小细胞肺癌伴囊性气隙1例报告。

IF 0.7 Q3 MEDICINE, GENERAL & INTERNAL
Case Reports in Medicine Pub Date : 2025-07-21 eCollection Date: 2025-01-01 DOI:10.1155/carm/5314337
Hirokazu Touge, Haruki Masui, Mitsuhiro Yamamoto, Tomoyuki Ikeuchi, Tomohiro Sakamoto, Katsuyuki Tomita, Akira Yamasaki
{"title":"小细胞肺癌伴囊性气隙1例报告。","authors":"Hirokazu Touge, Haruki Masui, Mitsuhiro Yamamoto, Tomoyuki Ikeuchi, Tomohiro Sakamoto, Katsuyuki Tomita, Akira Yamasaki","doi":"10.1155/carm/5314337","DOIUrl":null,"url":null,"abstract":"<p><p>Small-cell lung carcinoma (SCLC) associated with cystic airspaces is rare. We describe the case of a 68-year-old man who was referred to our hospital because of a cystic lesion detected on chest radiography. Initial computed tomography revealed a small nodule abutting the cystic airspace due to paraseptal emphysema in the right lower lobe. Histopathological examination of lymphadenopathy indicated SCLC. Postchemotherapy, recurrence appeared as a thick-walled cystic airspace with an exophytic nodule along the cyst wall, mimicking pneumonia. Additional chemotherapy, but not antibiotic therapy, led to a reduction in the wall thickness and nodules. This case emphasizes unresponsiveness to antibiotic therapy, especially in patients with risk factors, highlighting the diagnostic pitfall that may delay timely cancer treatment.</p>","PeriodicalId":9627,"journal":{"name":"Case Reports in Medicine","volume":"2025 ","pages":"5314337"},"PeriodicalIF":0.7000,"publicationDate":"2025-07-21","publicationTypes":"Journal Article","fieldsOfStudy":null,"isOpenAccess":false,"openAccessPdf":"https://www.ncbi.nlm.nih.gov/pmc/articles/PMC12303646/pdf/","citationCount":"0","resultStr":"{\"title\":\"Small-Cell Lung Carcinoma Associated With Cystic Airspaces: A Case Report.\",\"authors\":\"Hirokazu Touge, Haruki Masui, Mitsuhiro Yamamoto, Tomoyuki Ikeuchi, Tomohiro Sakamoto, Katsuyuki Tomita, Akira Yamasaki\",\"doi\":\"10.1155/carm/5314337\",\"DOIUrl\":null,\"url\":null,\"abstract\":\"<p><p>Small-cell lung carcinoma (SCLC) associated with cystic airspaces is rare. We describe the case of a 68-year-old man who was referred to our hospital because of a cystic lesion detected on chest radiography. Initial computed tomography revealed a small nodule abutting the cystic airspace due to paraseptal emphysema in the right lower lobe. Histopathological examination of lymphadenopathy indicated SCLC. Postchemotherapy, recurrence appeared as a thick-walled cystic airspace with an exophytic nodule along the cyst wall, mimicking pneumonia. Additional chemotherapy, but not antibiotic therapy, led to a reduction in the wall thickness and nodules. This case emphasizes unresponsiveness to antibiotic therapy, especially in patients with risk factors, highlighting the diagnostic pitfall that may delay timely cancer treatment.</p>\",\"PeriodicalId\":9627,\"journal\":{\"name\":\"Case Reports in Medicine\",\"volume\":\"2025 \",\"pages\":\"5314337\"},\"PeriodicalIF\":0.7000,\"publicationDate\":\"2025-07-21\",\"publicationTypes\":\"Journal Article\",\"fieldsOfStudy\":null,\"isOpenAccess\":false,\"openAccessPdf\":\"https://www.ncbi.nlm.nih.gov/pmc/articles/PMC12303646/pdf/\",\"citationCount\":\"0\",\"resultStr\":null,\"platform\":\"Semanticscholar\",\"paperid\":null,\"PeriodicalName\":\"Case Reports in Medicine\",\"FirstCategoryId\":\"1085\",\"ListUrlMain\":\"https://doi.org/10.1155/carm/5314337\",\"RegionNum\":0,\"RegionCategory\":null,\"ArticlePicture\":[],\"TitleCN\":null,\"AbstractTextCN\":null,\"PMCID\":null,\"EPubDate\":\"2025/1/1 0:00:00\",\"PubModel\":\"eCollection\",\"JCR\":\"Q3\",\"JCRName\":\"MEDICINE, GENERAL & INTERNAL\",\"Score\":null,\"Total\":0}","platform":"Semanticscholar","paperid":null,"PeriodicalName":"Case Reports in Medicine","FirstCategoryId":"1085","ListUrlMain":"https://doi.org/10.1155/carm/5314337","RegionNum":0,"RegionCategory":null,"ArticlePicture":[],"TitleCN":null,"AbstractTextCN":null,"PMCID":null,"EPubDate":"2025/1/1 0:00:00","PubModel":"eCollection","JCR":"Q3","JCRName":"MEDICINE, GENERAL & INTERNAL","Score":null,"Total":0}
引用次数: 0

