肌阵挛性癫痫并发散发性匹克病的无缝脑膜瘤切除术1例。

IF 0.4 Q3 MEDICINE, GENERAL & INTERNAL
Oxford Medical Case Reports Pub Date : 2025-07-27 eCollection Date: 2025-07-01 DOI:10.1093/omcr/omaf116
Jose Maaz, Carlos Diaz, Marcos Orellana, Ricardo A Caravantes
{"title":"肌阵挛性癫痫并发散发性匹克病的无缝脑膜瘤切除术1例。","authors":"Jose Maaz, Carlos Diaz, Marcos Orellana, Ricardo A Caravantes","doi":"10.1093/omcr/omaf116","DOIUrl":null,"url":null,"abstract":"<p><p>We report the case of a 62-year-old male presenting with progressive gait disturbances, recurrent syncope, and episodes of myoclonic epilepsy over three months, with underlying sporadic Pick's disease diagnosed clinically. Imaging revealed a well-defined, extra-axial tumor in the right parietal region, consistent with a meningioma. Surgical intervention using neuronavigation technology facilitated a complete tumor resection. The patient's postoperative course was stable, with a resolution of syncope and improvement in gait. This case underscores the importance of interdisciplinary management in patients with overlapping neurological conditions and highlights the challenges posed by multifaceted clinical presentations.</p>","PeriodicalId":45318,"journal":{"name":"Oxford Medical Case Reports","volume":"2025 7","pages":"omaf116"},"PeriodicalIF":0.4000,"publicationDate":"2025-07-27","publicationTypes":"Journal Article","fieldsOfStudy":null,"isOpenAccess":false,"openAccessPdf":"https://www.ncbi.nlm.nih.gov/pmc/articles/PMC12296379/pdf/","citationCount":"0","resultStr":"{\"title\":\"Seamless meningioma resection in a patient with coexisting myoclonic epilepsy and sporadic Pick's disease.\",\"authors\":\"Jose Maaz, Carlos Diaz, Marcos Orellana, Ricardo A Caravantes\",\"doi\":\"10.1093/omcr/omaf116\",\"DOIUrl\":null,\"url\":null,\"abstract\":\"<p><p>We report the case of a 62-year-old male presenting with progressive gait disturbances, recurrent syncope, and episodes of myoclonic epilepsy over three months, with underlying sporadic Pick's disease diagnosed clinically. Imaging revealed a well-defined, extra-axial tumor in the right parietal region, consistent with a meningioma. Surgical intervention using neuronavigation technology facilitated a complete tumor resection. The patient's postoperative course was stable, with a resolution of syncope and improvement in gait. This case underscores the importance of interdisciplinary management in patients with overlapping neurological conditions and highlights the challenges posed by multifaceted clinical presentations.</p>\",\"PeriodicalId\":45318,\"journal\":{\"name\":\"Oxford Medical Case Reports\",\"volume\":\"2025 7\",\"pages\":\"omaf116\"},\"PeriodicalIF\":0.4000,\"publicationDate\":\"2025-07-27\",\"publicationTypes\":\"Journal Article\",\"fieldsOfStudy\":null,\"isOpenAccess\":false,\"openAccessPdf\":\"https://www.ncbi.nlm.nih.gov/pmc/articles/PMC12296379/pdf/\",\"citationCount\":\"0\",\"resultStr\":null,\"platform\":\"Semanticscholar\",\"paperid\":null,\"PeriodicalName\":\"Oxford Medical Case Reports\",\"FirstCategoryId\":\"1085\",\"ListUrlMain\":\"https://doi.org/10.1093/omcr/omaf116\",\"RegionNum\":0,\"RegionCategory\":null,\"ArticlePicture\":[],\"TitleCN\":null,\"AbstractTextCN\":null,\"PMCID\":null,\"EPubDate\":\"2025/7/1 0:00:00\",\"PubModel\":\"eCollection\",\"JCR\":\"Q3\",\"JCRName\":\"MEDICINE, GENERAL & INTERNAL\",\"Score\":null,\"Total\":0}","platform":"Semanticscholar","paperid":null,"PeriodicalName":"Oxford Medical Case Reports","FirstCategoryId":"1085","ListUrlMain":"https://doi.org/10.1093/omcr/omaf116","RegionNum":0,"RegionCategory":null,"ArticlePicture":[],"TitleCN":null,"AbstractTextCN":null,"PMCID":null,"EPubDate":"2025/7/1 0:00:00","PubModel":"eCollection","JCR":"Q3","JCRName":"MEDICINE, GENERAL & INTERNAL","Score":null,"Total":0}
引用次数: 0

