尿铁蛋白作为糖尿病肾病肾小管损伤的早期指标:来自NHANES和临床队列的见解

IF 3 3区 医学 Q3 ENDOCRINOLOGY & METABOLISM
Bin Huang, Xiangyu Ding, Wenjie Wen, Shandong Ye
{"title":"尿铁蛋白作为糖尿病肾病肾小管损伤的早期指标:来自NHANES和临床队列的见解","authors":"Bin Huang, Xiangyu Ding, Wenjie Wen, Shandong Ye","doi":"10.2147/DMSO.S523961","DOIUrl":null,"url":null,"abstract":"<p><strong>Objective: </strong>To investigate the association between iron metabolism disorders and diabetic kidney disease (DKD) and to evaluate the potential of urinary ferritin as an early marker of tubular injury in diabetic patients.</p><p><strong>Methods: </strong>This study utilized data from 1,306 diabetic patients and 1,306 propensity score-matched non-diabetic controls from the NHANES (2017-March 2020) dataset. Diabetic participants were classified into Non-DKD (n = 923) and DKD (n = 383) groups based on the urinary albumin-to-creatinine ratio (UACR). Binary logistic regression and restricted cubic spline models were used to evaluate the association between iron metabolism indicators and DKD risk. Additionally, renal tissue samples from 12 patients (6 with T2DM and 6 non-diabetic controls) undergoing nephrectomy were analyzed for iron accumulation and tubular injury markers. Clinical data from 35 T2DM patients (with and without DKD) and 20 matched healthy controls were included to assess urinary ferritin and tubular injury markers. Finally, 120 T1DM patients were stratified by disease duration to assess correlations between urinary ferritin and renal injury biomarkers.</p><p><strong>Results: </strong>Decreased serum iron (OR = 0.962, P = 0.037) and increased serum ferritin (OR = 1.001, P = 0.024) were identified as independent risk factors for DKD. Diabetic patients exhibited higher renal iron, urinary ferritin, and tubular injury markers, with significant correlations between renal iron and urinary ferritin levels. Urinary ferritin levels also increased with T1DM duration, significantly correlating with tubular injury markers.</p><p><strong>Conclusion: </strong>Impaired iron metabolism, characterized by low serum iron and high serum ferritin, is an independent risk factor for DKD. Urinary ferritin may serve as a biomarker of early tubular injury in diabetic patients, even in the absence of albuminuria.</p>","PeriodicalId":11116,"journal":{"name":"Diabetes, Metabolic Syndrome and Obesity: Targets and Therapy","volume":"18 ","pages":"2429-2438"},"PeriodicalIF":3.0000,"publicationDate":"2025-07-21","publicationTypes":"Journal Article","fieldsOfStudy":null,"isOpenAccess":false,"openAccessPdf":"https://www.ncbi.nlm.nih.gov/pmc/articles/PMC12297004/pdf/","citationCount":"0","resultStr":"{\"title\":\"Urinary Ferritin as an Early Indicator of Tubular Injury in Diabetic Kidney Disease: Insights from NHANES and Clinical Cohorts.\",\"authors\":\"Bin Huang, Xiangyu Ding, Wenjie Wen, Shandong Ye\",\"doi\":\"10.2147/DMSO.S523961\",\"DOIUrl\":null,\"url\":null,\"abstract\":\"<p><strong>Objective: </strong>To investigate the association between iron metabolism disorders and diabetic kidney disease (DKD) and to evaluate the potential of urinary ferritin as an early marker of tubular injury in diabetic patients.</p><p><strong>Methods: </strong>This study utilized data from 1,306 diabetic patients and 1,306 propensity score-matched non-diabetic controls from the NHANES (2017-March 2020) dataset. Diabetic participants were classified into Non-DKD (n = 923) and DKD (n = 383) groups based on the urinary albumin-to-creatinine ratio (UACR). Binary logistic regression and restricted cubic spline models were used to evaluate the association between iron metabolism indicators and DKD risk. Additionally, renal tissue samples from 12 patients (6 with T2DM and 6 non-diabetic controls) undergoing nephrectomy were analyzed for iron accumulation and tubular injury markers. Clinical data from 35 T2DM patients (with and without DKD) and 20 matched healthy controls were included to assess urinary ferritin and tubular injury markers. Finally, 120 T1DM patients were stratified by disease duration to assess correlations between urinary ferritin and renal injury biomarkers.</p><p><strong>Results: </strong>Decreased serum iron (OR = 0.962, P = 0.037) and increased serum ferritin (OR = 1.001, P = 0.024) were identified as independent risk factors for DKD. Diabetic patients exhibited higher renal iron, urinary ferritin, and tubular injury markers, with significant correlations between renal iron and urinary ferritin levels. Urinary ferritin levels also increased with T1DM duration, significantly correlating with tubular injury markers.</p><p><strong>Conclusion: </strong>Impaired iron metabolism, characterized by low serum iron and high serum ferritin, is an independent risk factor for DKD. Urinary ferritin may serve as a biomarker of early tubular injury in diabetic patients, even in the absence of albuminuria.</p>\",\"PeriodicalId\":11116,\"journal\":{\"name\":\"Diabetes, Metabolic Syndrome and Obesity: Targets and Therapy\",\"volume\":\"18 \",\"pages\":\"2429-2438\"},\"PeriodicalIF\":3.0000,\"publicationDate\":\"2025-07-21\",\"publicationTypes\":\"Journal Article\",\"fieldsOfStudy\":null,\"isOpenAccess\":false,\"openAccessPdf\":\"https://www.ncbi.nlm.nih.gov/pmc/articles/PMC12297004/pdf/\",\"citationCount\":\"0\",\"resultStr\":null,\"platform\":\"Semanticscholar\",\"paperid\":null,\"PeriodicalName\":\"Diabetes, Metabolic Syndrome and Obesity: Targets and Therapy\",\"FirstCategoryId\":\"3\",\"ListUrlMain\":\"https://doi.org/10.2147/DMSO.S523961\",\"RegionNum\":3,\"RegionCategory\":\"医学\",\"ArticlePicture\":[],\"TitleCN\":null,\"AbstractTextCN\":null,\"PMCID\":null,\"EPubDate\":\"2025/1/1 0:00:00\",\"PubModel\":\"eCollection\",\"JCR\":\"Q3\",\"JCRName\":\"ENDOCRINOLOGY & METABOLISM\",\"Score\":null,\"Total\":0}","platform":"Semanticscholar","paperid":null,"PeriodicalName":"Diabetes, Metabolic Syndrome and Obesity: Targets and Therapy","FirstCategoryId":"3","ListUrlMain":"https://doi.org/10.2147/DMSO.S523961","RegionNum":3,"RegionCategory":"医学","ArticlePicture":[],"TitleCN":null,"AbstractTextCN":null,"PMCID":null,"EPubDate":"2025/1/1 0:00:00","PubModel":"eCollection","JCR":"Q3","JCRName":"ENDOCRINOLOGY & METABOLISM","Score":null,"Total":0}
引用次数: 0

