暴发性侵袭性耳乳突炎继发的灾难性脑静脉窦血栓形成。

IF 0.4 Q3 MEDICINE, GENERAL & INTERNAL
Oxford Medical Case Reports Pub Date : 2025-07-27 eCollection Date: 2025-07-01 DOI:10.1093/omcr/omaf111
Nilesh Anand Devanand, Krishnaswamy Sundararajan
{"title":"暴发性侵袭性耳乳突炎继发的灾难性脑静脉窦血栓形成。","authors":"Nilesh Anand Devanand, Krishnaswamy Sundararajan","doi":"10.1093/omcr/omaf111","DOIUrl":null,"url":null,"abstract":"<p><p>A previously healthy, middle-aged immunocompetent man presented to a regional hospital with a 12-h history of right ear pain and discharge following a mild flu-like illness. He rapidly deteriorated neurologically, developing dilated pupils and seizures requiring intubation. Following urgent transfer to a quaternary ICU, multidisciplinary assessment (ENT and Neurosurgery), neuroimaging, and right ear myringotomy confirmed Otomastoiditis with catastrophic cerebral venous sinus thrombosis. CT venography demonstrated extensive thrombosis involving the right sigmoid, transverse, and superior sagittal sinuses. Myringotomy revealed culture-negative blood-stained pus. Pulmonary microbiology results were positive for Influenzae B and the Aspergillus fumigatus complex. Despite maximal medical management, the patient developed bilateral venous infarctions, cerebral edema, and cerebellar tonsillar herniation, progressing to brain death within 48 h. Organ donation proceeded in accordance with his prior wishes. Otomastoiditis can cause rapid, fatal intracranial complications even in healthy individuals, highlighting the need for early imaging, specialist input, and vigilance for neurological decline.</p>","PeriodicalId":45318,"journal":{"name":"Oxford Medical Case Reports","volume":"2025 7","pages":"omaf111"},"PeriodicalIF":0.4000,"publicationDate":"2025-07-27","publicationTypes":"Journal Article","fieldsOfStudy":null,"isOpenAccess":false,"openAccessPdf":"https://www.ncbi.nlm.nih.gov/pmc/articles/PMC12296350/pdf/","citationCount":"0","resultStr":"{\"title\":\"Catastrophic cerebral venous sinus thrombosis secondary to fulminant invasive otomastoiditis.\",\"authors\":\"Nilesh Anand Devanand, Krishnaswamy Sundararajan\",\"doi\":\"10.1093/omcr/omaf111\",\"DOIUrl\":null,\"url\":null,\"abstract\":\"<p><p>A previously healthy, middle-aged immunocompetent man presented to a regional hospital with a 12-h history of right ear pain and discharge following a mild flu-like illness. He rapidly deteriorated neurologically, developing dilated pupils and seizures requiring intubation. Following urgent transfer to a quaternary ICU, multidisciplinary assessment (ENT and Neurosurgery), neuroimaging, and right ear myringotomy confirmed Otomastoiditis with catastrophic cerebral venous sinus thrombosis. CT venography demonstrated extensive thrombosis involving the right sigmoid, transverse, and superior sagittal sinuses. Myringotomy revealed culture-negative blood-stained pus. Pulmonary microbiology results were positive for Influenzae B and the Aspergillus fumigatus complex. Despite maximal medical management, the patient developed bilateral venous infarctions, cerebral edema, and cerebellar tonsillar herniation, progressing to brain death within 48 h. Organ donation proceeded in accordance with his prior wishes. Otomastoiditis can cause rapid, fatal intracranial complications even in healthy individuals, highlighting the need for early imaging, specialist input, and vigilance for neurological decline.</p>\",\"PeriodicalId\":45318,\"journal\":{\"name\":\"Oxford Medical Case Reports\",\"volume\":\"2025 7\",\"pages\":\"omaf111\"},\"PeriodicalIF\":0.4000,\"publicationDate\":\"2025-07-27\",\"publicationTypes\":\"Journal Article\",\"fieldsOfStudy\":null,\"isOpenAccess\":false,\"openAccessPdf\":\"https://www.ncbi.nlm.nih.gov/pmc/articles/PMC12296350/pdf/\",\"citationCount\":\"0\",\"resultStr\":null,\"platform\":\"Semanticscholar\",\"paperid\":null,\"PeriodicalName\":\"Oxford Medical Case Reports\",\"FirstCategoryId\":\"1085\",\"ListUrlMain\":\"https://doi.org/10.1093/omcr/omaf111\",\"RegionNum\":0,\"RegionCategory\":null,\"ArticlePicture\":[],\"TitleCN\":null,\"AbstractTextCN\":null,\"PMCID\":null,\"EPubDate\":\"2025/7/1 0:00:00\",\"PubModel\":\"eCollection\",\"JCR\":\"Q3\",\"JCRName\":\"MEDICINE, GENERAL & INTERNAL\",\"Score\":null,\"Total\":0}","platform":"Semanticscholar","paperid":null,"PeriodicalName":"Oxford Medical Case Reports","FirstCategoryId":"1085","ListUrlMain":"https://doi.org/10.1093/omcr/omaf111","RegionNum":0,"RegionCategory":null,"ArticlePicture":[],"TitleCN":null,"AbstractTextCN":null,"PMCID":null,"EPubDate":"2025/7/1 0:00:00","PubModel":"eCollection","JCR":"Q3","JCRName":"MEDICINE, GENERAL & INTERNAL","Score":null,"Total":0}
引用次数: 0

