使用对甲苯磺酰胺双重减压的中央气道再通(CLEAR-DUAL-PTS)。

IF 0.8 Q4 RESPIRATORY SYSTEM
Respirology Case Reports Pub Date : 2025-07-25 eCollection Date: 2025-07-01 DOI:10.1002/rcr2.70285
Chen Yong Tan, Hui-Xin Tan, Yen Shen Wong, Sumithra Appava, Shoban Raj Vasudayan, Noriah Othman, Swee Wei Leong, Mona Zaria Nasaruddin, Jamalul Azizi Abdul Rahaman
{"title":"使用对甲苯磺酰胺双重减压的中央气道再通(CLEAR-DUAL-PTS)。","authors":"Chen Yong Tan, Hui-Xin Tan, Yen Shen Wong, Sumithra Appava, Shoban Raj Vasudayan, Noriah Othman, Swee Wei Leong, Mona Zaria Nasaruddin, Jamalul Azizi Abdul Rahaman","doi":"10.1002/rcr2.70285","DOIUrl":null,"url":null,"abstract":"<p><p>Pulmonary adenoid cystic carcinoma (PACC) is a rare salivary gland-type malignancy of the tracheobronchial tree, accounting for 0.04%-0.2% of primary lung cancers. It may cause severe malignant airway obstruction (SMAO), necessitating urgent intervention. Surgical resection remains the primary treatment, but inoperability or patient preference may require alternative strategies. We report a case of a 57-year-old non-smoking female with PACC-SMAO who presented with total left lung collapse due to left main bronchus (LMB) involvement. She declined surgery and underwent bronchoscopic dual debulking combining electrocautery snaring with repeated intratumoural para-toluenesulfonamide (PTS) injections. The intervention safely reduced tumour burden, restored airway patency, and significantly improved clinical and radiological outcomes without adverse events. Our case underscores PTS as a promising adjunct therapy for inoperable PACC-SMAO, warranting further investigation into its long-term efficacy and optimal dosing. This innovative approach may significantly redefine palliative care options.</p>","PeriodicalId":45846,"journal":{"name":"Respirology Case Reports","volume":"13 7","pages":"e70285"},"PeriodicalIF":0.8000,"publicationDate":"2025-07-25","publicationTypes":"Journal Article","fieldsOfStudy":null,"isOpenAccess":false,"openAccessPdf":"https://www.ncbi.nlm.nih.gov/pmc/articles/PMC12290475/pdf/","citationCount":"0","resultStr":"{\"title\":\"Central Airway Recanalisation Using Dual Debulking With Para-Toluenesulfonamide (CLEAR-DUAL-PTS).\",\"authors\":\"Chen Yong Tan, Hui-Xin Tan, Yen Shen Wong, Sumithra Appava, Shoban Raj Vasudayan, Noriah Othman, Swee Wei Leong, Mona Zaria Nasaruddin, Jamalul Azizi Abdul Rahaman\",\"doi\":\"10.1002/rcr2.70285\",\"DOIUrl\":null,\"url\":null,\"abstract\":\"<p><p>Pulmonary adenoid cystic carcinoma (PACC) is a rare salivary gland-type malignancy of the tracheobronchial tree, accounting for 0.04%-0.2% of primary lung cancers. It may cause severe malignant airway obstruction (SMAO), necessitating urgent intervention. Surgical resection remains the primary treatment, but inoperability or patient preference may require alternative strategies. We report a case of a 57-year-old non-smoking female with PACC-SMAO who presented with total left lung collapse due to left main bronchus (LMB) involvement. She declined surgery and underwent bronchoscopic dual debulking combining electrocautery snaring with repeated intratumoural para-toluenesulfonamide (PTS) injections. The intervention safely reduced tumour burden, restored airway patency, and significantly improved clinical and radiological outcomes without adverse events. Our case underscores PTS as a promising adjunct therapy for inoperable PACC-SMAO, warranting further investigation into its long-term efficacy and optimal dosing. This innovative approach may significantly redefine palliative care options.</p>\",\"PeriodicalId\":45846,\"journal\":{\"name\":\"Respirology Case Reports\",\"volume\":\"13 7\",\"pages\":\"e70285\"},\"PeriodicalIF\":0.8000,\"publicationDate\":\"2025-07-25\",\"publicationTypes\":\"Journal Article\",\"fieldsOfStudy\":null,\"isOpenAccess\":false,\"openAccessPdf\":\"https://www.ncbi.nlm.nih.gov/pmc/articles/PMC12290475/pdf/\",\"citationCount\":\"0\",\"resultStr\":null,\"platform\":\"Semanticscholar\",\"paperid\":null,\"PeriodicalName\":\"Respirology Case Reports\",\"FirstCategoryId\":\"1085\",\"ListUrlMain\":\"https://doi.org/10.1002/rcr2.70285\",\"RegionNum\":0,\"RegionCategory\":null,\"ArticlePicture\":[],\"TitleCN\":null,\"AbstractTextCN\":null,\"PMCID\":null,\"EPubDate\":\"2025/7/1 0:00:00\",\"PubModel\":\"eCollection\",\"JCR\":\"Q4\",\"JCRName\":\"RESPIRATORY SYSTEM\",\"Score\":null,\"Total\":0}","platform":"Semanticscholar","paperid":null,"PeriodicalName":"Respirology Case Reports","FirstCategoryId":"1085","ListUrlMain":"https://doi.org/10.1002/rcr2.70285","RegionNum":0,"RegionCategory":null,"ArticlePicture":[],"TitleCN":null,"AbstractTextCN":null,"PMCID":null,"EPubDate":"2025/7/1 0:00:00","PubModel":"eCollection","JCR":"Q4","JCRName":"RESPIRATORY SYSTEM","Score":null,"Total":0}
引用次数: 0