摘要

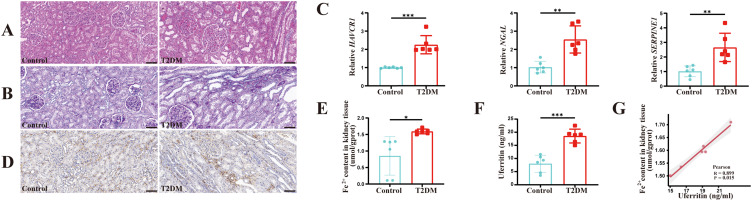
目的:探讨铁代谢紊乱与糖尿病肾病(DKD)的关系,并评价尿铁蛋白作为糖尿病肾小管损伤早期标志物的潜力。方法:本研究利用NHANES(2017- 2020年3月)数据集中1306名糖尿病患者和1306名倾向评分匹配的非糖尿病对照组的数据。糖尿病参与者根据尿白蛋白与肌酐比值(UACR)分为非DKD组(n = 923)和DKD组(n = 383)。采用二元logistic回归和限制三次样条模型评估铁代谢指标与DKD风险之间的关系。此外,对12例接受肾切除术的患者(6例T2DM和6例非糖尿病对照)的肾组织样本进行了铁积累和肾小管损伤标志物的分析。研究纳入了35例T2DM患者(伴有或不伴有DKD)和20例匹配的健康对照者的临床数据,以评估尿铁蛋白和肾小管损伤标志物。最后,根据病程对120例T1DM患者进行分层,评估尿铁蛋白与肾损伤生物标志物之间的相关性。结果:血清铁降低(OR = 0.962, P = 0.037)和血清铁蛋白升高(OR = 1.001, P = 0.024)是DKD的独立危险因素。糖尿病患者表现出较高的肾铁、尿铁蛋白和肾小管损伤标志物,肾铁和尿铁蛋白水平有显著相关性。尿铁蛋白水平也随着T1DM持续时间的增加而增加,与肾小管损伤标志物显著相关。结论:以血清铁含量低、血清铁蛋白含量高为特征的铁代谢障碍是DKD的独立危险因素。尿铁蛋白可以作为糖尿病患者早期肾小管损伤的生物标志物,即使在没有蛋白尿的情况下。
本文章由计算机程序翻译,如有差异,请以英文原文为准。

