病例系列:脉络膜痣上视网膜色素上皮脱离-临床意义是什么?

IF 1.3 Q4 OPHTHALMOLOGY
Ocular Oncology and Pathology Pub Date : 2025-07-01 Epub Date: 2025-01-30 DOI:10.1159/000542860
Julie M Shabto, Jill R Wells, Hans E Grossniklaus, Corrina P Azarcon
{"title":"病例系列:脉络膜痣上视网膜色素上皮脱离-临床意义是什么?","authors":"Julie M Shabto, Jill R Wells, Hans E Grossniklaus, Corrina P Azarcon","doi":"10.1159/000542860","DOIUrl":null,"url":null,"abstract":"<p><strong>Introduction: </strong>Retinal pigment epithelial detachment (PED) is an uncommon finding associated with choroidal nevi. In this case series, we describe PED overlying a choroidal nevus in 4 patients and discuss the clinical significance of this diagnosis.</p><p><strong>Case presentations: </strong>Four adult patients diagnosed with unilateral choroidal nevi with associated overlying PEDs were followed over time. Two patients were referred for evaluation due to concerns about potential growth. Fundus photography, B-scan ultrasonography, and optical coherence tomography were performed in all cases. None of the patients developed visual symptoms attributable to the choroidal nevus or PED. No progression or malignant transformation was observed during follow-up.</p><p><strong>Conclusion: </strong>While PED does not appear to increase the risk of progression to melanoma, it may complicate the evaluation of the underlying choroidal nevus and could lead to decreased visual acuity. Therefore, choroidal nevi with overlying PED should be monitored over time, with particular attention to the potential development of secondary choroidal neovascularization.</p>","PeriodicalId":19434,"journal":{"name":"Ocular Oncology and Pathology","volume":"11 2","pages":"125-131"},"PeriodicalIF":1.3000,"publicationDate":"2025-07-01","publicationTypes":"Journal Article","fieldsOfStudy":null,"isOpenAccess":false,"openAccessPdf":"https://www.ncbi.nlm.nih.gov/pmc/articles/PMC12296214/pdf/","citationCount":"0","resultStr":"{\"title\":\"Case Series: Retinal Pigment Epithelial Detachments Over Choroidal Nevi - What Is the Clinical Significance?\",\"authors\":\"Julie M Shabto, Jill R Wells, Hans E Grossniklaus, Corrina P Azarcon\",\"doi\":\"10.1159/000542860\",\"DOIUrl\":null,\"url\":null,\"abstract\":\"<p><strong>Introduction: </strong>Retinal pigment epithelial detachment (PED) is an uncommon finding associated with choroidal nevi. In this case series, we describe PED overlying a choroidal nevus in 4 patients and discuss the clinical significance of this diagnosis.</p><p><strong>Case presentations: </strong>Four adult patients diagnosed with unilateral choroidal nevi with associated overlying PEDs were followed over time. Two patients were referred for evaluation due to concerns about potential growth. Fundus photography, B-scan ultrasonography, and optical coherence tomography were performed in all cases. None of the patients developed visual symptoms attributable to the choroidal nevus or PED. No progression or malignant transformation was observed during follow-up.</p><p><strong>Conclusion: </strong>While PED does not appear to increase the risk of progression to melanoma, it may complicate the evaluation of the underlying choroidal nevus and could lead to decreased visual acuity. Therefore, choroidal nevi with overlying PED should be monitored over time, with particular attention to the potential development of secondary choroidal neovascularization.</p>\",\"PeriodicalId\":19434,\"journal\":{\"name\":\"Ocular Oncology and Pathology\",\"volume\":\"11 2\",\"pages\":\"125-131\"},\"PeriodicalIF\":1.3000,\"publicationDate\":\"2025-07-01\",\"publicationTypes\":\"Journal Article\",\"fieldsOfStudy\":null,\"isOpenAccess\":false,\"openAccessPdf\":\"https://www.ncbi.nlm.nih.gov/pmc/articles/PMC12296214/pdf/\",\"citationCount\":\"0\",\"resultStr\":null,\"platform\":\"Semanticscholar\",\"paperid\":null,\"PeriodicalName\":\"Ocular Oncology and Pathology\",\"FirstCategoryId\":\"1085\",\"ListUrlMain\":\"https://doi.org/10.1159/000542860\",\"RegionNum\":0,\"RegionCategory\":null,\"ArticlePicture\":[],\"TitleCN\":null,\"AbstractTextCN\":null,\"PMCID\":null,\"EPubDate\":\"2025/1/30 0:00:00\",\"PubModel\":\"Epub\",\"JCR\":\"Q4\",\"JCRName\":\"OPHTHALMOLOGY\",\"Score\":null,\"Total\":0}","platform":"Semanticscholar","paperid":null,"PeriodicalName":"Ocular Oncology and Pathology","FirstCategoryId":"1085","ListUrlMain":"https://doi.org/10.1159/000542860","RegionNum":0,"RegionCategory":null,"ArticlePicture":[],"TitleCN":null,"AbstractTextCN":null,"PMCID":null,"EPubDate":"2025/1/30 0:00:00","PubModel":"Epub","JCR":"Q4","JCRName":"OPHTHALMOLOGY","Score":null,"Total":0}
引用次数: 0

