肺超声检查结果与治疗猫复发自发性气胸引起的肺吸虫病。

IF 0.7 Q3 VETERINARY SCIENCES
Journal of Feline Medicine and Surgery Open Reports Pub Date : 2025-07-22 eCollection Date: 2025-07-01 DOI:10.1177/20551169251341545
Po-Yao Huang, Chi-Ru Chen, Chung-Hui Lin, Pei-Ying Lo, Ju-Hsien Peng, Fei-Hsuan Wang, Olivia F Hsieh, Hui-Wen Chen, Wei-Tao Chang
{"title":"肺超声检查结果与治疗猫复发自发性气胸引起的肺吸虫病。","authors":"Po-Yao Huang, Chi-Ru Chen, Chung-Hui Lin, Pei-Ying Lo, Ju-Hsien Peng, Fei-Hsuan Wang, Olivia F Hsieh, Hui-Wen Chen, Wei-Tao Chang","doi":"10.1177/20551169251341545","DOIUrl":null,"url":null,"abstract":"<p><strong>Case summary: </strong>A 1-year-old intact female domestic shorthair cat presented for evaluation of worsening respiratory distress and tachypnoea. The cat had been diagnosed with spontaneous pneumothorax 4 days earlier by the primary clinician and treated with therapeutic thoracocentesis. On physical examination, the patient exhibited decreased lung sounds, tachypnoea and increased breathing effort. Recurrent spontaneous pneumothorax was confirmed via thoracic radiography, and therapeutic thoracocentesis was repeated. Lung ultrasound performed after thoracocentesis revealed lung consolidation, pulmonary nodules and multiple cyst-like lesions with irregularly thickened echogenic walls and anechoic centres. Repeat thoracic radiography showed a diffuse moderate bronchointerstitial pattern with multifocal soft tissue nodules. A thorough faecal examination revealed ova resembling those of <i>Paragonimus</i> species, and subsequent molecular analysis confirmed <i>Paragonimus westermani</i>. The cat was initially treated with fenbendazole alone, which resulted in limited improvement and recurrent spontaneous pneumothorax. A second course of fenbendazole combined with praziquantel led to clinical improvement. The cat remained free of clinical signs and was doing well, with no identifiable lung nodules on thoracic radiography 2 years after diagnosis.</p><p><strong>Relevance and novel information: </strong>This report describes a novel cyst-like lung ultrasound finding characterised by an irregularly thickened echogenic wall and anechoic centre, associated with <i>P westermani</i> infection in a cat presenting with recurrent spontaneous pneumothorax. The report also highlights a successful treatment approach resulting in long-term resolution. The identification of this novel lung ultrasound finding can facilitate early diagnosis and treatment of <i>Paragonimus</i> species infection in cats, especially for those presenting with respiratory distress and pneumothorax.</p>","PeriodicalId":36588,"journal":{"name":"Journal of Feline Medicine and Surgery Open Reports","volume":"11 2","pages":"20551169251341545"},"PeriodicalIF":0.7000,"publicationDate":"2025-07-22","publicationTypes":"Journal Article","fieldsOfStudy":null,"isOpenAccess":false,"openAccessPdf":"https://www.ncbi.nlm.nih.gov/pmc/articles/PMC12290250/pdf/","citationCount":"0","resultStr":"{\"title\":\"Lung ultrasound findings and therapeutic outcome in a cat with recurrent spontaneous pneumothorax caused by paragonimiasis.