非结核性分枝杆菌肺病合并大体积肺栓塞1例。

IF 0.8 Q4 RESPIRATORY SYSTEM
Respirology Case Reports Pub Date : 2025-07-24 eCollection Date: 2025-07-01 DOI:10.1002/rcr2.70292
Yasuyuki Hayashi, Akihiko Sokai, Toshiyuki Iwata, Yuki Sakai, Naoaki Yasuda, Takashi Nishimura
{"title":"非结核性分枝杆菌肺病合并大体积肺栓塞1例。","authors":"Yasuyuki Hayashi, Akihiko Sokai, Toshiyuki Iwata, Yuki Sakai, Naoaki Yasuda, Takashi Nishimura","doi":"10.1002/rcr2.70292","DOIUrl":null,"url":null,"abstract":"<p><p>A 39-year-old man presented with fever and dyspnoea for 1 week. Imaging suggested bacterial pneumonia with infiltrates in the right lung. However, the symptoms persisted despite antibiotics. Bronchoscopy revealed coagulation necrosis, and enhanced computed tomography identified a large thrombus in the right pulmonary artery, leading to a diagnosis of pulmonary infarction. The patient was treated with direct oral anticoagulants. Two years later, new nodular lesions with cavities were observed in the upper lobe of the right lung. Bronchoscopy revealed a <i>Mycobacterium avium</i> infection. We hypothesise that nontuberculous mycobacterial (NTM) pulmonary disease may complicate chronic pulmonary embolism.</p>","PeriodicalId":45846,"journal":{"name":"Respirology Case Reports","volume":"13 7","pages":"e70292"},"PeriodicalIF":0.8000,"publicationDate":"2025-07-24","publicationTypes":"Journal Article","fieldsOfStudy":null,"isOpenAccess":false,"openAccessPdf":"https://www.ncbi.nlm.nih.gov/pmc/articles/PMC12289390/pdf/","citationCount":"0","resultStr":"{\"title\":\"A Case of Nontuberculous Mycobacterial Pulmonary Disease Complicating Massive Pulmonary Embolism.\",\"authors\":\"Yasuyuki Hayashi, Akihiko Sokai, Toshiyuki Iwata, Yuki Sakai, Naoaki Yasuda, Takashi Nishimura\",\"doi\":\"10.1002/rcr2.70292\",\"DOIUrl\":null,\"url\":null,\"abstract\":\"<p><p>A 39-year-old man presented with fever and dyspnoea for 1 week. Imaging suggested bacterial pneumonia with infiltrates in the right lung. However, the symptoms persisted despite antibiotics. Bronchoscopy revealed coagulation necrosis, and enhanced computed tomography identified a large thrombus in the right pulmonary artery, leading to a diagnosis of pulmonary infarction. The patient was treated with direct oral anticoagulants. Two years later, new nodular lesions with cavities were observed in the upper lobe of the right lung. Bronchoscopy revealed a <i>Mycobacterium avium</i> infection. We hypothesise that nontuberculous mycobacterial (NTM) pulmonary disease may complicate chronic pulmonary embolism.</p>\",\"PeriodicalId\":45846,\"journal\":{\"name\":\"Respirology Case Reports\",\"volume\":\"13 7\",\"pages\":\"e70292\"},\"PeriodicalIF\":0.8000,\"publicationDate\":\"2025-07-24\",\"publicationTypes\":\"Journal Article\",\"fieldsOfStudy\":null,\"isOpenAccess\":false,\"openAccessPdf\":\"https://www.ncbi.nlm.nih.gov/pmc/articles/PMC12289390/pdf/\",\"citationCount\":\"0\",\"resultStr\":null,\"platform\":\"Semanticscholar\",\"paperid\":null,\"PeriodicalName\":\"Respirology Case Reports\",\"FirstCategoryId\":\"1085\",\"ListUrlMain\":\"https://doi.org/10.1002/rcr2.70292\",\"RegionNum\":0,\"RegionCategory\":null,\"ArticlePicture\":[],\"TitleCN\":null,\"AbstractTextCN\":null,\"PMCID\":null,\"EPubDate\":\"2025/7/1 0:00:00\",\"PubModel\":\"eCollection\",\"JCR\":\"Q4\",\"JCRName\":\"RESPIRATORY SYSTEM\",\"Score\":null,\"Total\":0}","platform":"Semanticscholar","paperid":null,"PeriodicalName":"Respirology Case Reports","FirstCategoryId":"1085","ListUrlMain":"https://doi.org/10.1002/rcr2.70292","RegionNum":0,"RegionCategory":null,"ArticlePicture":[],"TitleCN":null,"AbstractTextCN":null,"PMCID":null,"EPubDate":"2025/7/1 0:00:00","PubModel":"eCollection","JCR":"Q4","JCRName":"RESPIRATORY SYSTEM","Score":null,"Total":0}
引用次数: 0