摘要

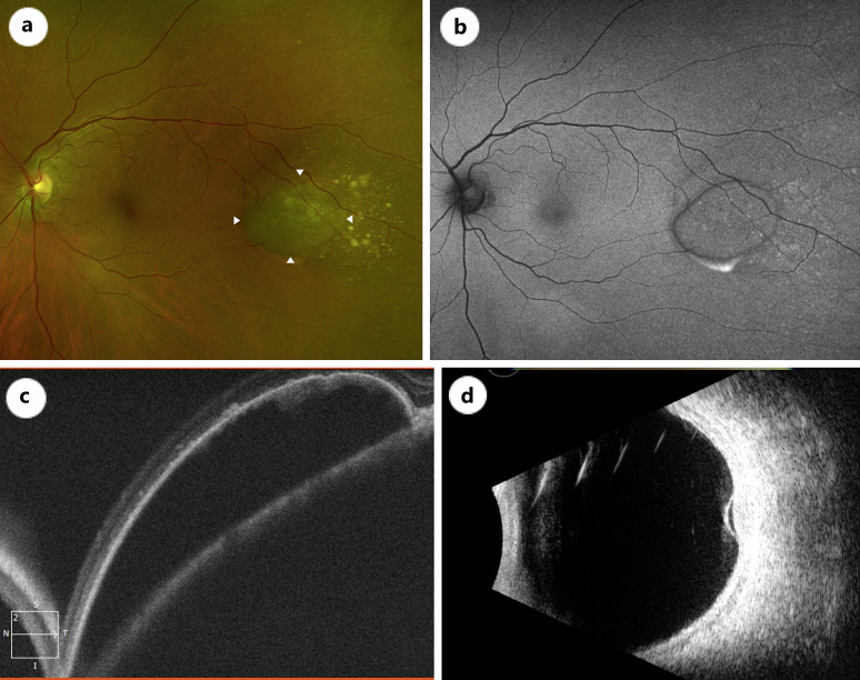
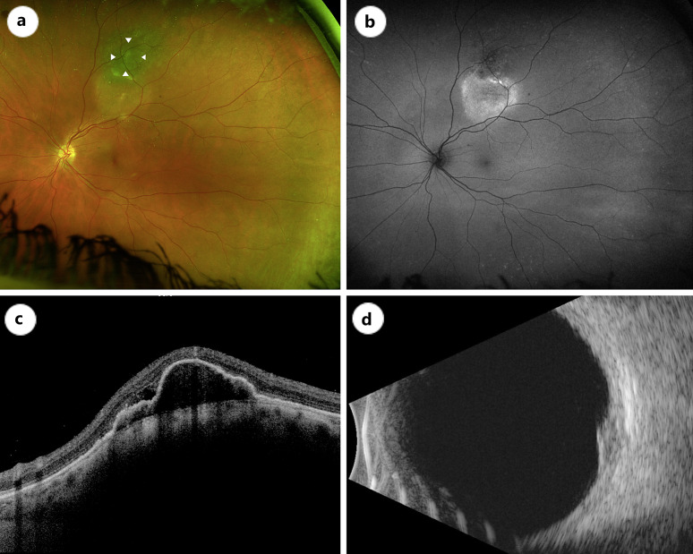
视网膜色素上皮脱离(PED)是一种罕见的脉络膜痣。在这个病例系列中,我们描述了4例患者的PED覆盖脉络膜痣,并讨论了这种诊断的临床意义。病例介绍:四名被诊断为单侧脉络膜痣并伴有重叠的儿科的成年患者随时间随访。由于担心潜在的生长,两名患者被转介进行评估。所有病例均行眼底摄影、b超及光学相干断层扫描。所有患者均未出现由脉络膜痣或PED引起的视觉症状。随访期间未见进展或恶性转化。结论:虽然PED似乎不会增加进展为黑色素瘤的风险,但它可能使对潜在脉络膜痣的评估复杂化,并可能导致视力下降。因此,应长期监测覆盖PED的脉络膜痣,特别注意继发性脉络膜新生血管的潜在发展。
本文章由计算机程序翻译,如有差异,请以英文原文为准。

