种植体邻近保留根碎片的骨整合:11年随访1例。

IF 0.9 Q4 DENTISTRY, ORAL SURGERY & MEDICINE
Case Reports in Dentistry Pub Date : 2025-07-20 eCollection Date: 2025-01-01 DOI:10.1155/crid/5547549
Esra Uyguc, Ekin Yaylaci, Beril Koyuncu, Ovul Kumbuloglu
{"title":"种植体邻近保留根碎片的骨整合:11年随访1例。","authors":"Esra Uyguc, Ekin Yaylaci, Beril Koyuncu, Ovul Kumbuloglu","doi":"10.1155/crid/5547549","DOIUrl":null,"url":null,"abstract":"<p><p><b>Introduction:</b> There is a growing demand for implant dentistry as the first choice of rehabilitation for treating patients with missing teeth. Clinicians can encounter asymptomatic retained root fragments in edentulous spaces. This case report presents the long-term prognosis of an implant resulting in late failure, with an attached root remnant to the fixture 11 years after implant placement. <b>Case Report:</b> A 68-year-old female patient presented to the clinic with complaints of function related to a maxillary right four-unit implant-supported bridge 11 years after the first insertion of the implants. After the removal of the restoration, a root remnant was found as adhered to the fixture of the middle supporting implant. The implant was placed encroaching upon the mesial part of the residual root fragment left unintentionally, which was discovered accidentally during the bridge removal. <b>Conclusion:</b> Clinicians should show ultimate attention when utilizing the retained root remnants in implant sites, considering the potential risk of hindering osseointegration. However, osseointegration of the encroached implant and root fragment is plausible, with no detrimental short-term impacts observed. A risk-benefit evaluation should be assessed individually, as late failures can still occur. <b>Trial Registration:</b> ClinicalTrials.gov identifier: NCT06671678.</p>","PeriodicalId":46841,"journal":{"name":"Case Reports in Dentistry","volume":"2025 ","pages":"5547549"},"PeriodicalIF":0.9000,"publicationDate":"2025-07-20","publicationTypes":"Journal Article","fieldsOfStudy":null,"isOpenAccess":false,"openAccessPdf":"https://www.ncbi.nlm.nih.gov/pmc/articles/PMC12301087/pdf/","citationCount":"0","resultStr":"{\"title\":\"Implant Osseointegration Adjacent to a Retained Root Fragment: A Case With 11-Year Follow-up.\",\"authors\":\"Esra Uyguc, Ekin Yaylaci, Beril Koyuncu, Ovul Kumbuloglu\",\"doi\":\"10.1155/crid/5547549\",\"DOIUrl\":null,\"url\":null,\"abstract\":\"<p><p><b>Introduction:</b> There is a growing demand for implant dentistry as the first choice of rehabilitation for treating patients with missing teeth. Clinicians can encounter asymptomatic retained root fragments in edentulous spaces. This case report presents the long-term prognosis of an implant resulting in late failure, with an attached root remnant to the fixture 11 years after implant placement. <b>Case Report:</b> A 68-year-old female patient presented to the clinic with complaints of function related to a maxillary right four-unit implant-supported bridge 11 years after the first insertion of the implants. After the removal of the restoration, a root remnant was found as adhered to the fixture of the middle supporting implant. The implant was placed encroaching upon the mesial part of the residual root fragment left unintentionally, which was discovered accidentally during the bridge removal. <b>Conclusion:</b> Clinicians should show ultimate attention when utilizing the retained root remnants in implant sites, considering the potential risk of hindering osseointegration. However, osseointegration of the encroached implant and root fragment is plausible, with no detrimental short-term impacts observed. A risk-benefit evaluation should be assessed individually, as late failures can still occur. <b>Trial Registration:</b> ClinicalTrials.gov identifier: NCT06671678.</p>\",\"PeriodicalId\":46841,\"journal\":{\"name\":\"Case Reports in Dentistry\",\"volume\":\"2025 \",\"pages\":\"5547549\"},\"PeriodicalIF\":0.9000,\"publicationDate\":\"2025-07-20\",\"publicationTypes\":\"Journal Article\",\"fieldsOfStudy\":null,\"isOpenAccess\":false,\"openAccessPdf\":\"https://www.ncbi.nlm.nih.gov/pmc/articles/PMC12301087/pdf/\",\"citationCount\":\"0\",\"resultStr\":null,\"platform\":\"Semanticscholar\",\"paperid\":null,\"PeriodicalName\":\"Case Reports in Dentistry\",\"FirstCategoryId\":\"1085\",\"ListUrlMain\":\"https://doi.org/10.1155/crid/5547549\",\"RegionNum\":0,\"RegionCategory\":null,\"ArticlePicture\":[],\"TitleCN\":null,\"AbstractTextCN\":null,\"PMCID\":null,\"EPubDate\":\"2025/1/1 0:00:00\",\"PubModel\":\"eCollection\",\"JCR\":\"Q4\",\"JCRName\":\"DENTISTRY, ORAL SURGERY & MEDICINE\",\"Score\":null,\"Total\":0}","platform":"Semanticscholar","paperid":null,"PeriodicalName":"Case Reports in Dentistry","FirstCategoryId":"1085","ListUrlMain":"https://doi.org/10.1155/crid/5547549","RegionNum":0,"RegionCategory":null,"ArticlePicture":[],"TitleCN":null,"AbstractTextCN":null,"PMCID":null,"EPubDate":"2025/1/1 0:00:00","PubModel":"eCollection","JCR":"Q4","JCRName":"DENTISTRY, ORAL SURGERY & MEDICINE","Score":null,"Total":0}
引用次数: 0

