泰国第一例蛇状病毒感染球蟒(蟒蛇):一例分子特征的病例报告。

IF 1.1 4区 农林科学 Q3 ZOOLOGY
Veterinary Research Forum Pub Date : 2025-01-01 Epub Date: 2025-06-15 DOI:10.30466/vrf.2024.2034234.4345
Panithi Laoungbua, Nararat Laopichienpong, Apinya Longya, Lawan Chanhome, Taksa Vasaruchapong, Tanapong Tawan, Narongsak Chaiyabutr
{"title":"泰国第一例蛇状病毒感染球蟒(蟒蛇):一例分子特征的病例报告。","authors":"Panithi Laoungbua, Nararat Laopichienpong, Apinya Longya, Lawan Chanhome, Taksa Vasaruchapong, Tanapong Tawan, Narongsak Chaiyabutr","doi":"10.30466/vrf.2024.2034234.4345","DOIUrl":null,"url":null,"abstract":"<p><p>The pet snake industry in Thailand has seen a significant rise in popularity, with the ball python (<i>Python regius</i>) becoming a frequently kept species. However, respiratory disease poses a notable health concern, and various viral pathogens, including serpentoviruses (formerly classified as nidoviruses), have been implicated. While serpentovirus infections have been reported globally in diverse snake species, no documented cases had previously been identified in Thailand. This case report describes a 9-month-old ball python presenting to the Reptile Science Clinic at the Queen Saovabha Memorial Institute in Bangkok, Thailand, with respiratory distress and emaciation. Despite veterinary intervention, the snake succumbed to the infection within two weeks. Post-mortem examination revealed marked mucus accumulation within the oral cavity and necrotic oral mucosa. Histopathological analysis demonstrated severe catarrhal pneumonia. Molecular investigations confirmed the presence of serpentovirus in the lung tissue of the affected python, with subsequent sequence analysis revealing close homology to known serpentoviruses in ball pythons. This report documents the first confirmed case of serpentovirus infection in a pet snake in Thailand.</p>","PeriodicalId":23989,"journal":{"name":"Veterinary Research Forum","volume":"16 6","pages":"361-364"},"PeriodicalIF":1.1000,"publicationDate":"2025-01-01","publicationTypes":"Journal Article","fieldsOfStudy":null,"isOpenAccess":false,"openAccessPdf":"https://www.ncbi.nlm.nih.gov/pmc/articles/PMC12295528/pdf/","citationCount":"0","resultStr":"{\"title\":\"First case of serpentovirus infection in a ball python (<i>Python regius</i>) in Thailand: a case report with molecular characterization.\",\"authors\":\"Panithi Laoungbua, Nararat Laopichienpong, Apinya Longya, Lawan Chanhome, Taksa Vasaruchapong, Tanapong Tawan, Narongsak Chaiyabutr\",\"doi\":\"10.30466/vrf.2024.2034234.4345\",\"DOIUrl\":null,\"url\":null,\"abstract\":\"<p><p>The pet snake industry in Thailand has seen a significant rise in popularity, with the ball python (<i>Python regius</i>) becoming a frequently kept species. However, respiratory disease poses a notable health concern, and various viral pathogens, including serpentoviruses (formerly classified as nidoviruses), have been implicated. While serpentovirus infections have been reported globally in diverse snake species, no documented cases had previously been identified in Thailand. This case report describes a 9-month-old ball python presenting to the Reptile Science Clinic at the Queen Saovabha Memorial Institute in Bangkok, Thailand, with respiratory distress and emaciation. Despite veterinary intervention, the snake succumbed to the infection within two weeks. Post-mortem examination revealed marked mucus accumulation within the oral cavity and necrotic oral mucosa. Histopathological analysis demonstrated severe catarrhal pneumonia. Molecular investigations confirmed the presence of serpentovirus in the lung tissue of the affected python, with subsequent sequence analysis revealing close homology to known serpentoviruses in ball pythons. This report documents the first confirmed case of serpentovirus infection in a pet snake in Thailand.</p>\",\"PeriodicalId\":23989,\"journal\":{\"name\":\"Veterinary Research Forum\",\"volume\":\"16 6\",\"pages\":\"361-364\"},\"PeriodicalIF\":1.1000,\"publicationDate\":\"2025-01-01\",\"publicationTypes\":\"Journal Article\",\"fieldsOfStudy\":null,\"isOpenAccess\":false,\"openAccessPdf\":\"https://www.ncbi.nlm.nih.gov/pmc/articles/PMC12295528/pdf/\",\"citationCount\":\"0\",\"resultStr\":null,\"platform\":\"Semanticscholar\",\"paperid\":null,\"PeriodicalName\":\"Veterinary Research Forum\",\"FirstCategoryId\":\"97\",\"ListUrlMain\":\"https://doi.org/10.30466/vrf.2024.2034234.4345\",\"RegionNum\":4,\"RegionCategory\":\"农林科学\",\"ArticlePicture\":[],\"TitleCN\":null,\"AbstractTextCN\":null,\"PMCID\":null,\"EPubDate\":\"2025/6/15 0:00:00\",\"PubModel\":\"Epub\",\"JCR\":\"Q3\",\"JCRName\":\"ZOOLOGY\",\"Score\":null,\"Total\":0}","platform":"Semanticscholar","paperid":null,"PeriodicalName":"Veterinary Research Forum","FirstCategoryId":"97","ListUrlMain":"https://doi.org/10.30466/vrf.2024.2034234.4345","RegionNum":4,"RegionCategory":"农林科学","ArticlePicture":[],"TitleCN":null,"AbstractTextCN":null,"PMCID":null,"EPubDate":"2025/6/15 0:00:00","PubModel":"Epub","JCR":"Q3","JCRName":"ZOOLOGY","Score":null,"Total":0}
引用次数: 0

