单剂量派姆单抗、多西他赛和顺铂治疗导致局部晚期下咽鳞状细胞癌完全消失:1例报告。

IF 0.7 Q4 ONCOLOGY
Case Reports in Oncology Pub Date : 2025-06-25 eCollection Date: 2025-01-01 DOI:10.1159/000547116
Basil Alzahrani, Mohammed Albin Ahmed, Anas Alzahrani, Abbas Alhejji, Ali Al Zahrani
{"title":"单剂量派姆单抗、多西他赛和顺铂治疗导致局部晚期下咽鳞状细胞癌完全消失:1例报告。","authors":"Basil Alzahrani, Mohammed Albin Ahmed, Anas Alzahrani, Abbas Alhejji, Ali Al Zahrani","doi":"10.1159/000547116","DOIUrl":null,"url":null,"abstract":"<p><strong>Introduction: </strong>Immune-checkpoint inhibition has improved the outcomes of patients with a metastatic squamous cell carcinoma in the head and neck. The combination of pembrolizumab, platinum agent, and 5-fluorouracil had been shown to improve the survival of patients with a positive programmed death ligand 1 (PD-L1) test and had become the standard treatment. Patients with a high combined positive score (CPS) of >20 can be treated solely with pembrolizumab. The treatment is usually continued until disease progression. Induction immunotherapy has also shown benefits.</p><p><strong>Case presentation: </strong>We present a case of a locally advanced hypopharyngeal squamous cell carcinoma in a 63-year-old Arabic man who was started on pembrolizumab, docetaxel, and cisplatin for the first treatment cycle, but he failed to show up for the subsequent cycles due to the coronavirus disease 2019 pandemic restrictions. He came back after 10 months with complete clinical and radiological response.</p><p><strong>Conclusion: </strong>The present report may possibly be the first to report a case of locally advanced squamous cell carcinoma of the hypopharynx that showed complete clinical and radiological response to a single dose of pembrolizumab, docetaxel, and cisplatin.</p>","PeriodicalId":9625,"journal":{"name":"Case Reports in Oncology","volume":"18 1","pages":"1012-1020"},"PeriodicalIF":0.7000,"publicationDate":"2025-06-25","publicationTypes":"Journal Article","fieldsOfStudy":null,"isOpenAccess":false,"openAccessPdf":"https://www.ncbi.nlm.nih.gov/pmc/articles/PMC12306960/pdf/","citationCount":"0","resultStr":"{\"title\":\"Administration of a Single Dose of Pembrolizumab, Docetaxel, and Cisplatin Leads to Complete Disappearance of a Locally Advanced Hypopharyngeal Squamous Cell Carcinoma: A Case Report.\",\"authors\":\"Basil Alzahrani, Mohammed Albin Ahmed, Anas Alzahrani, Abbas Alhejji, Ali Al Zahrani\",\"doi\":\"10.1159/000547116\",\"DOIUrl\":null,\"url\":null,\"abstract\":\"<p><strong>Introduction: </strong>Immune-checkpoint inhibition has improved the outcomes of patients with a metastatic squamous cell carcinoma in the head and neck. The combination of pembrolizumab, platinum agent, and 5-fluorouracil had been shown to improve the survival of patients with a positive programmed death ligand 1 (PD-L1) test and had become the standard treatment. Patients with a high combined positive score (CPS) of >20 can be treated solely with pembrolizumab. The treatment is usually continued until disease progression. Induction immunotherapy has also shown benefits.</p><p><strong>Case presentation: </strong>We present a case of a locally advanced hypopharyngeal squamous cell carcinoma in a 63-year-old Arabic man who was started on pembrolizumab, docetaxel, and cisplatin for the first treatment cycle, but he failed to show up for the subsequent cycles due to the coronavirus disease 2019 pandemic restrictions. He came back after 10 months with complete clinical and radiological response.</p><p><strong>Conclusion: </strong>The present report may possibly be the first to report a case of locally advanced squamous cell carcinoma of the hypopharynx that showed complete clinical and radiological response to a single dose of pembrolizumab, docetaxel, and cisplatin.</p>\",\"PeriodicalId\":9625,\"journal\":{\"name\":\"Case Reports in Oncology\",\"volume\":\"18 1\",\"pages\":\"1012-1020\"},\"PeriodicalIF\":0.7000,\"publicationDate\":\"2025-06-25\",\"publicationTypes\":\"Journal Article\",\"fieldsOfStudy\":null,\"isOpenAccess\":false,\"openAccessPdf\":\"https://www.ncbi.nlm.nih.gov/pmc/articles/PMC12306960/pdf/\",\"citationCount\":\"0\",\"resultStr\":null,\"platform\":\"Semanticscholar\",\"paperid\":null,\"PeriodicalName\":\"Case Reports in Oncology\",\"FirstCategoryId\":\"1085\",\"ListUrlMain\":\"https://doi.org/10.1159/000547116\",\"RegionNum\":0,\"RegionCategory\":null,\"ArticlePicture\":[],\"TitleCN\":null,\"AbstractTextCN\":null,\"PMCID\":null,\"EPubDate\":\"2025/1/1 0:00:00\",\"PubModel\":\"eCollection\",\"JCR\":\"Q4\",\"JCRName\":\"ONCOLOGY\",\"Score\":null,\"Total\":0}","platform":"Semanticscholar","paperid":null,"PeriodicalName":"Case Reports in Oncology","FirstCategoryId":"1085","ListUrlMain":"https://doi.org/10.1159/000547116","RegionNum":0,"RegionCategory":null,"ArticlePicture":[],"TitleCN":null,"AbstractTextCN":null,"PMCID":null,"EPubDate":"2025/1/1 0:00:00","PubModel":"eCollection","JCR":"Q4","JCRName":"ONCOLOGY","Score":null,"Total":0}
引用次数: 0

