原发性肺平滑肌肉瘤:一个90岁女性放疗和帕唑帕尼延长生存的案例。

IF 0.8 Q4 RESPIRATORY SYSTEM
Respirology Case Reports Pub Date : 2025-07-28 eCollection Date: 2025-07-01 DOI:10.1002/rcr2.70301
Sathish Krishnan, Vijaya Sivalingam Ramalingam, Chandrika Patel, Jennifer Heisick
{"title":"原发性肺平滑肌肉瘤:一个90岁女性放疗和帕唑帕尼延长生存的案例。","authors":"Sathish Krishnan, Vijaya Sivalingam Ramalingam, Chandrika Patel, Jennifer Heisick","doi":"10.1002/rcr2.70301","DOIUrl":null,"url":null,"abstract":"<p><p>Primary pulmonary leiomyosarcoma is an exceedingly rare malignancy, comprising less than 0.5% of all lung cancers. Due to its rarity, no standardised treatment guidelines exist. Prognosis is especially poor in cases which are deemed unresectable. We describe the case of a 90-year-old woman who presented with progressive dyspnea and cough over 1 month. Chest computed tomography revealed a large right hilar mass extending into the right upper and middle lobes, abutting the mediastinum and pericardium. Histopathological analysis confirmed primary pulmonary leiomyosarcoma. Given her advanced age and comorbidities, she was not a candidate for surgical intervention. Molecular profiling demonstrated PDL1 expression < 1% and no targetable mutations, ruling out the option of immunotherapy. She was managed with palliative radiotherapy followed by pazopanib therapy. Serial imaging demonstrated disease control, with an extended survival of approximately 5 years. Despite a median reported survival of 14 months, our patient achieved prolonged survival, highlighting the importance of an individualised therapeutic approach for elderly patients with rare malignancies.</p>","PeriodicalId":45846,"journal":{"name":"Respirology Case Reports","volume":"13 7","pages":"e70301"},"PeriodicalIF":0.8000,"publicationDate":"2025-07-28","publicationTypes":"Journal Article","fieldsOfStudy":null,"isOpenAccess":false,"openAccessPdf":"https://www.ncbi.nlm.nih.gov/pmc/articles/PMC12303610/pdf/","citationCount":"0","resultStr":"{\"title\":\"Primary Pulmonary Leiomyosarcoma: A Case of Prolonged Survival With Radiotherapy and Pazopanib in a 90-Year-Old Female.\",\"authors\":\"Sathish Krishnan, Vijaya Sivalingam Ramalingam, Chandrika Patel, Jennifer Heisick\",\"doi\":\"10.1002/rcr2.70301\",\"DOIUrl\":null,\"url\":null,\"abstract\":\"<p><p>Primary pulmonary leiomyosarcoma is an exceedingly rare malignancy, comprising less than 0.5% of all lung cancers. Due to its rarity, no standardised treatment guidelines exist. Prognosis is especially poor in cases which are deemed unresectable. We describe the case of a 90-year-old woman who presented with progressive dyspnea and cough over 1 month. Chest computed tomography revealed a large right hilar mass extending into the right upper and middle lobes, abutting the mediastinum and pericardium. Histopathological analysis confirmed primary pulmonary leiomyosarcoma. Given her advanced age and comorbidities, she was not a candidate for surgical intervention. Molecular profiling demonstrated PDL1 expression < 1% and no targetable mutations, ruling out the option of immunotherapy. She was managed with palliative radiotherapy followed by pazopanib therapy. Serial imaging demonstrated disease control, with an extended survival of approximately 5 years. Despite a median reported survival of 14 months, our patient achieved prolonged survival, highlighting the importance of an individualised therapeutic approach for elderly patients with rare malignancies.</p>\",\"PeriodicalId\":45846,\"journal\":{\"name\":\"Respirology Case Reports\",\"volume\":\"13 7\",\"pages\":\"e70301\"},\"PeriodicalIF\":0.8000,\"publicationDate\":\"2025-07-28\",\"publicationTypes\":\"Journal Article\",\"fieldsOfStudy\":null,\"isOpenAccess\":false,\"openAccessPdf\":\"https://www.ncbi.nlm.nih.gov/pmc/articles/PMC12303610/pdf/\",\"citationCount\":\"0\",\"resultStr\":null,\"platform\":\"Semanticscholar\",\"paperid\":null,\"PeriodicalName\":\"Respirology Case Reports\",\"FirstCategoryId\":\"1085\",\"ListUrlMain\":\"https://doi.org/10.1002/rcr2.70301\",\"RegionNum\":0,\"RegionCategory\":null,\"ArticlePicture\":[],\"TitleCN\":null,\"AbstractTextCN\":null,\"PMCID\":null,\"EPubDate\":\"2025/7/1 0:00:00\",\"PubModel\":\"eCollection\",\"JCR\":\"Q4\",\"JCRName\":\"RESPIRATORY SYSTEM\",\"Score\":null,\"Total\":0}","platform":"Semanticscholar","paperid":null,"PeriodicalName":"Respirology Case Reports","FirstCategoryId":"1085","ListUrlMain":"https://doi.org/10.1002/rcr2.70301","RegionNum":0,"RegionCategory":null,"ArticlePicture":[],"TitleCN":null,"AbstractTextCN":null,"PMCID":null,"EPubDate":"2025/7/1 0:00:00","PubModel":"eCollection","JCR":"Q4","JCRName":"RESPIRATORY SYSTEM","Score":null,"Total":0}
引用次数: 0

