肌性浸润性膀胱癌继发恶性阴茎勃起障碍1例及姑息治疗回顾。

Case Reports in Urology Pub Date : 2025-07-18 eCollection Date: 2025-01-01 DOI:10.1155/criu/2340917
David Fenton, Simon Han, Adrianna Lee, Alexandra Hernandez Perez, Kristina Gam, Jung Woo Kwon, Piyush Agarwal, Omer Raheem
{"title":"肌性浸润性膀胱癌继发恶性阴茎勃起障碍1例及姑息治疗回顾。","authors":"David Fenton, Simon Han, Adrianna Lee, Alexandra Hernandez Perez, Kristina Gam, Jung Woo Kwon, Piyush Agarwal, Omer Raheem","doi":"10.1155/criu/2340917","DOIUrl":null,"url":null,"abstract":"<p><p>Malignant priapism secondary to a genitourinary malignancy is a rare and late-stage oncological finding. A 72-year-old man with a past medical history of muscle-invasive bladder cancer treated with trimodal therapy presented with altered mental status, white discharge from his Foley catheter, and bilateral corporal rigidity. Initial pelvic magnetic resonance imaging demonstrated engorgement of the corporal bodies without obvious tumor invasion. The patient eventually underwent penile exploration and bilateral decompression, and a biopsy revealed high-grade urothelial carcinoma invading the corporal tissues. Despite current guidelines for priapism, we present a three-tiered approach to the management of malignant priapism.</p>","PeriodicalId":30323,"journal":{"name":"Case Reports in Urology","volume":"2025 ","pages":"2340917"},"PeriodicalIF":0.0000,"publicationDate":"2025-07-18","publicationTypes":"Journal Article","fieldsOfStudy":null,"isOpenAccess":false,"openAccessPdf":"https://www.ncbi.nlm.nih.gov/pmc/articles/PMC12297130/pdf/","citationCount":"0","resultStr":"{\"title\":\"A Case of Malignant Priapism Secondary to Muscle Invasive Bladder Cancer and Review of Palliative Management.\",\"authors\":\"David Fenton, Simon Han, Adrianna Lee, Alexandra Hernandez Perez, Kristina Gam, Jung Woo Kwon, Piyush Agarwal, Omer Raheem\",\"doi\":\"10.1155/criu/2340917\",\"DOIUrl\":null,\"url\":null,\"abstract\":\"<p><p>Malignant priapism secondary to a genitourinary malignancy is a rare and late-stage oncological finding. A 72-year-old man with a past medical history of muscle-invasive bladder cancer treated with trimodal therapy presented with altered mental status, white discharge from his Foley catheter, and bilateral corporal rigidity. Initial pelvic magnetic resonance imaging demonstrated engorgement of the corporal bodies without obvious tumor invasion. The patient eventually underwent penile exploration and bilateral decompression, and a biopsy revealed high-grade urothelial carcinoma invading the corporal tissues. Despite current guidelines for priapism, we present a three-tiered approach to the management of malignant priapism.</p>\",\"PeriodicalId\":30323,\"journal\":{\"name\":\"Case Reports in Urology\",\"volume\":\"2025 \",\"pages\":\"2340917\"},\"PeriodicalIF\":0.0000,\"publicationDate\":\"2025-07-18\",\"publicationTypes\":\"Journal Article\",\"fieldsOfStudy\":null,\"isOpenAccess\":false,\"openAccessPdf\":\"https://www.ncbi.nlm.nih.gov/pmc/articles/PMC12297130/pdf/\",\"citationCount\":\"0\",\"resultStr\":null,\"platform\":\"Semanticscholar\",\"paperid\":null,\"PeriodicalName\":\"Case Reports in Urology\",\"FirstCategoryId\":\"1085\",\"ListUrlMain\":\"https://doi.org/10.1155/criu/2340917\",\"RegionNum\":0,\"RegionCategory\":null,\"ArticlePicture\":[],\"TitleCN\":null,\"AbstractTextCN\":null,\"PMCID\":null,\"EPubDate\":\"2025/1/1 0:00:00\",\"PubModel\":\"eCollection\",\"JCR\":\"\",\"JCRName\":\"\",\"Score\":null,\"Total\":0}","platform":"Semanticscholar","paperid":null,"PeriodicalName":"Case Reports in Urology","FirstCategoryId":"1085","ListUrlMain":"https://doi.org/10.1155/criu/2340917","RegionNum":0,"RegionCategory":null,"ArticlePicture":[],"TitleCN":null,"AbstractTextCN":null,"PMCID":null,"EPubDate":"2025/1/1 0:00:00","PubModel":"eCollection","JCR":"","JCRName":"","Score":null,"Total":0}
引用次数: 0

