犬瘟热病毒重组铁蛋白血凝素免疫原性研究。

IF 4 3区 医学 Q2 VIROLOGY
Dongyu Liu, Bing Liu, Jinling Guo, Yanan Zhao, Dandan Yang, Yudie Zhang, Congmei Wu, Yuhe Yin
{"title":"犬瘟热病毒重组铁蛋白血凝素免疫原性研究。","authors":"Dongyu Liu, Bing Liu, Jinling Guo, Yanan Zhao, Dandan Yang, Yudie Zhang, Congmei Wu, Yuhe Yin","doi":"10.1186/s12985-025-02802-x","DOIUrl":null,"url":null,"abstract":"<p><strong>Background: </strong>Canine distemper virus (CDV) hemagglutinin protein (H), as one of the surface glycoproteins of the virus, helps attach the virus to the host cell through its interaction with cell receptors, makes hemagglutinin protein a key target for the development of neutralizing antibodies.</p><p><strong>Methods: </strong>In this study, H protein sequences were analyzed by conservation analysis and prediction of multiple immune cell epitopes, three possible epitope sequences were identified. The epitopes were ligated to Ferritin vector with linkers to construct pET30a-Ferritin-Hemagglutinin-Canine distemper virus (FHCDV). pET30a-FHCDV was transfected into E.coli BL21, the expressed protein was extracted by nickel column affinity chromatography and dialysis concentration. Evaluate vaccine efficacy through nasal mucosal and muscular administration.</p><p><strong>Results: </strong>The best expression conditions of FHCDV in E. coli transfected with pET30a-FHCDV were 25 °C and 1 mM Isopropyl β-D-1-Thiogalactopyranoside (IPTG). The results of Sodium Dodecyl Sulfate Polyacrylamide Gel Electrophoresis(SDS-PAGE) and Non-denaturing Polyacrylamide Gel Electrophoresis (Native-PAGE)showed that the purity of purified FHCDV was about 95% and had capable of self-assembly. The results of Dynamic Light Scattering (DLS) and Transmission Electron Microscope (TEM) characterization showed the recombinant protein FHCDV self-assembly into tetrameric caged nanoparticles with a diameter of 16.56 nm. Significant secreted IgA (sIgA) was generated in BALB/C female mice with nasal mucosal immunization. The titers of sIgA antibodies against FHCDV in nasal wash and bronchoalveolar lavage fluid were about 1865 ng/ml and 3943 ng/ml. FHCDV was used as an intramuscular vaccination to inject BALB/C female mice with aluminium adjuvant (Al), Oligodeoxynucleotide (CpG), and polyethyleneimine (PEI) respectively. All immunization groups produced distinct antibodies against the antigenic epitopes of FHCDV. The antibody titer of FHCDV group was 1.28 × 10<sup>4</sup>, that of Ferritin-Hemagglutinin- Canine distemper virus + aluminium adjuvant (FHCDV + Al) group was 5.12 × 10<sup>4</sup>, Ferritin-Hemagglutinin- Canine distemper virus + Oligodeoxynucleotide (FHCDV + CpG) group was 1.28 × 10<sup>4</sup>, and Ferritin-Hemagglutinin- Canine distemper virus + polyethyleneimine (FHCDV + PEI) group was 2.56 × 10<sup>4</sup>. The results of cytokine assays showed that FHCDV generated a Th1 immune response. Immunoaffinity protein serum exhibited varying degrees of neutralizing activity against Canine distemper virus-11(CDV-11); ID<sub>50</sub> of FHCDV groups was 39.8, that of FHCDV + Al groups was 106.7, FHCDV + CpG groups was 58.7, and FHCDV + PEI groups was 55.4. FHCDV did not cause damage to mouse organs.</p><p><strong>Conclusions: </strong>These results indicate that self-assembled multi-epitope FHCDV nano vaccines elicit effective immune responses with a favorable safety profile, providing a promising strategy for canine distemper virus vaccine development.</p>","PeriodicalId":23616,"journal":{"name":"Virology Journal","volume":"22 1","pages":"260"},"PeriodicalIF":4.0000,"publicationDate":"2025-07-28","publicationTypes":"Journal Article","fieldsOfStudy":null,"isOpenAccess":false,"openAccessPdf":"https://www.ncbi.nlm.nih.gov/pmc/articles/PMC12302749/pdf/","citationCount":"0","resultStr":"{\"title\":\"Study on immunogenicity of recombinant ferritin hemagglutinin of canine distemper virus.\",\"authors\":\"Dongyu Liu, Bing Liu, Jinling Guo, Yanan Zhao, Dandan Yang, Yudie Zhang, Congmei Wu, Yuhe Yin\",\"doi\":\"10.1186/s12985-025-02802-x\",\"DOIUrl\":null,\"url\":null,\"abstract\":\"<p><strong>Background: </strong>Canine distemper virus (CDV) hemagglutinin protein (H), as one of the surface glycoproteins of the virus, helps attach the virus to the host cell through its interaction with cell receptors, makes hemagglutinin protein a key target for the development of neutralizing antibodies.