复杂性裂孔疝破裂致张力性气胸1例。

IF 0.8 Q4 RESPIRATORY SYSTEM
Respirology Case Reports Pub Date : 2025-07-24 eCollection Date: 2025-07-01 DOI:10.1002/rcr2.70289
Sophie Stewart-Watson, Mohamed Abbas
{"title":"复杂性裂孔疝破裂致张力性气胸1例。","authors":"Sophie Stewart-Watson, Mohamed Abbas","doi":"10.1002/rcr2.70289","DOIUrl":null,"url":null,"abstract":"<p><p>A 95-year-old female presented to the emergency department with chest pain and difficulty breathing. She had a left-sided tension hydropneumothorax secondary to a spontaneous rupture of a hiatus hernia close to the gastro-oesophageal junction. This has not previously been described in the literature and therefore, the purpose of this report is to pique clinicians' interest and highlight this rare phenomenon as a possible differential diagnosis in patients with a hiatus hernia who present with chest pain. It also demonstrates the importance of the use of oral contrast when using computerised tomography to investigate for oesophageal rupture.</p>","PeriodicalId":45846,"journal":{"name":"Respirology Case Reports","volume":"13 7","pages":"e70289"},"PeriodicalIF":0.8000,"publicationDate":"2025-07-24","publicationTypes":"Journal Article","fieldsOfStudy":null,"isOpenAccess":false,"openAccessPdf":"https://www.ncbi.nlm.nih.gov/pmc/articles/PMC12289393/pdf/","citationCount":"0","resultStr":"{\"title\":\"A Case of Complicated Hiatus Hernia Rupture Causing Tension Hydropneumothorax.\",\"authors\":\"Sophie Stewart-Watson, Mohamed Abbas\",\"doi\":\"10.1002/rcr2.70289\",\"DOIUrl\":null,\"url\":null,\"abstract\":\"<p><p>A 95-year-old female presented to the emergency department with chest pain and difficulty breathing. She had a left-sided tension hydropneumothorax secondary to a spontaneous rupture of a hiatus hernia close to the gastro-oesophageal junction. This has not previously been described in the literature and therefore, the purpose of this report is to pique clinicians' interest and highlight this rare phenomenon as a possible differential diagnosis in patients with a hiatus hernia who present with chest pain. It also demonstrates the importance of the use of oral contrast when using computerised tomography to investigate for oesophageal rupture.</p>\",\"PeriodicalId\":45846,\"journal\":{\"name\":\"Respirology Case Reports\",\"volume\":\"13 7\",\"pages\":\"e70289\"},\"PeriodicalIF\":0.8000,\"publicationDate\":\"2025-07-24\",\"publicationTypes\":\"Journal Article\",\"fieldsOfStudy\":null,\"isOpenAccess\":false,\"openAccessPdf\":\"https://www.ncbi.nlm.nih.gov/pmc/articles/PMC12289393/pdf/\",\"citationCount\":\"0\",\"resultStr\":null,\"platform\":\"Semanticscholar\",\"paperid\":null,\"PeriodicalName\":\"Respirology Case Reports\",\"FirstCategoryId\":\"1085\",\"ListUrlMain\":\"https://doi.org/10.1002/rcr2.70289\",\"RegionNum\":0,\"RegionCategory\":null,\"ArticlePicture\":[],\"TitleCN\":null,\"AbstractTextCN\":null,\"PMCID\":null,\"EPubDate\":\"2025/7/1 0:00:00\",\"PubModel\":\"eCollection\",\"JCR\":\"Q4\",\"JCRName\":\"RESPIRATORY SYSTEM\",\"Score\":null,\"Total\":0}","platform":"Semanticscholar","paperid":null,"PeriodicalName":"Respirology Case Reports","FirstCategoryId":"1085","ListUrlMain":"https://doi.org/10.1002/rcr2.70289","RegionNum":0,"RegionCategory":null,"ArticlePicture":[],"TitleCN":null,"AbstractTextCN":null,"PMCID":null,"EPubDate":"2025/7/1 0:00:00","PubModel":"eCollection","JCR":"Q4","JCRName":"RESPIRATORY SYSTEM","Score":null,"Total":0}
引用次数: 0

