儿童ehers - danlos综合征伴腹膜后出血:病例报告及处理策略。

IF 0.4 Q3 MEDICINE, GENERAL & INTERNAL
Oxford Medical Case Reports Pub Date : 2025-07-27 eCollection Date: 2025-07-01 DOI:10.1093/omcr/omaf119
Aimen Yunus, Mudassir Khan, Abid Ali Jamali, Ghazala Kazi
{"title":"儿童ehers - danlos综合征伴腹膜后出血:病例报告及处理策略。","authors":"Aimen Yunus, Mudassir Khan, Abid Ali Jamali, Ghazala Kazi","doi":"10.1093/omcr/omaf119","DOIUrl":null,"url":null,"abstract":"<p><p>Ehlers-Danlos syndrome (EDS) encompasses a spectrum of heritable connective tissue disorders, with the Kyphoscoliotic variant representing a rare manifestation. We present a case of an 11-year-old male diagnosed with Ehlers-Danlos Syndrome VI (Kyphoscoliotic Variant) who presented with an acute onset of symptoms suggestive of vascular hemorrhage. Despite the rarity of such presentations in pediatric populations, a multidisciplinary team swiftly intervened and thoroughly evaluated the emergent situation. Imaging studies revealed a retroperitoneal hemorrhage extending from the T10 to lower sacral vertebra, along with a sizable aneurysm closely juxtaposed to the celiac artery. After evaluation, the team opted for conservative management, emphasizing vigilant monitoring and pain management in the intensive care unit. This case underscores the significance of tailored management and research to optimize outcomes and reduce complications in pediatric patients with kyphoscoliotic variant of Ehlers-Danlos syndrome presenting with vascular hemorrhage.</p>","PeriodicalId":45318,"journal":{"name":"Oxford Medical Case Reports","volume":"2025 7","pages":"omaf119"},"PeriodicalIF":0.4000,"publicationDate":"2025-07-27","publicationTypes":"Journal Article","fieldsOfStudy":null,"isOpenAccess":false,"openAccessPdf":"https://www.ncbi.nlm.nih.gov/pmc/articles/PMC12296389/pdf/","citationCount":"0","resultStr":"{\"title\":\"'Pediatric Ehlers-Danlos syndrome VI with retroperitoneal Hemorrhage: case report and management strategy'.\",\"authors\":\"Aimen Yunus, Mudassir Khan, Abid Ali Jamali, Ghazala Kazi\",\"doi\":\"10.1093/omcr/omaf119\",\"DOIUrl\":null,\"url\":null,\"abstract\":\"<p><p>Ehlers-Danlos syndrome (EDS) encompasses a spectrum of heritable connective tissue disorders, with the Kyphoscoliotic variant representing a rare manifestation. We present a case of an 11-year-old male diagnosed with Ehlers-Danlos Syndrome VI (Kyphoscoliotic Variant) who presented with an acute onset of symptoms suggestive of vascular hemorrhage. Despite the rarity of such presentations in pediatric populations, a multidisciplinary team swiftly intervened and thoroughly evaluated the emergent situation. Imaging studies revealed a retroperitoneal hemorrhage extending from the T10 to lower sacral vertebra, along with a sizable aneurysm closely juxtaposed to the celiac artery. After evaluation, the team opted for conservative management, emphasizing vigilant monitoring and pain management in the intensive care unit. This case underscores the significance of tailored management and research to optimize outcomes and reduce complications in pediatric patients with kyphoscoliotic variant of Ehlers-Danlos syndrome presenting with vascular hemorrhage.</p>\",\"PeriodicalId\":45318,\"journal\":{\"name\":\"Oxford Medical Case Reports\",\"volume\":\"2025 7\",\"pages\":\"omaf119\"},\"PeriodicalIF\":0.4000,\"publicationDate\":\"2025-07-27\",\"publicationTypes\":\"Journal Article\",\"fieldsOfStudy\":null,\"isOpenAccess\":false,\"openAccessPdf\":\"https://www.ncbi.nlm.nih.gov/pmc/articles/PMC12296389/pdf/\",\"citationCount\":\"0\",\"resultStr\":null,\"platform\":\"Semanticscholar\",\"paperid\":null,\"PeriodicalName\":\"Oxford Medical Case Reports\",\"FirstCategoryId\":\"1085\",\"ListUrlMain\":\"https://doi.org/10.1093/omcr/omaf119\",\"RegionNum\":0,\"RegionCategory\":null,\"ArticlePicture\":[],\"TitleCN\":null,\"AbstractTextCN\":null,\"PMCID\":null,\"EPubDate\":\"2025/7/1 0:00:00\",\"PubModel\":\"eCollection\",\"JCR\":\"Q3\",\"JCRName\":\"MEDICINE, GENERAL & INTERNAL\",\"Score\":null,\"Total\":0}","platform":"Semanticscholar","paperid":null,"PeriodicalName":"Oxford Medical Case Reports","FirstCategoryId":"1085","ListUrlMain":"https://doi.org/10.1093/omcr/omaf119","RegionNum":0,"RegionCategory":null,"ArticlePicture":[],"TitleCN":null,"AbstractTextCN":null,"PMCID":null,"EPubDate":"2025/7/1 0:00:00","PubModel":"eCollection","JCR":"Q3","JCRName":"MEDICINE, GENERAL & INTERNAL","Score":null,"Total":0}
引用次数: 0

