一种罕见的已知解剖结构的评估:Parinaud管。

IF 3.9 2区 综合性期刊 Q1 MULTIDISCIPLINARY SCIENCES
Guldane Magat, Sultan Uzun
{"title":"一种罕见的已知解剖结构的评估:Parinaud管。","authors":"Guldane Magat, Sultan Uzun","doi":"10.1038/s41598-025-03576-6","DOIUrl":null,"url":null,"abstract":"<p><p>Parinaud's canal (PC) is a structure located on the processus frontalis ossis maxilla. During the growth period, the shape of the nasal septum and the presence of nasal septal deviation (NSD) may affect facial morphological parameters. The aim of this study is to investigate the presence of PC and the effect of the NSD on facial morphological parameters. Radiographic images of 200 patients were retrospectively reviewed. On the CBCT images PC, NSD and Palate-Orbita angle were evaluated. The significance level was set at p = 0.05. PC was found to be present at a high rate in the general population and its presence was not significantly different according to the angle of nasal deviation (p > 0.05). The angle of NSD was found to increase statistically when the left PC diameter was 1 mm or less (p < 0.05). The mean Hard Palate - Orbital Angle was 46.66 ± 8.43 degrees in individuals with the right PC while this angle was 36.50 ± 1.65 degrees in those without a canal. his study revealed that PC is common in the general population and has no significant relationship with NSD angle. While a decrease in the diameter of the left Parinaud's canal is observed as the NSD increases, the Hard Palate - Orbital Angle varies depending on the presence of the right PC. These findings indicate PC may play an important role in nasal and orbital anatomy.</p>","PeriodicalId":21811,"journal":{"name":"Scientific Reports","volume":"15 1","pages":"27460"},"PeriodicalIF":3.9000,"publicationDate":"2025-07-28","publicationTypes":"Journal Article","fieldsOfStudy":null,"isOpenAccess":false,"openAccessPdf":"https://www.ncbi.nlm.nih.gov/pmc/articles/PMC12304252/pdf/","citationCount":"0","resultStr":"{\"title\":\"Evaluation of a rare known anatomic formation: Parinaud's canal.\",\"authors\":\"Guldane Magat, Sultan Uzun\",\"doi\":\"10.1038/s41598-025-03576-6\",\"DOIUrl\":null,\"url\":null,\"abstract\":\"<p><p>Parinaud's canal (PC) is a structure located on the processus frontalis ossis maxilla. During the growth period, the shape of the nasal septum and the presence of nasal septal deviation (NSD) may affect facial morphological parameters. The aim of this study is to investigate the presence of PC and the effect of the NSD on facial morphological parameters. Radiographic images of 200 patients were retrospectively reviewed. On the CBCT images PC, NSD and Palate-Orbita angle were evaluated. The significance level was set at p = 0.05. PC was found to be present at a high rate in the general population and its presence was not significantly different according to the angle of nasal deviation (p > 0.05). The angle of NSD was found to increase statistically when the left PC diameter was 1 mm or less (p < 0.05). The mean Hard Palate - Orbital Angle was 46.66 ± 8.43 degrees in individuals with the right PC while this angle was 36.50 ± 1.65 degrees in those without a canal. his study revealed that PC is common in the general population and has no significant relationship with NSD angle. While a decrease in the diameter of the left Parinaud's canal is observed as the NSD increases, the Hard Palate - Orbital Angle varies depending on the presence of the right PC. These findings indicate PC may play an important role in nasal and orbital anatomy.</p>\",\"PeriodicalId\":21811,\"journal\":{\"name\":\"Scientific Reports\",\"volume\":\"15 1\",\"pages\":\"27460\"},\"PeriodicalIF\":3.9000,\"publicationDate\":\"2025-07-28\",\"publicationTypes\":\"Journal Article\",\"fieldsOfStudy\":null,\"isOpenAccess\":false,\"openAccessPdf\":\"https://www.ncbi.nlm.nih.gov/pmc/articles/PMC12304252/pdf/\",\"citationCount\":\"0\",\"resultStr\":null,\"platform\":\"Semanticscholar\",\"paperid\":null,\"PeriodicalName\":\"Scientific Reports\",\"FirstCategoryId\":\"103\",\"ListUrlMain\":\"https://doi.org/10.1038/s41598-025-03576-6\",\"RegionNum\":2,\"RegionCategory\":\"综合性期刊\",\"ArticlePicture\":[],\"TitleCN\":null,\"AbstractTextCN\":null,\"PMCID\":null,\"EPubDate\":\"\",\"PubModel\":\"\",\"JCR\":\"Q1\",\"JCRName\":\"MULTIDISCIPLINARY SCIENCES\",\"Score\":null,\"Total\":0}","platform":"Semanticscholar","paperid":null,"PeriodicalName":"Scientific Reports","FirstCategoryId":"103","ListUrlMain":"https://doi.org/10.1038/s41598-025-03576-6","RegionNum":2,"RegionCategory":"综合性期刊","ArticlePicture":[],"TitleCN":null,"AbstractTextCN":null,"PMCID":null,"EPubDate":"","PubModel":"","JCR":"Q1","JCRName":"MULTIDISCIPLINARY SCIENCES","Score":null,"Total":0}
引用次数: 0