摘要

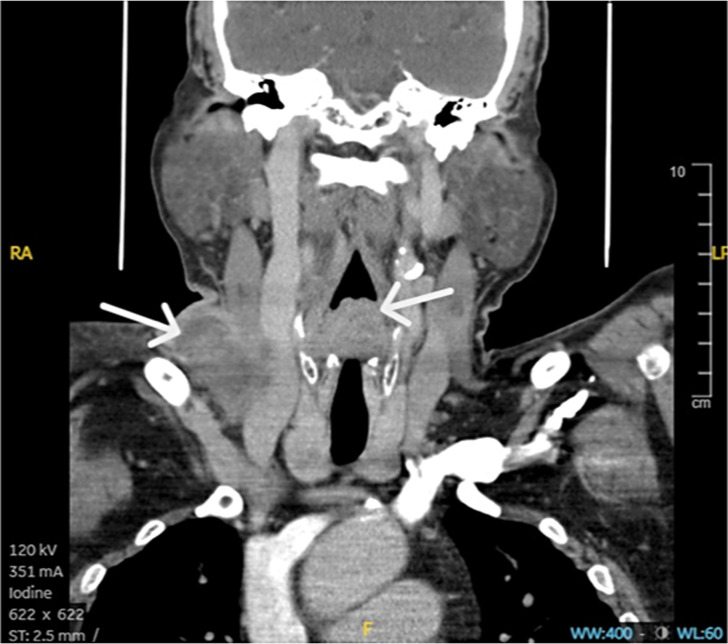
免疫检查点抑制改善了头颈部转移性鳞状细胞癌患者的预后。派姆单抗、铂类药物和5-氟尿嘧啶联合应用已被证明可提高程序性死亡配体1 (PD-L1)试验阳性患者的生存率,并已成为标准治疗方法。联合阳性评分(CPS)为bbb20的患者可以单独使用派姆单抗治疗。治疗通常持续到疾病进展。诱导免疫疗法也显示出益处。病例介绍:我们报告了一例63岁的阿拉伯男性局部晚期下咽鳞状细胞癌,他在第一个治疗周期开始使用派姆单抗、多西他赛和顺铂,但由于冠状病毒病2019大流行的限制,他未能出现在随后的周期中。10个月后,他的临床和放射学反应完全好转。结论:本报告可能是首个报道局部晚期下咽鳞状细胞癌对单剂量派姆单抗、多西他赛和顺铂表现出完全临床和放射学反应的病例。
本文章由计算机程序翻译,如有差异,请以英文原文为准。

Administration of a Single Dose of Pembrolizumab, Docetaxel, and Cisplatin Leads to Complete Disappearance of a Locally Advanced Hypopharyngeal Squamous Cell Carcinoma: A Case Report.

Administration of a Single Dose of Pembrolizumab, Docetaxel, and Cisplatin Leads to Complete Disappearance of a Locally Advanced Hypopharyngeal Squamous Cell Carcinoma: A Case Report.

Administration of a Single Dose of Pembrolizumab, Docetaxel, and Cisplatin Leads to Complete Disappearance of a Locally Advanced Hypopharyngeal Squamous Cell Carcinoma: A Case Report.

Administration of a Single Dose of Pembrolizumab, Docetaxel, and Cisplatin Leads to Complete Disappearance of a Locally Advanced Hypopharyngeal Squamous Cell Carcinoma: A Case Report.

Introduction: Immune-checkpoint inhibition has improved the outcomes of patients with a metastatic squamous cell carcinoma in the head and neck. The combination of pembrolizumab, platinum agent, and 5-fluorouracil had been shown to improve the survival of patients with a positive programmed death ligand 1 (PD-L1) test and had become the standard treatment. Patients with a high combined positive score (CPS) of >20 can be treated solely with pembrolizumab. The treatment is usually continued until disease progression. Induction immunotherapy has also shown benefits.

Case presentation: We present a case of a locally advanced hypopharyngeal squamous cell carcinoma in a 63-year-old Arabic man who was started on pembrolizumab, docetaxel, and cisplatin for the first treatment cycle, but he failed to show up for the subsequent cycles due to the coronavirus disease 2019 pandemic restrictions. He came back after 10 months with complete clinical and radiological response.

Conclusion: The present report may possibly be the first to report a case of locally advanced squamous cell carcinoma of the hypopharynx that showed complete clinical and radiological response to a single dose of pembrolizumab, docetaxel, and cisplatin.

求助全文
通过发布文献求助,成功后即可免费获取论文全文。 去求助
来源期刊
CiteScore
1.40
自引率
12.50%
发文量
151
审稿时长
7 weeks
×
引用
GB/T 7714-2015
复制
MLA
复制
APA
复制
导出至
BibTeX EndNote RefMan NoteFirst NoteExpress
×
提示
您的信息不完整,为了账户安全,请先补充。
现在去补充
×
提示
您因"违规操作"
具体请查看互助需知
我知道了
×
提示
确定
请完成安全验证×
copy
已复制链接
快去分享给好友吧!
我知道了
右上角分享
点击右上角分享
0
联系我们:info@booksci.cn Book学术提供免费学术资源搜索服务,方便国内外学者检索中英文文献。致力于提供最便捷和优质的服务体验。 Copyright © 2023 布克学术 All rights reserved.
京ICP备2023020795号-1
ghs 京公网安备 11010802042870号
Book学术文献互助
Book学术文献互助群
群 号:604180095
Book学术官方微信