年轻患者感染性心内膜炎后颅内真菌性动脉瘤破裂1例报告。

IF 0.4 Q3 MEDICINE, GENERAL & INTERNAL
Oxford Medical Case Reports Pub Date : 2025-07-27 eCollection Date: 2025-07-01 DOI:10.1093/omcr/omaf109
Hind Neiroukh, Hanin Shatrit, Sarmad Sultan, Sarah Warasna, Maher Aljodi, Tharwat Aljodi
{"title":"年轻患者感染性心内膜炎后颅内真菌性动脉瘤破裂1例报告。","authors":"Hind Neiroukh, Hanin Shatrit, Sarmad Sultan, Sarah Warasna, Maher Aljodi, Tharwat Aljodi","doi":"10.1093/omcr/omaf109","DOIUrl":null,"url":null,"abstract":"<p><p>Mycotic aneurysms (MAs) are a rare but life-threatening complication of infective endocarditis (IE), resulting from septic emboli lodging in cerebral vessels and leading to aneurysm formation. This case report describes a 17-year-old female who developed multiple MAs during treatment for IE, resulting in catastrophic neurological decline and eventual death. After undergoing open-heart surgery for vegetation excision, our patient then developed intracranial bleeding due to mycotic aneurysms rupture, which led to her death after an unsuccessful decompressive craniotomy. This case highlights the importance of early recognition and timely intervention in the management of MAs in the context of IE, as well as the need for protocols to improve outcomes in these high-risk patients. The high mortality rate associated with ruptured MAs highlights the critical nature of these complications and the challenges in their management.</p>","PeriodicalId":45318,"journal":{"name":"Oxford Medical Case Reports","volume":"2025 7","pages":"omaf109"},"PeriodicalIF":0.4000,"publicationDate":"2025-07-27","publicationTypes":"Journal Article","fieldsOfStudy":null,"isOpenAccess":false,"openAccessPdf":"https://www.ncbi.nlm.nih.gov/pmc/articles/PMC12296347/pdf/","citationCount":"0","resultStr":"{\"title\":\"Ruptured intracranial Mycotic aneurysm following infective endocarditis in a young patient: a case report.\",\"authors\":\"Hind Neiroukh, Hanin Shatrit, Sarmad Sultan, Sarah Warasna, Maher Aljodi, Tharwat Aljodi\",\"doi\":\"10.1093/omcr/omaf109\",\"DOIUrl\":null,\"url\":null,\"abstract\":\"<p><p>Mycotic aneurysms (MAs) are a rare but life-threatening complication of infective endocarditis (IE), resulting from septic emboli lodging in cerebral vessels and leading to aneurysm formation. This case report describes a 17-year-old female who developed multiple MAs during treatment for IE, resulting in catastrophic neurological decline and eventual death. After undergoing open-heart surgery for vegetation excision, our patient then developed intracranial bleeding due to mycotic aneurysms rupture, which led to her death after an unsuccessful decompressive craniotomy. This case highlights the importance of early recognition and timely intervention in the management of MAs in the context of IE, as well as the need for protocols to improve outcomes in these high-risk patients. The high mortality rate associated with ruptured MAs highlights the critical nature of these complications and the challenges in their management.</p>\",\"PeriodicalId\":45318,\"journal\":{\"name\":\"Oxford Medical Case Reports\",\"volume\":\"2025 7\",\"pages\":\"omaf109\"},\"PeriodicalIF\":0.4000,\"publicationDate\":\"2025-07-27\",\"publicationTypes\":\"Journal Article\",\"fieldsOfStudy\":null,\"isOpenAccess\":false,\"openAccessPdf\":\"https://www.ncbi.nlm.nih.gov/pmc/articles/PMC12296347/pdf/\",\"citationCount\":\"0\",\"resultStr\":null,\"platform\":\"Semanticscholar\",\"paperid\":null,\"PeriodicalName\":\"Oxford Medical Case Reports\",\"FirstCategoryId\":\"1085\",\"ListUrlMain\":\"https://doi.org/10.1093/omcr/omaf109\",\"RegionNum\":0,\"RegionCategory\":null,\"ArticlePicture\":[],\"TitleCN\":null,\"AbstractTextCN\":null,\"PMCID\":null,\"EPubDate\":\"2025/7/1 0:00:00\",\"PubModel\":\"eCollection\",\"JCR\":\"Q3\",\"JCRName\":\"MEDICINE, GENERAL & INTERNAL\",\"Score\":null,\"Total\":0}","platform":"Semanticscholar","paperid":null,"PeriodicalName":"Oxford Medical Case Reports","FirstCategoryId":"1085","ListUrlMain":"https://doi.org/10.1093/omcr/omaf109","RegionNum":0,"RegionCategory":null,"ArticlePicture":[],"TitleCN":null,"AbstractTextCN":null,"PMCID":null,"EPubDate":"2025/7/1 0:00:00","PubModel":"eCollection","JCR":"Q3","JCRName":"MEDICINE, GENERAL & INTERNAL","Score":null,"Total":0}
引用次数: 0

