主动脉夹层表现为咯血:一个诊断挑战。

IF 0.4 Q3 MEDICINE, GENERAL & INTERNAL
Oxford Medical Case Reports Pub Date : 2025-07-27 eCollection Date: 2025-07-01 DOI:10.1093/omcr/omaf107
Ahmad Alashqar, Mohammad Alashqar, Ahmad Daraghmeh, Hala A I Dalbah, Mohammed I Abu Kamesh, Yazan Giacaman, Salma Hajj-Qasem
{"title":"主动脉夹层表现为咯血:一个诊断挑战。","authors":"Ahmad Alashqar, Mohammad Alashqar, Ahmad Daraghmeh, Hala A I Dalbah, Mohammed I Abu Kamesh, Yazan Giacaman, Salma Hajj-Qasem","doi":"10.1093/omcr/omaf107","DOIUrl":null,"url":null,"abstract":"<p><p>Hemoptysis is the expectoration of blood originating from the lower respiratory tract and has a wide differential diagnosis, ranging from benign conditions to life-threatening diseases that include pulmonary embolism, severe infections, and aortic dissection. We present a 53-year-old male with a history of hypertension, COPD, and smoking, presenting to the emergency department with a two-day history of hemoptysis. In spite of the absence of classical symptoms such as chest pain, his chest X-ray showed mediastinal widening, and further imaging was performed with contrast-enhanced CT angiography. The CT scan confirmed a Stanford Type B aortic dissection. After multidisciplinary review, medical management was decided upon with antihypertensive medications and tranexamic acid. The patient remained hemodynamically stable and was transferred for further management. This case indicates the inclusion of aortic dissection in the differential diagnosis of hemoptysis, even without classic symptoms.</p>","PeriodicalId":45318,"journal":{"name":"Oxford Medical Case Reports","volume":"2025 7","pages":"omaf107"},"PeriodicalIF":0.4000,"publicationDate":"2025-07-27","publicationTypes":"Journal Article","fieldsOfStudy":null,"isOpenAccess":false,"openAccessPdf":"https://www.ncbi.nlm.nih.gov/pmc/articles/PMC12296392/pdf/","citationCount":"0","resultStr":"{\"title\":\"Aortic dissection presenting with Hemoptysis: a diagnostic challenge.\",\"authors\":\"Ahmad Alashqar, Mohammad Alashqar, Ahmad Daraghmeh, Hala A I Dalbah, Mohammed I Abu Kamesh, Yazan Giacaman, Salma Hajj-Qasem\",\"doi\":\"10.1093/omcr/omaf107\",\"DOIUrl\":null,\"url\":null,\"abstract\":\"<p><p>Hemoptysis is the expectoration of blood originating from the lower respiratory tract and has a wide differential diagnosis, ranging from benign conditions to life-threatening diseases that include pulmonary embolism, severe infections, and aortic dissection. We present a 53-year-old male with a history of hypertension, COPD, and smoking, presenting to the emergency department with a two-day history of hemoptysis. In spite of the absence of classical symptoms such as chest pain, his chest X-ray showed mediastinal widening, and further imaging was performed with contrast-enhanced CT angiography. The CT scan confirmed a Stanford Type B aortic dissection. After multidisciplinary review, medical management was decided upon with antihypertensive medications and tranexamic acid. The patient remained hemodynamically stable and was transferred for further management. This case indicates the inclusion of aortic dissection in the differential diagnosis of hemoptysis, even without classic symptoms.</p>\",\"PeriodicalId\":45318,\"journal\":{\"name\":\"Oxford Medical Case Reports\",\"volume\":\"2025 7\",\"pages\":\"omaf107\"},\"PeriodicalIF\":0.4000,\"publicationDate\":\"2025-07-27\",\"publicationTypes\":\"Journal Article\",\"fieldsOfStudy\":null,\"isOpenAccess\":false,\"openAccessPdf\":\"https://www.ncbi.nlm.nih.gov/pmc/articles/PMC12296392/pdf/\",\"citationCount\":\"0\",\"resultStr\":null,\"platform\":\"Semanticscholar\",\"paperid\":null,\"PeriodicalName\":\"Oxford Medical Case Reports\",\"FirstCategoryId\":\"1085\",\"ListUrlMain\":\"https://doi.org/10.1093/omcr/omaf107\",\"RegionNum\":0,\"RegionCategory\":null,\"ArticlePicture\":[],\"TitleCN\":null,\"AbstractTextCN\":null,\"PMCID\":null,\"EPubDate\":\"2025/7/1 0:00:00\",\"PubModel\":\"eCollection\",\"JCR\":\"Q3\",\"JCRName\":\"MEDICINE, GENERAL & INTERNAL\",\"Score\":null,\"Total\":0}","platform":"Semanticscholar","paperid":null,"PeriodicalName":"Oxford Medical Case Reports","FirstCategoryId":"1085","ListUrlMain":"https://doi.org/10.1093/omcr/omaf107","RegionNum":0,"RegionCategory":null,"ArticlePicture":[],"TitleCN":null,"AbstractTextCN":null,"PMCID":null,"EPubDate":"2025/7/1 0:00:00","PubModel":"eCollection","JCR":"Q3","JCRName":"MEDICINE, GENERAL & INTERNAL","Score":null,"Total":0}
引用次数: 0