</p><p><strong>Methods: </strong>In this study, H protein sequences were analyzed by conservation analysis and prediction of multiple immune cell epitopes, three possible epitope sequences were identified. The epitopes were ligated to Ferritin vector with linkers to construct pET30a-Ferritin-Hemagglutinin-Canine distemper virus (FHCDV). pET30a-FHCDV was transfected into E.coli BL21, the expressed protein was extracted by nickel column affinity chromatography and dialysis concentration. Evaluate vaccine efficacy through nasal mucosal and muscular administration.</p><p><strong>Results: </strong>The best expression conditions of FHCDV in E. coli transfected with pET30a-FHCDV were 25 °C and 1 mM Isopropyl β-D-1-Thiogalactopyranoside (IPTG). The results of Sodium Dodecyl Sulfate Polyacrylamide Gel Electrophoresis(SDS-PAGE) and Non-denaturing Polyacrylamide Gel Electrophoresis (Native-PAGE)showed that the purity of purified FHCDV was about 95% and had capable of self-assembly. The results of Dynamic Light Scattering (DLS) and Transmission Electron Microscope (TEM) characterization showed the recombinant protein FHCDV self-assembly into tetrameric caged nanoparticles with a diameter of 16.56 nm. Significant secreted IgA (sIgA) was generated in BALB/C female mice with nasal mucosal immunization. The titers of sIgA antibodies against FHCDV in nasal wash and bronchoalveolar lavage fluid were about 1865 ng/ml and 3943 ng/ml. FHCDV was used as an intramuscular vaccination to inject BALB/C female mice with aluminium adjuvant (Al), Oligodeoxynucleotide (CpG), and polyethyleneimine (PEI) respectively. All immunization groups produced distinct antibodies against the antigenic epitopes of FHCDV. The antibody titer of FHCDV group was 1.28 × 10<sup>4</sup>, that of Ferritin-Hemagglutinin- Canine distemper virus + aluminium adjuvant (FHCDV + Al) group was 5.12 × 10<sup>4</sup>, Ferritin-Hemagglutinin- Canine distemper virus + Oligodeoxynucleotide (FHCDV + CpG) group was 1.28 × 10<sup>4</sup>, and Ferritin-Hemagglutinin- Canine distemper virus + polyethyleneimine (FHCDV + PEI) group was 2.56 × 10<sup>4</sup>. The results of cytokine assays showed that FHCDV generated a Th1 immune response. Immunoaffinity protein serum exhibited varying degrees of neutralizing activity against Canine distemper virus-11(CDV-11); ID<sub>50</sub> of FHCDV groups was 39.8, that of FHCDV + Al groups was 106.7, FHCDV + CpG groups was 58.7, and FHCDV + PEI groups was 55.4. FHCDV did not cause damage to mouse organs.</p><p><strong>Conclusions: </strong>These results indicate that self-assembled multi-epitope FHCDV nano vaccines elicit effective immune responses with a favorable safety profile, providing a promising strategy for canine distemper virus vaccine development.</p>\",\"PeriodicalId\":23616,\"journal\":{\"name\":\"Virology Journal\",\"volume\":\"22 1\",\"pages\":\"260\"},\"PeriodicalIF\":4.0000,\"publicationDate\":\"2025-07-28\",\"publicationTypes\":\"Journal Article\",\"fieldsOfStudy\":null,\"isOpenAccess\":false,\"openAccessPdf\":\"https://www.ncbi.nlm.nih.gov/pmc/articles/PMC12302749/pdf/\",\"citationCount\":\"0\",\"resultStr\":null,\"platform\":\"Semanticscholar\",\"paperid\":null,\"PeriodicalName\":\"Virology Journal\",\"FirstCategoryId\":\"3\",\"ListUrlMain\":\"https://doi.org/10.1186/s12985-025-02802-x\",\"RegionNum\":3,\"RegionCategory\":\"医学\",\"ArticlePicture\":[],\"TitleCN\":null,\"AbstractTextCN\":null,\"PMCID\":null,\"EPubDate\":\"\",\"PubModel\":\"\",\"JCR\":\"Q2\",\"JCRName\":\"VIROLOGY\",\"Score\":null,\"Total\":0}","platform":"Semanticscholar","paperid":null,"PeriodicalName":"Virology Journal","FirstCategoryId":"3","ListUrlMain":"https://doi.org/10.1186/s12985-025-02802-x","RegionNum":3,"RegionCategory":"医学","ArticlePicture":[],"TitleCN":null,"AbstractTextCN":null,"PMCID":null,"EPubDate":"","PubModel":"","JCR":"Q2","JCRName":"VIROLOGY","Score":null,"Total":0}
引用次数: 0

