家族性地中海热是克罗恩病儿童反复胸膜炎的原因:1例报告。

Q4 Medicine
Case Reports in Pulmonology Pub Date : 2025-07-21 eCollection Date: 2025-01-01 DOI:10.1155/crpu/9412773
Ola Alhalabi, Khaled Abouhazima, Fatima Al Maadid, Ahmed Abushahin
{"title":"家族性地中海热是克罗恩病儿童反复胸膜炎的原因:1例报告。","authors":"Ola Alhalabi, Khaled Abouhazima, Fatima Al Maadid, Ahmed Abushahin","doi":"10.1155/crpu/9412773","DOIUrl":null,"url":null,"abstract":"<p><p><b>Introduction:</b> Familial Mediterranean fever (FMF) and Crohn's disease (CD) are chronic autoinflammatory disorders that share similar clinical and biological features. Both disorders are characterized by chronic and relapsing symptoms. In some cases, FMF can coexist with CD, which makes diagnosis and treatment challenging. <b>Case Presentation:</b> A 9-year-old Egyptian child was diagnosed with CD at the age of 5, based on clinical symptoms and endoscopic histopathologic findings. Initially, the patient responded well to biological therapy (anti-TNF<i>α</i>), showing improvements in symptoms along with declines in inflammatory markers and fecal calprotectin levels. At the age of 7, the child began experiencing frequent episodes of fever accompanied by pleuritic chest pain. Right-sided pleural effusion was identified on repeated chest X-rays. The patient was diagnosed with recurrent acute bacterial pneumonia due to immune suppression and was managed with multiple courses of oral antibiotics. During the last presentation, in one of these episodes, further investigation was pursued due to a lack of response to antibiotics, indicated by persistently elevated inflammatory markers (CRP, ESR) and nonresolving mild right-sided pleural effusion. FMF was suspected based on the patient's clinical presentation and chest imaging. A detailed family history revealed a positive FMF diagnosis in a first-degree cousin. Genetic testing was performed, which revealed two heterozygous pathogenic mutations that support the FMF diagnosis. Treatment with colchicine prevented further episodes. The patient continued to receive follow-up care from the GI team for CD and was maintained on adalimumab. <b>Conclusions:</b> FMF should be considered for children with CD who exhibit pulmonary symptoms that do not respond to CD treatment.</p>","PeriodicalId":52364,"journal":{"name":"Case Reports in Pulmonology","volume":"2025 ","pages":"9412773"},"PeriodicalIF":0.0000,"publicationDate":"2025-07-21","publicationTypes":"Journal Article","fieldsOfStudy":null,"isOpenAccess":false,"openAccessPdf":"https://www.ncbi.nlm.nih.gov/pmc/articles/PMC12303644/pdf/","citationCount":"0","resultStr":"{\"title\":\"Familial Mediterranean Fever as a Cause of Recurrent Pleurisy in a Child With Crohn's Disease: A Case Report.\",\"authors\":\"Ola Alhalabi, Khaled Abouhazima, Fatima Al Maadid, Ahmed Abushahin\",\"doi\":\"10.1155/crpu/9412773\",\"DOIUrl\":null,\"url\":null,\"abstract\":\"<p><p><b>Introduction:</b> Familial Mediterranean fever (FMF) and Crohn's disease (CD) are chronic autoinflammatory disorders that share similar clinical and biological features. Both disorders are characterized by chronic and relapsing symptoms. In some cases, FMF can coexist with CD, which makes diagnosis and treatment challenging. <b>Case Presentation:</b> A 9-year-old Egyptian child was diagnosed with CD at the age of 5, based on clinical symptoms and endoscopic histopathologic findings. Initially, the patient responded well to biological therapy (anti-TNF<i>α</i>), showing improvements in symptoms along with declines in inflammatory markers and fecal calprotectin levels. At the age of 7, the child began experiencing frequent episodes of fever accompanied by pleuritic chest pain. Right-sided pleural effusion was identified on repeated chest X-rays. The patient was diagnosed with recurrent acute bacterial pneumonia due to immune suppression and was managed with multiple courses of oral antibiotics. During the last presentation, in one of these episodes, further investigation was pursued due to a lack of response to antibiotics, indicated by persistently elevated inflammatory markers (CRP, ESR) and nonresolving mild right-sided pleural effusion. FMF was suspected based on the patient's clinical presentation and chest imaging. A detailed family history revealed a positive FMF diagnosis in a first-degree cousin. Genetic testing was performed, which revealed two heterozygous pathogenic mutations that support the FMF diagnosis. Treatment with colchicine prevented further episodes. The patient continued to receive follow-up care from the GI team for CD and was maintained on adalimumab. <b>Conclusions:</b> FMF should be considered for children with CD who exhibit pulmonary symptoms that do not respond to CD treatment.</p>\",\"PeriodicalId\":52364,\"journal\":{\"name\":\"Case Reports in Pulmonology\",\"volume\":\"2025 \",\"pages\":\"9412773\"},\"PeriodicalIF\":0.0000,\"publicationDate\":\"2025-07-21\",\"publicationTypes\":\"Journal Article\",\"fieldsOfStudy\":null,\"isOpenAccess\":false,\"openAccessPdf\":\"https://www.ncbi.nlm.nih.gov/pmc/articles/PMC12303644/pdf/\",\"citationCount\":\"0\",\"resultStr\":null,\"platform\":\"Semanticscholar\",\"paperid\":null,\"PeriodicalName\":\"Case Reports in Pulmonology\",\"FirstCategoryId\":\"1085\",\"ListUrlMain\":\"https://doi.org/10.1155/crpu/9412773\",\"RegionNum\":0,\"RegionCategory\":null,\"ArticlePicture\":[],\"TitleCN\":null,\"AbstractTextCN\":null,\"PMCID\":null,\"EPubDate\":\"2025/1/1 0:00:00\",\"PubModel\":\"eCollection\",\"JCR\":\"Q4\",\"JCRName\":\"Medicine\",\"Score\":null,\"Total\":0}","platform":"Semanticscholar","paperid":null,"PeriodicalName":"Case Reports in Pulmonology","FirstCategoryId":"1085","ListUrlMain":"https://doi.org/10.1155/crpu/9412773","RegionNum":0,"RegionCategory":null,"ArticlePicture":[],"TitleCN":null,"AbstractTextCN":null,"PMCID":null,"EPubDate":"2025/1/1 0:00:00","PubModel":"eCollection","JCR":"Q4","JCRName":"Medicine","Score":null,"Total":0}
引用次数: 0

