镍钛诺钉固定术治疗拇外翻的临床效果。

Foot & Ankle Orthopaedics Pub Date : 2025-07-23 eCollection Date: 2025-07-01 DOI:10.1177/24730114251353789
Viktor Labmayr, Marlene Martinelli, Konstanze Huetter, Gloria Hohenberger, Patrick Holweg, Martin Ornig
{"title":"镍钛诺钉固定术治疗拇外翻的临床效果。","authors":"Viktor Labmayr, Marlene Martinelli, Konstanze Huetter, Gloria Hohenberger, Patrick Holweg, Martin Ornig","doi":"10.1177/24730114251353789","DOIUrl":null,"url":null,"abstract":"<p><strong>Background: </strong>This study evaluated postoperative outcomes following Lapidus arthrodesis (fusion of the first tarsometatarsal joint [TMT1]) using two nitinol staples for hallux valgus correction, focusing on fusion rate, reoperation rate, and patient satisfaction.</p><p><strong>Methods: </strong>A total of 60 cases undergoing Lapidus arthrodesis between June 2018 and June 2022 were analyzed with a median follow-up of 37 months (range: 15-64 months). All cases were treated using two nitinol staples (BME Elite<sup>TM</sup>; DePuy Synthes) for TMT1 fusion. Among these, 38 cases involved additional foot procedures, while 22 cases had isolated TMT1 fusion. Data were collected from medical records, radiographs, and a telephone survey. The hallux valgus angle (HVA) and intermetatarsal angle (IMA) were measured preoperatively and postoperatively on weightbearing dorsoplantar radiographs. Functional outcomes were assessed using the Foot and Ankle Ability Measure-Activities of Daily Living (FAAM-ADL) subscale, and patient satisfaction was evaluated using a 4-point Likert scale.</p><p><strong>Results: </strong>The TMT1 fusion rate was 96.7% (58/60). The reoperation rate-including hardware removal, revision surgery for recurrence, and nonunion-was 16.7%. The staple breakage rate was 3.3%. The IMA improved from 15.8 to 8.9 degrees (<i>P</i> < .001), and the HVA improved from 37.5 to 17.3 degrees (<i>P</i> < .001). The average FAAM-ADL score was 81.7 out of 84, with 90% of patients reporting being very satisfied or satisfied.</p><p><strong>Conclusion: </strong>The Lapidus arthrodesis, fixed with nitinol staples, resulted in high rates of fusion and patient satisfaction.</p><p><strong>Level of evidence: </strong>IV, retrospective cohort study.</p>","PeriodicalId":12429,"journal":{"name":"Foot & Ankle Orthopaedics","volume":"10 3","pages":"24730114251353789"},"PeriodicalIF":0.0000,"publicationDate":"2025-07-23","publicationTypes":"Journal Article","fieldsOfStudy":null,"isOpenAccess":false,"openAccessPdf":"https://www.ncbi.nlm.nih.gov/pmc/articles/PMC12290325/pdf/","citationCount":"0","resultStr":"{\"title\":\"Clinical Outcomes of Lapidus Arthrodesis With Nitinol Staples for Hallux Valgus Correction.\",\"authors\":\"Viktor Labmayr, Marlene Martinelli, Konstanze Huetter, Gloria Hohenberger, Patrick Holweg, Martin Ornig\",\"doi\":\"10.1177/24730114251353789\",\"DOIUrl\":null,\"url\":null,\"abstract\":\"<p><strong>Background: </strong>This study evaluated postoperative outcomes following Lapidus arthrodesis (fusion of the first tarsometatarsal joint [TMT1]) using two nitinol staples for hallux valgus correction, focusing on fusion rate, reoperation rate, and patient satisfaction.</p><p><strong>Methods: </strong>A total of 60 cases undergoing Lapidus arthrodesis between June 2018 and June 2022 were analyzed with a median follow-up of 37 months (range: 15-64 months). All cases were treated using two nitinol staples (BME Elite<sup>TM</sup>; DePuy Synthes) for TMT1 fusion. Among these, 38 cases involved additional foot procedures, while 22 cases had isolated TMT1 fusion. Data were collected from medical records, radiographs, and a telephone survey. The hallux valgus angle (HVA) and intermetatarsal angle (IMA) were measured preoperatively and postoperatively on weightbearing dorsoplantar radiographs. Functional outcomes were assessed using the Foot and Ankle Ability Measure-Activities of Daily Living (FAAM-ADL) subscale, and patient satisfaction was evaluated using a 4-point Likert scale.</p><p><strong>Results: </strong>The TMT1 fusion rate was 96.7% (58/60). The reoperation rate-including hardware removal, revision surgery for recurrence, and nonunion-was 16.7%. The staple breakage rate was 3.3%. The IMA improved from 15.8 to 8.9 degrees (<i>P</i> < .001), and the HVA improved from 37.5 to 17.3 degrees (<i>P</i> < .001). The average FAAM-ADL score was 81.7 out of 84, with 90% of patients reporting being very satisfied or satisfied.</p><p><strong>Conclusion: </strong>The Lapidus arthrodesis, fixed with nitinol staples, resulted in high rates of fusion and patient satisfaction.</p><p><strong>Level of evidence: </strong>IV, retrospective cohort study.</p>\",\"PeriodicalId\":12429,\"journal\":{\"name\":\"Foot & Ankle Orthopaedics\",\"volume\":\"10 3\",\"pages\":\"24730114251353789\"},\"PeriodicalIF\":0.0000,\"publicationDate\":\"2025-07-23\",\"publicationTypes\":\"Journal Article\",\"fieldsOfStudy\":null,\"isOpenAccess\":false,\"openAccessPdf\":\"https://www.ncbi.nlm.nih.gov/pmc/articles/PMC12290325/pdf/\",\"citationCount\":\"0\",\"resultStr\":null,\"platform\":\"Semanticscholar\",\"paperid\":null,\"PeriodicalName\":\"Foot & Ankle Orthopaedics\",\"FirstCategoryId\":\"1085\",\"ListUrlMain\":\"https://doi.org/10.1177/24730114251353789\",\"RegionNum\":0,\"RegionCategory\":null,\"ArticlePicture\":[],\"TitleCN\":null,\"AbstractTextCN\":null,\"PMCID\":null,\"EPubDate\":\"2025/7/1 0:00:00\",\"PubModel\":\"eCollection\",\"JCR\":\"\",\"JCRName\":\"\",\"Score\":null,\"Total\":0}","platform":"Semanticscholar","paperid":null,"PeriodicalName":"Foot & Ankle Orthopaedics","FirstCategoryId":"1085","ListUrlMain":"https://doi.org/10.1177/24730114251353789","RegionNum":0,"RegionCategory":null,"ArticlePicture":[],"TitleCN":null,"AbstractTextCN":null,"PMCID":null,"EPubDate":"2025/7/1 0:00:00","PubModel":"eCollection","JCR":"","JCRName":"","Score":null,"Total":0}
引用次数: 0

