嗜血球性淋巴组织细胞增多症患者的双侧Parsonage-Turner综合征。

IF 0.9 Q4 CLINICAL NEUROLOGY
Case Reports in Neurological Medicine Pub Date : 2025-07-21 eCollection Date: 2025-01-01 DOI:10.1155/crnm/6652600
Nader Pahlevan, Delora E Denney, Ezekiel Gonzalez-Fernandez, Oriana Sanchez, Mark Anderson
{"title":"嗜血球性淋巴组织细胞增多症患者的双侧Parsonage-Turner综合征。","authors":"Nader Pahlevan, Delora E Denney, Ezekiel Gonzalez-Fernandez, Oriana Sanchez, Mark Anderson","doi":"10.1155/crnm/6652600","DOIUrl":null,"url":null,"abstract":"<p><p><b>Introduction:</b> Parsonage-Turner syndrome (PTS), also known as idiopathic brachial plexopathy, is an uncommon peripheral neuropathy, and the presentation of bilateral PTS is even rarer. Hemophagocytic lymphohistiocytosis (HLH) is a hyperinflammatory disorder that is normally considered hematologic but can involve the nervous system in up to 70% of cases. <b>Case Presentation:</b> A 56-year-old Caucasian female with a history of SLE, rheumatoid arthritis, Sjogren's disease, and Hashimoto's thyroiditis, but no prior neurologic history, was admitted for the management of isolated thrombocytopenia, diagnosed with HLH, and then developed bilateral upper extremity pain, weakness, and numbness. A diagnosis of bilateral PTS was supported by magnetic resonance imaging (MRI) findings of mild symmetric increased enhancement in the bilateral shoulder muscles, and electromyography/nerve conduction study (EMG/NCS) revealed active denervation in the shoulder muscles bilaterally. The patient was started on methylprednisolone 1000 mg for three days, followed by a long steroid taper along with physical/occupational therapy with significant improvement of her symptoms. <b>Conclusion:</b> It is important to maintain a high index of suspicion for PTS in patients with new-onset shoulder or upper arm pain, weakness, and sensory deficits, even if findings are bilateral. Concomitant inflammatory disorders, infection, and recent surgeries/procedures should prompt a high degree of suspicion of this disorder, and the use of relevant diagnostics, such as MRI brachial plexus and EMG/NCS, should help guide diagnosis, as this condition is very responsive to treatment.</p>","PeriodicalId":9615,"journal":{"name":"Case Reports in Neurological Medicine","volume":"2025 ","pages":"6652600"},"PeriodicalIF":0.9000,"publicationDate":"2025-07-21","publicationTypes":"Journal Article","fieldsOfStudy":null,"isOpenAccess":false,"openAccessPdf":"https://www.ncbi.nlm.nih.gov/pmc/articles/PMC12303629/pdf/","citationCount":"0","resultStr":"{\"title\":\"Bilateral Parsonage-Turner Syndrome in a Patient With Hemophagocytic Lymphohistiocytosis.\",\"authors\":\"Nader Pahlevan, Delora E Denney, Ezekiel Gonzalez-Fernandez, Oriana Sanchez, Mark Anderson\",\"doi\":\"10.1155/crnm/6652600\",\"DOIUrl\":null,\"url\":null,\"abstract\":\"<p><p><b>Introduction:</b> Parsonage-Turner syndrome (PTS), also known as idiopathic brachial plexopathy, is an uncommon peripheral neuropathy, and the presentation of bilateral PTS is even rarer. Hemophagocytic lymphohistiocytosis (HLH) is a hyperinflammatory disorder that is normally considered hematologic but can involve the nervous system in up to 70% of cases. <b>Case Presentation:</b> A 56-year-old Caucasian female with a history of SLE, rheumatoid arthritis, Sjogren's disease, and Hashimoto's thyroiditis, but no prior neurologic history, was admitted for the management of isolated thrombocytopenia, diagnosed with HLH, and then developed bilateral upper extremity pain, weakness, and numbness. A diagnosis of bilateral PTS was supported by magnetic resonance imaging (MRI) findings of mild symmetric increased enhancement in the bilateral shoulder muscles, and electromyography/nerve conduction study (EMG/NCS) revealed active denervation in the shoulder muscles bilaterally. The patient was started on methylprednisolone 1000 mg for three days, followed by a long steroid taper along with physical/occupational therapy with significant improvement of her symptoms. <b>Conclusion:</b> It is important to maintain a high index of suspicion for PTS in patients with new-onset shoulder or upper arm pain, weakness, and sensory deficits, even if findings are bilateral. Concomitant inflammatory disorders, infection, and recent surgeries/procedures should prompt a high degree of suspicion of this disorder, and the use of relevant diagnostics, such as MRI brachial plexus and EMG/NCS, should help guide diagnosis, as this condition is very responsive to treatment.</p>\",\"PeriodicalId\":9615,\"journal\":{\"name\":\"Case Reports in Neurological Medicine\",\"volume\":\"2025 \",\"pages\":\"6652600\"},\"PeriodicalIF\":0.9000,\"publicationDate\":\"2025-07-21\",\"publicationTypes\":\"Journal Article\",\"fieldsOfStudy\":null,\"isOpenAccess\":false,\"openAccessPdf\":\"https://www.ncbi.nlm.nih.gov/pmc/articles/PMC12303629/pdf/\",\"citationCount\":\"0\",\"resultStr\":null,\"platform\":\"Semanticscholar\",\"paperid\":null,\"PeriodicalName\":\"Case Reports in Neurological Medicine\",\"FirstCategoryId\":\"1085\",\"ListUrlMain\":\"https://doi.org/10.1155/crnm/6652600\",\"RegionNum\":0,\"RegionCategory\":null,\"ArticlePicture\":[],\"TitleCN\":null,\"AbstractTextCN\":null,\"PMCID\":null,\"EPubDate\":\"2025/1/1 0:00:00\",\"PubModel\":\"eCollection\",\"JCR\":\"Q4\",\"JCRName\":\"CLINICAL NEUROLOGY\",\"Score\":null,\"Total\":0}","platform":"Semanticscholar","paperid":null,"PeriodicalName":"Case Reports in Neurological Medicine","FirstCategoryId":"1085","ListUrlMain":"https://doi.org/10.1155/crnm/6652600","RegionNum":0,"RegionCategory":null,"ArticlePicture":[],"TitleCN":null,"AbstractTextCN":null,"PMCID":null,"EPubDate":"2025/1/1 0:00:00","PubModel":"eCollection","JCR":"Q4","JCRName":"CLINICAL NEUROLOGY","Score":null,"Total":0}
引用次数: 0