摘要

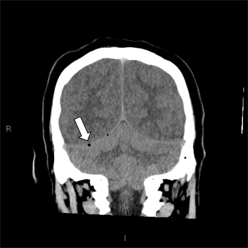
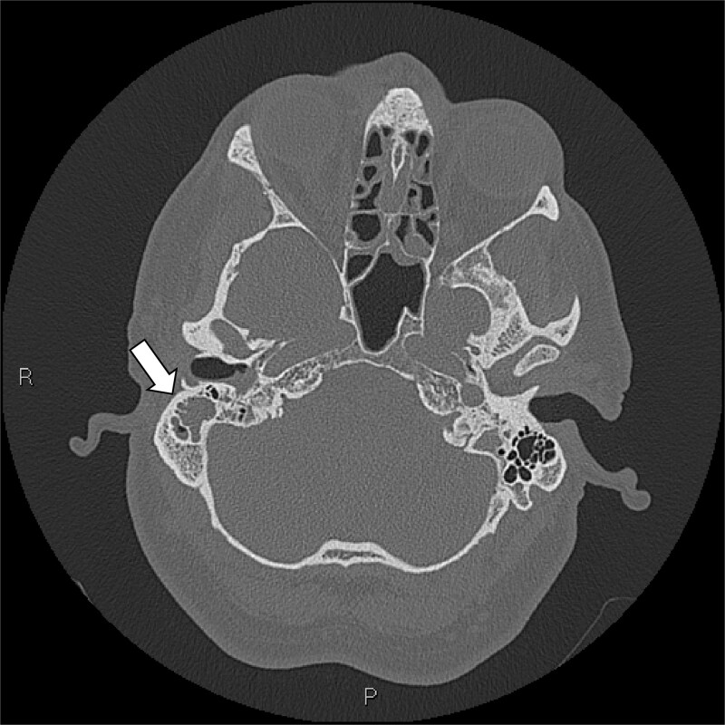
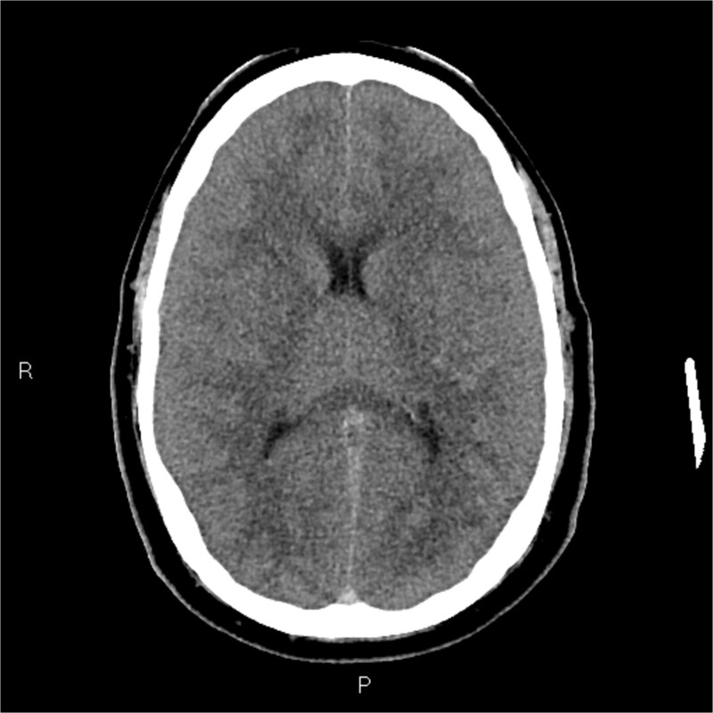
既往健康,免疫功能正常的中年男性,12小时右耳疼痛史,轻度流感样疾病后出院,到地区医院就诊。他的神经系统迅速恶化,瞳孔扩大,癫痫发作,需要插管。在紧急转至第四重症监护室后,多学科评估(耳鼻喉科和神经外科)、神经影像学和右耳鼓膜切开术证实耳瘤乳突炎合并脑静脉窦血栓形成。CT静脉造影显示广泛血栓形成,包括右乙状窦、横窦和上矢状窦。鼓膜切开术显示培养阴性血染脓。肺部微生物学结果对乙型流感和烟曲霉复合体呈阳性。尽管进行了最大限度的医疗治疗,患者还是出现了双侧静脉梗死、脑水肿和小脑扁桃体突出,并在48小时内进展为脑死亡。器官捐赠按照患者先前的意愿进行。即使在健康个体中,耳乳突炎也可引起快速、致命的颅内并发症,因此需要早期影像学检查、专家介入和警惕神经功能衰退。
本文章由计算机程序翻译,如有差异,请以英文原文为准。