摘要

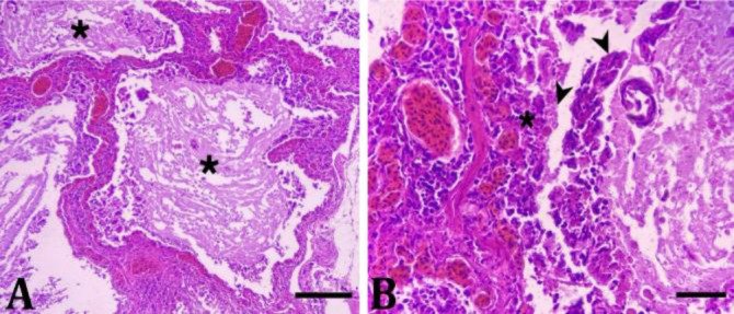
宠物蛇产业在泰国的受欢迎程度显著上升,球蟒(python regius)成为一个经常饲养的物种。然而,呼吸道疾病引起了显著的健康问题,包括蛇形病毒(以前归类为尼多病毒)在内的各种病毒性病原体都与之有关。虽然在全球不同种类的蛇中报告了蛇形病毒感染,但在泰国以前没有发现有记录的病例。本病例报告描述了一条9个月大的球蟒,出现在泰国曼谷萨瓦巴女王纪念研究所的爬行动物科学诊所,患有呼吸窘迫和消瘦。尽管兽医进行了干预,这条蛇还是在两周内死于感染。尸检显示口腔内有明显的黏液积聚,口腔黏膜坏死。组织病理学分析显示为严重的卡他性肺炎。分子调查证实在受感染蟒蛇的肺组织中存在蛇状病毒,随后的序列分析显示与球蟒中已知的蛇状病毒具有密切的同源性。本报告记录了泰国首例宠物蛇感染蛇形病毒的确诊病例。
本文章由计算机程序翻译,如有差异,请以英文原文为准。

First case of serpentovirus infection in a ball python (<i>Python regius</i>) in Thailand: a case report with molecular characterization.

First case of serpentovirus infection in a ball python (<i>Python regius</i>) in Thailand: a case report with molecular characterization.

First case of serpentovirus infection in a ball python (<i>Python regius</i>) in Thailand: a case report with molecular characterization.

First case of serpentovirus infection in a ball python (Python regius) in Thailand: a case report with molecular characterization.

The pet snake industry in Thailand has seen a significant rise in popularity, with the ball python (Python regius) becoming a frequently kept species. However, respiratory disease poses a notable health concern, and various viral pathogens, including serpentoviruses (formerly classified as nidoviruses), have been implicated. While serpentovirus infections have been reported globally in diverse snake species, no documented cases had previously been identified in Thailand. This case report describes a 9-month-old ball python presenting to the Reptile Science Clinic at the Queen Saovabha Memorial Institute in Bangkok, Thailand, with respiratory distress and emaciation. Despite veterinary intervention, the snake succumbed to the infection within two weeks. Post-mortem examination revealed marked mucus accumulation within the oral cavity and necrotic oral mucosa. Histopathological analysis demonstrated severe catarrhal pneumonia. Molecular investigations confirmed the presence of serpentovirus in the lung tissue of the affected python, with subsequent sequence analysis revealing close homology to known serpentoviruses in ball pythons. This report documents the first confirmed case of serpentovirus infection in a pet snake in Thailand.

求助全文
通过发布文献求助,成功后即可免费获取论文全文。 去求助
来源期刊
Veterinary Research Forum
Veterinary Research Forum Veterinary-General Veterinary
CiteScore
1.50
自引率
0.00%
发文量
0
审稿时长
8 weeks
期刊介绍: Veterinary Research Forum (VRF) is a quarterly international journal committed to publish worldwide contributions on all aspects of veterinary science and medicine, including anatomy and histology, physiology and pharmacology, anatomic and clinical pathology, parasitology, microbiology, immunology and epidemiology, food hygiene, poultry science, fish and aquaculture, anesthesia and surgery, large and small animal internal medicine, large and small animal reproduction, biotechnology and diagnostic imaging of domestic, companion and farm animals.
×
引用
GB/T 7714-2015
复制
MLA
复制
APA
复制
导出至
BibTeX EndNote RefMan NoteFirst NoteExpress
×
提示
您的信息不完整,为了账户安全,请先补充。
现在去补充
×
提示
您因"违规操作"
具体请查看互助需知
我知道了
×
提示
确定
请完成安全验证×
copy
已复制链接
快去分享给好友吧!
我知道了
右上角分享
点击右上角分享
0
联系我们:info@booksci.cn Book学术提供免费学术资源搜索服务,方便国内外学者检索中英文文献。致力于提供最便捷和优质的服务体验。 Copyright © 2023 布克学术 All rights reserved.
京ICP备2023020795号-1
ghs 京公网安备 11010802042870号
Book学术文献互助
Book学术文献互助群
群 号:604180095
Book学术官方微信