摘要

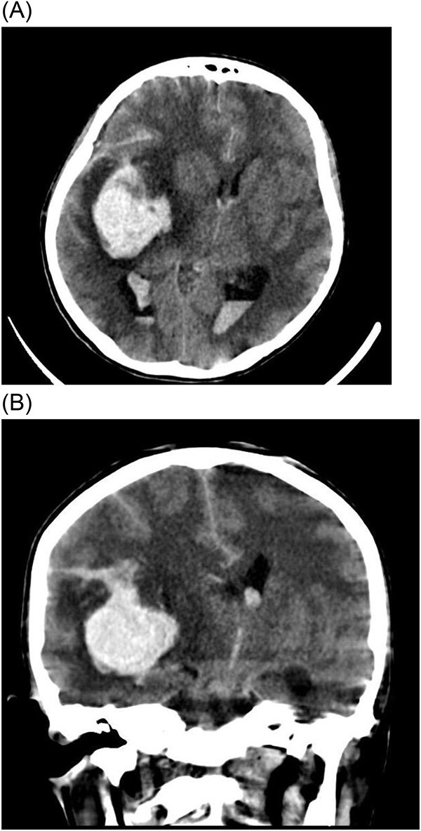
霉菌性动脉瘤(MAs)是感染性心内膜炎(IE)的一种罕见但危及生命的并发症,由感染性心内膜炎栓塞在脑血管内引起并导致动脉瘤形成。本病例报告描述了一名17岁女性在IE治疗期间出现多发性MAs,导致灾难性的神经功能衰退和最终死亡。在接受开胸手术切除植物后,患者因真菌性动脉瘤破裂出现颅内出血,在一次不成功的开颅减压手术后死亡。该病例强调了在IE背景下早期识别和及时干预MAs管理的重要性,以及需要制定方案来改善这些高危患者的预后。MAs破裂相关的高死亡率突出了这些并发症的严重性及其管理的挑战。
本文章由计算机程序翻译,如有差异,请以英文原文为准。

Ruptured intracranial Mycotic aneurysm following infective endocarditis in a young patient: a case report.

Ruptured intracranial Mycotic aneurysm following infective endocarditis in a young patient: a case report.

Ruptured intracranial Mycotic aneurysm following infective endocarditis in a young patient: a case report.

Ruptured intracranial Mycotic aneurysm following infective endocarditis in a young patient: a case report.

Mycotic aneurysms (MAs) are a rare but life-threatening complication of infective endocarditis (IE), resulting from septic emboli lodging in cerebral vessels and leading to aneurysm formation. This case report describes a 17-year-old female who developed multiple MAs during treatment for IE, resulting in catastrophic neurological decline and eventual death. After undergoing open-heart surgery for vegetation excision, our patient then developed intracranial bleeding due to mycotic aneurysms rupture, which led to her death after an unsuccessful decompressive craniotomy. This case highlights the importance of early recognition and timely intervention in the management of MAs in the context of IE, as well as the need for protocols to improve outcomes in these high-risk patients. The high mortality rate associated with ruptured MAs highlights the critical nature of these complications and the challenges in their management.

求助全文
通过发布文献求助,成功后即可免费获取论文全文。 去求助
来源期刊
Oxford Medical Case Reports
Oxford Medical Case Reports MEDICINE, GENERAL & INTERNAL-
CiteScore
0.90
自引率
0.00%
发文量
125
审稿时长
19 weeks
期刊介绍: Oxford Medical Case Reports (OMCR) is an open access, peer-reviewed online journal publishing original and educationally valuable case reports that expand the field of medicine. The journal covers all medical specialities including cardiology, rheumatology, nephrology, oncology, neurology, and reproduction, comprising a comprehensive resource for physicians in all fields and at all stages of training. Oxford Medical Case Reports deposits all articles in PubMed Central (PMC). Physicians and researchers can find your work through PubMed , helping you reach the widest possible audience. The journal is also indexed in the Web of Science Core Collection . Oxford Medical Case Reports publishes case reports under the following categories: Allergy Audiovestibular medicine Cardiology and cardiovascular systems Critical care medicine Dermatology Emergency medicine Endocrinology and metabolism Gastroenterology and hepatology Geriatrics and gerontology Haematology Immunology Infectious diseases and tropical medicine Medical disorders in pregnancy Medical ophthalmology Nephrology Neurology Oncology Paediatrics Pain Palliative medicine Pharmacology and pharmacy Psychiatry Radiology, nuclear medicine, and medical imaging Respiratory disorders Rheumatology Sexual and reproductive health Sports Medicine Substance abuse.
×
引用
GB/T 7714-2015
复制
MLA
复制
APA
复制
导出至
BibTeX EndNote RefMan NoteFirst NoteExpress
×
提示
您的信息不完整,为了账户安全,请先补充。
现在去补充
×
提示
您因"违规操作"
具体请查看互助需知
我知道了
×
提示
确定
请完成安全验证×
copy
已复制链接
快去分享给好友吧!
我知道了
右上角分享
点击右上角分享
0
联系我们:info@booksci.cn Book学术提供免费学术资源搜索服务,方便国内外学者检索中英文文献。致力于提供最便捷和优质的服务体验。 Copyright © 2023 布克学术 All rights reserved.
京ICP备2023020795号-1
ghs 京公网安备 11010802042870号
Book学术文献互助
Book学术文献互助群
群 号:604180095
Book学术官方微信