萘普生治疗高温肿瘤热:在非甾体类抗炎药中突出其独特特征的病例报告。

IF 0.7 Q4 ONCOLOGY
Case Reports in Oncology Pub Date : 2025-06-27 eCollection Date: 2025-01-01 DOI:10.1159/000547114
Rui Li, Yong Chen, ChangYu Deng, Yue Li
{"title":"萘普生治疗高温肿瘤热:在非甾体类抗炎药中突出其独特特征的病例报告。","authors":"Rui Li, Yong Chen, ChangYu Deng, Yue Li","doi":"10.1159/000547114","DOIUrl":null,"url":null,"abstract":"<p><strong>Introduction: </strong>Neoplastic fever (NF) is a relatively common yet frequently underrecognized complication in patients with advanced malignancies. NF is characterized by persistent low-grade fever (typically <38.5°C) driven by tumor-associated cytokine release rather than by infectious or autoimmune causes. As a leading contributor to fever of unknown origin in oncology patients, NF is often difficult to diagnose because of its nonspecific clinical presentation and reliance on exclusion criteria. This case illustrates the diagnostic complexity of NF and highlights the clinical value of targeted antipyretic strategies to support timely oncologic decision-making.</p><p><strong>Case presentation: </strong>A 41-year-old male with stage IVC sigmoid colon adenocarcinoma presented with recurrent high-grade fever (up to 40.4°C), chills, and markedly elevated inflammatory markers (C-reactive protein [CRP]: 202.0 mg/L; procalcitonin: 3.44 ng/mL) over a 2-week period. Comprehensive infectious evaluations, including cultures, antigen testing, and imaging, were all negative. Empirical antibiotics and conventional nonsteroidal anti-inflammatory drugs (NSAIDs) (ibuprofen, diclofenac) failed to achieve sustained defervescence. After ruling out infectious and autoimmune causes and considering chemotherapy-induced tumor lysis, NF was suspected. Administration of 500 mg of naproxen (suppository) led to rapid normalization of temperature (36.4°C) and sustained defervescence. A corresponding decrease in inflammatory markers (CRP: 51.6 mg/L; procalcitonin: 1.70 ng/mL) further confirmed the diagnosis.</p><p><strong>Conclusion: </strong>This case underscores the importance of NF in cancer patients with persistent high-grade fevers who are unresponsive to antimicrobial and standard antipyretic therapies and further demonstrates the distinctive efficacy of naproxen in managing such fevers compared with conventional NSAIDs. Specifically, the rapid and sustained defervescence observed following naproxen administration not only supported the diagnosis but also facilitated the timely continuation of anticancer treatment. Therefore, early recognition of NF and appropriate use of the naproxen test may help avoid unnecessary interventions and ultimately improve patient outcomes.</p>","PeriodicalId":9625,"journal":{"name":"Case Reports in Oncology","volume":"18 1","pages":"1004-1011"},"PeriodicalIF":0.7000,"publicationDate":"2025-06-27","publicationTypes":"Journal Article","fieldsOfStudy":null,"isOpenAccess":false,"openAccessPdf":"https://www.ncbi.nlm.nih.gov/pmc/articles/PMC12303560/pdf/","citationCount":"0","resultStr":"{\"title\":\"Naproxen in High-Temperature Neoplastic Fever: A Case Report Highlighting Its Distinctive Profile among Nonsteroidal Anti-Inflammatory Drugs.\",\"authors\":\"Rui Li, Yong Chen, ChangYu Deng, Yue Li\",\"doi\":\"10.1159/000547114\",\"DOIUrl\":null,\"url\":null,\"abstract\":\"<p><strong>Introduction: </strong>Neoplastic fever (NF) is a relatively common yet frequently underrecognized complication in patients with advanced malignancies. NF is characterized by persistent low-grade fever (typically <38.5°C) driven by tumor-associated cytokine release rather than by infectious or autoimmune causes. As a leading contributor to fever of unknown origin in oncology patients, NF is often difficult to diagnose because of its nonspecific clinical presentation and reliance on exclusion criteria. This case illustrates the diagnostic complexity of NF and highlights the clinical value of targeted antipyretic strategies to support timely oncologic decision-making.</p><p><strong>Case presentation: </strong>A 41-year-old male with stage IVC sigmoid colon adenocarcinoma presented with recurrent high-grade fever (up to 40.4°C), chills, and markedly elevated inflammatory markers (C-reactive protein [CRP]: 202.0 mg/L; procalcitonin: 3.44 ng/mL) over a 2-week period. Comprehensive infectious evaluations, including cultures, antigen testing, and imaging, were all negative. Empirical antibiotics and conventional nonsteroidal anti-inflammatory drugs (NSAIDs) (ibuprofen, diclofenac) failed to achieve sustained defervescence. After ruling out infectious and autoimmune causes and considering chemotherapy-induced tumor lysis, NF was suspected. Administration of 500 mg of naproxen (suppository) led to rapid normalization of temperature (36.4°C) and sustained defervescence. A corresponding decrease in inflammatory markers (CRP: 51.6 mg/L; procalcitonin: 1.70 ng/mL) further confirmed the diagnosis.</p><p><strong>Conclusion: </strong>This case underscores the importance of NF in cancer patients with persistent high-grade fevers who are unresponsive to antimicrobial and standard antipyretic therapies and further demonstrates the distinctive efficacy of naproxen in managing such fevers compared with conventional NSAIDs. Specifically, the rapid and sustained defervescence observed following naproxen administration not only supported the diagnosis but also facilitated the timely continuation of anticancer treatment. Therefore, early recognition of NF and appropriate use of the naproxen test may help avoid unnecessary interventions and ultimately improve patient outcomes.</p>\",\"PeriodicalId\":9625,\"journal\":{\"name\":\"Case Reports in Oncology\",\"volume\":\"18 1\",\"pages\":\"1004-1011\"},\"PeriodicalIF\":0.7000,\"publicationDate\":\"2025-06-27\",\"publicationTypes\":\"Journal Article\",\"fieldsOfStudy\":null,\"isOpenAccess\":false,\"openAccessPdf\":\"https://www.ncbi.nlm.nih.gov/pmc/articles/PMC12303560/pdf/\",\"citationCount\":\"0\",\"resultStr\":null,\"platform\":\"Semanticscholar\",\"paperid\":null,\"PeriodicalName\":\"Case Reports in Oncology\",\"FirstCategoryId\":\"1085\",\"ListUrlMain\":\"https://doi.org/10.1159/000547114\",\"RegionNum\":0,\"RegionCategory\":null,\"ArticlePicture\":[],\"TitleCN\":null,\"AbstractTextCN\":null,\"PMCID\":null,\"EPubDate\":\"2025/1/1 0:00:00\",\"PubModel\":\"eCollection\",\"JCR\":\"Q4\",\"JCRName\":\"ONCOLOGY\",\"Score\":null,\"Total\":0}","platform":"Semanticscholar","paperid":null,"PeriodicalName":"Case Reports in Oncology","FirstCategoryId":"1085","ListUrlMain":"https://doi.org/10.1159/000547114","RegionNum":0,"RegionCategory":null,"ArticlePicture":[],"TitleCN":null,"AbstractTextCN":null,"PMCID":null,"EPubDate":"2025/1/1 0:00:00","PubModel":"eCollection","JCR":"Q4","JCRName":"ONCOLOGY","Score":null,"Total":0}
引用次数: 0

