妊娠相关巨大腹部硬纤维瘤:一例主动监测和手术治疗报告。

IF 2.6 4区 医学 Q2 OBSTETRICS & GYNECOLOGY
International Journal of Women's Health Pub Date : 2025-07-21 eCollection Date: 2025-01-01 DOI:10.2147/IJWH.S532226
Xiao Hong Song, Ying Hu, Yongmiao Pan
{"title":"妊娠相关巨大腹部硬纤维瘤:一例主动监测和手术治疗报告。","authors":"Xiao Hong Song, Ying Hu, Yongmiao Pan","doi":"10.2147/IJWH.S532226","DOIUrl":null,"url":null,"abstract":"<p><strong>Objective: </strong>There is not much data on pregnancy-related desmoplastic fibroma (DF), and the effectiveness of active surveillance as a primary treatment strategy remains uncertain. Thus, our case illustrates that DF tumors can persist into late pregnancy. Termination of pregnancy in conjunction with surgical removal of the tumor may reduce trauma and complications, ultimately resulting in a healthy infant.</p><p><strong>Case presentation: </strong>This case describes a pregnant woman with a suspected desmoid fibromatosis tumor who refused termination of pregnancy, opting for close monitoring until late gestation and successfully delivering a healthy baby.</p><p><strong>Conclusion: </strong>This case reveals the feasibility and potential safety of individualized, multidisciplinary management approaches - such as active surveillance followed by timely surgical intervention - for DF in pregnancy. It highlights the importance of balancing maternal and fetal risks and presents insights that may assist the clinical-decision making process in similarly complex scenarios involving pregnancy-related DF.</p>","PeriodicalId":14356,"journal":{"name":"International Journal of Women's Health","volume":"17 ","pages":"2227-2232"},"PeriodicalIF":2.6000,"publicationDate":"2025-07-21","publicationTypes":"Journal Article","fieldsOfStudy":null,"isOpenAccess":false,"openAccessPdf":"https://www.ncbi.nlm.nih.gov/pmc/articles/PMC12292384/pdf/","citationCount":"0","resultStr":"{\"title\":\"Pregnancy-Associated Giant Abdominal Desmoid Tumor: A Case Report of Active Surveillance and Surgical Management.\",\"authors\":\"Xiao Hong Song, Ying Hu, Yongmiao Pan\",\"doi\":\"10.2147/IJWH.S532226\",\"DOIUrl\":null,\"url\":null,\"abstract\":\"<p><strong>Objective: </strong>There is not much data on pregnancy-related desmoplastic fibroma (DF), and the effectiveness of active surveillance as a primary treatment strategy remains uncertain. Thus, our case illustrates that DF tumors can persist into late pregnancy. Termination of pregnancy in conjunction with surgical removal of the tumor may reduce trauma and complications, ultimately resulting in a healthy infant.</p><p><strong>Case presentation: </strong>This case describes a pregnant woman with a suspected desmoid fibromatosis tumor who refused termination of pregnancy, opting for close monitoring until late gestation and successfully delivering a healthy baby.</p><p><strong>Conclusion: </strong>This case reveals the feasibility and potential safety of individualized, multidisciplinary management approaches - such as active surveillance followed by timely surgical intervention - for DF in pregnancy. It highlights the importance of balancing maternal and fetal risks and presents insights that may assist the clinical-decision making process in similarly complex scenarios involving pregnancy-related DF.</p>\",\"PeriodicalId\":14356,\"journal\":{\"name\":\"International Journal of Women's Health\",\"volume\":\"17 \",\"pages\":\"2227-2232\"},\"PeriodicalIF\":2.6000,\"publicationDate\":\"2025-07-21\",\"publicationTypes\":\"Journal Article\",\"fieldsOfStudy\":null,\"isOpenAccess\":false,\"openAccessPdf\":\"https://www.ncbi.nlm.nih.gov/pmc/articles/PMC12292384/pdf/\",\"citationCount\":\"0\",\"resultStr\":null,\"platform\":\"Semanticscholar\",\"paperid\":null,\"PeriodicalName\":\"International Journal of Women's Health\",\"FirstCategoryId\":\"3\",\"ListUrlMain\":\"https://doi.org/10.2147/IJWH.S532226\",\"RegionNum\":4,\"RegionCategory\":\"医学\",\"ArticlePicture\":[],\"TitleCN\":null,\"AbstractTextCN\":null,\"PMCID\":null,\"EPubDate\":\"2025/1/1 0:00:00\",\"PubModel\":\"eCollection\",\"JCR\":\"Q2\",\"JCRName\":\"OBSTETRICS & GYNECOLOGY\",\"Score\":null,\"Total\":0}","platform":"Semanticscholar","paperid":null,"PeriodicalName":"International Journal of Women's Health","FirstCategoryId":"3","ListUrlMain":"https://doi.org/10.2147/IJWH.S532226","RegionNum":4,"RegionCategory":"医学","ArticlePicture":[],"TitleCN":null,"AbstractTextCN":null,"PMCID":null,"EPubDate":"2025/1/1 0:00:00","PubModel":"eCollection","JCR":"Q2","JCRName":"OBSTETRICS & GYNECOLOGY","Score":null,"Total":0}
引用次数: 0