Case Series: Retinal Pigment Epithelial Detachments Over Choroidal Nevi - What Is the Clinical Significance?

Case Series: Retinal Pigment Epithelial Detachments Over Choroidal Nevi - What Is the Clinical Significance?

Case Series: Retinal Pigment Epithelial Detachments Over Choroidal Nevi - What Is the Clinical Significance?

Case Series: Retinal Pigment Epithelial Detachments Over Choroidal Nevi - What Is the Clinical Significance?

Introduction: Retinal pigment epithelial detachment (PED) is an uncommon finding associated with choroidal nevi. In this case series, we describe PED overlying a choroidal nevus in 4 patients and discuss the clinical significance of this diagnosis.

Case presentations: Four adult patients diagnosed with unilateral choroidal nevi with associated overlying PEDs were followed over time. Two patients were referred for evaluation due to concerns about potential growth. Fundus photography, B-scan ultrasonography, and optical coherence tomography were performed in all cases. None of the patients developed visual symptoms attributable to the choroidal nevus or PED. No progression or malignant transformation was observed during follow-up.

Conclusion: While PED does not appear to increase the risk of progression to melanoma, it may complicate the evaluation of the underlying choroidal nevus and could lead to decreased visual acuity. Therefore, choroidal nevi with overlying PED should be monitored over time, with particular attention to the potential development of secondary choroidal neovascularization.

求助全文
通过发布文献求助,成功后即可免费获取论文全文。 去求助
来源期刊
CiteScore
2.40
自引率
0.00%
发文量
20
×
引用
GB/T 7714-2015
复制
MLA
复制
APA
复制
导出至
BibTeX EndNote RefMan NoteFirst NoteExpress
×
提示
您的信息不完整,为了账户安全,请先补充。
现在去补充
×
提示
您因"违规操作"
具体请查看互助需知
我知道了
×
提示
确定
请完成安全验证×
copy
已复制链接
快去分享给好友吧!
我知道了
右上角分享
点击右上角分享
0
联系我们:info@booksci.cn Book学术提供免费学术资源搜索服务,方便国内外学者检索中英文文献。致力于提供最便捷和优质的服务体验。 Copyright © 2023 布克学术 All rights reserved.
京ICP备2023020795号-1
ghs 京公网安备 11010802042870号
Book学术文献互助
Book学术文献互助群
群 号:604180095
Book学术官方微信