摘要

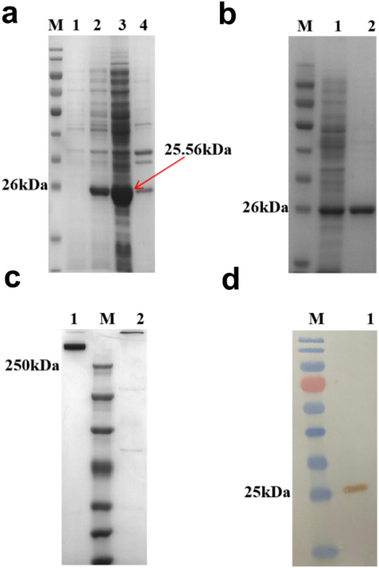
背景:犬瘟热病毒(Canine犬瘟热病毒,CDV)血凝素蛋白(hemagglutinin protein, H)作为病毒的表面糖蛋白之一,通过与细胞受体的相互作用帮助病毒附着在宿主细胞上,使血凝素蛋白成为产生中和抗体的关键靶点。方法:本研究通过对免疫细胞多个表位的保守性分析和预测对H蛋白序列进行分析,鉴定出3个可能的表位序列。用连接体将抗原表位与铁蛋白载体连接,构建pet30a -铁蛋白-血凝素-犬瘟热病毒(FHCDV)。将pET30a-FHCDV转染大肠杆菌BL21,镍柱亲和层析提取表达蛋白,透析浓缩。通过鼻黏膜和肌肉给药评估疫苗效力。结果:在转染pET30a-FHCDV的大肠杆菌中,FHCDV的最佳表达条件为25°C和1 mM异丙基β- d -1-硫代半乳糖苷(IPTG)。十二烷基硫酸钠聚丙烯酰胺凝胶电泳(SDS-PAGE)和非变性聚丙烯酰胺凝胶电泳(Native-PAGE)结果表明,纯化的FHCDV纯度约为95%,具有自组装能力。动态光散射(DLS)和透射电镜(TEM)表征结果表明,重组蛋白FHCDV自组装成直径为16.56 nm的四聚体笼状纳米颗粒。鼻黏膜免疫BALB/C雌性小鼠产生显著的分泌IgA (sIgA)。鼻洗液和支气管肺泡灌洗液中抗FHCDV sIgA抗体滴度分别为1865 ng/ml和3943 ng/ml。用FHCDV作为肌肉注射疫苗,分别给BALB/C雌性小鼠注射铝佐剂(Al)、寡脱氧核苷酸(CpG)和聚乙烯亚胺(PEI)。所有免疫组均产生针对FHCDV抗原表位的不同抗体。FHCDV组抗体滴度为1.28 × 104,铁蛋白-血凝素-犬瘟热病毒+铝佐剂(FHCDV + Al)组抗体滴度为5.12 × 104,铁蛋白-血凝素-犬瘟热病毒+寡脱氧核苷酸(FHCDV + CpG)组抗体滴度为1.28 × 104,铁蛋白-血凝素-犬瘟热病毒+聚乙烯亚胺(FHCDV + PEI)组抗体滴度为2.56 × 104。细胞因子检测结果显示,FHCDV产生Th1免疫应答。免疫亲和蛋白血清对犬瘟热病毒-11具有不同程度的中和活性;FHCDV组ID50为39.8,FHCDV + Al组ID50为106.7,FHCDV + CpG组ID50为58.7,FHCDV + PEI组ID50为55.4。FHCDV不会对小鼠器官造成损害。结论:这些结果表明,自组装多表位FHCDV纳米疫苗可引起有效的免疫应答,且具有良好的安全性,为犬瘟热病毒疫苗的开发提供了一种有前景的策略。
本文章由计算机程序翻译,如有差异,请以英文原文为准。

Study on immunogenicity of recombinant ferritin hemagglutinin of canine distemper virus.

Study on immunogenicity of recombinant ferritin hemagglutinin of canine distemper virus.

Study on immunogenicity of recombinant ferritin hemagglutinin of canine distemper virus.

Study on immunogenicity of recombinant ferritin hemagglutinin of canine distemper virus.

