YTHDF2通过靶向甲基化MYC减轻直肠癌细胞的放射耐药。

IF 2 4区 医学 Q2 BIOLOGY
Yeying Fang, Shijie Shang, Gang Chen, Dawei Chen, Jinming Yu
{"title":"YTHDF2通过靶向甲基化MYC减轻直肠癌细胞的放射耐药。","authors":"Yeying Fang, Shijie Shang, Gang Chen, Dawei Chen, Jinming Yu","doi":"10.1093/jrr/rraf043","DOIUrl":null,"url":null,"abstract":"<p><p>YTHDF2, a N6-methyladenosine (m6A) recognition protein, is involved in the occurrence and progression of various malignancies. The impact of YTHDF2 on the radiosensitivity of rectal cancer cells remains unclear. This study aimed to investigate the effect and potential mechanisms of YTHDF2 on radiotherapy sensitivity in rectal cancer. Acquired radioresistant colorectal cancer (CRC) cell lines (HCT-116-R and CX-1-R) were established through accumulative X-ray exposure. YTHDF2 was exogenously overexpressed or endogenously knocked down using lentivirus systems, and the radiosensitivity of the cells was analyzed both in vitro and in vivo. High-throughput transcriptome sequencing identified MYC as a downstream target of YTHDF2. RNA stability assays revealed that YTHDF2 facilitated the decay of MYC messenger (mRNA) through an m6A-dependent mechanism. Western blot analyses demonstrated that YTHDF2 modulated MYC expression and the Hippo signaling pathway, enhancing p-MST1/2, p-LATS1 and p-YAP levels while reducing nuclear YAP. Functional assays showed that YTHDF2 overexpression improved radiosensitivity by promoting radiation-induced apoptosis and G2/M phase arrest. MYC overexpression reversed these effects, suggesting a competitive regulatory relationship between YTHDF2 and MYC. These findings indicate that YTHDF2 modulates radiosensitivity through MYC and the Hippo signaling pathway. YTHDF2 enhances the radiosensitivity of rectal cancer cells by facilitating the degradation of MYC mRNA and activating the Hippo signaling pathway. Targeting YTHDF2 may provide a promising therapeutic strategy for overcoming radioresistance in rectal carcinoma.</p>","PeriodicalId":16922,"journal":{"name":"Journal of Radiation Research","volume":" ","pages":"459-472"},"PeriodicalIF":2.0000,"publicationDate":"2025-09-23","publicationTypes":"Journal Article","fieldsOfStudy":null,"isOpenAccess":false,"openAccessPdf":"https://www.ncbi.nlm.nih.gov/pmc/articles/PMC12460049/pdf/","citationCount":"0","resultStr":"{\"title\":\"YTHDF2 alleviates the radioresistance of rectal cancer cells by targeting methylated MYC.\",\"authors\":\"Yeying Fang, Shijie Shang, Gang Chen, Dawei Chen, Jinming Yu\",\"doi\":\"10.1093/jrr/rraf043\",\"DOIUrl\":null,\"url\":null,\"abstract\":\"<p><p>YTHDF2, a N6-methyladenosine (m6A) recognition protein, is involved in the occurrence and progression of various malignancies. The impact of YTHDF2 on the radiosensitivity of rectal cancer cells remains unclear. This study aimed to investigate the effect and potential mechanisms of YTHDF2 on radiotherapy sensitivity in rectal cancer. Acquired radioresistant colorectal cancer (CRC) cell lines (HCT-116-R and CX-1-R) were established through accumulative X-ray exposure. YTHDF2 was exogenously overexpressed or endogenously knocked down using lentivirus systems, and the radiosensitivity of the cells was analyzed both in vitro and in vivo. High-throughput transcriptome sequencing identified MYC as a downstream target of YTHDF2. RNA stability assays revealed that YTHDF2 facilitated the decay of MYC messenger (mRNA) through an m6A-dependent mechanism. Western blot analyses demonstrated that YTHDF2 modulated MYC expression and the Hippo signaling pathway, enhancing p-MST1/2, p-LATS1 and p-YAP levels while reducing nuclear YAP. Functional assays showed that YTHDF2 overexpression improved radiosensitivity by promoting radiation-induced apoptosis and G2/M phase arrest. MYC overexpression reversed these effects, suggesting a competitive regulatory relationship between YTHDF2 and MYC. These findings indicate that YTHDF2 modulates radiosensitivity through MYC and the Hippo signaling pathway. YTHDF2 enhances the radiosensitivity of rectal cancer cells by facilitating the degradation of MYC mRNA and activating the Hippo signaling pathway. Targeting YTHDF2 may provide a promising therapeutic strategy for overcoming radioresistance in rectal carcinoma.</p>\",\"PeriodicalId\":16922,\"journal\":{\"name\":\"Journal of Radiation Research\",\"volume\":\" \",\"pages\":\"459-472\"},\"PeriodicalIF\":2.0000,\"publicationDate\":\"2025-09-23\",\"publicationTypes\":\"Journal Article\",\"fieldsOfStudy\":null,\"isOpenAccess\":false,\"openAccessPdf\":\"https://www.ncbi.nlm.nih.gov/pmc/articles/PMC12460049/pdf/\",\"citationCount\":\"0\",\"resultStr\":null,\"platform\":\"Semanticscholar\",\"paperid\":null,\"PeriodicalName\":\"Journal of Radiation Research\",\"FirstCategoryId\":\"3\",\"ListUrlMain\":\"https://doi.org/10.1093/jrr/rraf043\",\"RegionNum\":4,\"RegionCategory\":\"医学\",\"ArticlePicture\":[],\"TitleCN\":null,\"AbstractTextCN\":null,\"PMCID\":null,\"EPubDate\":\"\",\"PubModel\":\"\",\"JCR\":\"Q2\",\"JCRName\":\"BIOLOGY\",\"Score\":null,\"Total\":0}","platform":"Semanticscholar","paperid":null,"PeriodicalName":"Journal of Radiation Research","FirstCategoryId":"3","ListUrlMain":"https://doi.org/10.1093/jrr/rraf043","RegionNum":4,"RegionCategory":"医学","ArticlePicture":[],"TitleCN":null,"AbstractTextCN":null,"PMCID":null,"EPubDate":"","PubModel":"","JCR":"Q2","JCRName":"BIOLOGY","Score":null,"Total":0}
引用次数: 0

