幽门螺杆菌HopQ与宿主CEACAM分子相互作用实验平台的建立

Q2 Biochemistry, Genetics and Molecular Biology
Nazanin Shans, Maryam Esmaeili, Kimia Abraheh, Niloofar Asadi Hanjani, Maedeh Farrokhi, Negar Sardarpour, Yeganeh Talebkhan, Fatemeh Kazemi-Lomedasht, Esmat Mirabzadeh, Marjan Mohammadi
{"title":"幽门螺杆菌HopQ与宿主CEACAM分子相互作用实验平台的建立","authors":"Nazanin Shans, Maryam Esmaeili, Kimia Abraheh, Niloofar Asadi Hanjani, Maedeh Farrokhi, Negar Sardarpour, Yeganeh Talebkhan, Fatemeh Kazemi-Lomedasht, Esmat Mirabzadeh, Marjan Mohammadi","doi":"10.61186/ibj.5029","DOIUrl":null,"url":null,"abstract":"<p><strong>Background: </strong>Helicobacter pylori is an extracellular bacterium responsible for various gastrointestinal diseases, such as peptic ulcers and gastric cancer. It uses multiple mechanisms to colonize the harsh, acidic environment of the stomach and establish its pathogenic processes, mostly through CagA translocation. While cell surface integrin molecules were previously believed to be the main mediators anchoring H. pylori and facilitating this process, recent studies highlight the critical role of the interaction between the bacterial adhesin Helicobacter pylori outer membrane protein Q (HopQ) and host carcinoembryonic antigen-related cell adhesion molecules (CEACAMs) in CagA translocation and subsequent pathogenic signaling.</p><p><strong>Methods: </strong>Recombinant proteins, including HopQ, HopQ-GFP (green fluorescent protein), HopQ-HRP (horseradish peroxidase), and recombinant N-terminal domain of human CEACAM1 (C1ND), were produced via gene cloning, expression, and purification techniques. Ligand-receptor interactions were evaluated using FACS analysis along with antigen- and cell-based ELISA assays.</p><p><strong>Results: </strong>In this study, we have developed antigen and cell-based platforms using recombinant fusion proteins (HopQ-GFP and HopQ-HRP) that effectively interact with recombinant C1ND, as well as various CEACAM molecules expressed on gastric cell lines (MKN45 and AGS).</p><p><strong>Conclusion: </strong>These assay platforms enable detailed investigation of the HopQ-CEACAM interaction and supports high-throughput screening of inhibitors, facilitating the identification of potential drugs or vaccine candidates targeting H. pylori infection.</p>","PeriodicalId":14500,"journal":{"name":"Iranian Biomedical Journal","volume":"29 3","pages":"138-148"},"PeriodicalIF":0.0000,"publicationDate":"2025-05-01","publicationTypes":"Journal Article","fieldsOfStudy":null,"isOpenAccess":false,"openAccessPdf":"https://www.ncbi.nlm.nih.gov/pmc/articles/PMC12397998/pdf/","citationCount":"0","resultStr":"{\"title\":\"Development of Experimental Platforms to Assess Helicobacter pylori HopQ Interaction with Host CEACAM Molecules.\",\"authors\":\"Nazanin Shans, Maryam Esmaeili, Kimia Abraheh, Niloofar Asadi Hanjani, Maedeh Farrokhi, Negar Sardarpour, Yeganeh Talebkhan, Fatemeh Kazemi-Lomedasht, Esmat Mirabzadeh, Marjan Mohammadi\",\"doi\":\"10.61186/ibj.5029\",\"DOIUrl\":null,\"url\":null,\"abstract\":\"<p><strong>Background: </strong>Helicobacter pylori is an extracellular bacterium responsible for various gastrointestinal diseases, such as peptic ulcers and gastric cancer. It uses multiple mechanisms to colonize the harsh, acidic environment of the stomach and establish its pathogenic processes, mostly through CagA translocation. While cell surface integrin molecules were previously believed to be the main mediators anchoring H. pylori and facilitating this process, recent studies highlight the critical role of the interaction between the bacterial adhesin Helicobacter pylori outer membrane protein Q (HopQ) and host carcinoembryonic antigen-related cell adhesion molecules (CEACAMs) in CagA translocation and subsequent pathogenic signaling.</p><p><strong>Methods: </strong>Recombinant proteins, including HopQ, HopQ-GFP (green fluorescent protein), HopQ-HRP (horseradish peroxidase), and recombinant N-terminal domain of human CEACAM1 (C1ND), were produced via gene cloning, expression, and purification techniques. Ligand-receptor interactions were evaluated using FACS analysis along with antigen- and cell-based ELISA assays.</p><p><strong>Results: </strong>In this study, we have developed antigen and cell-based platforms using recombinant fusion proteins (HopQ-GFP and HopQ-HRP) that effectively interact with recombinant C1ND, as well as various CEACAM molecules expressed on gastric cell lines (MKN45 and AGS).</p><p><strong>Conclusion: </strong>These assay platforms enable detailed investigation of the HopQ-CEACAM interaction and supports high-throughput screening of inhibitors, facilitating the identification of potential drugs or vaccine candidates targeting H. pylori infection.</p>\",\"PeriodicalId\":14500,\"journal\":{\"name\":\"Iranian Biomedical Journal\",\"volume\":\"29 3\",\"pages\":\"138-148\"},\"PeriodicalIF\":0.0000,\"publicationDate\":\"2025-05-01\",\"publicationTypes\":\"Journal Article\",\"fieldsOfStudy\":null,\"isOpenAccess\":false,\"openAccessPdf\":\"https://www.ncbi.nlm.nih.gov/pmc/articles/PMC12397998/pdf/\",\"citationCount\":\"0\",\"resultStr\":null,\"platform\":\"Semanticscholar\",\"paperid\":null,\"PeriodicalName\":\"Iranian Biomedical Journal\",\"FirstCategoryId\":\"1085\",\"ListUrlMain\":\"https://doi.org/10.61186/ibj.5029\",\"RegionNum\":0,\"RegionCategory\":null,\"ArticlePicture\":[],\"TitleCN\":null,\"AbstractTextCN\":null,\"PMCID\":null,\"EPubDate\":\"\",\"PubModel\":\"\",\"JCR\":\"Q2\",\"JCRName\":\"Biochemistry, Genetics and Molecular Biology\",\"Score\":null,\"Total\":0}","platform":"Semanticscholar","paperid":null,"PeriodicalName":"Iranian Biomedical Journal","FirstCategoryId":"1085","ListUrlMain":"https://doi.org/10.61186/ibj.5029","RegionNum":0,"RegionCategory":null,"ArticlePicture":[],"TitleCN":null,"AbstractTextCN":null,"PMCID":null,"EPubDate":"","PubModel":"","JCR":"Q2","JCRName":"Biochemistry, Genetics and Molecular Biology","Score":null,"Total":0}
引用次数: 0

