儿童和成人乳头状颅咽管瘤的临床特征、甲基化和免疫微环境的比较分析:来自一项多中心研究的结果

IF 3.9 2区 综合性期刊 Q1 MULTIDISCIPLINARY SCIENCES
Ning Luo, Yi Lin, Jing Feng, Linbo Cai, Yongli Zhang, Xingfu Wang, Wenzhong Mei, Hao Li, Bei Liu, Xueling Qi, Zhixiong Lin
{"title":"儿童和成人乳头状颅咽管瘤的临床特征、甲基化和免疫微环境的比较分析:来自一项多中心研究的结果","authors":"Ning Luo, Yi Lin, Jing Feng, Linbo Cai, Yongli Zhang, Xingfu Wang, Wenzhong Mei, Hao Li, Bei Liu, Xueling Qi, Zhixiong Lin","doi":"10.1038/s41598-025-12662-8","DOIUrl":null,"url":null,"abstract":"<p><p>Papillary craniopharyngioma (PCP) was previously believed to occur only in adults. Sporadic pediatric PCP (PPCP), confirmed by detection of the BRAF V600E mutation, has been reported since 2018. The differences between PPCP and adult PCP (APCP) remain unclear. This comprehensive study aimed to enhance understanding of PPCP and elucidate the distinctions between PPCP and APCP. We conducted a systematic analysis of cases of PPCP and APCP, focusing on BRAF V600E mutation, methylation profiles, histology, cell proliferation, imaging features, immune microenvironment, and prognosis. This study compiled 17 cases of PPCP from 6 medical centers, constituting 3.11% of the total 546 PCP cases. Both PPCP and APCP cases exhibited the BRAF V600E mutation with no differences in methylation patterns. However, imaging showed PPCP was predominantly cystic and located beneath the diaphragma sellae with some progression to the sella. APCP typically manifested as solid lesions, primarily located in the suprasellar region, inferior to the third ventricle. PPCP histologically displayed extensive inflammatory cellular infiltration, suppurative change, and occasional small granular calcifications, whereas APCP was largely devoid of calcifications. Compared to APCP, PPCP exhibited significantly lower PD-L1 (an immune checkpoint protein expressed on tumor cells) expression and higher expression levels of CD38 (an immunosuppressive marker), S100A8/A9 (a neutrophil marker), and MPO (myeloperoxidase, a neutrophil marker). Additionally, stromal expression of CD163 (an M2 macrophage marker) was lower in PPCP compared to APCP, while CD68 (an M1 macrophage marker), CD3 (T cell marker), and CD20 (B cell marker) expression showed no significant difference. Ki-67 expression exhibited a banded pattern on PPCP epithelium, contrasting with a punctate pattern in APCP, with significantly higher levels observed in PPCP. Postoperative prognosis did not differ between PPCP and APCP. While driver genes and methylation profiles may not differentiate PPCP from APCP, substantial discrepancies exist in tumor location, histology, imaging features, cell proliferation, and immune microenvironment.</p>","PeriodicalId":21811,"journal":{"name":"Scientific Reports","volume":"15 1","pages":"27422"},"PeriodicalIF":3.9000,"publicationDate":"2025-07-28","publicationTypes":"Journal Article","fieldsOfStudy":null,"isOpenAccess":false,"openAccessPdf":"https://www.ncbi.nlm.nih.gov/pmc/articles/PMC12304257/pdf/","citationCount":"0","resultStr":"{\"title\":\"Comparative analysis of clinical features, methylation and immune microenvironment in pediatric and adult papillary craniopharyngiomas: results from a multicenter study.\",\"authors\":\"Ning Luo, Yi Lin, Jing Feng, Linbo Cai, Yongli Zhang, Xingfu Wang, Wenzhong Mei, Hao Li, Bei Liu, Xueling Qi, Zhixiong Lin\",\"doi\":\"10.1038/s41598-025-12662-8\",\"DOIUrl\":null,\"url\":null,\"abstract\":\"<p><p>Papillary craniopharyngioma (PCP) was previously believed to occur only in adults. Sporadic pediatric PCP (PPCP), confirmed by detection of the BRAF V600E mutation, has been reported since 2018. The differences between PPCP and adult PCP (APCP) remain unclear. This comprehensive study aimed to enhance understanding of PPCP and elucidate the distinctions between PPCP and APCP. We conducted a systematic analysis of cases of PPCP and APCP, focusing on BRAF V600E mutation, methylation profiles, histology, cell proliferation, imaging features, immune microenvironment, and prognosis. This study compiled 17 cases of PPCP from 6 medical centers, constituting 3.11% of the total 546 PCP cases. Both PPCP and APCP cases exhibited the BRAF V600E mutation with no differences in methylation patterns. However, imaging showed PPCP was predominantly cystic and located beneath the diaphragma sellae with some progression to the sella. APCP typically manifested as solid lesions, primarily located in the suprasellar region, inferior to the third ventricle. PPCP histologically displayed extensive inflammatory cellular infiltration, suppurative change, and occasional small granular calcifications, whereas APCP was largely devoid of calcifications. Compared to APCP, PPCP exhibited significantly lower PD-L1 (an immune checkpoint protein expressed on tumor cells) expression and higher expression levels of CD38 (an immunosuppressive marker), S100A8/A9 (a neutrophil marker), and MPO (myeloperoxidase, a neutrophil marker). Additionally, stromal expression of CD163 (an M2 macrophage marker) was lower in PPCP compared to APCP, while CD68 (an M1 macrophage marker), CD3 (T cell marker), and CD20 (B cell marker) expression showed no significant difference. Ki-67 expression exhibited a banded pattern on PPCP epithelium, contrasting with a punctate pattern in APCP, with significantly higher levels observed in PPCP. Postoperative prognosis did not differ between PPCP and APCP. While driver genes and methylation profiles may not differentiate PPCP from APCP, substantial discrepancies exist in tumor location, histology, imaging features, cell proliferation, and immune microenvironment.</p>\",\"PeriodicalId\":21811,\"journal\":{\"name\":\"Scientific Reports\",\"volume\":\"15 1\",\"pages\":\"27422\"},\"PeriodicalIF\":3.9000,\"publicationDate\":\"2025-07-28\",\"publicationTypes\":\"Journal Article\",\"fieldsOfStudy\":null,\"isOpenAccess\":false,\"openAccessPdf\":\"https://www.ncbi.nlm.nih.gov/pmc/articles/PMC12304257/pdf/\",\"citationCount\":\"0\",\"resultStr\":null,\"platform\":\"Semanticscholar\",\"paperid\":null,\"PeriodicalName\":\"Scientific Reports\",\"FirstCategoryId\":\"103\",\"ListUrlMain\":\"https://doi.org/10.1038/s41598-025-12662-8\",\"RegionNum\":2,\"RegionCategory\":\"综合性期刊\",\"ArticlePicture\":[],\"TitleCN\":null,\"AbstractTextCN\":null,\"PMCID\":null,\"EPubDate\":\"\",\"PubModel\":\"\",\"JCR\":\"Q1\",\"JCRName\":\"MULTIDISCIPLINARY SCIENCES\",\"Score\":null,\"Total\":0}","platform":"Semanticscholar","paperid":null,"PeriodicalName":"Scientific Reports","FirstCategoryId":"103","ListUrlMain":"https://doi.org/10.1038/s41598-025-12662-8","RegionNum":2,"RegionCategory":"综合性期刊","ArticlePicture":[],"TitleCN":null,"AbstractTextCN":null,"PMCID":null,"EPubDate":"","PubModel":"","JCR":"Q1","JCRName":"MULTIDISCIPLINARY SCIENCES","Score":null,"Total":0}
引用次数: 0