摘要

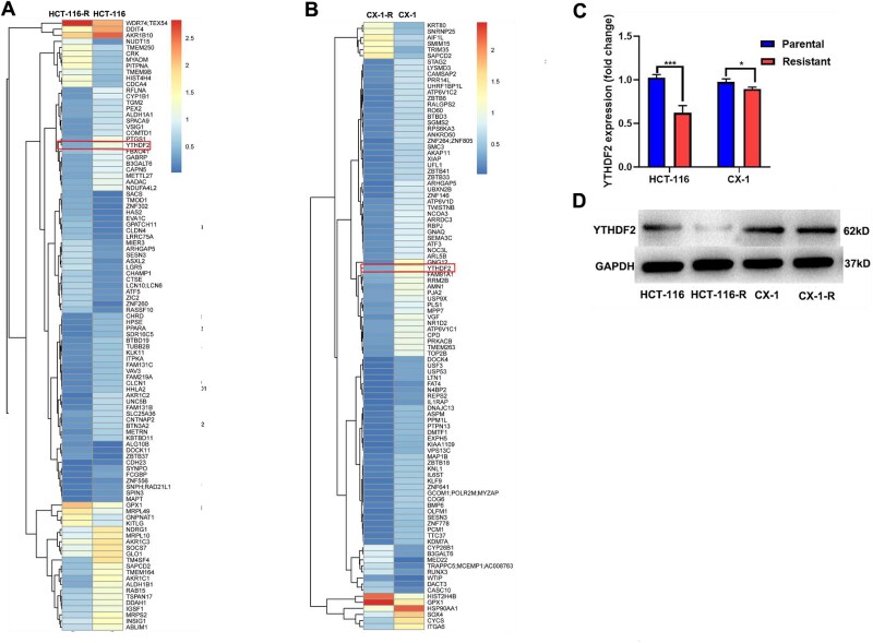
YTHDF2是一种n6 -甲基腺苷(m6A)识别蛋白,参与多种恶性肿瘤的发生和发展。YTHDF2对直肠癌细胞放射敏感性的影响尚不清楚。本研究旨在探讨YTHDF2对直肠癌放疗敏感性的影响及其可能机制。通过累积x射线照射建立获得性耐辐射结直肠癌(CRC)细胞系HCT-116-R和CX-1-R。使用慢病毒系统外源性过表达或内源性敲除YTHDF2,并在体外和体内分析细胞的放射敏感性。高通量转录组测序鉴定MYC是YTHDF2的下游靶点。RNA稳定性分析显示,YTHDF2通过依赖m6a的机制促进MYC信使(mRNA)的衰变。Western blot分析表明,YTHDF2调节MYC表达和Hippo信号通路,提高p-MST1/2、p-LATS1和p-YAP水平,同时降低核YAP。功能分析显示,YTHDF2过表达通过促进辐射诱导的细胞凋亡和G2/M期阻滞来改善放射敏感性。MYC过表达逆转了这些影响,表明YTHDF2和MYC之间存在竞争性调节关系。这些发现表明YTHDF2通过MYC和Hippo信号通路调节放射敏感性。YTHDF2通过促进MYC mRNA的降解和激活Hippo信号通路,增强直肠癌细胞的放射敏感性。靶向YTHDF2可能为克服直肠癌放射耐药提供一种有希望的治疗策略。
本文章由计算机程序翻译,如有差异,请以英文原文为准。

YTHDF2 alleviates the radioresistance of rectal cancer cells by targeting methylated MYC.