摘要

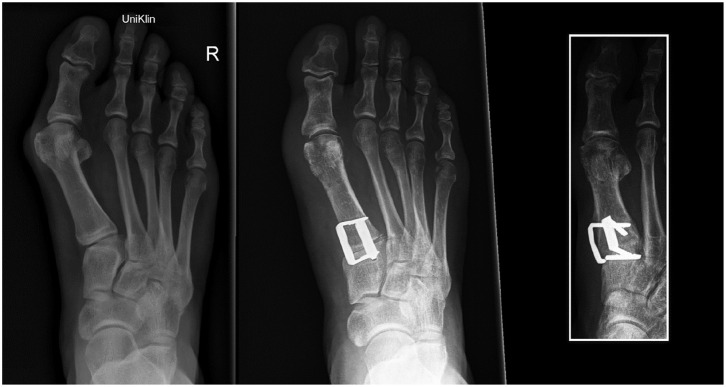
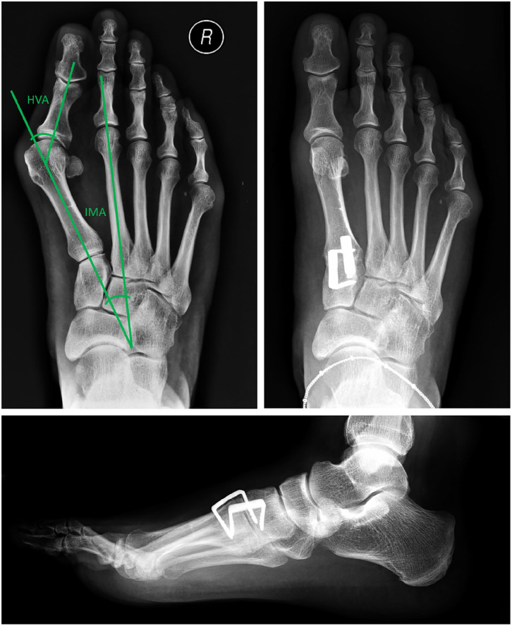
背景:本研究评估了使用两种镍钛诺钉钉进行拇外翻矫正的Lapidus关节融合术(第一跗跖关节[TMT1]融合术)的术后效果,重点关注融合率、再手术率和患者满意度。方法:对2018年6月至2022年6月间行拉皮肌关节融合术的60例患者进行分析,中位随访时间为37个月(15-64个月)。所有病例均使用两种镍钛诺钉(BME EliteTM;DePuy Synthes)用于TMT1融合。其中,38例涉及额外的足部手术,22例进行了孤立的TMT1融合。数据收集自医疗记录、x光片和电话调查。术前和术后负重跖背x线片测量拇外翻角(HVA)和跖间角(IMA)。功能结果采用足踝能力测量-日常生活活动(FAAM-ADL)亚量表进行评估,患者满意度采用4点李克特量表进行评估。结果:TMT1融合率为96.7%(58/60)。再手术率(包括硬体移除、复发翻修手术和不愈合)为16.7%。短纤维断裂率为3.3%。IMA由15.8度提高到8.9度(P P)结论:采用镍钛诺钉固定Lapidus关节融合术,融合率高,患者满意度高。证据水平:IV,回顾性队列研究。
本文章由计算机程序翻译,如有差异,请以英文原文为准。