摘要

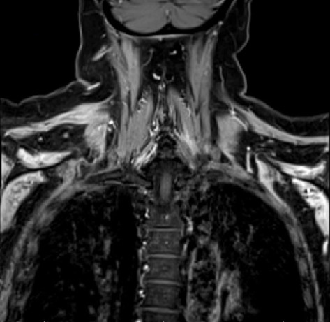
简介:帕森纳-特纳综合征(PTS),也被称为特发性臂丛病,是一种不常见的周围神经病变,双侧PTS的表现更为罕见。嗜血球性淋巴组织细胞增多症(HLH)是一种通常被认为是血液学的高炎症性疾病,但在高达70%的病例中可累及神经系统。病例介绍:56岁白人女性,有SLE、类风湿关节炎、干燥病和桥本甲状腺炎病史,无神经系统病史,因孤立性血小板减少症入院治疗,诊断为HLH,后出现双侧上肢疼痛、无力和麻木。磁共振成像(MRI)显示双侧肩部肌肉轻度对称增强,肌电图/神经传导研究(EMG/NCS)显示双侧肩部肌肉主动失神经支配,支持双侧PTS的诊断。患者开始使用甲基强的松龙1000毫克,连续3天,随后长期逐渐减少类固醇治疗,同时进行物理/职业治疗,症状明显改善。结论:对于新发肩或上臂疼痛、虚弱和感觉缺陷的患者,保持高度的PTS怀疑指数是很重要的,即使发现是双侧的。伴随的炎症性疾病、感染和最近的手术/手术应引起对这种疾病的高度怀疑,并使用相关的诊断方法,如MRI臂丛和肌电图/神经电图,应有助于指导诊断,因为这种情况对治疗非常敏感。
本文章由计算机程序翻译,如有差异,请以英文原文为准。

Bilateral Parsonage-Turner Syndrome in a Patient With Hemophagocytic Lymphohistiocytosis.

Bilateral Parsonage-Turner Syndrome in a Patient With Hemophagocytic Lymphohistiocytosis.

Bilateral Parsonage-Turner Syndrome in a Patient With Hemophagocytic Lymphohistiocytosis.

Introduction: Parsonage-Turner syndrome (PTS), also known as idiopathic brachial plexopathy, is an uncommon peripheral neuropathy, and the presentation of bilateral PTS is even rarer. Hemophagocytic lymphohistiocytosis (HLH) is a hyperinflammatory disorder that is normally considered hematologic but can involve the nervous system in up to 70% of cases. Case Presentation: A 56-year-old Caucasian female with a history of SLE, rheumatoid arthritis, Sjogren's disease, and Hashimoto's thyroiditis, but no prior neurologic history, was admitted for the management of isolated thrombocytopenia, diagnosed with HLH, and then developed bilateral upper extremity pain, weakness, and numbness. A diagnosis of bilateral PTS was supported by magnetic resonance imaging (MRI) findings of mild symmetric increased enhancement in the bilateral shoulder muscles, and electromyography/nerve conduction study (EMG/NCS) revealed active denervation in the shoulder muscles bilaterally. The patient was started on methylprednisolone 1000 mg for three days, followed by a long steroid taper along with physical/occupational therapy with significant improvement of her symptoms. Conclusion: It is important to maintain a high index of suspicion for PTS in patients with new-onset shoulder or upper arm pain, weakness, and sensory deficits, even if findings are bilateral. Concomitant inflammatory disorders, infection, and recent surgeries/procedures should prompt a high degree of suspicion of this disorder, and the use of relevant diagnostics, such as MRI brachial plexus and EMG/NCS, should help guide diagnosis, as this condition is very responsive to treatment.

求助全文
通过发布文献求助,成功后即可免费获取论文全文。 去求助
来源期刊
自引率
0.00%
发文量
26
审稿时长
11 weeks
×
引用
GB/T 7714-2015
复制
MLA
复制
APA
复制
导出至
BibTeX EndNote RefMan NoteFirst NoteExpress
×
提示
您的信息不完整,为了账户安全,请先补充。
现在去补充
×
提示
您因"违规操作"
具体请查看互助需知
我知道了
×
提示
确定
请完成安全验证×
copy
已复制链接
快去分享给好友吧!
我知道了
右上角分享
点击右上角分享
0
联系我们:info@booksci.cn Book学术提供免费学术资源搜索服务,方便国内外学者检索中英文文献。致力于提供最便捷和优质的服务体验。 Copyright © 2023 布克学术 All rights reserved.
京ICP备2023020795号-1
ghs 京公网安备 11010802042870号
Book学术文献互助
Book学术文献互助群
群 号:604180095
Book学术官方微信