感染性巩膜炎:流行病学、临床特征和管理策略的综合综述。

IF 2.3 Q2 OPHTHALMOLOGY
Therapeutic Advances in Ophthalmology Pub Date : 2025-07-23 eCollection Date: 2025-01-01 DOI:10.1177/25158414251357776
Hamidreza Ghanbari, Masoud Rahimi, Ali Momeni, Kiana Hassanpour, Nikoo Bayan, Karen E Lee, Alex Hansen, Ali R Djalilian, Christopher J Rapuano, Mohammad Soleimani
{"title":"感染性巩膜炎:流行病学、临床特征和管理策略的综合综述。","authors":"Hamidreza Ghanbari, Masoud Rahimi, Ali Momeni, Kiana Hassanpour, Nikoo Bayan, Karen E Lee, Alex Hansen, Ali R Djalilian, Christopher J Rapuano, Mohammad Soleimani","doi":"10.1177/25158414251357776","DOIUrl":null,"url":null,"abstract":"<p><p>This study aims to provide an update on infectious scleritis (IS). A comprehensive search was conducted using Google Scholar, Scopus, and PubMed. IS is a rare but critical condition that presents significant diagnostic challenges and often leads to poor visual outcomes. It accounts for approximately 5%-10% of scleritis cases and warrants significant attention due to its delayed diagnosis. Ocular surgery is the primary contributor to IS, accounting for a substantial proportion of cases ranging from 58% to 83%, followed by trauma contributing to approximately 10% of cases. IS can be caused by various microorganisms, including bacteria (86%-87%), fungi (11%-13%), viruses, and parasites. Conjunctival hyperemia is a prevalent manifestation in approximately 98% of IS cases, while scleral necrosis is observed in around 93% of cases. Distinguishing IS from inflammatory scleritis before initiating steroid treatment is crucial. Surgical debridement of infected tissue, accompanied by appropriate topical and systemic antibiotic therapy significantly improves treatment outcomes by removing infected tissue and reducing the infection burden. Early surgical intervention markedly increases the likelihood of preserving the eye globe in severe cases. Risk factors for poor visual outcomes include poor visual acuity at presentation, associated endophthalmitis, keratitis, fungal etiology, and medical therapy without surgical debridement. Early diagnosis of IS is crucial as the disease can progress rapidly and lead to vision loss. While bacterial infections are the most common etiology of IS, the prognosis is particularly poor in cases of fungal IS. Surgical interventions, when combined with appropriate medical treatment, improve outcomes.</p>","PeriodicalId":23054,"journal":{"name":"Therapeutic Advances in Ophthalmology","volume":"17 ","pages":"25158414251357776"},"PeriodicalIF":2.3000,"publicationDate":"2025-07-23","publicationTypes":"Journal Article","fieldsOfStudy":null,"isOpenAccess":false,"openAccessPdf":"https://www.ncbi.nlm.nih.gov/pmc/articles/PMC12290352/pdf/","citationCount":"0","resultStr":"{\"title\":\"Infectious scleritis: a comprehensive narrative review of epidemiology, clinical characteristics, and management strategies.\",\"authors\":\"Hamidreza Ghanbari, Masoud Rahimi, Ali Momeni, Kiana Hassanpour, Nikoo Bayan, Karen E Lee, Alex Hansen, Ali R Djalilian, Christopher J Rapuano, Mohammad Soleimani\",\"doi\":\"10.1177/25158414251357776\",\"DOIUrl\":null,\"url\":null,\"abstract\":\"<p><p>This study aims to provide an update on infectious scleritis (IS). A comprehensive search was conducted using Google Scholar, Scopus, and PubMed. IS is a rare but critical condition that presents significant diagnostic challenges and often leads to poor visual outcomes. It accounts for approximately 5%-10% of scleritis cases and warrants significant attention due to its delayed diagnosis. Ocular surgery is the primary contributor to IS, accounting for a substantial proportion of cases ranging from 58% to 83%, followed by trauma contributing to approximately 10% of cases. IS can be caused by various microorganisms, including bacteria (86%-87%), fungi (11%-13%), viruses, and parasites. Conjunctival hyperemia is a prevalent manifestation in approximately 98% of IS cases, while scleral necrosis is observed in around 93% of cases. Distinguishing IS from inflammatory scleritis before initiating steroid treatment is crucial. Surgical debridement of infected tissue, accompanied by appropriate topical and systemic antibiotic therapy significantly improves treatment outcomes by removing infected tissue and reducing the infection burden. Early surgical intervention markedly increases the likelihood of preserving the eye globe in severe cases. Risk factors for poor visual outcomes include poor visual acuity at presentation, associated endophthalmitis, keratitis, fungal etiology, and medical therapy without surgical debridement. Early diagnosis of IS is crucial as the disease can progress rapidly and lead to vision loss. While bacterial infections are the most common etiology of IS, the prognosis is particularly poor in cases of fungal IS. Surgical interventions, when combined with appropriate medical treatment, improve outcomes.</p>\",\"PeriodicalId\":23054,\"journal\":{\"name\":\"Therapeutic Advances in Ophthalmology\",\"volume\":\"17 \",\"pages\":\"25158414251357776\"},\"PeriodicalIF\":2.3000,\"publicationDate\":\"2025-07-23\",\"publicationTypes\":\"Journal Article\",\"fieldsOfStudy\":null,\"isOpenAccess\":false,\"openAccessPdf\":\"https://www.ncbi.nlm.nih.gov/pmc/articles/PMC12290352/pdf/\",\"citationCount\":\"0\",\"resultStr\":null,\"platform\":\"Semanticscholar\",\"paperid\":null,\"PeriodicalName\":\"Therapeutic Advances in Ophthalmology\",\"FirstCategoryId\":\"1085\",\"ListUrlMain\":\"https://doi.org/10.1177/25158414251357776\",\"RegionNum\":0,\"RegionCategory\":null,\"ArticlePicture\":[],\"TitleCN\":null,\"AbstractTextCN\":null,\"PMCID\":null,\"EPubDate\":\"2025/1/1 0:00:00\",\"PubModel\":\"eCollection\",\"JCR\":\"Q2\",\"JCRName\":\"OPHTHALMOLOGY\",\"Score\":null,\"Total\":0}","platform":"Semanticscholar","paperid":null,"PeriodicalName":"Therapeutic Advances in Ophthalmology","FirstCategoryId":"1085","ListUrlMain":"https://doi.org/10.1177/25158414251357776","RegionNum":0,"RegionCategory":null,"ArticlePicture":[],"TitleCN":null,"AbstractTextCN":null,"PMCID":null,"EPubDate":"2025/1/1 0:00:00","PubModel":"eCollection","JCR":"Q2","JCRName":"OPHTHALMOLOGY","Score":null,"Total":0}
引用次数: 0