摘要

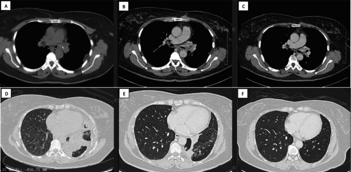
肺腺样囊性癌(PACC)是一种罕见的气管支气管树涎腺型恶性肿瘤,占原发性肺癌的0.04% ~ 0.2%。它可能导致严重的恶性气道阻塞(SMAO),需要紧急干预。手术切除仍然是主要的治疗方法,但不操作性或患者偏好可能需要其他策略。我们报告一例57岁非吸烟女性PACC-SMAO患者,由于左主支气管(LMB)受累而表现为左肺全萎。她拒绝手术,接受了支气管镜双重减压联合电灼术和肿瘤内反复注射对甲苯磺酰胺(PTS)。干预安全地减少了肿瘤负担,恢复了气道通畅,并显著改善了临床和放射预后,无不良事件。我们的病例强调PTS作为一种有希望的辅助治疗不能手术的PACC-SMAO,值得进一步研究其长期疗效和最佳剂量。这种创新的方法可能会大大重新定义姑息治疗的选择。
本文章由计算机程序翻译,如有差异,请以英文原文为准。

Central Airway Recanalisation Using Dual Debulking With Para-Toluenesulfonamide (CLEAR-DUAL-PTS).

Central Airway Recanalisation Using Dual Debulking With Para-Toluenesulfonamide (CLEAR-DUAL-PTS).

Central Airway Recanalisation Using Dual Debulking With Para-Toluenesulfonamide (CLEAR-DUAL-PTS).

Central Airway Recanalisation Using Dual Debulking With Para-Toluenesulfonamide (CLEAR-DUAL-PTS).

Pulmonary adenoid cystic carcinoma (PACC) is a rare salivary gland-type malignancy of the tracheobronchial tree, accounting for 0.04%-0.2% of primary lung cancers. It may cause severe malignant airway obstruction (SMAO), necessitating urgent intervention. Surgical resection remains the primary treatment, but inoperability or patient preference may require alternative strategies. We report a case of a 57-year-old non-smoking female with PACC-SMAO who presented with total left lung collapse due to left main bronchus (LMB) involvement. She declined surgery and underwent bronchoscopic dual debulking combining electrocautery snaring with repeated intratumoural para-toluenesulfonamide (PTS) injections. The intervention safely reduced tumour burden, restored airway patency, and significantly improved clinical and radiological outcomes without adverse events. Our case underscores PTS as a promising adjunct therapy for inoperable PACC-SMAO, warranting further investigation into its long-term efficacy and optimal dosing. This innovative approach may significantly redefine palliative care options.

求助全文
通过发布文献求助,成功后即可免费获取论文全文。 去求助
来源期刊
Respirology Case Reports
Respirology Case Reports RESPIRATORY SYSTEM-
CiteScore
1.40
自引率
0.00%
发文量
178
审稿时长
8 weeks
期刊介绍: Respirology Case Reports is an open-access online journal dedicated to the publication of original clinical case reports, case series, clinical images and clinical videos in all fields of respiratory medicine. The Journal encourages the international exchange between clinicians and researchers of experiences in diagnosing and treating uncommon diseases or diseases with unusual presentations. All manuscripts are peer-reviewed through a streamlined process that aims at providing a rapid turnaround time from submission to publication.
×
引用
GB/T 7714-2015
复制
MLA
复制
APA
复制
导出至
BibTeX EndNote RefMan NoteFirst NoteExpress
×
提示
您的信息不完整,为了账户安全,请先补充。
现在去补充
×
提示
您因"违规操作"
具体请查看互助需知
我知道了
×
提示
确定
请完成安全验证×
copy
已复制链接
快去分享给好友吧!
我知道了
右上角分享
点击右上角分享
0
联系我们:info@booksci.cn Book学术提供免费学术资源搜索服务,方便国内外学者检索中英文文献。致力于提供最便捷和优质的服务体验。 Copyright © 2023 布克学术 All rights reserved.
京ICP备2023020795号-1
ghs 京公网安备 11010802042870号
Book学术文献互助
Book学术文献互助群
群 号:604180095
Book学术官方微信