MELAS综合征患儿甲状旁腺功能减退1例:重度乳酸酸中毒伴双侧基底节区对称钙化1例。

IF 1.8 Q3 ENDOCRINOLOGY & METABOLISM
Ling Wang, Tingting Zhou, Xiaosong Bu, Daoxiang Pan, Xiaojing Liu
{"title":"MELAS综合征患儿甲状旁腺功能减退1例:重度乳酸酸中毒伴双侧基底节区对称钙化1例。","authors":"Ling Wang, Tingting Zhou, Xiaosong Bu, Daoxiang Pan, Xiaojing Liu","doi":"10.5812/ijem-161585","DOIUrl":null,"url":null,"abstract":"<p><strong>Introduction: </strong>MELAS syndrome is a mitochondrial disorder typically characterized by brain dysfunction and endocrinopathies, but it rarely presents with hypoparathyroidism (HP).</p><p><strong>Case presentation: </strong>Here, we report the case of a child who initially presented with vomiting and convulsions. Blood gas analysis revealed significant hyperlactatemia and hypocalcemia. The child's urinary calcium level was markedly decreased, measured at 0.15 mmol/24h, well below the normal range. A brain CT scan showed symmetrical calcification in the bilateral basal ganglia. Endocrine testing confirmed low parathyroid hormone (PTH) levels. During hospitalization, the child received treatment for recurrent seizures, including midazolam and levetiracetam. One month post-discharge, the child was readmitted due to elevated lactate levels. Genetic testing confirmed the diagnosis of MELAS syndrome, identifying the m.3243A > G mutation in the MT-TL1 gene. Under symptomatic treatment, the child has not experienced any further convulsions and has been regularly followed up at our hospital.</p><p><strong>Conclusions: </strong>This case underscores the importance of considering MELAS syndrome in patients presenting with hypoparathyroidism. Effective management of epileptic seizures and maintaining an appropriate calcium-to-phosphorus balance are crucial for minimizing brain damage and improving the patient's prognosis.</p>","PeriodicalId":13969,"journal":{"name":"International Journal of Endocrinology and Metabolism","volume":"23 2","pages":"e161585"},"PeriodicalIF":1.8000,"publicationDate":"2025-04-30","publicationTypes":"Journal Article","fieldsOfStudy":null,"isOpenAccess":false,"openAccessPdf":"https://www.ncbi.nlm.nih.gov/pmc/articles/PMC12296682/pdf/","citationCount":"0","resultStr":"{\"title\":\"Hypoparathyroidism in a Child with MELAS Syndrome: A Case Report of Severe Lactic Acidosis and Symmetrical Bilateral Basal Ganglia Calcification.\",\"authors\":\"Ling Wang, Tingting Zhou, Xiaosong Bu, Daoxiang Pan, Xiaojing Liu\",\"doi\":\"10.5812/ijem-161585\",\"DOIUrl\":null,\"url\":null,\"abstract\":\"<p><strong>Introduction: </strong>MELAS syndrome is a mitochondrial disorder typically characterized by brain dysfunction and endocrinopathies, but it rarely presents with hypoparathyroidism (HP).</p><p><strong>Case presentation: </strong>Here, we report the case of a child who initially presented with vomiting and convulsions. Blood gas analysis revealed significant hyperlactatemia and hypocalcemia. The child's urinary calcium level was markedly decreased, measured at 0.15 mmol/24h, well below the normal range. A brain CT scan showed symmetrical calcification in the bilateral basal ganglia. Endocrine testing confirmed low parathyroid hormone (PTH) levels. During hospitalization, the child received treatment for recurrent seizures, including midazolam and levetiracetam. One month post-discharge, the child was readmitted due to elevated lactate levels. Genetic testing confirmed the diagnosis of MELAS syndrome, identifying the m.3243A > G mutation in the MT-TL1 gene. Under symptomatic treatment, the child has not experienced any further convulsions and has been regularly followed up at our hospital.</p><p><strong>Conclusions: </strong>This case underscores the importance of considering MELAS syndrome in patients presenting with hypoparathyroidism. Effective management of epileptic seizures and maintaining an appropriate calcium-to-phosphorus balance are crucial for minimizing brain damage and improving the patient's prognosis.</p>\",\"PeriodicalId\":13969,\"journal\":{\"name\":\"International Journal of Endocrinology and Metabolism\",\"volume\":\"23 2\",\"pages\":\"e161585\"},\"PeriodicalIF\":1.8000,\"publicationDate\":\"2025-04-30\",\"publicationTypes\":\"Journal Article\",\"fieldsOfStudy\":null,\"isOpenAccess\":false,\"openAccessPdf\":\"https://www.ncbi.nlm.nih.gov/pmc/articles/PMC12296682/pdf/\",\"citationCount\":\"0\",\"resultStr\":null,\"platform\":\"Semanticscholar\",\"paperid\":null,\"PeriodicalName\":\"International Journal of Endocrinology and Metabolism\",\"FirstCategoryId\":\"3\",\"ListUrlMain\":\"https://doi.org/10.5812/ijem-161585\",\"RegionNum\":0,\"RegionCategory\":null,\"ArticlePicture\":[],\"TitleCN\":null,\"AbstractTextCN\":null,\"PMCID\":null,\"EPubDate\":\"\",\"PubModel\":\"\",\"JCR\":\"Q3\",\"JCRName\":\"ENDOCRINOLOGY & METABOLISM\",\"Score\":null,\"Total\":0}","platform":"Semanticscholar","paperid":null,"PeriodicalName":"International Journal of Endocrinology and Metabolism","FirstCategoryId":"3","ListUrlMain":"https://doi.org/10.5812/ijem-161585","RegionNum":0,"RegionCategory":null,"ArticlePicture":[],"TitleCN":null,"AbstractTextCN":null,"PMCID":null,"EPubDate":"","PubModel":"","JCR":"Q3","JCRName":"ENDOCRINOLOGY & METABOLISM","Score":null,"Total":0}
引用次数: 0