摘要

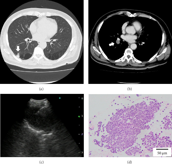
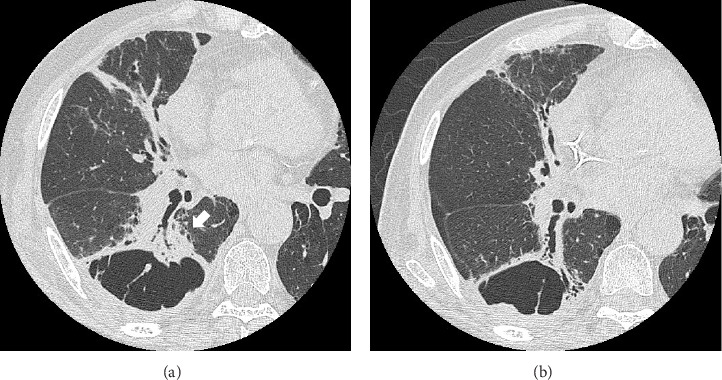
小细胞肺癌(SCLC)合并囊性气隙是罕见的。我们描述的情况下,68岁的男子谁被转介到我们医院,因为在胸部x线检查发现囊性病变。最初的计算机断层扫描显示右下叶膈旁肺气肿引起的小结节邻近囊性空域。组织病理学检查淋巴结病变提示SCLC。化疗后,复发表现为厚壁囊性空腔,囊肿壁有外生结节,类似肺炎。额外的化疗,而不是抗生素治疗,导致壁厚和结节的减少。该病例强调了对抗生素治疗的无反应性,特别是在具有危险因素的患者中,突出了可能延迟及时癌症治疗的诊断陷阱。
本文章由计算机程序翻译,如有差异,请以英文原文为准。

Small-Cell Lung Carcinoma Associated With Cystic Airspaces: A Case Report.

Small-Cell Lung Carcinoma Associated With Cystic Airspaces: A Case Report.

Small-Cell Lung Carcinoma Associated With Cystic Airspaces: A Case Report.

Small-Cell Lung Carcinoma Associated With Cystic Airspaces: A Case Report.

Small-cell lung carcinoma (SCLC) associated with cystic airspaces is rare. We describe the case of a 68-year-old man who was referred to our hospital because of a cystic lesion detected on chest radiography. Initial computed tomography revealed a small nodule abutting the cystic airspace due to paraseptal emphysema in the right lower lobe. Histopathological examination of lymphadenopathy indicated SCLC. Postchemotherapy, recurrence appeared as a thick-walled cystic airspace with an exophytic nodule along the cyst wall, mimicking pneumonia. Additional chemotherapy, but not antibiotic therapy, led to a reduction in the wall thickness and nodules. This case emphasizes unresponsiveness to antibiotic therapy, especially in patients with risk factors, highlighting the diagnostic pitfall that may delay timely cancer treatment.

求助全文
通过发布文献求助,成功后即可免费获取论文全文。 去求助
来源期刊
Case Reports in Medicine
Case Reports in Medicine MEDICINE, GENERAL & INTERNAL-
CiteScore
1.70
自引率
0.00%
发文量
53
审稿时长
13 weeks
×
引用
GB/T 7714-2015
复制
MLA
复制
APA
复制
导出至
BibTeX EndNote RefMan NoteFirst NoteExpress
×
提示
您的信息不完整,为了账户安全,请先补充。
现在去补充
×
提示
您因"违规操作"
具体请查看互助需知
我知道了
×
提示
确定
请完成安全验证×
copy
已复制链接
快去分享给好友吧!
我知道了
右上角分享
点击右上角分享
0
联系我们:info@booksci.cn Book学术提供免费学术资源搜索服务,方便国内外学者检索中英文文献。致力于提供最便捷和优质的服务体验。 Copyright © 2023 布克学术 All rights reserved.
京ICP备2023020795号-1
ghs 京公网安备 11010802042870号
Book学术文献互助
Book学术文献互助群
群 号:604180095
Book学术官方微信