模仿肺部恶性肿瘤的矽肺:一个病例系列。

IF 0.8 Q4 RESPIRATORY SYSTEM
Respirology Case Reports Pub Date : 2025-07-28 eCollection Date: 2025-07-01 DOI:10.1002/rcr2.70298
Titia van Duin, Carmen Ambarus, Wouter van Es, Sophie van der Mark, Franz Schramel
{"title":"模仿肺部恶性肿瘤的矽肺:一个病例系列。","authors":"Titia van Duin, Carmen Ambarus, Wouter van Es, Sophie van der Mark, Franz Schramel","doi":"10.1002/rcr2.70298","DOIUrl":null,"url":null,"abstract":"<p><p>Silicosis, an important occupational disease, is caused by inhalation of silicon dioxide and can lead to pulmonary inflammation and fibrosis. Silicosis can be misdiagnosed for malignant disease, as both can present with hypermetabolic lesions on FDG-PET imaging. This case series describes three patients who were suspected to have a primary lung malignancy based on FDG-PET findings, but were found to have pulmonary silicosis. With this series, we demonstrate how histologic examination can differentiate between silicosis and malignancy and provide suggestions to help clinicians differentiate between these two illnesses.</p>","PeriodicalId":45846,"journal":{"name":"Respirology Case Reports","volume":"13 7","pages":"e70298"},"PeriodicalIF":0.8000,"publicationDate":"2025-07-28","publicationTypes":"Journal Article","fieldsOfStudy":null,"isOpenAccess":false,"openAccessPdf":"https://www.ncbi.nlm.nih.gov/pmc/articles/PMC12303609/pdf/","citationCount":"0","resultStr":"{\"title\":\"Silicosis Mimicking Lung Malignancy: A Case Series.\",\"authors\":\"Titia van Duin, Carmen Ambarus, Wouter van Es, Sophie van der Mark, Franz Schramel\",\"doi\":\"10.1002/rcr2.70298\",\"DOIUrl\":null,\"url\":null,\"abstract\":\"<p><p>Silicosis, an important occupational disease, is caused by inhalation of silicon dioxide and can lead to pulmonary inflammation and fibrosis. Silicosis can be misdiagnosed for malignant disease, as both can present with hypermetabolic lesions on FDG-PET imaging. This case series describes three patients who were suspected to have a primary lung malignancy based on FDG-PET findings, but were found to have pulmonary silicosis. With this series, we demonstrate how histologic examination can differentiate between silicosis and malignancy and provide suggestions to help clinicians differentiate between these two illnesses.</p>\",\"PeriodicalId\":45846,\"journal\":{\"name\":\"Respirology Case Reports\",\"volume\":\"13 7\",\"pages\":\"e70298\"},\"PeriodicalIF\":0.8000,\"publicationDate\":\"2025-07-28\",\"publicationTypes\":\"Journal Article\",\"fieldsOfStudy\":null,\"isOpenAccess\":false,\"openAccessPdf\":\"https://www.ncbi.nlm.nih.gov/pmc/articles/PMC12303609/pdf/\",\"citationCount\":\"0\",\"resultStr\":null,\"platform\":\"Semanticscholar\",\"paperid\":null,\"PeriodicalName\":\"Respirology Case Reports\",\"FirstCategoryId\":\"1085\",\"ListUrlMain\":\"https://doi.org/10.1002/rcr2.70298\",\"RegionNum\":0,\"RegionCategory\":null,\"ArticlePicture\":[],\"TitleCN\":null,\"AbstractTextCN\":null,\"PMCID\":null,\"EPubDate\":\"2025/7/1 0:00:00\",\"PubModel\":\"eCollection\",\"JCR\":\"Q4\",\"JCRName\":\"RESPIRATORY SYSTEM\",\"Score\":null,\"Total\":0}","platform":"Semanticscholar","paperid":null,"PeriodicalName":"Respirology Case Reports","FirstCategoryId":"1085","ListUrlMain":"https://doi.org/10.1002/rcr2.70298","RegionNum":0,"RegionCategory":null,"ArticlePicture":[],"TitleCN":null,"AbstractTextCN":null,"PMCID":null,"EPubDate":"2025/7/1 0:00:00","PubModel":"eCollection","JCR":"Q4","JCRName":"RESPIRATORY SYSTEM","Score":null,"Total":0}
引用次数: 0

摘要

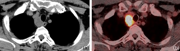
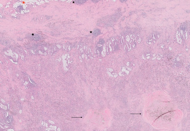
矽肺病是一种重要的职业病,由吸入二氧化硅引起,可导致肺部炎症和纤维化。矽肺可误诊为恶性疾病,因为两者在FDG-PET成像上均可表现为高代谢病变。本病例系列描述了3例基于FDG-PET检查结果怀疑有原发性肺恶性肿瘤的患者,但发现有肺矽肺病。通过这个系列,我们展示了组织学检查如何区分矽肺和恶性肿瘤,并提供建议,以帮助临床医生区分这两种疾病。
本文章由计算机程序翻译,如有差异,请以英文原文为准。

Silicosis Mimicking Lung Malignancy: A Case Series.

Silicosis Mimicking Lung Malignancy: A Case Series.

Silicosis Mimicking Lung Malignancy: A Case Series.

Silicosis Mimicking Lung Malignancy: A Case Series.

Silicosis, an important occupational disease, is caused by inhalation of silicon dioxide and can lead to pulmonary inflammation and fibrosis. Silicosis can be misdiagnosed for malignant disease, as both can present with hypermetabolic lesions on FDG-PET imaging. This case series describes three patients who were suspected to have a primary lung malignancy based on FDG-PET findings, but were found to have pulmonary silicosis. With this series, we demonstrate how histologic examination can differentiate between silicosis and malignancy and provide suggestions to help clinicians differentiate between these two illnesses.

求助全文
通过发布文献求助,成功后即可免费获取论文全文。 去求助
来源期刊
Respirology Case Reports
Respirology Case Reports RESPIRATORY SYSTEM-
CiteScore
1.40
自引率
0.00%
发文量
178
审稿时长
8 weeks
期刊介绍: Respirology Case Reports is an open-access online journal dedicated to the publication of original clinical case reports, case series, clinical images and clinical videos in all fields of respiratory medicine. The Journal encourages the international exchange between clinicians and researchers of experiences in diagnosing and treating uncommon diseases or diseases with unusual presentations. All manuscripts are peer-reviewed through a streamlined process that aims at providing a rapid turnaround time from submission to publication.
×
引用
GB/T 7714-2015
复制
MLA
复制
APA
复制
导出至
BibTeX EndNote RefMan NoteFirst NoteExpress
×
提示
您的信息不完整,为了账户安全,请先补充。
现在去补充
×
提示
您因"违规操作"
具体请查看互助需知
我知道了
×
提示
确定
请完成安全验证×
copy
已复制链接
快去分享给好友吧!
我知道了
右上角分享
点击右上角分享
0
联系我们:info@booksci.cn Book学术提供免费学术资源搜索服务,方便国内外学者检索中英文文献。致力于提供最便捷和优质的服务体验。 Copyright © 2023 布克学术 All rights reserved.
京ICP备2023020795号-1
ghs 京公网安备 11010802042870号
Book学术文献互助
Book学术文献互助群
群 号:604180095
Book学术官方微信