). CT was performed in 10 elbows and revealed additional information in seven, including intra-articular mineralized bodies in five elbows. Ultrasound was performed in four elbows and revealed fluid surrounding the flexor carpi ulnaris muscle. After non-surgical management, four cats showed no response, four showed a partial response and one showed a complete response. Cats with less advanced radiographic changes appeared to show more favorable responses. Four cats (seven elbows) underwent surgical treatment with ulnar neuritis being evident in all. Lameness resolved postoperatively in three cats (five elbows).Relevance and novel information An insidious onset of moderate-grade lameness associated with pain on palpation caudodistal to the medial epicondyle should increase the index of suspicion for MHE and prompt assessment for the presence of palpable mineralization and pain on carpal flexion. Ulnar neuritis is common in cats with MHE and they frequently present with free articular mineralized bodies. Radiographs can only detect advanced or chronic stages of MHE, by which time non-surgical management is likely to be ineffective. Earlier diagnosis using ultrasound may improve the prognosis after non-surgical management.

求助全文
通过发布文献求助,成功后即可免费获取论文全文。 去求助
来源期刊
CiteScore
3.90
自引率
17.60%
发文量
254
审稿时长
8-16 weeks
期刊介绍: JFMS is an international, peer-reviewed journal aimed at both practitioners and researchers with an interest in the clinical veterinary healthcare of domestic cats. The journal is published monthly in two formats: ‘Classic’ editions containing high-quality original papers on all aspects of feline medicine and surgery, including basic research relevant to clinical practice; and dedicated ‘Clinical Practice’ editions primarily containing opinionated review articles providing state-of-the-art information for feline clinicians, along with other relevant articles such as consensus guidelines.
×
引用
GB/T 7714-2015
复制
MLA
复制
APA
复制
导出至
BibTeX EndNote RefMan NoteFirst NoteExpress
×
提示
您的信息不完整,为了账户安全,请先补充。
现在去补充
×
提示
您因"违规操作"
具体请查看互助需知
我知道了
×
提示
确定
请完成安全验证×
copy
已复制链接
快去分享给好友吧!
我知道了
右上角分享
点击右上角分享
0
联系我们:info@booksci.cn Book学术提供免费学术资源搜索服务,方便国内外学者检索中英文文献。致力于提供最便捷和优质的服务体验。 Copyright © 2023 布克学术 All rights reserved.
京ICP备2023020795号-1
ghs 京公网安备 11010802042870号
Book学术文献互助
Book学术文献互助群
群 号:604180095
Book学术官方微信