摘要

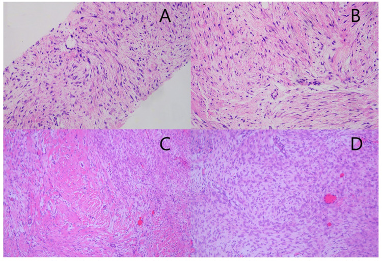
目的:关于妊娠相关的结缔组织增生纤维瘤(DF)的数据不多,主动监测作为主要治疗策略的有效性仍不确定。因此,我们的病例说明DF肿瘤可以持续到妊娠晚期。终止妊娠结合手术切除肿瘤可以减少创伤和并发症,最终产生一个健康的婴儿。病例介绍:本病例描述了一位怀疑患有硬纤维瘤瘤的孕妇,她拒绝终止妊娠,选择密切监测直到妊娠晚期,并成功分娩了一个健康的婴儿。结论:本病例揭示了个体化、多学科管理方法的可行性和潜在安全性,如主动监测和及时手术干预。它强调了平衡母体和胎儿风险的重要性,并提出了可能有助于在涉及妊娠相关DF的类似复杂情况下的临床决策过程的见解。
本文章由计算机程序翻译,如有差异,请以英文原文为准。

Pregnancy-Associated Giant Abdominal Desmoid Tumor: A Case Report of Active Surveillance and Surgical Management.

Pregnancy-Associated Giant Abdominal Desmoid Tumor: A Case Report of Active Surveillance and Surgical Management.

Pregnancy-Associated Giant Abdominal Desmoid Tumor: A Case Report of Active Surveillance and Surgical Management.

Pregnancy-Associated Giant Abdominal Desmoid Tumor: A Case Report of Active Surveillance and Surgical Management.

Objective: There is not much data on pregnancy-related desmoplastic fibroma (DF), and the effectiveness of active surveillance as a primary treatment strategy remains uncertain. Thus, our case illustrates that DF tumors can persist into late pregnancy. Termination of pregnancy in conjunction with surgical removal of the tumor may reduce trauma and complications, ultimately resulting in a healthy infant.

Case presentation: This case describes a pregnant woman with a suspected desmoid fibromatosis tumor who refused termination of pregnancy, opting for close monitoring until late gestation and successfully delivering a healthy baby.

Conclusion: This case reveals the feasibility and potential safety of individualized, multidisciplinary management approaches - such as active surveillance followed by timely surgical intervention - for DF in pregnancy. It highlights the importance of balancing maternal and fetal risks and presents insights that may assist the clinical-decision making process in similarly complex scenarios involving pregnancy-related DF.

求助全文
通过发布文献求助,成功后即可免费获取论文全文。 去求助
来源期刊
International Journal of Women's Health
International Journal of Women's Health OBSTETRICS & GYNECOLOGY-
CiteScore
3.70
自引率
0.00%
发文量
194
审稿时长
16 weeks
期刊介绍: International Journal of Women''s Health is an international, peer-reviewed, open access, online journal. Publishing original research, reports, editorials, reviews and commentaries on all aspects of women''s healthcare including gynecology, obstetrics, and breast cancer. Subject areas include: Chronic conditions including cancers of various organs specific and not specific to women Migraine, headaches, arthritis, osteoporosis Endocrine and autoimmune syndromes - asthma, multiple sclerosis, lupus, diabetes Sexual and reproductive health including fertility patterns and emerging technologies to address infertility Infectious disease with chronic sequelae including HIV/AIDS, HPV, PID, and other STDs Psychological and psychosocial conditions - depression across the life span, substance abuse, domestic violence Health maintenance among aging females - factors affecting the quality of life including physical, social and mental issues Avenues for health promotion and disease prevention across the life span Male vs female incidence comparisons for conditions that affect both genders.
×
引用
GB/T 7714-2015
复制
MLA
复制
APA
复制
导出至
BibTeX EndNote RefMan NoteFirst NoteExpress
×
提示
您的信息不完整,为了账户安全,请先补充。
现在去补充
×
提示
您因"违规操作"
具体请查看互助需知
我知道了
×
提示
确定
请完成安全验证×
copy
已复制链接
快去分享给好友吧!
我知道了
右上角分享
点击右上角分享
0
联系我们:info@booksci.cn Book学术提供免费学术资源搜索服务,方便国内外学者检索中英文文献。致力于提供最便捷和优质的服务体验。 Copyright © 2023 布克学术 All rights reserved.
京ICP备2023020795号-1
ghs 京公网安备 11010802042870号
Book学术文献互助
Book学术文献互助群
群 号:604180095
Book学术官方微信