摘要

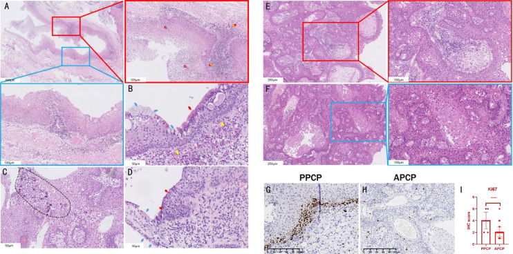
乳头状颅咽管瘤(PCP)以前被认为只发生在成人。自2018年以来,通过检测BRAF V600E突变确认的散发性小儿PCP (PPCP)已被报道。PPCP与成人PCP (APCP)之间的差异尚不清楚。本研究旨在加深对PPCP的认识,并阐明PPCP与APCP的区别。我们对PPCP和APCP病例进行了系统分析,重点关注BRAF V600E突变、甲基化谱、组织学、细胞增殖、影像学特征、免疫微环境和预后。本研究收集了来自6个医疗中心的17例PPCP病例,占546例PCP病例的3.11%。PPCP和APCP病例均表现出BRAF V600E突变,甲基化模式没有差异。然而,影像学显示PPCP主要是囊性的,位于鞍膈下,并有向鞍的进展。APCP典型表现为实性病变,主要位于鞍上区,位于第三脑室下方。PPCP在组织学上表现为广泛的炎症细胞浸润、化脓性改变和偶尔的小颗粒钙化,而APCP在很大程度上没有钙化。与APCP相比,PPCP表现出明显较低的PD-L1(肿瘤细胞上表达的免疫检查点蛋白)表达和较高的CD38(免疫抑制标志物)、S100A8/A9(中性粒细胞标志物)和MPO(中性粒细胞标志物)表达水平。此外,PPCP中基质中CD163 (M2巨噬细胞标志物)的表达低于APCP,而CD68 (M1巨噬细胞标志物)、CD3 (T细胞标志物)和CD20 (B细胞标志物)的表达无显著差异。Ki-67在PPCP上皮呈带状表达,而APCP呈点状表达,PPCP中Ki-67表达水平明显高于PPCP。PPCP与APCP的术后预后无差异。虽然驱动基因和甲基化谱可能无法区分PPCP和APCP,但在肿瘤位置、组织学、影像学特征、细胞增殖和免疫微环境方面存在实质性差异。
本文章由计算机程序翻译,如有差异,请以英文原文为准。

Comparative analysis of clinical features, methylation and immune microenvironment in pediatric and adult papillary craniopharyngiomas: results from a multicenter study.