摘要

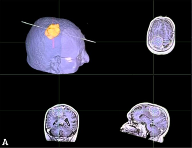
我们报告的病例62岁男性表现为进行性步态障碍,复发性晕厥,发作肌阵挛性癫痫超过三个月,与潜在的散发性匹克病诊断临床。影像显示右侧顶骨区有一界限清晰的轴外肿瘤,与脑膜瘤相符。神经导航技术的手术干预有助于肿瘤的完全切除。患者术后病程稳定,晕厥消退,步态改善。本病例强调了交叉学科管理在重叠神经系统疾病患者中的重要性,并强调了多方面临床表现所带来的挑战。
本文章由计算机程序翻译,如有差异,请以英文原文为准。

Seamless meningioma resection in a patient with coexisting myoclonic epilepsy and sporadic Pick's disease.

Seamless meningioma resection in a patient with coexisting myoclonic epilepsy and sporadic Pick's disease.

Seamless meningioma resection in a patient with coexisting myoclonic epilepsy and sporadic Pick's disease.

We report the case of a 62-year-old male presenting with progressive gait disturbances, recurrent syncope, and episodes of myoclonic epilepsy over three months, with underlying sporadic Pick's disease diagnosed clinically. Imaging revealed a well-defined, extra-axial tumor in the right parietal region, consistent with a meningioma. Surgical intervention using neuronavigation technology facilitated a complete tumor resection. The patient's postoperative course was stable, with a resolution of syncope and improvement in gait. This case underscores the importance of interdisciplinary management in patients with overlapping neurological conditions and highlights the challenges posed by multifaceted clinical presentations.

求助全文
通过发布文献求助,成功后即可免费获取论文全文。 去求助
来源期刊
Oxford Medical Case Reports
Oxford Medical Case Reports MEDICINE, GENERAL & INTERNAL-
CiteScore
0.90
自引率
0.00%
发文量
125
审稿时长
19 weeks
期刊介绍: Oxford Medical Case Reports (OMCR) is an open access, peer-reviewed online journal publishing original and educationally valuable case reports that expand the field of medicine. The journal covers all medical specialities including cardiology, rheumatology, nephrology, oncology, neurology, and reproduction, comprising a comprehensive resource for physicians in all fields and at all stages of training. Oxford Medical Case Reports deposits all articles in PubMed Central (PMC). Physicians and researchers can find your work through PubMed , helping you reach the widest possible audience. The journal is also indexed in the Web of Science Core Collection . Oxford Medical Case Reports publishes case reports under the following categories: Allergy Audiovestibular medicine Cardiology and cardiovascular systems Critical care medicine Dermatology Emergency medicine Endocrinology and metabolism Gastroenterology and hepatology Geriatrics and gerontology Haematology Immunology Infectious diseases and tropical medicine Medical disorders in pregnancy Medical ophthalmology Nephrology Neurology Oncology Paediatrics Pain Palliative medicine Pharmacology and pharmacy Psychiatry Radiology, nuclear medicine, and medical imaging Respiratory disorders Rheumatology Sexual and reproductive health Sports Medicine Substance abuse.
×
引用
GB/T 7714-2015
复制
MLA
复制
APA
复制
导出至
BibTeX EndNote RefMan NoteFirst NoteExpress
×
提示
您的信息不完整,为了账户安全,请先补充。
现在去补充
×
提示
您因"违规操作"
具体请查看互助需知
我知道了
×
提示
确定
请完成安全验证×
copy
已复制链接
快去分享给好友吧!
我知道了
右上角分享
点击右上角分享
0
联系我们:info@booksci.cn Book学术提供免费学术资源搜索服务,方便国内外学者检索中英文文献。致力于提供最便捷和优质的服务体验。 Copyright © 2023 布克学术 All rights reserved.
京ICP备2023020795号-1
ghs 京公网安备 11010802042870号
Book学术文献互助
Book学术文献互助群
群 号:604180095
Book学术官方微信