摘要

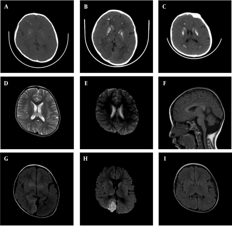
MELAS综合征是一种线粒体疾病,典型特征为脑功能障碍和内分泌病变,但很少表现为甲状旁腺功能减退(HP)。病例介绍:在这里,我们报告的情况下,儿童谁最初表现为呕吐和抽搐。血气分析显示明显的高乳酸血症和低钙血症。患儿尿钙水平明显下降,测量值为0.15 mmol/24h,远低于正常范围。脑部CT扫描显示双侧基底节区对称钙化。内分泌测试证实低甲状旁腺激素(PTH)水平。在住院期间,儿童接受了反复发作的治疗,包括咪达唑仑和左乙拉西坦。出院后1个月,患儿因乳酸水平升高再次入院。基因检测证实MELAS综合征的诊断,鉴定MT-TL1基因m.3243A > G突变。在对症治疗下,患儿未出现进一步抽搐,并定期在我院随访。结论:该病例强调了甲状旁腺功能减退患者考虑MELAS综合征的重要性。有效管理癫痫发作和维持适当的钙磷平衡是减少脑损伤和改善患者预后的关键。
本文章由计算机程序翻译,如有差异,请以英文原文为准。

Hypoparathyroidism in a Child with MELAS Syndrome: A Case Report of Severe Lactic Acidosis and Symmetrical Bilateral Basal Ganglia Calcification.

Hypoparathyroidism in a Child with MELAS Syndrome: A Case Report of Severe Lactic Acidosis and Symmetrical Bilateral Basal Ganglia Calcification.

Hypoparathyroidism in a Child with MELAS Syndrome: A Case Report of Severe Lactic Acidosis and Symmetrical Bilateral Basal Ganglia Calcification.

Introduction: MELAS syndrome is a mitochondrial disorder typically characterized by brain dysfunction and endocrinopathies, but it rarely presents with hypoparathyroidism (HP).

Case presentation: Here, we report the case of a child who initially presented with vomiting and convulsions. Blood gas analysis revealed significant hyperlactatemia and hypocalcemia. The child's urinary calcium level was markedly decreased, measured at 0.15 mmol/24h, well below the normal range. A brain CT scan showed symmetrical calcification in the bilateral basal ganglia. Endocrine testing confirmed low parathyroid hormone (PTH) levels. During hospitalization, the child received treatment for recurrent seizures, including midazolam and levetiracetam. One month post-discharge, the child was readmitted due to elevated lactate levels. Genetic testing confirmed the diagnosis of MELAS syndrome, identifying the m.3243A > G mutation in the MT-TL1 gene. Under symptomatic treatment, the child has not experienced any further convulsions and has been regularly followed up at our hospital.

Conclusions: This case underscores the importance of considering MELAS syndrome in patients presenting with hypoparathyroidism. Effective management of epileptic seizures and maintaining an appropriate calcium-to-phosphorus balance are crucial for minimizing brain damage and improving the patient's prognosis.

求助全文
通过发布文献求助,成功后即可免费获取论文全文。 去求助
来源期刊
CiteScore
3.10
自引率
4.80%
发文量
0
期刊介绍: The aim of the International Journal of Endocrinology and Metabolism (IJEM) is to increase knowledge, stimulate research in the field of endocrinology, and promote better management of patients with endocrinological disorders. To achieve this goal, the journal publishes original research papers on human, animal and cell culture studies relevant to endocrinology.
×
引用
GB/T 7714-2015
复制
MLA
复制
APA
复制
导出至
BibTeX EndNote RefMan NoteFirst NoteExpress
×
提示
您的信息不完整,为了账户安全,请先补充。
现在去补充
×
提示
您因"违规操作"
具体请查看互助需知
我知道了
×
提示
确定
请完成安全验证×
copy
已复制链接
快去分享给好友吧!
我知道了
右上角分享
点击右上角分享
0
联系我们:info@booksci.cn Book学术提供免费学术资源搜索服务,方便国内外学者检索中英文文献。致力于提供最便捷和优质的服务体验。 Copyright © 2023 布克学术 All rights reserved.
京ICP备2023020795号-1
ghs 京公网安备 11010802042870号
Book学术文献互助
Book学术文献互助群
群 号:604180095
Book学术官方微信