Comparative analysis of clinical features, methylation and immune microenvironment in pediatric and adult papillary craniopharyngiomas: results from a multicenter study.

Comparative analysis of clinical features, methylation and immune microenvironment in pediatric and adult papillary craniopharyngiomas: results from a multicenter study.

Comparative analysis of clinical features, methylation and immune microenvironment in pediatric and adult papillary craniopharyngiomas: results from a multicenter study.

Papillary craniopharyngioma (PCP) was previously believed to occur only in adults. Sporadic pediatric PCP (PPCP), confirmed by detection of the BRAF V600E mutation, has been reported since 2018. The differences between PPCP and adult PCP (APCP) remain unclear. This comprehensive study aimed to enhance understanding of PPCP and elucidate the distinctions between PPCP and APCP. We conducted a systematic analysis of cases of PPCP and APCP, focusing on BRAF V600E mutation, methylation profiles, histology, cell proliferation, imaging features, immune microenvironment, and prognosis. This study compiled 17 cases of PPCP from 6 medical centers, constituting 3.11% of the total 546 PCP cases. Both PPCP and APCP cases exhibited the BRAF V600E mutation with no differences in methylation patterns. However, imaging showed PPCP was predominantly cystic and located beneath the diaphragma sellae with some progression to the sella. APCP typically manifested as solid lesions, primarily located in the suprasellar region, inferior to the third ventricle. PPCP histologically displayed extensive inflammatory cellular infiltration, suppurative change, and occasional small granular calcifications, whereas APCP was largely devoid of calcifications. Compared to APCP, PPCP exhibited significantly lower PD-L1 (an immune checkpoint protein expressed on tumor cells) expression and higher expression levels of CD38 (an immunosuppressive marker), S100A8/A9 (a neutrophil marker), and MPO (myeloperoxidase, a neutrophil marker). Additionally, stromal expression of CD163 (an M2 macrophage marker) was lower in PPCP compared to APCP, while CD68 (an M1 macrophage marker), CD3 (T cell marker), and CD20 (B cell marker) expression showed no significant difference. Ki-67 expression exhibited a banded pattern on PPCP epithelium, contrasting with a punctate pattern in APCP, with significantly higher levels observed in PPCP. Postoperative prognosis did not differ between PPCP and APCP. While driver genes and methylation profiles may not differentiate PPCP from APCP, substantial discrepancies exist in tumor location, histology, imaging features, cell proliferation, and immune microenvironment.

求助全文
通过发布文献求助,成功后即可免费获取论文全文。 去求助
来源期刊
Scientific Reports
Scientific Reports Natural Science Disciplines-
CiteScore
7.50
自引率
4.30%
发文量
19567
审稿时长
3.9 months
期刊介绍: We publish original research from all areas of the natural sciences, psychology, medicine and engineering. You can learn more about what we publish by browsing our specific scientific subject areas below or explore Scientific Reports by browsing all articles and collections. Scientific Reports has a 2-year impact factor: 4.380 (2021), and is the 6th most-cited journal in the world, with more than 540,000 citations in 2020 (Clarivate Analytics, 2021). •Engineering Engineering covers all aspects of engineering, technology, and applied science. It plays a crucial role in the development of technologies to address some of the world''s biggest challenges, helping to save lives and improve the way we live. •Physical sciences Physical sciences are those academic disciplines that aim to uncover the underlying laws of nature — often written in the language of mathematics. It is a collective term for areas of study including astronomy, chemistry, materials science and physics. •Earth and environmental sciences Earth and environmental sciences cover all aspects of Earth and planetary science and broadly encompass solid Earth processes, surface and atmospheric dynamics, Earth system history, climate and climate change, marine and freshwater systems, and ecology. It also considers the interactions between humans and these systems. •Biological sciences Biological sciences encompass all the divisions of natural sciences examining various aspects of vital processes. The concept includes anatomy, physiology, cell biology, biochemistry and biophysics, and covers all organisms from microorganisms, animals to plants. •Health sciences The health sciences study health, disease and healthcare. This field of study aims to develop knowledge, interventions and technology for use in healthcare to improve the treatment of patients.
×
引用
GB/T 7714-2015
复制
MLA
复制
APA
复制
导出至
BibTeX EndNote RefMan NoteFirst NoteExpress
×
提示
您的信息不完整,为了账户安全,请先补充。
现在去补充
×
提示
您因"违规操作"
具体请查看互助需知
我知道了
×
提示
确定
请完成安全验证×
copy
已复制链接
快去分享给好友吧!
我知道了
右上角分享
点击右上角分享
0
联系我们:info@booksci.cn Book学术提供免费学术资源搜索服务,方便国内外学者检索中英文文献。致力于提供最便捷和优质的服务体验。 Copyright © 2023 布克学术 All rights reserved.
京ICP备2023020795号-1
ghs 京公网安备 11010802042870号
Book学术文献互助
Book学术文献互助群
群 号:604180095
Book学术官方微信