Clinical Outcomes of Lapidus Arthrodesis With Nitinol Staples for Hallux Valgus Correction.

Clinical Outcomes of Lapidus Arthrodesis With Nitinol Staples for Hallux Valgus Correction.

Clinical Outcomes of Lapidus Arthrodesis With Nitinol Staples for Hallux Valgus Correction.

Clinical Outcomes of Lapidus Arthrodesis With Nitinol Staples for Hallux Valgus Correction.

Background: This study evaluated postoperative outcomes following Lapidus arthrodesis (fusion of the first tarsometatarsal joint [TMT1]) using two nitinol staples for hallux valgus correction, focusing on fusion rate, reoperation rate, and patient satisfaction.

Methods: A total of 60 cases undergoing Lapidus arthrodesis between June 2018 and June 2022 were analyzed with a median follow-up of 37 months (range: 15-64 months). All cases were treated using two nitinol staples (BME EliteTM; DePuy Synthes) for TMT1 fusion. Among these, 38 cases involved additional foot procedures, while 22 cases had isolated TMT1 fusion. Data were collected from medical records, radiographs, and a telephone survey. The hallux valgus angle (HVA) and intermetatarsal angle (IMA) were measured preoperatively and postoperatively on weightbearing dorsoplantar radiographs. Functional outcomes were assessed using the Foot and Ankle Ability Measure-Activities of Daily Living (FAAM-ADL) subscale, and patient satisfaction was evaluated using a 4-point Likert scale.

Results: The TMT1 fusion rate was 96.7% (58/60). The reoperation rate-including hardware removal, revision surgery for recurrence, and nonunion-was 16.7%. The staple breakage rate was 3.3%. The IMA improved from 15.8 to 8.9 degrees (P < .001), and the HVA improved from 37.5 to 17.3 degrees (P < .001). The average FAAM-ADL score was 81.7 out of 84, with 90% of patients reporting being very satisfied or satisfied.

Conclusion: The Lapidus arthrodesis, fixed with nitinol staples, resulted in high rates of fusion and patient satisfaction.

Level of evidence: IV, retrospective cohort study.

求助全文
通过发布文献求助,成功后即可免费获取论文全文。 去求助
来源期刊
Foot & Ankle Orthopaedics
Foot & Ankle Orthopaedics Medicine-Orthopedics and Sports Medicine
CiteScore
1.20
自引率
0.00%
发文量
1152
×
引用
GB/T 7714-2015
复制
MLA
复制
APA
复制
导出至
BibTeX EndNote RefMan NoteFirst NoteExpress
×
提示
您的信息不完整,为了账户安全,请先补充。
现在去补充
×
提示
您因"违规操作"
具体请查看互助需知
我知道了
×
提示
确定
请完成安全验证×
copy
已复制链接
快去分享给好友吧!
我知道了
右上角分享
点击右上角分享
0
联系我们:info@booksci.cn Book学术提供免费学术资源搜索服务,方便国内外学者检索中英文文献。致力于提供最便捷和优质的服务体验。 Copyright © 2023 布克学术 All rights reserved.
京ICP备2023020795号-1
ghs 京公网安备 11010802042870号
Book学术文献互助
Book学术文献互助群
群 号:604180095
Book学术官方微信