YTHDF2 alleviates the radioresistance of rectal cancer cells by targeting methylated MYC.

YTHDF2 alleviates the radioresistance of rectal cancer cells by targeting methylated MYC.

YTHDF2 alleviates the radioresistance of rectal cancer cells by targeting methylated MYC.

YTHDF2, a N6-methyladenosine (m6A) recognition protein, is involved in the occurrence and progression of various malignancies. The impact of YTHDF2 on the radiosensitivity of rectal cancer cells remains unclear. This study aimed to investigate the effect and potential mechanisms of YTHDF2 on radiotherapy sensitivity in rectal cancer. Acquired radioresistant colorectal cancer (CRC) cell lines (HCT-116-R and CX-1-R) were established through accumulative X-ray exposure. YTHDF2 was exogenously overexpressed or endogenously knocked down using lentivirus systems, and the radiosensitivity of the cells was analyzed both in vitro and in vivo. High-throughput transcriptome sequencing identified MYC as a downstream target of YTHDF2. RNA stability assays revealed that YTHDF2 facilitated the decay of MYC messenger (mRNA) through an m6A-dependent mechanism. Western blot analyses demonstrated that YTHDF2 modulated MYC expression and the Hippo signaling pathway, enhancing p-MST1/2, p-LATS1 and p-YAP levels while reducing nuclear YAP. Functional assays showed that YTHDF2 overexpression improved radiosensitivity by promoting radiation-induced apoptosis and G2/M phase arrest. MYC overexpression reversed these effects, suggesting a competitive regulatory relationship between YTHDF2 and MYC. These findings indicate that YTHDF2 modulates radiosensitivity through MYC and the Hippo signaling pathway. YTHDF2 enhances the radiosensitivity of rectal cancer cells by facilitating the degradation of MYC mRNA and activating the Hippo signaling pathway. Targeting YTHDF2 may provide a promising therapeutic strategy for overcoming radioresistance in rectal carcinoma.

求助全文
通过发布文献求助,成功后即可免费获取论文全文。 去求助
来源期刊
CiteScore
3.60
自引率
5.00%
发文量
86
审稿时长
4-8 weeks
期刊介绍: The Journal of Radiation Research (JRR) is an official journal of The Japanese Radiation Research Society (JRRS), and the Japanese Society for Radiation Oncology (JASTRO). Since its launch in 1960 as the official journal of the JRRS, the journal has published scientific articles in radiation science in biology, chemistry, physics, epidemiology, and environmental sciences. JRR broadened its scope to include oncology in 2009, when JASTRO partnered with the JRRS to publish the journal. Articles considered fall into two broad categories: Oncology & Medicine - including all aspects of research with patients that impacts on the treatment of cancer using radiation. Papers which cover related radiation therapies, radiation dosimetry, and those describing the basis for treatment methods including techniques, are also welcomed. Clinical case reports are not acceptable. Radiation Research - basic science studies of radiation effects on livings in the area of physics, chemistry, biology, epidemiology and environmental sciences. Please be advised that JRR does not accept any papers of pure physics or chemistry. The journal is bimonthly, and is edited and published by the JRR Editorial Committee.
×
引用
GB/T 7714-2015
复制
MLA
复制
APA
复制
导出至
BibTeX EndNote RefMan NoteFirst NoteExpress
×
提示
您的信息不完整,为了账户安全,请先补充。
现在去补充
×
提示
您因"违规操作"
具体请查看互助需知
我知道了
×
提示
确定
请完成安全验证×
copy
已复制链接
快去分享给好友吧!
我知道了
右上角分享
点击右上角分享
0
联系我们:info@booksci.cn Book学术提供免费学术资源搜索服务,方便国内外学者检索中英文文献。致力于提供最便捷和优质的服务体验。 Copyright © 2023 布克学术 All rights reserved.
京ICP备2023020795号-1
ghs 京公网安备 11010802042870号
Book学术文献互助
Book学术文献互助群
群 号:604180095
Book学术官方微信