286例胸部计算机断层反转晕征回顾性分析。

Q3 Medicine
Radiologia Brasileira Pub Date : 2025-07-17 eCollection Date: 2025-01-01 DOI:10.1590/0100-3984.2025.0014-en
Camila Soares Franco, Paula Terra Martins Almeida Amaral, Eduardo Kaiser Ururahy Nunes Fonseca, Tassia Regina Yamanari, Paulo Esrom Moreira Catarina, Alessandra de Pinho Pimenta Borges, Luiz Augusto de Moraes Pinheiro Filho, Felipe Freitas Camara, Márcio Valente Yamada Sawamura
{"title":"286例胸部计算机断层反转晕征回顾性分析。","authors":"Camila Soares Franco, Paula Terra Martins Almeida Amaral, Eduardo Kaiser Ururahy Nunes Fonseca, Tassia Regina Yamanari, Paulo Esrom Moreira Catarina, Alessandra de Pinho Pimenta Borges, Luiz Augusto de Moraes Pinheiro Filho, Felipe Freitas Camara, Márcio Valente Yamada Sawamura","doi":"10.1590/0100-3984.2025.0014-en","DOIUrl":null,"url":null,"abstract":"<p><strong>Objective: </strong>To characterize the main causes of the reversed halo sign (RHS) on computed tomography (CT) of the chest and its imaging features.</p><p><strong>Materials and methods: </strong>This was a retrospective study reviewing all chest CT scans for which the report contained the term \"reversed halo sign\" among those performed between 2015 and 2020 at a tertiary care hospital.</p><p><strong>Results: </strong>A total of 286 cases were identified, and the corresponding CT images and clinical data were reviewed. In this population, the most common cause of an RHS was pulmonary infarction (in 42%), followed by cryptogenic organizing pneumonia (in 17%) and bacterial pneumonia (in 16%). In addition, the CT characteristics of the RHS were identified in various conditions, such as pulmonary thromboembolism with pulmonary infarction, in which the RHS was typically smooth-walled and solitary with a peripheral distribution.</p><p><strong>Conclusion: </strong>The RHS can be observed in many contexts, and its CT characteristics, in combination with the clinical picture, can help narrow the differential diagnosis.</p>","PeriodicalId":20842,"journal":{"name":"Radiologia Brasileira","volume":"58 ","pages":"e20250014"},"PeriodicalIF":0.0000,"publicationDate":"2025-07-17","publicationTypes":"Journal Article","fieldsOfStudy":null,"isOpenAccess":false,"openAccessPdf":"https://www.ncbi.nlm.nih.gov/pmc/articles/PMC12295819/pdf/","citationCount":"0","resultStr":"{\"title\":\"Reversed halo sign on chest computed tomography: a retrospective analysis of 286 cases.\",\"authors\":\"Camila Soares Franco, Paula Terra Martins Almeida Amaral, Eduardo Kaiser Ururahy Nunes Fonseca, Tassia Regina Yamanari, Paulo Esrom Moreira Catarina, Alessandra de Pinho Pimenta Borges, Luiz Augusto de Moraes Pinheiro Filho, Felipe Freitas Camara, Márcio Valente Yamada Sawamura\",\"doi\":\"10.1590/0100-3984.2025.0014-en\",\"DOIUrl\":null,\"url\":null,\"abstract\":\"<p><strong>Objective: </strong>To characterize the main causes of the reversed halo sign (RHS) on computed tomography (CT) of the chest and its imaging features.</p><p><strong>Materials and methods: </strong>This was a retrospective study reviewing all chest CT scans for which the report contained the term \\\"reversed halo sign\\\" among those performed between 2015 and 2020 at a tertiary care hospital.</p><p><strong>Results: </strong>A total of 286 cases were identified, and the corresponding CT images and clinical data were reviewed. In this population, the most common cause of an RHS was pulmonary infarction (in 42%), followed by cryptogenic organizing pneumonia (in 17%) and bacterial pneumonia (in 16%). In addition, the CT characteristics of the RHS were identified in various conditions, such as pulmonary thromboembolism with pulmonary infarction, in which the RHS was typically smooth-walled and solitary with a peripheral distribution.</p><p><strong>Conclusion: </strong>The RHS can be observed in many contexts, and its CT characteristics, in combination with the clinical picture, can help narrow the differential diagnosis.</p>\",\"PeriodicalId\":20842,\"journal\":{\"name\":\"Radiologia Brasileira\",\"volume\":\"58 \",\"pages\":\"e20250014\"},\"PeriodicalIF\":0.0000,\"publicationDate\":\"2025-07-17\",\"publicationTypes\":\"Journal Article\",\"fieldsOfStudy\":null,\"isOpenAccess\":false,\"openAccessPdf\":\"https://www.ncbi.nlm.nih.gov/pmc/articles/PMC12295819/pdf/\",\"citationCount\":\"0\",\"resultStr\":null,\"platform\":\"Semanticscholar\",\"paperid\":null,\"PeriodicalName\":\"Radiologia Brasileira\",\"FirstCategoryId\":\"1085\",\"ListUrlMain\":\"https://doi.org/10.1590/0100-3984.2025.0014-en\",\"RegionNum\":0,\"RegionCategory\":null,\"ArticlePicture\":[],\"TitleCN\":null,\"AbstractTextCN\":null,\"PMCID\":null,\"EPubDate\":\"2025/1/1 0:00:00\",\"PubModel\":\"eCollection\",\"JCR\":\"Q3\",\"JCRName\":\"Medicine\",\"Score\":null,\"Total\":0}","platform":"Semanticscholar","paperid":null,"PeriodicalName":"Radiologia Brasileira","FirstCategoryId":"1085","ListUrlMain":"https://doi.org/10.1590/0100-3984.2025.0014-en","RegionNum":0,"RegionCategory":null,"ArticlePicture":[],"TitleCN":null,"AbstractTextCN":null,"PMCID":null,"EPubDate":"2025/1/1 0:00:00","PubModel":"eCollection","JCR":"Q3","JCRName":"Medicine","Score":null,"Total":0}
引用次数: 0