摘要

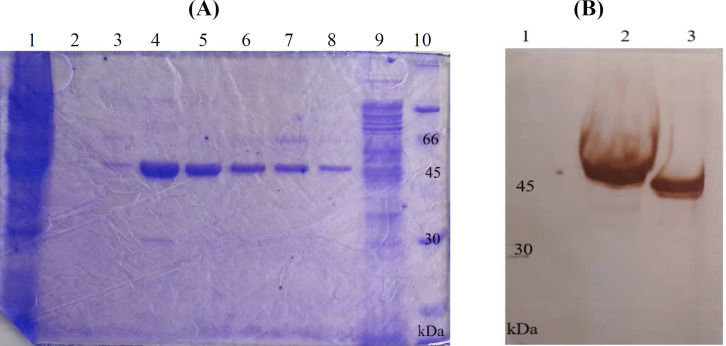
背景:幽门螺杆菌是一种细胞外细菌,可导致多种胃肠道疾病,如消化性溃疡和胃癌。它使用多种机制在胃部恶劣的酸性环境中定植并建立其致病过程,主要是通过CagA易位。虽然细胞表面整合素分子以前被认为是锚定幽门螺杆菌并促进这一过程的主要介质,但最近的研究强调了细菌粘附HopQ和宿主CEACAMs之间的相互作用在CagA易位和随后的致病信号传导中的关键作用。方法:通过基因克隆、表达和纯化技术制备HopQ、HopQ- gfp、HopQ- hrp和C1ND重组蛋白。使用FACS分析以及基于抗原和细胞的ELISA检测来评估配体与受体的相互作用。结果:在本研究中,我们利用重组融合蛋白(HopQ-GFP和HopQ-HRP)开发了抗原和基于细胞的平台,这些融合蛋白可与重组C1ND以及在胃细胞系(MKN45和AGS)上表达的各种CEACAM分子有效相互作用。结论:这些检测平台可以详细研究HopQ-CEACAM相互作用,并支持高通量筛选抑制剂,促进鉴定针对幽门螺杆菌感染的潜在药物或候选疫苗。
本文章由计算机程序翻译,如有差异,请以英文原文为准。