摘要

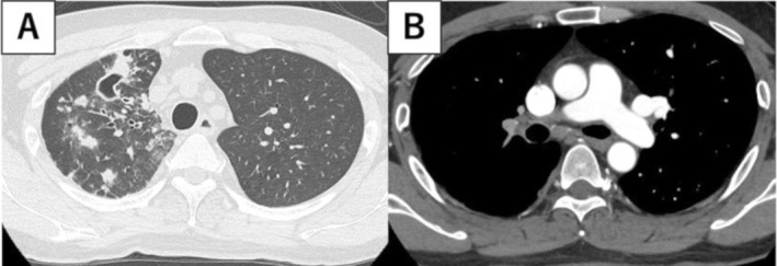
39岁男性,发热、呼吸困难1周。影像学提示右肺浸润性细菌性肺炎。然而,尽管使用抗生素,症状仍然存在。支气管镜检查显示凝固性坏死,增强计算机断层扫描发现右肺动脉有大血栓,诊断为肺梗死。患者直接口服抗凝剂治疗。两年后,在右肺上叶观察到新的结节性病变伴空洞。支气管镜检查显示鸟分枝杆菌感染。我们假设非结核性分枝杆菌(NTM)肺病可能并发慢性肺栓塞。
本文章由计算机程序翻译,如有差异,请以英文原文为准。

A Case of Nontuberculous Mycobacterial Pulmonary Disease Complicating Massive Pulmonary Embolism.

A Case of Nontuberculous Mycobacterial Pulmonary Disease Complicating Massive Pulmonary Embolism.

A Case of Nontuberculous Mycobacterial Pulmonary Disease Complicating Massive Pulmonary Embolism.

A Case of Nontuberculous Mycobacterial Pulmonary Disease Complicating Massive Pulmonary Embolism.

A 39-year-old man presented with fever and dyspnoea for 1 week. Imaging suggested bacterial pneumonia with infiltrates in the right lung. However, the symptoms persisted despite antibiotics. Bronchoscopy revealed coagulation necrosis, and enhanced computed tomography identified a large thrombus in the right pulmonary artery, leading to a diagnosis of pulmonary infarction. The patient was treated with direct oral anticoagulants. Two years later, new nodular lesions with cavities were observed in the upper lobe of the right lung. Bronchoscopy revealed a Mycobacterium avium infection. We hypothesise that nontuberculous mycobacterial (NTM) pulmonary disease may complicate chronic pulmonary embolism.

求助全文
通过发布文献求助,成功后即可免费获取论文全文。 去求助
来源期刊
Respirology Case Reports
Respirology Case Reports RESPIRATORY SYSTEM-
CiteScore
1.40
自引率
0.00%
发文量
178
审稿时长
8 weeks
期刊介绍: Respirology Case Reports is an open-access online journal dedicated to the publication of original clinical case reports, case series, clinical images and clinical videos in all fields of respiratory medicine. The Journal encourages the international exchange between clinicians and researchers of experiences in diagnosing and treating uncommon diseases or diseases with unusual presentations. All manuscripts are peer-reviewed through a streamlined process that aims at providing a rapid turnaround time from submission to publication.
×
引用
GB/T 7714-2015
复制
MLA
复制
APA
复制
导出至
BibTeX EndNote RefMan NoteFirst NoteExpress
×
提示
您的信息不完整,为了账户安全,请先补充。
现在去补充
×
提示
您因"违规操作"
具体请查看互助需知
我知道了
×
提示
确定
请完成安全验证×
copy
已复制链接
快去分享给好友吧!
我知道了
右上角分享
点击右上角分享
0
联系我们:info@booksci.cn Book学术提供免费学术资源搜索服务,方便国内外学者检索中英文文献。致力于提供最便捷和优质的服务体验。 Copyright © 2023 布克学术 All rights reserved.
京ICP备2023020795号-1
ghs 京公网安备 11010802042870号
Book学术文献互助
Book学术文献互助群
群 号:604180095
Book学术官方微信