Catastrophic cerebral venous sinus thrombosis secondary to fulminant invasive otomastoiditis.

Catastrophic cerebral venous sinus thrombosis secondary to fulminant invasive otomastoiditis.

Catastrophic cerebral venous sinus thrombosis secondary to fulminant invasive otomastoiditis.

Catastrophic cerebral venous sinus thrombosis secondary to fulminant invasive otomastoiditis.

A previously healthy, middle-aged immunocompetent man presented to a regional hospital with a 12-h history of right ear pain and discharge following a mild flu-like illness. He rapidly deteriorated neurologically, developing dilated pupils and seizures requiring intubation. Following urgent transfer to a quaternary ICU, multidisciplinary assessment (ENT and Neurosurgery), neuroimaging, and right ear myringotomy confirmed Otomastoiditis with catastrophic cerebral venous sinus thrombosis. CT venography demonstrated extensive thrombosis involving the right sigmoid, transverse, and superior sagittal sinuses. Myringotomy revealed culture-negative blood-stained pus. Pulmonary microbiology results were positive for Influenzae B and the Aspergillus fumigatus complex. Despite maximal medical management, the patient developed bilateral venous infarctions, cerebral edema, and cerebellar tonsillar herniation, progressing to brain death within 48 h. Organ donation proceeded in accordance with his prior wishes. Otomastoiditis can cause rapid, fatal intracranial complications even in healthy individuals, highlighting the need for early imaging, specialist input, and vigilance for neurological decline.

求助全文
通过发布文献求助,成功后即可免费获取论文全文。 去求助
来源期刊
Oxford Medical Case Reports
Oxford Medical Case Reports MEDICINE, GENERAL & INTERNAL-
CiteScore
0.90
自引率
0.00%
发文量
125
审稿时长
19 weeks
期刊介绍: Oxford Medical Case Reports (OMCR) is an open access, peer-reviewed online journal publishing original and educationally valuable case reports that expand the field of medicine. The journal covers all medical specialities including cardiology, rheumatology, nephrology, oncology, neurology, and reproduction, comprising a comprehensive resource for physicians in all fields and at all stages of training. Oxford Medical Case Reports deposits all articles in PubMed Central (PMC). Physicians and researchers can find your work through PubMed , helping you reach the widest possible audience. The journal is also indexed in the Web of Science Core Collection . Oxford Medical Case Reports publishes case reports under the following categories: Allergy Audiovestibular medicine Cardiology and cardiovascular systems Critical care medicine Dermatology Emergency medicine Endocrinology and metabolism Gastroenterology and hepatology Geriatrics and gerontology Haematology Immunology Infectious diseases and tropical medicine Medical disorders in pregnancy Medical ophthalmology Nephrology Neurology Oncology Paediatrics Pain Palliative medicine Pharmacology and pharmacy Psychiatry Radiology, nuclear medicine, and medical imaging Respiratory disorders Rheumatology Sexual and reproductive health Sports Medicine Substance abuse.
×
引用
GB/T 7714-2015
复制
MLA
复制
APA
复制
导出至
BibTeX EndNote RefMan NoteFirst NoteExpress
×
提示
您的信息不完整,为了账户安全,请先补充。
现在去补充
×
提示
您因"违规操作"
具体请查看互助需知
我知道了
×
提示
确定
请完成安全验证×
copy
已复制链接
快去分享给好友吧!
我知道了
右上角分享
点击右上角分享
0
联系我们:info@booksci.cn Book学术提供免费学术资源搜索服务,方便国内外学者检索中英文文献。致力于提供最便捷和优质的服务体验。 Copyright © 2023 布克学术 All rights reserved.
京ICP备2023020795号-1
ghs 京公网安备 11010802042870号
Book学术文献互助
Book学术文献互助群
群 号:604180095
Book学术官方微信