弥漫性肺泡出血作为系统性红斑狼疮的初始表现在一个57岁的病人:一个病例报告。

IF 0.4 Q3 MEDICINE, GENERAL & INTERNAL
Oxford Medical Case Reports Pub Date : 2025-07-27 eCollection Date: 2025-07-01 DOI:10.1093/omcr/omaf115
Ahmed Abdulhussain Shahatta, Omar Radhwan Mohammed, Sajjad Ghanim Al-Badri, Muntadher Yousif Hasan Al Gehadi, Khadija Naeem, Aditya Duhan
{"title":"弥漫性肺泡出血作为系统性红斑狼疮的初始表现在一个57岁的病人:一个病例报告。","authors":"Ahmed Abdulhussain Shahatta, Omar Radhwan Mohammed, Sajjad Ghanim Al-Badri, Muntadher Yousif Hasan Al Gehadi, Khadija Naeem, Aditya Duhan","doi":"10.1093/omcr/omaf115","DOIUrl":null,"url":null,"abstract":"<p><p>Systemic lupus erythematosus (SLE) is an autoimmune systemic disease that presents a diagnostic challenge due to a wide range of clinical manifestations affecting multiple organs. Particularly rare is its presentation with diffuse alveolar hemorrhage (DAH), a severe complication that arises from the disruption of the capillary-alveolar barrier and can rapidly progress to a life-threatening condition. We report a case of a 57-year-old female who presented to the emergency department experiencing dyspnea and hemoptysis. Her initial evaluations revealed anemia and thrombocytopenia, with high-resolution computed tomography scans showing diffuse bilateral infiltrates indicative of DAH. The findings led to the diagnosis of previously unrecognized SLE. This case underscores the importance of considering SLE in the differential diagnosis of DAH, emphasizing the necessity for prompt diagnostic workup and aggressive treatment in such critical presentations to improve patient outcomes.</p>","PeriodicalId":45318,"journal":{"name":"Oxford Medical Case Reports","volume":"2025 7","pages":"omaf115"},"PeriodicalIF":0.4000,"publicationDate":"2025-07-27","publicationTypes":"Journal Article","fieldsOfStudy":null,"isOpenAccess":false,"openAccessPdf":"https://www.ncbi.nlm.nih.gov/pmc/articles/PMC12296388/pdf/","citationCount":"0","resultStr":"{\"title\":\"Diffuse alveolar Hemorrhage as the initial presentation of systemic lupus erythematosus in a 57-year-old patient: a case report.\",\"authors\":\"Ahmed Abdulhussain Shahatta, Omar Radhwan Mohammed, Sajjad Ghanim Al-Badri, Muntadher Yousif Hasan Al Gehadi, Khadija Naeem, Aditya Duhan\",\"doi\":\"10.1093/omcr/omaf115\",\"DOIUrl\":null,\"url\":null,\"abstract\":\"<p><p>Systemic lupus erythematosus (SLE) is an autoimmune systemic disease that presents a diagnostic challenge due to a wide range of clinical manifestations affecting multiple organs. Particularly rare is its presentation with diffuse alveolar hemorrhage (DAH), a severe complication that arises from the disruption of the capillary-alveolar barrier and can rapidly progress to a life-threatening condition. We report a case of a 57-year-old female who presented to the emergency department experiencing dyspnea and hemoptysis. Her initial evaluations revealed anemia and thrombocytopenia, with high-resolution computed tomography scans showing diffuse bilateral infiltrates indicative of DAH. The findings led to the diagnosis of previously unrecognized SLE. This case underscores the importance of considering SLE in the differential diagnosis of DAH, emphasizing the necessity for prompt diagnostic workup and aggressive treatment in such critical presentations to improve patient outcomes.</p>\",\"PeriodicalId\":45318,\"journal\":{\"name\":\"Oxford Medical Case Reports\",\"volume\":\"2025 7\",\"pages\":\"omaf115\"},\"PeriodicalIF\":0.4000,\"publicationDate\":\"2025-07-27\",\"publicationTypes\":\"Journal Article\",\"fieldsOfStudy\":null,\"isOpenAccess\":false,\"openAccessPdf\":\"https://www.ncbi.nlm.nih.gov/pmc/articles/PMC12296388/pdf/\",\"citationCount\":\"0\",\"resultStr\":null,\"platform\":\"Semanticscholar\",\"paperid\":null,\"PeriodicalName\":\"Oxford Medical Case Reports\",\"FirstCategoryId\":\"1085\",\"ListUrlMain\":\"https://doi.org/10.1093/omcr/omaf115\",\"RegionNum\":0,\"RegionCategory\":null,\"ArticlePicture\":[],\"TitleCN\":null,\"AbstractTextCN\":null,\"PMCID\":null,\"EPubDate\":\"2025/7/1 0:00:00\",\"PubModel\":\"eCollection\",\"JCR\":\"Q3\",\"JCRName\":\"MEDICINE, GENERAL & INTERNAL\",\"Score\":null,\"Total\":0}","platform":"Semanticscholar","paperid":null,"PeriodicalName":"Oxford Medical Case Reports","FirstCategoryId":"1085","ListUrlMain":"https://doi.org/10.1093/omcr/omaf115","RegionNum":0,"RegionCategory":null,"ArticlePicture":[],"TitleCN":null,"AbstractTextCN":null,"PMCID":null,"EPubDate":"2025/7/1 0:00:00","PubModel":"eCollection","JCR":"Q3","JCRName":"MEDICINE, GENERAL & INTERNAL","Score":null,"Total":0}
引用次数: 0