摘要

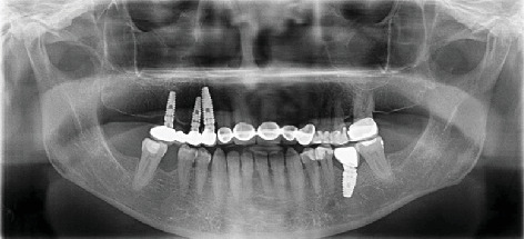
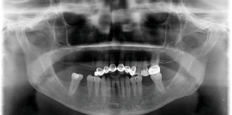
前言:种植牙科作为治疗缺牙患者康复的首选,其需求日益增长。临床医生可以在无牙空间遇到无症状的保留根碎片。本病例报告介绍了种植体晚期失败的长期预后,种植体放置11年后仍有根残余附着在固定装置上。病例报告:一名68岁女性患者在首次植入种植体11年后,因上颌右侧四单元种植体支撑桥功能相关而就诊。拔除修复体后,发现残根附着在中间支撑种植体的固定物上。种植体无意中侵占了残根碎片的中间部分,这是在拔桥时意外发现的。结论:考虑到潜在的阻碍骨整合的风险,临床医生在种植体中使用保留的根残余物时应格外注意。然而,被侵占的种植体和根碎片的骨整合是合理的,没有观察到有害的短期影响。风险-收益评估应该单独评估,因为后期失败仍然可能发生。试验注册:ClinicalTrials.gov标识符:NCT06671678。
本文章由计算机程序翻译,如有差异,请以英文原文为准。

Implant Osseointegration Adjacent to a Retained Root Fragment: A Case With 11-Year Follow-up.

Implant Osseointegration Adjacent to a Retained Root Fragment: A Case With 11-Year Follow-up.

Implant Osseointegration Adjacent to a Retained Root Fragment: A Case With 11-Year Follow-up.

Implant Osseointegration Adjacent to a Retained Root Fragment: A Case With 11-Year Follow-up.

Introduction: There is a growing demand for implant dentistry as the first choice of rehabilitation for treating patients with missing teeth. Clinicians can encounter asymptomatic retained root fragments in edentulous spaces. This case report presents the long-term prognosis of an implant resulting in late failure, with an attached root remnant to the fixture 11 years after implant placement. Case Report: A 68-year-old female patient presented to the clinic with complaints of function related to a maxillary right four-unit implant-supported bridge 11 years after the first insertion of the implants. After the removal of the restoration, a root remnant was found as adhered to the fixture of the middle supporting implant. The implant was placed encroaching upon the mesial part of the residual root fragment left unintentionally, which was discovered accidentally during the bridge removal. Conclusion: Clinicians should show ultimate attention when utilizing the retained root remnants in implant sites, considering the potential risk of hindering osseointegration. However, osseointegration of the encroached implant and root fragment is plausible, with no detrimental short-term impacts observed. A risk-benefit evaluation should be assessed individually, as late failures can still occur. Trial Registration: ClinicalTrials.gov identifier: NCT06671678.

求助全文
通过发布文献求助,成功后即可免费获取论文全文。 去求助
来源期刊
Case Reports in Dentistry
Case Reports in Dentistry DENTISTRY, ORAL SURGERY & MEDICINE-
CiteScore
1.40
自引率
12.50%
发文量
107
审稿时长
14 weeks
期刊介绍: Case Reports in Dentistry is a peer-reviewed, Open Access journal that publishes case reports and case series in all areas of dentistry, including periodontal diseases, dental implants, oral pathology, as well as oral and maxillofacial surgery.
×
引用
GB/T 7714-2015
复制
MLA
复制
APA
复制
导出至
BibTeX EndNote RefMan NoteFirst NoteExpress
×
提示
您的信息不完整,为了账户安全,请先补充。
现在去补充
×
提示
您因"违规操作"
具体请查看互助需知
我知道了
×
提示
确定
请完成安全验证×
copy
已复制链接
快去分享给好友吧!
我知道了
右上角分享
点击右上角分享
0
联系我们:info@booksci.cn Book学术提供免费学术资源搜索服务,方便国内外学者检索中英文文献。致力于提供最便捷和优质的服务体验。 Copyright © 2023 布克学术 All rights reserved.
京ICP备2023020795号-1
ghs 京公网安备 11010802042870号
Book学术文献互助
Book学术文献互助群
群 号:604180095
Book学术官方微信