合并肠系膜上动脉综合征和胡桃夹子综合征的年轻男性患者表现为不典型呕吐和快速体重下降:1例报告。

IF 0.7 Q3 MEDICINE, GENERAL & INTERNAL
International Medical Case Reports Journal Pub Date : 2025-07-25 eCollection Date: 2025-01-01 DOI:10.2147/IMCRJ.S519808
Mohamed Osman Dahir Alasow, Abdinasir Mohamed Elmi, Abdirahman Mahmud Haji, Shuayb Moallim Ali Jama, Hanan Hassan Hirei, Ahmed Adam Osman
{"title":"合并肠系膜上动脉综合征和胡桃夹子综合征的年轻男性患者表现为不典型呕吐和快速体重下降:1例报告。","authors":"Mohamed Osman Dahir Alasow, Abdinasir Mohamed Elmi, Abdirahman Mahmud Haji, Shuayb Moallim Ali Jama, Hanan Hassan Hirei, Ahmed Adam Osman","doi":"10.2147/IMCRJ.S519808","DOIUrl":null,"url":null,"abstract":"<p><p>Superior mesenteric artery (SMA) syndrome, also known as Wilkie syndrome, is an uncommon condition marked by the compression of the third segment of the duodenum between the SMA and the aorta, often occurring after rapid weight loss, particularly in young, slim individuals. Symptoms consist of epigastric pain, bloating, and vomiting. Nutcracker syndrome (NCS) is characterized by the compression of the left renal vein (LRV) between the superior mesenteric artery and the aorta. This condition results in venous varices and elevated pressure within the LRV, which may manifest as hematuria, proteinuria, pelvic congestion, and flank pain. Although each of these syndromes is infrequent, their simultaneous incidence is remarkably occasional. This case report examines a young male patient diagnosed with both SMA syndrome and NCS, emphasizing the importance of considering these conditions in the differential diagnosis of abdominal and renal symptoms.</p>","PeriodicalId":14337,"journal":{"name":"International Medical Case Reports Journal","volume":"18 ","pages":"937-942"},"PeriodicalIF":0.7000,"publicationDate":"2025-07-25","publicationTypes":"Journal Article","fieldsOfStudy":null,"isOpenAccess":false,"openAccessPdf":"https://www.ncbi.nlm.nih.gov/pmc/articles/PMC12306553/pdf/","citationCount":"0","resultStr":"{\"title\":\"Combined Superior Mesenteric Artery Syndrome and Nutcracker Syndrome in a Young Male Patient Presenting as Atypical Vomiting and Rapid Weight Loss: A Case Report.\",\"authors\":\"Mohamed Osman Dahir Alasow, Abdinasir Mohamed Elmi, Abdirahman Mahmud Haji, Shuayb Moallim Ali Jama, Hanan Hassan Hirei, Ahmed Adam Osman\",\"doi\":\"10.2147/IMCRJ.S519808\",\"DOIUrl\":null,\"url\":null,\"abstract\":\"<p><p>Superior mesenteric artery (SMA) syndrome, also known as Wilkie syndrome, is an uncommon condition marked by the compression of the third segment of the duodenum between the SMA and the aorta, often occurring after rapid weight loss, particularly in young, slim individuals. Symptoms consist of epigastric pain, bloating, and vomiting. Nutcracker syndrome (NCS) is characterized by the compression of the left renal vein (LRV) between the superior mesenteric artery and the aorta. This condition results in venous varices and elevated pressure within the LRV, which may manifest as hematuria, proteinuria, pelvic congestion, and flank pain. Although each of these syndromes is infrequent, their simultaneous incidence is remarkably occasional. This case report examines a young male patient diagnosed with both SMA syndrome and NCS, emphasizing the importance of considering these conditions in the differential diagnosis of abdominal and renal symptoms.</p>\",\"PeriodicalId\":14337,\"journal\":{\"name\":\"International Medical Case Reports Journal\",\"volume\":\"18 \",\"pages\":\"937-942\"},\"PeriodicalIF\":0.7000,\"publicationDate\":\"2025-07-25\",\"publicationTypes\":\"Journal Article\",\"fieldsOfStudy\":null,\"isOpenAccess\":false,\"openAccessPdf\":\"https://www.ncbi.nlm.nih.gov/pmc/articles/PMC12306553/pdf/\",\"citationCount\":\"0\",\"resultStr\":null,\"platform\":\"Semanticscholar\",\"paperid\":null,\"PeriodicalName\":\"International Medical Case Reports Journal\",\"FirstCategoryId\":\"1085\",\"ListUrlMain\":\"https://doi.org/10.2147/IMCRJ.S519808\",\"RegionNum\":0,\"RegionCategory\":null,\"ArticlePicture\":[],\"TitleCN\":null,\"AbstractTextCN\":null,\"PMCID\":null,\"EPubDate\":\"2025/1/1 0:00:00\",\"PubModel\":\"eCollection\",\"JCR\":\"Q3\",\"JCRName\":\"MEDICINE, GENERAL & INTERNAL\",\"Score\":null,\"Total\":0}","platform":"Semanticscholar","paperid":null,"PeriodicalName":"International Medical Case Reports Journal","FirstCategoryId":"1085","ListUrlMain":"https://doi.org/10.2147/IMCRJ.S519808","RegionNum":0,"RegionCategory":null,"ArticlePicture":[],"TitleCN":null,"AbstractTextCN":null,"PMCID":null,"EPubDate":"2025/1/1 0:00:00","PubModel":"eCollection","JCR":"Q3","JCRName":"MEDICINE, GENERAL & INTERNAL","Score":null,"Total":0}
引用次数: 0