摘要

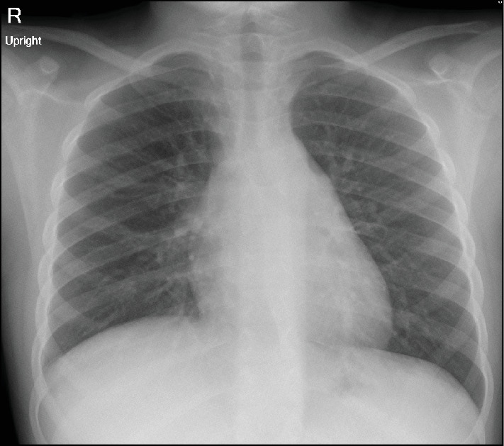
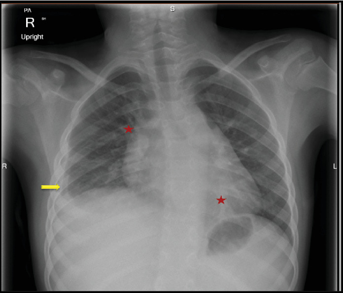
家族性地中海热(FMF)和克罗恩病(CD)是两种具有相似临床和生物学特征的慢性自身炎症性疾病。这两种疾病的特点都是慢性和复发性症状。在某些情况下,FMF可以与乳糜泻共存,这使得诊断和治疗具有挑战性。病例介绍:一名9岁的埃及儿童在5岁时根据临床症状和内窥镜组织病理学检查结果被诊断为乳糜泻。最初,患者对生物治疗(抗tnf α)反应良好,症状改善,炎症标志物和粪便钙保护蛋白水平下降。7岁时,患儿开始出现频繁发热并伴有胸膜炎性胸痛。多次胸部x光检查发现右侧胸腔积液。由于免疫抑制,患者被诊断为复发性急性细菌性肺炎,并接受了多个疗程的口服抗生素治疗。在最后一次报告中,在其中一次发作中,由于对抗生素缺乏反应,持续升高的炎症标志物(CRP, ESR)和无法解决的轻度右侧胸腔积液,因此进行了进一步的调查。根据患者的临床表现和胸部影像学,怀疑为FMF。详细的家族史显示,一位一级表亲有FMF阳性诊断。进行基因检测,发现两个杂合致病突变,支持FMF诊断。秋水仙碱治疗可防止进一步发作。患者继续接受胃肠道小组对CD的随访护理,并维持阿达木单抗。结论:对于表现出肺部症状且对乳糜泻治疗无反应的乳糜泻患儿,应考虑FMF。
本文章由计算机程序翻译,如有差异,请以英文原文为准。