摘要

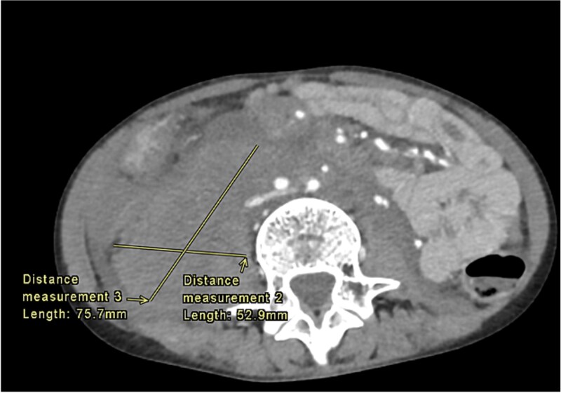
ehers - danlos综合征(EDS)包括一系列遗传性结缔组织疾病,其中后凸性脊柱侧凸变体是一种罕见的表现。我们提出一个病例11岁的男性诊断为埃勒斯-丹洛斯综合征VI(后凸侧凸变型)谁提出了急性发作的症状提示血管出血。尽管这种情况在儿科人群中很少见,但一个多学科团队迅速介入并彻底评估了紧急情况。影像学检查显示腹膜后出血,从T10延伸到下骶椎,并伴有一个相当大的动脉瘤,紧挨着腹腔动脉。经评估,团队选择保守管理,强调在重症监护病房警惕监测和疼痛管理。该病例强调了针对性管理和研究的重要性,以优化结果并减少以血管出血为表现的ehers - danlos综合征后凸变型儿科患者的并发症。
本文章由计算机程序翻译,如有差异,请以英文原文为准。

'Pediatric Ehlers-Danlos syndrome VI with retroperitoneal Hemorrhage: case report and management strategy'.

'Pediatric Ehlers-Danlos syndrome VI with retroperitoneal Hemorrhage: case report and management strategy'.

Ehlers-Danlos syndrome (EDS) encompasses a spectrum of heritable connective tissue disorders, with the Kyphoscoliotic variant representing a rare manifestation. We present a case of an 11-year-old male diagnosed with Ehlers-Danlos Syndrome VI (Kyphoscoliotic Variant) who presented with an acute onset of symptoms suggestive of vascular hemorrhage. Despite the rarity of such presentations in pediatric populations, a multidisciplinary team swiftly intervened and thoroughly evaluated the emergent situation. Imaging studies revealed a retroperitoneal hemorrhage extending from the T10 to lower sacral vertebra, along with a sizable aneurysm closely juxtaposed to the celiac artery. After evaluation, the team opted for conservative management, emphasizing vigilant monitoring and pain management in the intensive care unit. This case underscores the significance of tailored management and research to optimize outcomes and reduce complications in pediatric patients with kyphoscoliotic variant of Ehlers-Danlos syndrome presenting with vascular hemorrhage.

求助全文
通过发布文献求助,成功后即可免费获取论文全文。 去求助
来源期刊
Oxford Medical Case Reports
Oxford Medical Case Reports MEDICINE, GENERAL & INTERNAL-
CiteScore
0.90
自引率
0.00%
发文量
125
审稿时长
19 weeks
期刊介绍: Oxford Medical Case Reports (OMCR) is an open access, peer-reviewed online journal publishing original and educationally valuable case reports that expand the field of medicine. The journal covers all medical specialities including cardiology, rheumatology, nephrology, oncology, neurology, and reproduction, comprising a comprehensive resource for physicians in all fields and at all stages of training. Oxford Medical Case Reports deposits all articles in PubMed Central (PMC). Physicians and researchers can find your work through PubMed , helping you reach the widest possible audience. The journal is also indexed in the Web of Science Core Collection . Oxford Medical Case Reports publishes case reports under the following categories: Allergy Audiovestibular medicine Cardiology and cardiovascular systems Critical care medicine Dermatology Emergency medicine Endocrinology and metabolism Gastroenterology and hepatology Geriatrics and gerontology Haematology Immunology Infectious diseases and tropical medicine Medical disorders in pregnancy Medical ophthalmology Nephrology Neurology Oncology Paediatrics Pain Palliative medicine Pharmacology and pharmacy Psychiatry Radiology, nuclear medicine, and medical imaging Respiratory disorders Rheumatology Sexual and reproductive health Sports Medicine Substance abuse.
×
引用
GB/T 7714-2015
复制
MLA
复制
APA
复制
导出至
BibTeX EndNote RefMan NoteFirst NoteExpress
×
提示
您的信息不完整,为了账户安全,请先补充。
现在去补充
×
提示
您因"违规操作"
具体请查看互助需知
我知道了
×
提示
确定
请完成安全验证×
copy
已复制链接
快去分享给好友吧!
我知道了
右上角分享
点击右上角分享
0
联系我们:info@booksci.cn Book学术提供免费学术资源搜索服务,方便国内外学者检索中英文文献。致力于提供最便捷和优质的服务体验。 Copyright © 2023 布克学术 All rights reserved.
京ICP备2023020795号-1
ghs 京公网安备 11010802042870号
Book学术文献互助
Book学术文献互助群
群 号:604180095
Book学术官方微信