摘要

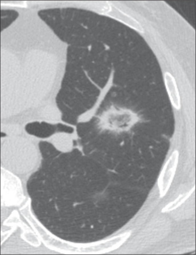
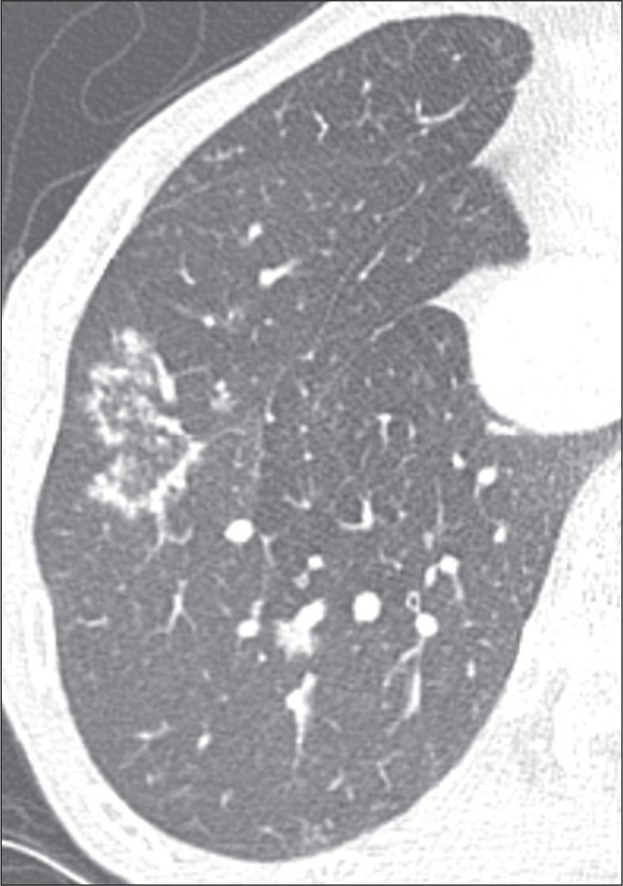
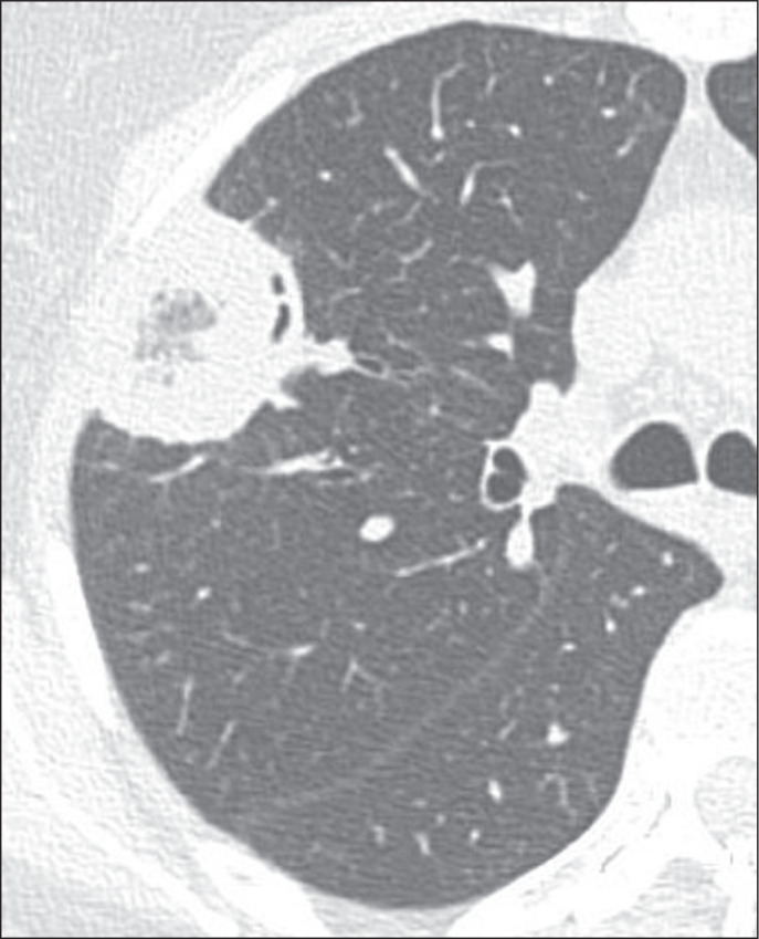
目的:探讨胸部CT上反转晕征(RHS)的主要原因及其影像学特征。材料和方法:这是一项回顾性研究,回顾了2015年至2020年在三级医院进行的所有胸部CT扫描,报告中包含“逆转晕征”一词。结果:共确诊286例,复习相应的CT影像及临床资料。在这个人群中,RHS最常见的原因是肺梗死(42%),其次是隐源性组织性肺炎(17%)和细菌性肺炎(16%)。此外,在各种情况下RHS的CT特征被确定,例如肺血栓栓塞合并肺梗死,其中RHS典型的光滑壁和孤立性外周分布。结论:RHS可在多种情况下观察到,其CT表现结合临床表现有助于缩小鉴别诊断范围。
本文章由计算机程序翻译,如有差异,请以英文原文为准。