Familial Mediterranean Fever as a Cause of Recurrent Pleurisy in a Child With Crohn's Disease: A Case Report.

Familial Mediterranean Fever as a Cause of Recurrent Pleurisy in a Child With Crohn's Disease: A Case Report.

Familial Mediterranean Fever as a Cause of Recurrent Pleurisy in a Child With Crohn's Disease: A Case Report.

Familial Mediterranean Fever as a Cause of Recurrent Pleurisy in a Child With Crohn's Disease: A Case Report.

Introduction: Familial Mediterranean fever (FMF) and Crohn's disease (CD) are chronic autoinflammatory disorders that share similar clinical and biological features. Both disorders are characterized by chronic and relapsing symptoms. In some cases, FMF can coexist with CD, which makes diagnosis and treatment challenging. Case Presentation: A 9-year-old Egyptian child was diagnosed with CD at the age of 5, based on clinical symptoms and endoscopic histopathologic findings. Initially, the patient responded well to biological therapy (anti-TNFα), showing improvements in symptoms along with declines in inflammatory markers and fecal calprotectin levels. At the age of 7, the child began experiencing frequent episodes of fever accompanied by pleuritic chest pain. Right-sided pleural effusion was identified on repeated chest X-rays. The patient was diagnosed with recurrent acute bacterial pneumonia due to immune suppression and was managed with multiple courses of oral antibiotics. During the last presentation, in one of these episodes, further investigation was pursued due to a lack of response to antibiotics, indicated by persistently elevated inflammatory markers (CRP, ESR) and nonresolving mild right-sided pleural effusion. FMF was suspected based on the patient's clinical presentation and chest imaging. A detailed family history revealed a positive FMF diagnosis in a first-degree cousin. Genetic testing was performed, which revealed two heterozygous pathogenic mutations that support the FMF diagnosis. Treatment with colchicine prevented further episodes. The patient continued to receive follow-up care from the GI team for CD and was maintained on adalimumab. Conclusions: FMF should be considered for children with CD who exhibit pulmonary symptoms that do not respond to CD treatment.

求助全文
通过发布文献求助,成功后即可免费获取论文全文。 去求助
来源期刊
Case Reports in Pulmonology
Case Reports in Pulmonology Medicine-Pulmonary and Respiratory Medicine
CiteScore
1.80
自引率
0.00%
发文量
23
审稿时长
13 weeks
×
引用
GB/T 7714-2015
复制
MLA
复制
APA
复制
导出至
BibTeX EndNote RefMan NoteFirst NoteExpress
×
提示
您的信息不完整,为了账户安全,请先补充。
现在去补充
×
提示
您因"违规操作"
具体请查看互助需知
我知道了
×
提示
确定
请完成安全验证×
copy
已复制链接
快去分享给好友吧!
我知道了
右上角分享
点击右上角分享
0
联系我们:info@booksci.cn Book学术提供免费学术资源搜索服务,方便国内外学者检索中英文文献。致力于提供最便捷和优质的服务体验。 Copyright © 2023 布克学术 All rights reserved.
京ICP备2023020795号-1
ghs 京公网安备 11010802042870号
Book学术文献互助
Book学术文献互助群
群 号:604180095
Book学术官方微信