Urinary Ferritin as an Early Indicator of Tubular Injury in Diabetic Kidney Disease: Insights from NHANES and Clinical Cohorts.

Urinary Ferritin as an Early Indicator of Tubular Injury in Diabetic Kidney Disease: Insights from NHANES and Clinical Cohorts.

Urinary Ferritin as an Early Indicator of Tubular Injury in Diabetic Kidney Disease: Insights from NHANES and Clinical Cohorts.

Urinary Ferritin as an Early Indicator of Tubular Injury in Diabetic Kidney Disease: Insights from NHANES and Clinical Cohorts.

Objective: To investigate the association between iron metabolism disorders and diabetic kidney disease (DKD) and to evaluate the potential of urinary ferritin as an early marker of tubular injury in diabetic patients.

Methods: This study utilized data from 1,306 diabetic patients and 1,306 propensity score-matched non-diabetic controls from the NHANES (2017-March 2020) dataset. Diabetic participants were classified into Non-DKD (n = 923) and DKD (n = 383) groups based on the urinary albumin-to-creatinine ratio (UACR). Binary logistic regression and restricted cubic spline models were used to evaluate the association between iron metabolism indicators and DKD risk. Additionally, renal tissue samples from 12 patients (6 with T2DM and 6 non-diabetic controls) undergoing nephrectomy were analyzed for iron accumulation and tubular injury markers. Clinical data from 35 T2DM patients (with and without DKD) and 20 matched healthy controls were included to assess urinary ferritin and tubular injury markers. Finally, 120 T1DM patients were stratified by disease duration to assess correlations between urinary ferritin and renal injury biomarkers.

Results: Decreased serum iron (OR = 0.962, P = 0.037) and increased serum ferritin (OR = 1.001, P = 0.024) were identified as independent risk factors for DKD. Diabetic patients exhibited higher renal iron, urinary ferritin, and tubular injury markers, with significant correlations between renal iron and urinary ferritin levels. Urinary ferritin levels also increased with T1DM duration, significantly correlating with tubular injury markers.

Conclusion: Impaired iron metabolism, characterized by low serum iron and high serum ferritin, is an independent risk factor for DKD. Urinary ferritin may serve as a biomarker of early tubular injury in diabetic patients, even in the absence of albuminuria.

求助全文
通过发布文献求助,成功后即可免费获取论文全文。 去求助
来源期刊
Diabetes, Metabolic Syndrome and Obesity: Targets and Therapy
Diabetes, Metabolic Syndrome and Obesity: Targets and Therapy Pharmacology, Toxicology and Pharmaceutics-Pharmacology
CiteScore
5.90
自引率
6.10%
发文量
431
审稿时长
16 weeks
期刊介绍: An international, peer-reviewed, open access, online journal. The journal is committed to the rapid publication of the latest laboratory and clinical findings in the fields of diabetes, metabolic syndrome and obesity research. Original research, review, case reports, hypothesis formation, expert opinion and commentaries are all considered for publication.
×
引用
GB/T 7714-2015
复制
MLA
复制
APA
复制
导出至
BibTeX EndNote RefMan NoteFirst NoteExpress
×
提示
您的信息不完整,为了账户安全,请先补充。
现在去补充
×
提示
您因"违规操作"
具体请查看互助需知
我知道了
×
提示
确定
请完成安全验证×
copy
已复制链接
快去分享给好友吧!
我知道了
右上角分享
点击右上角分享
0
联系我们:info@booksci.cn Book学术提供免费学术资源搜索服务,方便国内外学者检索中英文文献。致力于提供最便捷和优质的服务体验。 Copyright © 2023 布克学术 All rights reserved.
京ICP备2023020795号-1
ghs 京公网安备 11010802042870号
Book学术文献互助
Book学术文献互助群
群 号:604180095
Book学术官方微信