摘要

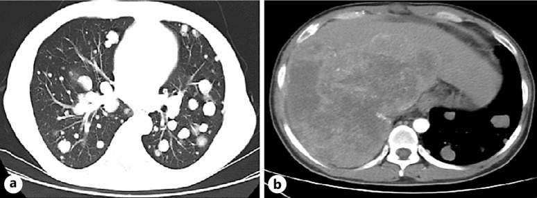
肿瘤热(NF)是晚期恶性肿瘤患者中一种相对常见但常被忽视的并发症。NF的特征是持续低烧(典型的病例表现:41岁男性伴有IVC期乙状结肠腺癌,表现为复发性高烧(高达40.4°C),发冷,炎症标志物明显升高(C反应蛋白[CRP]: 202.0 mg/L;降钙素原:3.44 ng/mL),持续2周。包括培养、抗原检测和影像学检查在内的综合感染评估均为阴性。经验性抗生素和传统的非甾体抗炎药(NSAIDs)(布洛芬、双氯芬酸)未能实现持续退热。在排除感染和自身免疫性原因并考虑化疗诱导的肿瘤溶解后,怀疑是NF。给予500 mg萘普生(栓剂)可使患者体温迅速恢复正常(36.4°C)并持续退热。炎症标志物相应降低(CRP: 51.6 mg/L;降钙素原:1.70 ng/mL)进一步证实了诊断。结论:该病例强调了NF在对抗菌药物和标准解热治疗无反应的持续性高热癌症患者中的重要性,并进一步证明了与传统非甾体抗炎药相比,萘普生在治疗此类发烧方面的独特疗效。具体来说,服用萘普生后观察到的快速和持续的退热不仅支持了诊断,而且有助于及时继续抗癌治疗。因此,早期识别NF并适当使用萘普生试验可能有助于避免不必要的干预并最终改善患者的预后。
本文章由计算机程序翻译,如有差异,请以英文原文为准。