摘要

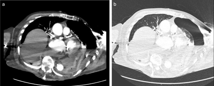
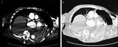
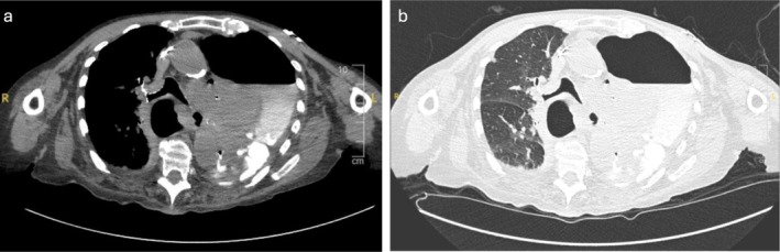
一名95岁女性因胸痛和呼吸困难就诊于急诊科。她有左侧紧张性气胸,继发于靠近胃-食管交界处的裂孔疝自发性破裂。这在以前的文献中没有描述过,因此,本报告的目的是引起临床医生的兴趣,并强调这种罕见的现象作为胸痛的裂孔疝患者的可能鉴别诊断。这也证明了在使用计算机断层扫描检查食管破裂时使用口服造影剂的重要性。
本文章由计算机程序翻译,如有差异,请以英文原文为准。

A Case of Complicated Hiatus Hernia Rupture Causing Tension Hydropneumothorax.

A Case of Complicated Hiatus Hernia Rupture Causing Tension Hydropneumothorax.

A Case of Complicated Hiatus Hernia Rupture Causing Tension Hydropneumothorax.

A Case of Complicated Hiatus Hernia Rupture Causing Tension Hydropneumothorax.

A 95-year-old female presented to the emergency department with chest pain and difficulty breathing. She had a left-sided tension hydropneumothorax secondary to a spontaneous rupture of a hiatus hernia close to the gastro-oesophageal junction. This has not previously been described in the literature and therefore, the purpose of this report is to pique clinicians' interest and highlight this rare phenomenon as a possible differential diagnosis in patients with a hiatus hernia who present with chest pain. It also demonstrates the importance of the use of oral contrast when using computerised tomography to investigate for oesophageal rupture.

求助全文
通过发布文献求助,成功后即可免费获取论文全文。 去求助
来源期刊
Respirology Case Reports
Respirology Case Reports RESPIRATORY SYSTEM-
CiteScore
1.40
自引率
0.00%
发文量
178
审稿时长
8 weeks
期刊介绍: Respirology Case Reports is an open-access online journal dedicated to the publication of original clinical case reports, case series, clinical images and clinical videos in all fields of respiratory medicine. The Journal encourages the international exchange between clinicians and researchers of experiences in diagnosing and treating uncommon diseases or diseases with unusual presentations. All manuscripts are peer-reviewed through a streamlined process that aims at providing a rapid turnaround time from submission to publication.
×
引用
GB/T 7714-2015
复制
MLA
复制
APA
复制
导出至
BibTeX EndNote RefMan NoteFirst NoteExpress
×
提示
您的信息不完整,为了账户安全,请先补充。
现在去补充
×
提示
您因"违规操作"
具体请查看互助需知
我知道了
×
提示
确定
请完成安全验证×
copy
已复制链接
快去分享给好友吧!
我知道了
右上角分享
点击右上角分享
0
联系我们:info@booksci.cn Book学术提供免费学术资源搜索服务,方便国内外学者检索中英文文献。致力于提供最便捷和优质的服务体验。 Copyright © 2023 布克学术 All rights reserved.
京ICP备2023020795号-1
ghs 京公网安备 11010802042870号
Book学术文献互助
Book学术文献互助群
群 号:604180095
Book学术官方微信