摘要

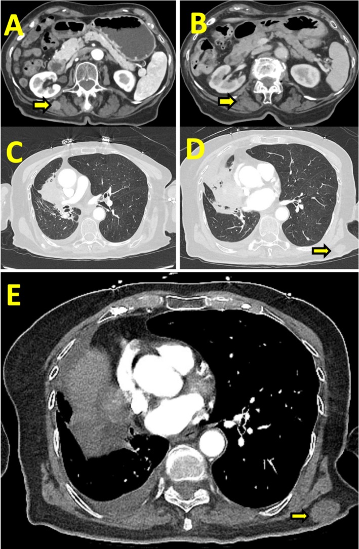
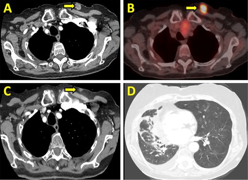
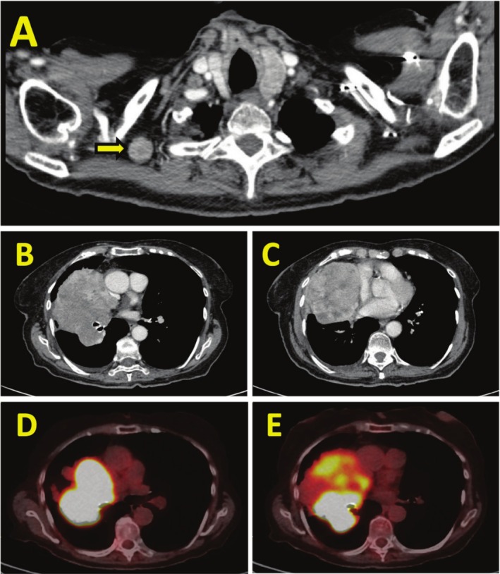
原发性肺平滑肌肉瘤是一种极为罕见的恶性肿瘤,占所有肺癌的不到0.5%。由于罕见,没有标准化的治疗指南。在被认为不能切除的病例中,预后尤其差。我们描述的情况下,一个90岁的妇女谁提出了进行性呼吸困难和咳嗽超过1个月。胸部计算机断层扫描显示一个大的右肺门肿块,延伸到右上叶和中叶,毗邻纵隔和心包膜。组织病理学分析证实为原发性肺平滑肌肉瘤。考虑到她的高龄和合并症,她不适合手术治疗。分子分析显示PDL1表达
本文章由计算机程序翻译,如有差异,请以英文原文为准。

Primary Pulmonary Leiomyosarcoma: A Case of Prolonged Survival With Radiotherapy and Pazopanib in a 90-Year-Old Female.

Primary Pulmonary Leiomyosarcoma: A Case of Prolonged Survival With Radiotherapy and Pazopanib in a 90-Year-Old Female.

Primary Pulmonary Leiomyosarcoma: A Case of Prolonged Survival With Radiotherapy and Pazopanib in a 90-Year-Old Female.

Primary Pulmonary Leiomyosarcoma: A Case of Prolonged Survival With Radiotherapy and Pazopanib in a 90-Year-Old Female.

Primary pulmonary leiomyosarcoma is an exceedingly rare malignancy, comprising less than 0.5% of all lung cancers. Due to its rarity, no standardised treatment guidelines exist. Prognosis is especially poor in cases which are deemed unresectable. We describe the case of a 90-year-old woman who presented with progressive dyspnea and cough over 1 month. Chest computed tomography revealed a large right hilar mass extending into the right upper and middle lobes, abutting the mediastinum and pericardium. Histopathological analysis confirmed primary pulmonary leiomyosarcoma. Given her advanced age and comorbidities, she was not a candidate for surgical intervention. Molecular profiling demonstrated PDL1 expression < 1% and no targetable mutations, ruling out the option of immunotherapy. She was managed with palliative radiotherapy followed by pazopanib therapy. Serial imaging demonstrated disease control, with an extended survival of approximately 5 years. Despite a median reported survival of 14 months, our patient achieved prolonged survival, highlighting the importance of an individualised therapeutic approach for elderly patients with rare malignancies.

求助全文
通过发布文献求助,成功后即可免费获取论文全文。 去求助
来源期刊
Respirology Case Reports
Respirology Case Reports RESPIRATORY SYSTEM-
CiteScore
1.40
自引率
0.00%
发文量
178
审稿时长
8 weeks
期刊介绍: Respirology Case Reports is an open-access online journal dedicated to the publication of original clinical case reports, case series, clinical images and clinical videos in all fields of respiratory medicine. The Journal encourages the international exchange between clinicians and researchers of experiences in diagnosing and treating uncommon diseases or diseases with unusual presentations. All manuscripts are peer-reviewed through a streamlined process that aims at providing a rapid turnaround time from submission to publication.
×
引用
GB/T 7714-2015
复制
MLA
复制
APA
复制
导出至
BibTeX EndNote RefMan NoteFirst NoteExpress
×
提示
您的信息不完整,为了账户安全,请先补充。
现在去补充
×
提示
您因"违规操作"
具体请查看互助需知
我知道了
×
提示
确定
请完成安全验证×
copy
已复制链接
快去分享给好友吧!
我知道了
右上角分享
点击右上角分享
0
联系我们:info@booksci.cn Book学术提供免费学术资源搜索服务,方便国内外学者检索中英文文献。致力于提供最便捷和优质的服务体验。 Copyright © 2023 布克学术 All rights reserved.
京ICP备2023020795号-1
ghs 京公网安备 11010802042870号
Book学术文献互助
Book学术文献互助群
群 号:604180095
Book学术官方微信