Development of Experimental Platforms to Assess Helicobacter pylori HopQ Interaction with Host CEACAM Molecules.

Development of Experimental Platforms to Assess Helicobacter pylori HopQ Interaction with Host CEACAM Molecules.

Development of Experimental Platforms to Assess Helicobacter pylori HopQ Interaction with Host CEACAM Molecules.

Development of Experimental Platforms to Assess Helicobacter pylori HopQ Interaction with Host CEACAM Molecules.

Background: Helicobacter pylori is an extracellular bacterium responsible for various gastrointestinal diseases, such as peptic ulcers and gastric cancer. It uses multiple mechanisms to colonize the harsh, acidic environment of the stomach and establish its pathogenic processes, mostly through CagA translocation. While cell surface integrin molecules were previously believed to be the main mediators anchoring H. pylori and facilitating this process, recent studies highlight the critical role of the interaction between the bacterial adhesin Helicobacter pylori outer membrane protein Q (HopQ) and host carcinoembryonic antigen-related cell adhesion molecules (CEACAMs) in CagA translocation and subsequent pathogenic signaling.

Methods: Recombinant proteins, including HopQ, HopQ-GFP (green fluorescent protein), HopQ-HRP (horseradish peroxidase), and recombinant N-terminal domain of human CEACAM1 (C1ND), were produced via gene cloning, expression, and purification techniques. Ligand-receptor interactions were evaluated using FACS analysis along with antigen- and cell-based ELISA assays.

Results: In this study, we have developed antigen and cell-based platforms using recombinant fusion proteins (HopQ-GFP and HopQ-HRP) that effectively interact with recombinant C1ND, as well as various CEACAM molecules expressed on gastric cell lines (MKN45 and AGS).

Conclusion: These assay platforms enable detailed investigation of the HopQ-CEACAM interaction and supports high-throughput screening of inhibitors, facilitating the identification of potential drugs or vaccine candidates targeting H. pylori infection.

求助全文
通过发布文献求助,成功后即可免费获取论文全文。 去求助
来源期刊
Iranian Biomedical Journal
Iranian Biomedical Journal Biochemistry, Genetics and Molecular Biology-Biochemistry, Genetics and Molecular Biology (all)
CiteScore
3.20
自引率
0.00%
发文量
42
审稿时长
8 weeks
×
引用
GB/T 7714-2015
复制
MLA
复制
APA
复制
导出至
BibTeX EndNote RefMan NoteFirst NoteExpress
×
提示
您的信息不完整,为了账户安全,请先补充。
现在去补充
×
提示
您因"违规操作"
具体请查看互助需知
我知道了
×
提示
确定
请完成安全验证×
copy
已复制链接
快去分享给好友吧!
我知道了
右上角分享
点击右上角分享
0
联系我们:info@booksci.cn Book学术提供免费学术资源搜索服务,方便国内外学者检索中英文文献。致力于提供最便捷和优质的服务体验。 Copyright © 2023 布克学术 All rights reserved.
京ICP备2023020795号-1
ghs 京公网安备 11010802042870号
Book学术文献互助
Book学术文献互助群
群 号:604180095
Book学术官方微信