\",\"authors\":\"Po-Yao Huang, Chi-Ru Chen, Chung-Hui Lin, Pei-Ying Lo, Ju-Hsien Peng, Fei-Hsuan Wang, Olivia F Hsieh, Hui-Wen Chen, Wei-Tao Chang\",\"doi\":\"10.1177/20551169251341545\",\"DOIUrl\":null,\"url\":null,\"abstract\":\"<p><strong>Case summary: </strong>A 1-year-old intact female domestic shorthair cat presented for evaluation of worsening respiratory distress and tachypnoea. The cat had been diagnosed with spontaneous pneumothorax 4 days earlier by the primary clinician and treated with therapeutic thoracocentesis. On physical examination, the patient exhibited decreased lung sounds, tachypnoea and increased breathing effort. Recurrent spontaneous pneumothorax was confirmed via thoracic radiography, and therapeutic thoracocentesis was repeated. Lung ultrasound performed after thoracocentesis revealed lung consolidation, pulmonary nodules and multiple cyst-like lesions with irregularly thickened echogenic walls and anechoic centres. Repeat thoracic radiography showed a diffuse moderate bronchointerstitial pattern with multifocal soft tissue nodules. A thorough faecal examination revealed ova resembling those of <i>Paragonimus</i> species, and subsequent molecular analysis confirmed <i>Paragonimus westermani</i>. The cat was initially treated with fenbendazole alone, which resulted in limited improvement and recurrent spontaneous pneumothorax. A second course of fenbendazole combined with praziquantel led to clinical improvement. The cat remained free of clinical signs and was doing well, with no identifiable lung nodules on thoracic radiography 2 years after diagnosis.</p><p><strong>Relevance and novel information: </strong>This report describes a novel cyst-like lung ultrasound finding characterised by an irregularly thickened echogenic wall and anechoic centre, associated with <i>P westermani</i> infection in a cat presenting with recurrent spontaneous pneumothorax. The report also highlights a successful treatment approach resulting in long-term resolution. The identification of this novel lung ultrasound finding can facilitate early diagnosis and treatment of <i>Paragonimus</i> species infection in cats, especially for those presenting with respiratory distress and pneumothorax.</p>\",\"PeriodicalId\":36588,\"journal\":{\"name\":\"Journal of Feline Medicine and Surgery Open Reports\",\"volume\":\"11 2\",\"pages\":\"20551169251341545\"},\"PeriodicalIF\":0.7000,\"publicationDate\":\"2025-07-22\",\"publicationTypes\":\"Journal Article\",\"fieldsOfStudy\":null,\"isOpenAccess\":false,\"openAccessPdf\":\"https://www.ncbi.nlm.nih.gov/pmc/articles/PMC12290250/pdf/\",\"citationCount\":\"0\",\"resultStr\":null,\"platform\":\"Semanticscholar\",\"paperid\":null,\"PeriodicalName\":\"Journal of Feline Medicine and Surgery Open Reports\",\"FirstCategoryId\":\"1085\",\"ListUrlMain\":\"https://doi.org/10.1177/20551169251341545\",\"RegionNum\":0,\"RegionCategory\":null,\"ArticlePicture\":[],\"TitleCN\":null,\"AbstractTextCN\":null,\"PMCID\":null,\"EPubDate\":\"2025/7/1 0:00:00\",\"PubModel\":\"eCollection\",\"JCR\":\"Q3\",\"JCRName\":\"VETERINARY SCIENCES\",\"Score\":null,\"Total\":0}","platform":"Semanticscholar","paperid":null,"PeriodicalName":"Journal of Feline Medicine and Surgery Open Reports","FirstCategoryId":"1085","ListUrlMain":"https://doi.org/10.1177/20551169251341545","RegionNum":0,"RegionCategory":null,"ArticlePicture":[],"TitleCN":null,"AbstractTextCN":null,"PMCID":null,"EPubDate":"2025/7/1 0:00:00","PubModel":"eCollection","JCR":"Q3","JCRName":"VETERINARY SCIENCES","Score":null,"Total":0}
引用次数: 0