摘要

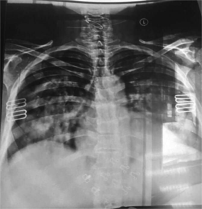
系统性红斑狼疮(SLE)是一种自身免疫性全身性疾病,由于其广泛的临床表现影响多个器官,因此对诊断提出了挑战。特别罕见的是弥漫性肺泡出血(DAH),这是一种由毛细血管-肺泡屏障破坏引起的严重并发症,可迅速发展为危及生命的疾病。我们报告一例57岁的女性谁提出到急诊科经历呼吸困难和咯血。她的初步评估显示贫血和血小板减少,高分辨率计算机断层扫描显示弥漫性双侧浸润,表明DAH。这些发现导致了先前未被识别的SLE的诊断。该病例强调了在鉴别诊断DAH时考虑SLE的重要性,强调了及时诊断和积极治疗的必要性,以改善患者的预后。
本文章由计算机程序翻译,如有差异,请以英文原文为准。

Diffuse alveolar Hemorrhage as the initial presentation of systemic lupus erythematosus in a 57-year-old patient: a case report.

Diffuse alveolar Hemorrhage as the initial presentation of systemic lupus erythematosus in a 57-year-old patient: a case report.

Diffuse alveolar Hemorrhage as the initial presentation of systemic lupus erythematosus in a 57-year-old patient: a case report.

Systemic lupus erythematosus (SLE) is an autoimmune systemic disease that presents a diagnostic challenge due to a wide range of clinical manifestations affecting multiple organs. Particularly rare is its presentation with diffuse alveolar hemorrhage (DAH), a severe complication that arises from the disruption of the capillary-alveolar barrier and can rapidly progress to a life-threatening condition. We report a case of a 57-year-old female who presented to the emergency department experiencing dyspnea and hemoptysis. Her initial evaluations revealed anemia and thrombocytopenia, with high-resolution computed tomography scans showing diffuse bilateral infiltrates indicative of DAH. The findings led to the diagnosis of previously unrecognized SLE. This case underscores the importance of considering SLE in the differential diagnosis of DAH, emphasizing the necessity for prompt diagnostic workup and aggressive treatment in such critical presentations to improve patient outcomes.

求助全文
通过发布文献求助,成功后即可免费获取论文全文。 去求助
来源期刊
Oxford Medical Case Reports
Oxford Medical Case Reports MEDICINE, GENERAL & INTERNAL-
CiteScore
0.90
自引率
0.00%
发文量
125
审稿时长
19 weeks
期刊介绍: Oxford Medical Case Reports (OMCR) is an open access, peer-reviewed online journal publishing original and educationally valuable case reports that expand the field of medicine. The journal covers all medical specialities including cardiology, rheumatology, nephrology, oncology, neurology, and reproduction, comprising a comprehensive resource for physicians in all fields and at all stages of training. Oxford Medical Case Reports deposits all articles in PubMed Central (PMC). Physicians and researchers can find your work through PubMed , helping you reach the widest possible audience. The journal is also indexed in the Web of Science Core Collection . Oxford Medical Case Reports publishes case reports under the following categories: Allergy Audiovestibular medicine Cardiology and cardiovascular systems Critical care medicine Dermatology Emergency medicine Endocrinology and metabolism Gastroenterology and hepatology Geriatrics and gerontology Haematology Immunology Infectious diseases and tropical medicine Medical disorders in pregnancy Medical ophthalmology Nephrology Neurology Oncology Paediatrics Pain Palliative medicine Pharmacology and pharmacy Psychiatry Radiology, nuclear medicine, and medical imaging Respiratory disorders Rheumatology Sexual and reproductive health Sports Medicine Substance abuse.
×
引用
GB/T 7714-2015
复制
MLA
复制
APA
复制
导出至
BibTeX EndNote RefMan NoteFirst NoteExpress
×
提示
您的信息不完整,为了账户安全,请先补充。
现在去补充
×
提示
您因"违规操作"
具体请查看互助需知
我知道了
×
提示
确定
请完成安全验证×
copy
已复制链接
快去分享给好友吧!
我知道了
右上角分享
点击右上角分享
0
联系我们:info@booksci.cn Book学术提供免费学术资源搜索服务,方便国内外学者检索中英文文献。致力于提供最便捷和优质的服务体验。 Copyright © 2023 布克学术 All rights reserved.
京ICP备2023020795号-1
ghs 京公网安备 11010802042870号
Book学术文献互助
Book学术文献互助群
群 号:604180095
Book学术官方微信