摘要

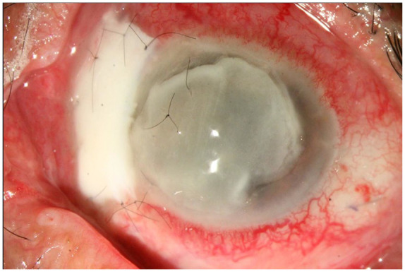
本研究旨在提供传染性巩膜炎(IS)的最新研究进展。使用谷歌Scholar、Scopus和PubMed进行了全面的搜索。IS是一种罕见但严重的疾病,它给诊断带来了重大挑战,并经常导致视力不良。它约占巩膜炎病例的5%-10%,由于其诊断迟缓,值得高度重视。眼部手术是is的主要诱因,占58%至83%的病例的很大比例,其次是创伤,约占10%。IS可由多种微生物引起,包括细菌(86%-87%)、真菌(11%-13%)、病毒和寄生虫。结膜充血是大约98% is病例的普遍表现,而巩膜坏死在大约93%的病例中被观察到。在开始类固醇治疗之前,区分IS和炎性巩膜炎是至关重要的。手术清创感染组织,并辅以适当的局部和全身抗生素治疗,通过去除感染组织和减轻感染负担,显著改善治疗结果。在严重的病例中,早期手术干预明显增加了保留眼球的可能性。视力不佳的危险因素包括就诊时视力不佳、相关的眼内炎、角膜炎、真菌病因和未经手术清创的药物治疗。IS的早期诊断至关重要,因为这种疾病可以迅速发展并导致视力丧失。虽然细菌感染是IS最常见的病因,但真菌性IS的预后特别差。手术干预与适当的药物治疗相结合,可改善结果。
本文章由计算机程序翻译,如有差异,请以英文原文为准。

Infectious scleritis: a comprehensive narrative review of epidemiology, clinical characteristics, and management strategies.

Infectious scleritis: a comprehensive narrative review of epidemiology, clinical characteristics, and management strategies.

Infectious scleritis: a comprehensive narrative review of epidemiology, clinical characteristics, and management strategies.

Infectious scleritis: a comprehensive narrative review of epidemiology, clinical characteristics, and management strategies.

This study aims to provide an update on infectious scleritis (IS). A comprehensive search was conducted using Google Scholar, Scopus, and PubMed. IS is a rare but critical condition that presents significant diagnostic challenges and often leads to poor visual outcomes. It accounts for approximately 5%-10% of scleritis cases and warrants significant attention due to its delayed diagnosis. Ocular surgery is the primary contributor to IS, accounting for a substantial proportion of cases ranging from 58% to 83%, followed by trauma contributing to approximately 10% of cases. IS can be caused by various microorganisms, including bacteria (86%-87%), fungi (11%-13%), viruses, and parasites. Conjunctival hyperemia is a prevalent manifestation in approximately 98% of IS cases, while scleral necrosis is observed in around 93% of cases. Distinguishing IS from inflammatory scleritis before initiating steroid treatment is crucial. Surgical debridement of infected tissue, accompanied by appropriate topical and systemic antibiotic therapy significantly improves treatment outcomes by removing infected tissue and reducing the infection burden. Early surgical intervention markedly increases the likelihood of preserving the eye globe in severe cases. Risk factors for poor visual outcomes include poor visual acuity at presentation, associated endophthalmitis, keratitis, fungal etiology, and medical therapy without surgical debridement. Early diagnosis of IS is crucial as the disease can progress rapidly and lead to vision loss. While bacterial infections are the most common etiology of IS, the prognosis is particularly poor in cases of fungal IS. Surgical interventions, when combined with appropriate medical treatment, improve outcomes.

求助全文
通过发布文献求助,成功后即可免费获取论文全文。 去求助
来源期刊
CiteScore
4.50
自引率
0.00%
发文量
44
审稿时长
12 weeks
×
引用
GB/T 7714-2015
复制
MLA
复制
APA
复制
导出至
BibTeX EndNote RefMan NoteFirst NoteExpress
×
提示
您的信息不完整,为了账户安全,请先补充。
现在去补充
×
提示
您因"违规操作"
具体请查看互助需知
我知道了
×
提示
确定
请完成安全验证×
copy
已复制链接
快去分享给好友吧!
我知道了
右上角分享
点击右上角分享
0
联系我们:info@booksci.cn Book学术提供免费学术资源搜索服务,方便国内外学者检索中英文文献。致力于提供最便捷和优质的服务体验。 Copyright © 2023 布克学术 All rights reserved.
京ICP备2023020795号-1
ghs 京公网安备 11010802042870号
Book学术文献互助
Book学术文献互助群
群 号:604180095
Book学术官方微信