Background: Canine distemper virus (CDV) hemagglutinin protein (H), as one of the surface glycoproteins of the virus, helps attach the virus to the host cell through its interaction with cell receptors, makes hemagglutinin protein a key target for the development of neutralizing antibodies.

Methods: In this study, H protein sequences were analyzed by conservation analysis and prediction of multiple immune cell epitopes, three possible epitope sequences were identified. The epitopes were ligated to Ferritin vector with linkers to construct pET30a-Ferritin-Hemagglutinin-Canine distemper virus (FHCDV). pET30a-FHCDV was transfected into E.coli BL21, the expressed protein was extracted by nickel column affinity chromatography and dialysis concentration. Evaluate vaccine efficacy through nasal mucosal and muscular administration.

Results: The best expression conditions of FHCDV in E. coli transfected with pET30a-FHCDV were 25 °C and 1 mM Isopropyl β-D-1-Thiogalactopyranoside (IPTG). The results of Sodium Dodecyl Sulfate Polyacrylamide Gel Electrophoresis(SDS-PAGE) and Non-denaturing Polyacrylamide Gel Electrophoresis (Native-PAGE)showed that the purity of purified FHCDV was about 95% and had capable of self-assembly. The results of Dynamic Light Scattering (DLS) and Transmission Electron Microscope (TEM) characterization showed the recombinant protein FHCDV self-assembly into tetrameric caged nanoparticles with a diameter of 16.56 nm. Significant secreted IgA (sIgA) was generated in BALB/C female mice with nasal mucosal immunization. The titers of sIgA antibodies against FHCDV in nasal wash and bronchoalveolar lavage fluid were about 1865 ng/ml and 3943 ng/ml. FHCDV was used as an intramuscular vaccination to inject BALB/C female mice with aluminium adjuvant (Al), Oligodeoxynucleotide (CpG), and polyethyleneimine (PEI) respectively. All immunization groups produced distinct antibodies against the antigenic epitopes of FHCDV. The antibody titer of FHCDV group was 1.28 × 104, that of Ferritin-Hemagglutinin- Canine distemper virus + aluminium adjuvant (FHCDV + Al) group was 5.12 × 104, Ferritin-Hemagglutinin- Canine distemper virus + Oligodeoxynucleotide (FHCDV + CpG) group was 1.28 × 104, and Ferritin-Hemagglutinin- Canine distemper virus + polyethyleneimine (FHCDV + PEI) group was 2.56 × 104. The results of cytokine assays showed that FHCDV generated a Th1 immune response. Immunoaffinity protein serum exhibited varying degrees of neutralizing activity against Canine distemper virus-11(CDV-11); ID50 of FHCDV groups was 39.8, that of FHCDV + Al groups was 106.7, FHCDV + CpG groups was 58.7, and FHCDV + PEI groups was 55.4. FHCDV did not cause damage to mouse organs.

Conclusions: These results indicate that self-assembled multi-epitope FHCDV nano vaccines elicit effective immune responses with a favorable safety profile, providing a promising strategy for canine distemper virus vaccine development.

求助全文
通过发布文献求助,成功后即可免费获取论文全文。 去求助
来源期刊
Virology Journal
Virology Journal 医学-病毒学
CiteScore
7.40
自引率
2.10%
发文量
186
审稿时长
1 months
期刊介绍: Virology Journal is an open access, peer reviewed journal that considers articles on all aspects of virology, including research on the viruses of animals, plants and microbes. The journal welcomes basic research as well as pre-clinical and clinical studies of novel diagnostic tools, vaccines and anti-viral therapies. The Editorial policy of Virology Journal is to publish all research which is assessed by peer reviewers to be a coherent and sound addition to the scientific literature, and puts less emphasis on interest levels or perceived impact.
×
引用
GB/T 7714-2015
复制
MLA
复制
APA
复制
导出至
BibTeX EndNote RefMan NoteFirst NoteExpress
×
提示
您的信息不完整,为了账户安全,请先补充。
现在去补充
×
提示
您因"违规操作"
具体请查看互助需知
我知道了
×
提示
确定
请完成安全验证×
copy
已复制链接
快去分享给好友吧!
我知道了
右上角分享
点击右上角分享
0
联系我们:info@booksci.cn Book学术提供免费学术资源搜索服务,方便国内外学者检索中英文文献。致力于提供最便捷和优质的服务体验。 Copyright © 2023 布克学术 All rights reserved.
京ICP备2023020795号-1
ghs 京公网安备 11010802042870号
Book学术文献互助
Book学术文献互助群
群 号:604180095
Book学术官方微信