摘要

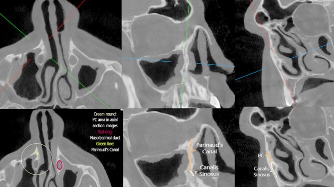
Parinaud管(PC)是位于上颌骨额突骨上的一种结构。在生长期间,鼻中隔的形状和鼻中隔偏曲(NSD)的存在可能影响面部形态学参数。本研究的目的是探讨PC的存在和NSD对面部形态学参数的影响。回顾性分析了200例患者的影像学资料。在CBCT图像上评估PC、NSD和腭眶角。显著性水平设为p = 0.05。在普通人群中PC的发生率较高,且在鼻偏斜角上差异无统计学意义(p < 0.05)。当左PC直径小于1 mm时,NSD角度有统计学意义上的增加(p
本文章由计算机程序翻译,如有差异,请以英文原文为准。

Evaluation of a rare known anatomic formation: Parinaud's canal.

Evaluation of a rare known anatomic formation: Parinaud's canal.

Evaluation of a rare known anatomic formation: Parinaud's canal.

Parinaud's canal (PC) is a structure located on the processus frontalis ossis maxilla. During the growth period, the shape of the nasal septum and the presence of nasal septal deviation (NSD) may affect facial morphological parameters. The aim of this study is to investigate the presence of PC and the effect of the NSD on facial morphological parameters. Radiographic images of 200 patients were retrospectively reviewed. On the CBCT images PC, NSD and Palate-Orbita angle were evaluated. The significance level was set at p = 0.05. PC was found to be present at a high rate in the general population and its presence was not significantly different according to the angle of nasal deviation (p > 0.05). The angle of NSD was found to increase statistically when the left PC diameter was 1 mm or less (p < 0.05). The mean Hard Palate - Orbital Angle was 46.66 ± 8.43 degrees in individuals with the right PC while this angle was 36.50 ± 1.65 degrees in those without a canal. his study revealed that PC is common in the general population and has no significant relationship with NSD angle. While a decrease in the diameter of the left Parinaud's canal is observed as the NSD increases, the Hard Palate - Orbital Angle varies depending on the presence of the right PC. These findings indicate PC may play an important role in nasal and orbital anatomy.

求助全文
通过发布文献求助,成功后即可免费获取论文全文。 去求助
来源期刊
Scientific Reports
Scientific Reports Natural Science Disciplines-
CiteScore
7.50
自引率
4.30%
发文量
19567
审稿时长
3.9 months
期刊介绍: We publish original research from all areas of the natural sciences, psychology, medicine and engineering. You can learn more about what we publish by browsing our specific scientific subject areas below or explore Scientific Reports by browsing all articles and collections. Scientific Reports has a 2-year impact factor: 4.380 (2021), and is the 6th most-cited journal in the world, with more than 540,000 citations in 2020 (Clarivate Analytics, 2021). •Engineering Engineering covers all aspects of engineering, technology, and applied science. It plays a crucial role in the development of technologies to address some of the world''s biggest challenges, helping to save lives and improve the way we live. •Physical sciences Physical sciences are those academic disciplines that aim to uncover the underlying laws of nature — often written in the language of mathematics. It is a collective term for areas of study including astronomy, chemistry, materials science and physics. •Earth and environmental sciences Earth and environmental sciences cover all aspects of Earth and planetary science and broadly encompass solid Earth processes, surface and atmospheric dynamics, Earth system history, climate and climate change, marine and freshwater systems, and ecology. It also considers the interactions between humans and these systems. •Biological sciences Biological sciences encompass all the divisions of natural sciences examining various aspects of vital processes. The concept includes anatomy, physiology, cell biology, biochemistry and biophysics, and covers all organisms from microorganisms, animals to plants. •Health sciences The health sciences study health, disease and healthcare. This field of study aims to develop knowledge, interventions and technology for use in healthcare to improve the treatment of patients.
×
引用
GB/T 7714-2015
复制
MLA
复制
APA
复制
导出至
BibTeX EndNote RefMan NoteFirst NoteExpress
×
提示
您的信息不完整,为了账户安全,请先补充。
现在去补充
×
提示
您因"违规操作"
具体请查看互助需知
我知道了
×
提示
确定
请完成安全验证×
copy
已复制链接
快去分享给好友吧!
我知道了
右上角分享
点击右上角分享
0
联系我们:info@booksci.cn Book学术提供免费学术资源搜索服务,方便国内外学者检索中英文文献。致力于提供最便捷和优质的服务体验。 Copyright © 2023 布克学术 All rights reserved.
京ICP备2023020795号-1
ghs 京公网安备 11010802042870号
Book学术文献互助
Book学术文献互助群
群 号:604180095
Book学术官方微信