摘要

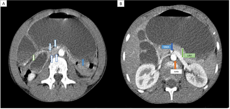
肠系膜上动脉(SMA)综合征,也称为Wilkie综合征,是一种罕见的疾病,其特征是SMA和主动脉之间的十二指肠第三段受到压迫,通常发生在体重迅速减轻后,特别是在年轻,苗条的个体中。症状包括胃脘痛、腹胀和呕吐。胡桃夹子综合征(NCS)的特征是在肠系膜上动脉和主动脉之间的左肾静脉(LRV)受到压迫。这种情况导致静脉曲张和LRV内血压升高,可表现为血尿、蛋白尿、盆腔充血和侧腹疼痛。虽然这些症状并不常见,但它们同时发生的几率非常小。本病例报告检查了一位被诊断为SMA综合征和NCS的年轻男性患者,强调了在鉴别诊断腹部和肾脏症状时考虑这些情况的重要性。
本文章由计算机程序翻译,如有差异,请以英文原文为准。

Combined Superior Mesenteric Artery Syndrome and Nutcracker Syndrome in a Young Male Patient Presenting as Atypical Vomiting and Rapid Weight Loss: A Case Report.

Combined Superior Mesenteric Artery Syndrome and Nutcracker Syndrome in a Young Male Patient Presenting as Atypical Vomiting and Rapid Weight Loss: A Case Report.

Combined Superior Mesenteric Artery Syndrome and Nutcracker Syndrome in a Young Male Patient Presenting as Atypical Vomiting and Rapid Weight Loss: A Case Report.

Combined Superior Mesenteric Artery Syndrome and Nutcracker Syndrome in a Young Male Patient Presenting as Atypical Vomiting and Rapid Weight Loss: A Case Report.

Superior mesenteric artery (SMA) syndrome, also known as Wilkie syndrome, is an uncommon condition marked by the compression of the third segment of the duodenum between the SMA and the aorta, often occurring after rapid weight loss, particularly in young, slim individuals. Symptoms consist of epigastric pain, bloating, and vomiting. Nutcracker syndrome (NCS) is characterized by the compression of the left renal vein (LRV) between the superior mesenteric artery and the aorta. This condition results in venous varices and elevated pressure within the LRV, which may manifest as hematuria, proteinuria, pelvic congestion, and flank pain. Although each of these syndromes is infrequent, their simultaneous incidence is remarkably occasional. This case report examines a young male patient diagnosed with both SMA syndrome and NCS, emphasizing the importance of considering these conditions in the differential diagnosis of abdominal and renal symptoms.

求助全文
通过发布文献求助,成功后即可免费获取论文全文。 去求助
来源期刊
International Medical Case Reports Journal
International Medical Case Reports Journal MEDICINE, GENERAL & INTERNAL-
CiteScore
1.40
自引率
0.00%
发文量
135
审稿时长
16 weeks
期刊介绍: International Medical Case Reports Journal is an international, peer-reviewed, open access, online journal publishing original case reports from all medical specialties. Submissions should not normally exceed 3,000 words or 4 published pages including figures, diagrams and references. As of 1st April 2019, the International Medical Case Reports Journal will no longer consider meta-analyses for publication.
×
引用
GB/T 7714-2015
复制
MLA
复制
APA
复制
导出至
BibTeX EndNote RefMan NoteFirst NoteExpress
×
提示
您的信息不完整,为了账户安全,请先补充。
现在去补充
×
提示
您因"违规操作"
具体请查看互助需知
我知道了
×
提示
确定
请完成安全验证×
copy
已复制链接
快去分享给好友吧!
我知道了
右上角分享
点击右上角分享
0
联系我们:info@booksci.cn Book学术提供免费学术资源搜索服务,方便国内外学者检索中英文文献。致力于提供最便捷和优质的服务体验。 Copyright © 2023 布克学术 All rights reserved.
京ICP备2023020795号-1
ghs 京公网安备 11010802042870号
Book学术文献互助
Book学术文献互助群
群 号:604180095
Book学术官方微信