摘要

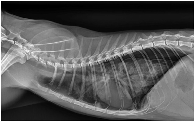
病例总结:一只1岁的完整雌性家养短毛猫,因呼吸窘迫和呼吸急促加重而接受评估。这只猫在4天前被主要临床医生诊断为自发性气胸,并接受了治疗性胸穿刺治疗。在体格检查中,患者表现出肺音减少,呼吸急促和呼吸力度增加。复发性自发性气胸经胸片证实,并重复治疗性胸穿刺。胸穿刺后肺超声显示肺实变、肺结节及多发囊肿样病变,回声壁不规则增厚,中心无回声。胸部重复x线片显示弥漫性中度支气管间质型伴多灶性软组织结节。彻底的粪便检查显示卵子与肺吸虫种类相似,随后的分子分析证实了威氏肺吸虫。猫最初仅用芬苯达唑治疗,结果改善有限,自发性气胸复发。芬苯达唑联合吡喹酮的第二个疗程导致临床改善。这只猫没有任何临床症状,病情很好,在诊断后2年的胸片上没有可识别的肺结节。相关性和新信息:本报告描述了一种新的囊肿样肺超声发现,其特征是回声壁不规则增厚,中心无回声,伴有P westermani感染,表现为复发性自发性气胸。该报告还强调了一种成功的治疗方法,可以长期解决问题。这种新的肺部超声发现的识别有助于早期诊断和治疗猫的肺吸虫感染,特别是对那些出现呼吸窘迫和气胸的猫。
本文章由计算机程序翻译,如有差异,请以英文原文为准。

Lung ultrasound findings and therapeutic outcome in a cat with recurrent spontaneous pneumothorax caused by paragonimiasis.

Lung ultrasound findings and therapeutic outcome in a cat with recurrent spontaneous pneumothorax caused by paragonimiasis.

Lung ultrasound findings and therapeutic outcome in a cat with recurrent spontaneous pneumothorax caused by paragonimiasis.

Lung ultrasound findings and therapeutic outcome in a cat with recurrent spontaneous pneumothorax caused by paragonimiasis.

Case summary: A 1-year-old intact female domestic shorthair cat presented for evaluation of worsening respiratory distress and tachypnoea. The cat had been diagnosed with spontaneous pneumothorax 4 days earlier by the primary clinician and treated with therapeutic thoracocentesis. On physical examination, the patient exhibited decreased lung sounds, tachypnoea and increased breathing effort. Recurrent spontaneous pneumothorax was confirmed via thoracic radiography, and therapeutic thoracocentesis was repeated. Lung ultrasound performed after thoracocentesis revealed lung consolidation, pulmonary nodules and multiple cyst-like lesions with irregularly thickened echogenic walls and anechoic centres. Repeat thoracic radiography showed a diffuse moderate bronchointerstitial pattern with multifocal soft tissue nodules. A thorough faecal examination revealed ova resembling those of Paragonimus species, and subsequent molecular analysis confirmed Paragonimus westermani. The cat was initially treated with fenbendazole alone, which resulted in limited improvement and recurrent spontaneous pneumothorax. A second course of fenbendazole combined with praziquantel led to clinical improvement. The cat remained free of clinical signs and was doing well, with no identifiable lung nodules on thoracic radiography 2 years after diagnosis.

Relevance and novel information: This report describes a novel cyst-like lung ultrasound finding characterised by an irregularly thickened echogenic wall and anechoic centre, associated with P westermani infection in a cat presenting with recurrent spontaneous pneumothorax. The report also highlights a successful treatment approach resulting in long-term resolution. The identification of this novel lung ultrasound finding can facilitate early diagnosis and treatment of Paragonimus species infection in cats, especially for those presenting with respiratory distress and pneumothorax.

求助全文
通过发布文献求助,成功后即可免费获取论文全文。 去求助
来源期刊
CiteScore
1.30
自引率
14.30%
发文量
57
审稿时长
15 weeks
×
引用
GB/T 7714-2015
复制
MLA
复制
APA
复制
导出至
BibTeX EndNote RefMan NoteFirst NoteExpress
×
提示
您的信息不完整,为了账户安全,请先补充。
现在去补充
×
提示
您因"违规操作"
具体请查看互助需知
我知道了
×
提示
确定
请完成安全验证×
copy
已复制链接
快去分享给好友吧!
我知道了
右上角分享
点击右上角分享
0
联系我们:info@booksci.cn Book学术提供免费学术资源搜索服务,方便国内外学者检索中英文文献。致力于提供最便捷和优质的服务体验。 Copyright © 2023 布克学术 All rights reserved.
京ICP备2023020795号-1
ghs 京公网安备 11010802042870号
Book学术文献互助
Book学术文献互助群
群 号:604180095
Book学术官方微信