摘要

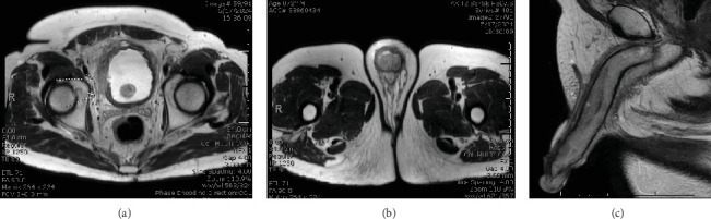
恶性阴茎勃起症继发于泌尿生殖系统恶性肿瘤是一种罕见的晚期肿瘤发现。一名72岁男性,既往有肌肉浸润性膀胱癌病史,曾接受三模式治疗,表现为精神状态改变,Foley导尿管排出白色分泌物,双侧身体僵硬。最初的盆腔磁共振成像显示下体肿胀,无明显肿瘤侵袭。患者最终接受了阴茎探查和双侧减压,活检显示高度尿路上皮癌侵犯了下体组织。尽管目前的指导方针阴茎勃起,我们提出了一个三层的方法来管理恶性阴茎勃起。
本文章由计算机程序翻译,如有差异,请以英文原文为准。

A Case of Malignant Priapism Secondary to Muscle Invasive Bladder Cancer and Review of Palliative Management.

A Case of Malignant Priapism Secondary to Muscle Invasive Bladder Cancer and Review of Palliative Management.

A Case of Malignant Priapism Secondary to Muscle Invasive Bladder Cancer and Review of Palliative Management.

A Case of Malignant Priapism Secondary to Muscle Invasive Bladder Cancer and Review of Palliative Management.

Malignant priapism secondary to a genitourinary malignancy is a rare and late-stage oncological finding. A 72-year-old man with a past medical history of muscle-invasive bladder cancer treated with trimodal therapy presented with altered mental status, white discharge from his Foley catheter, and bilateral corporal rigidity. Initial pelvic magnetic resonance imaging demonstrated engorgement of the corporal bodies without obvious tumor invasion. The patient eventually underwent penile exploration and bilateral decompression, and a biopsy revealed high-grade urothelial carcinoma invading the corporal tissues. Despite current guidelines for priapism, we present a three-tiered approach to the management of malignant priapism.

求助全文
通过发布文献求助,成功后即可免费获取论文全文。 去求助
来源期刊
自引率
0.00%
发文量
28
审稿时长
13 weeks
×
引用
GB/T 7714-2015
复制
MLA
复制
APA
复制
导出至
BibTeX EndNote RefMan NoteFirst NoteExpress
×
提示
您的信息不完整,为了账户安全,请先补充。
现在去补充
×
提示
您因"违规操作"
具体请查看互助需知
我知道了
×
提示
确定
请完成安全验证×
copy
已复制链接
快去分享给好友吧!
我知道了
右上角分享
点击右上角分享
0
联系我们:info@booksci.cn Book学术提供免费学术资源搜索服务,方便国内外学者检索中英文文献。致力于提供最便捷和优质的服务体验。 Copyright © 2023 布克学术 All rights reserved.
京ICP备2023020795号-1
ghs 京公网安备 11010802042870号
Book学术文献互助
Book学术文献互助群
群 号:604180095
Book学术官方微信