摘要

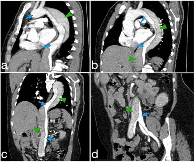
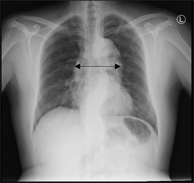
咯血是源自下呼吸道的血液的咳痰,有广泛的鉴别诊断,从良性疾病到危及生命的疾病,包括肺栓塞、严重感染和主动脉夹层。我们报告一位53岁男性,有高血压、慢性阻塞性肺病和吸烟史,以两天咯血史就诊于急诊科。尽管没有胸痛等典型症状,但胸部x线片显示纵隔增宽,并进行了增强CT血管造影。CT扫描证实是斯坦福B型主动脉夹层。在多学科审查后,医疗管理决定降压药和氨甲环酸。患者血流动力学保持稳定,并被转入进一步治疗。本病例提示,即使没有典型症状,主动脉夹层也应列入咯血的鉴别诊断。
本文章由计算机程序翻译,如有差异,请以英文原文为准。

Aortic dissection presenting with Hemoptysis: a diagnostic challenge.

Aortic dissection presenting with Hemoptysis: a diagnostic challenge.

Aortic dissection presenting with Hemoptysis: a diagnostic challenge.

Aortic dissection presenting with Hemoptysis: a diagnostic challenge.

Hemoptysis is the expectoration of blood originating from the lower respiratory tract and has a wide differential diagnosis, ranging from benign conditions to life-threatening diseases that include pulmonary embolism, severe infections, and aortic dissection. We present a 53-year-old male with a history of hypertension, COPD, and smoking, presenting to the emergency department with a two-day history of hemoptysis. In spite of the absence of classical symptoms such as chest pain, his chest X-ray showed mediastinal widening, and further imaging was performed with contrast-enhanced CT angiography. The CT scan confirmed a Stanford Type B aortic dissection. After multidisciplinary review, medical management was decided upon with antihypertensive medications and tranexamic acid. The patient remained hemodynamically stable and was transferred for further management. This case indicates the inclusion of aortic dissection in the differential diagnosis of hemoptysis, even without classic symptoms.

求助全文
通过发布文献求助,成功后即可免费获取论文全文。 去求助
来源期刊
Oxford Medical Case Reports
Oxford Medical Case Reports MEDICINE, GENERAL & INTERNAL-
CiteScore
0.90
自引率
0.00%
发文量
125
审稿时长
19 weeks
期刊介绍: Oxford Medical Case Reports (OMCR) is an open access, peer-reviewed online journal publishing original and educationally valuable case reports that expand the field of medicine. The journal covers all medical specialities including cardiology, rheumatology, nephrology, oncology, neurology, and reproduction, comprising a comprehensive resource for physicians in all fields and at all stages of training. Oxford Medical Case Reports deposits all articles in PubMed Central (PMC). Physicians and researchers can find your work through PubMed , helping you reach the widest possible audience. The journal is also indexed in the Web of Science Core Collection . Oxford Medical Case Reports publishes case reports under the following categories: Allergy Audiovestibular medicine Cardiology and cardiovascular systems Critical care medicine Dermatology Emergency medicine Endocrinology and metabolism Gastroenterology and hepatology Geriatrics and gerontology Haematology Immunology Infectious diseases and tropical medicine Medical disorders in pregnancy Medical ophthalmology Nephrology Neurology Oncology Paediatrics Pain Palliative medicine Pharmacology and pharmacy Psychiatry Radiology, nuclear medicine, and medical imaging Respiratory disorders Rheumatology Sexual and reproductive health Sports Medicine Substance abuse.
×
引用
GB/T 7714-2015
复制
MLA
复制
APA
复制
导出至
BibTeX EndNote RefMan NoteFirst NoteExpress
×
提示
您的信息不完整,为了账户安全,请先补充。
现在去补充
×
提示
您因"违规操作"
具体请查看互助需知
我知道了
×
提示
确定
请完成安全验证×
copy
已复制链接
快去分享给好友吧!
我知道了
右上角分享
点击右上角分享
0
联系我们:info@booksci.cn Book学术提供免费学术资源搜索服务,方便国内外学者检索中英文文献。致力于提供最便捷和优质的服务体验。 Copyright © 2023 布克学术 All rights reserved.
京ICP备2023020795号-1
ghs 京公网安备 11010802042870号
Book学术文献互助
Book学术文献互助群
群 号:604180095
Book学术官方微信