Naproxen in High-Temperature Neoplastic Fever: A Case Report Highlighting Its Distinctive Profile among Nonsteroidal Anti-Inflammatory Drugs.

Naproxen in High-Temperature Neoplastic Fever: A Case Report Highlighting Its Distinctive Profile among Nonsteroidal Anti-Inflammatory Drugs.

Naproxen in High-Temperature Neoplastic Fever: A Case Report Highlighting Its Distinctive Profile among Nonsteroidal Anti-Inflammatory Drugs.

Naproxen in High-Temperature Neoplastic Fever: A Case Report Highlighting Its Distinctive Profile among Nonsteroidal Anti-Inflammatory Drugs.

Introduction: Neoplastic fever (NF) is a relatively common yet frequently underrecognized complication in patients with advanced malignancies. NF is characterized by persistent low-grade fever (typically <38.5°C) driven by tumor-associated cytokine release rather than by infectious or autoimmune causes. As a leading contributor to fever of unknown origin in oncology patients, NF is often difficult to diagnose because of its nonspecific clinical presentation and reliance on exclusion criteria. This case illustrates the diagnostic complexity of NF and highlights the clinical value of targeted antipyretic strategies to support timely oncologic decision-making.

Case presentation: A 41-year-old male with stage IVC sigmoid colon adenocarcinoma presented with recurrent high-grade fever (up to 40.4°C), chills, and markedly elevated inflammatory markers (C-reactive protein [CRP]: 202.0 mg/L; procalcitonin: 3.44 ng/mL) over a 2-week period. Comprehensive infectious evaluations, including cultures, antigen testing, and imaging, were all negative. Empirical antibiotics and conventional nonsteroidal anti-inflammatory drugs (NSAIDs) (ibuprofen, diclofenac) failed to achieve sustained defervescence. After ruling out infectious and autoimmune causes and considering chemotherapy-induced tumor lysis, NF was suspected. Administration of 500 mg of naproxen (suppository) led to rapid normalization of temperature (36.4°C) and sustained defervescence. A corresponding decrease in inflammatory markers (CRP: 51.6 mg/L; procalcitonin: 1.70 ng/mL) further confirmed the diagnosis.

Conclusion: This case underscores the importance of NF in cancer patients with persistent high-grade fevers who are unresponsive to antimicrobial and standard antipyretic therapies and further demonstrates the distinctive efficacy of naproxen in managing such fevers compared with conventional NSAIDs. Specifically, the rapid and sustained defervescence observed following naproxen administration not only supported the diagnosis but also facilitated the timely continuation of anticancer treatment. Therefore, early recognition of NF and appropriate use of the naproxen test may help avoid unnecessary interventions and ultimately improve patient outcomes.

求助全文
通过发布文献求助,成功后即可免费获取论文全文。 去求助
来源期刊
CiteScore
1.40
自引率
12.50%
发文量
151
审稿时长
7 weeks
×
引用
GB/T 7714-2015
复制
MLA
复制
APA
复制
导出至
BibTeX EndNote RefMan NoteFirst NoteExpress
×
提示
您的信息不完整,为了账户安全,请先补充。
现在去补充
×
提示
您因"违规操作"
具体请查看互助需知
我知道了
×
提示
确定
请完成安全验证×
copy
已复制链接
快去分享给好友吧!
我知道了
右上角分享
点击右上角分享
0
联系我们:info@booksci.cn Book学术提供免费学术资源搜索服务,方便国内外学者检索中英文文献。致力于提供最便捷和优质的服务体验。 Copyright © 2023 布克学术 All rights reserved.
京ICP备2023020795号-1
ghs 京公网安备 11010802042870号
Book学术文献互助
Book学术文献互助群
群 号:604180095
Book学术官方微信