Reversed halo sign on chest computed tomography: a retrospective analysis of 286 cases.

Reversed halo sign on chest computed tomography: a retrospective analysis of 286 cases.

Reversed halo sign on chest computed tomography: a retrospective analysis of 286 cases.

Reversed halo sign on chest computed tomography: a retrospective analysis of 286 cases.

Objective: To characterize the main causes of the reversed halo sign (RHS) on computed tomography (CT) of the chest and its imaging features.

Materials and methods: This was a retrospective study reviewing all chest CT scans for which the report contained the term "reversed halo sign" among those performed between 2015 and 2020 at a tertiary care hospital.

Results: A total of 286 cases were identified, and the corresponding CT images and clinical data were reviewed. In this population, the most common cause of an RHS was pulmonary infarction (in 42%), followed by cryptogenic organizing pneumonia (in 17%) and bacterial pneumonia (in 16%). In addition, the CT characteristics of the RHS were identified in various conditions, such as pulmonary thromboembolism with pulmonary infarction, in which the RHS was typically smooth-walled and solitary with a peripheral distribution.

Conclusion: The RHS can be observed in many contexts, and its CT characteristics, in combination with the clinical picture, can help narrow the differential diagnosis.

求助全文
通过发布文献求助,成功后即可免费获取论文全文。 去求助
来源期刊
Radiologia Brasileira
Radiologia Brasileira Medicine-Radiology, Nuclear Medicine and Imaging
CiteScore
2.60
自引率
0.00%
发文量
75
审稿时长
28 weeks
×
引用
GB/T 7714-2015
复制
MLA
复制
APA
复制
导出至
BibTeX EndNote RefMan NoteFirst NoteExpress
×
提示
您的信息不完整,为了账户安全,请先补充。
现在去补充
×
提示
您因"违规操作"
具体请查看互助需知
我知道了
×
提示
确定
请完成安全验证×
copy
已复制链接
快去分享给好友吧!
我知道了
右上角分享
点击右上角分享
0
联系我们:info@booksci.cn Book学术提供免费学术资源搜索服务,方便国内外学者检索中英文文献。致力于提供最便捷和优质的服务体验。 Copyright © 2023 布克学术 All rights reserved.
京ICP备2023020795号-1
ghs 京公网安备 11010802042870号
Book学术文献互助
Book学术文献互助群
群 号:604180095
Book学术官方微信