医学罕见:免疫正常患者脑垂体分离弓形虫脓肿。

IF 0.8 Q4 INFECTIOUS DISEASES
Case Reports in Infectious Diseases Pub Date : 2025-07-21 eCollection Date: 2025-01-01 DOI:10.1155/crdi/9943637
Erlend Moen Taule, Hrvoje Miletic, Rupavathana Mahesparan
{"title":"医学罕见:免疫正常患者脑垂体分离弓形虫脓肿。","authors":"Erlend Moen Taule, Hrvoje Miletic, Rupavathana Mahesparan","doi":"10.1155/crdi/9943637","DOIUrl":null,"url":null,"abstract":"<p><p>The occurrence of sellar toxoplasmosis in the pituitary gland is exceedingly rare, and only a few reports have been published in the literature, primarily impacting immunocompromised patients. We report an intriguing case of a 54-year-old man with an initial asymptomatic panhypopituitarism diagnosed under investigation for urolithiasis. Cranial CT and MRI revealed a large sellar lesion first suspectable of a nonfunctioning pituitary macroadenoma. An endonasal transsphenoidal surgery was performed, and the histopathological diagnosis was surprisingly a pituitary <i>Toxoplasma gondii</i> abscess. This case highlights that these types of infections can also occur in immunocompetent patients.</p>","PeriodicalId":9608,"journal":{"name":"Case Reports in Infectious Diseases","volume":"2025 ","pages":"9943637"},"PeriodicalIF":0.8000,"publicationDate":"2025-07-21","publicationTypes":"Journal Article","fieldsOfStudy":null,"isOpenAccess":false,"openAccessPdf":"https://www.ncbi.nlm.nih.gov/pmc/articles/PMC12303648/pdf/","citationCount":"0","resultStr":"{\"title\":\"A Medical Rarity: Isolated <i>Toxoplasma gondii</i> Abscess in the Pituitary Gland of an Immunocompetent Patient.\",\"authors\":\"Erlend Moen Taule, Hrvoje Miletic, Rupavathana Mahesparan\",\"doi\":\"10.1155/crdi/9943637\",\"DOIUrl\":null,\"url\":null,\"abstract\":\"<p><p>The occurrence of sellar toxoplasmosis in the pituitary gland is exceedingly rare, and only a few reports have been published in the literature, primarily impacting immunocompromised patients. We report an intriguing case of a 54-year-old man with an initial asymptomatic panhypopituitarism diagnosed under investigation for urolithiasis. Cranial CT and MRI revealed a large sellar lesion first suspectable of a nonfunctioning pituitary macroadenoma. An endonasal transsphenoidal surgery was performed, and the histopathological diagnosis was surprisingly a pituitary <i>Toxoplasma gondii</i> abscess. This case highlights that these types of infections can also occur in immunocompetent patients.</p>\",\"PeriodicalId\":9608,\"journal\":{\"name\":\"Case Reports in Infectious Diseases\",\"volume\":\"2025 \",\"pages\":\"9943637\"},\"PeriodicalIF\":0.8000,\"publicationDate\":\"2025-07-21\",\"publicationTypes\":\"Journal Article\",\"fieldsOfStudy\":null,\"isOpenAccess\":false,\"openAccessPdf\":\"https://www.ncbi.nlm.nih.gov/pmc/articles/PMC12303648/pdf/\",\"citationCount\":\"0\",\"resultStr\":null,\"platform\":\"Semanticscholar\",\"paperid\":null,\"PeriodicalName\":\"Case Reports in Infectious Diseases\",\"FirstCategoryId\":\"1085\",\"ListUrlMain\":\"https://doi.org/10.1155/crdi/9943637\",\"RegionNum\":0,\"RegionCategory\":null,\"ArticlePicture\":[],\"TitleCN\":null,\"AbstractTextCN\":null,\"PMCID\":null,\"EPubDate\":\"2025/1/1 0:00:00\",\"PubModel\":\"eCollection\",\"JCR\":\"Q4\",\"JCRName\":\"INFECTIOUS DISEASES\",\"Score\":null,\"Total\":0}","platform":"Semanticscholar","paperid":null,"PeriodicalName":"Case Reports in Infectious Diseases","FirstCategoryId":"1085","ListUrlMain":"https://doi.org/10.1155/crdi/9943637","RegionNum":0,"RegionCategory":null,"ArticlePicture":[],"TitleCN":null,"AbstractTextCN":null,"PMCID":null,"EPubDate":"2025/1/1 0:00:00","PubModel":"eCollection","JCR":"Q4","JCRName":"INFECTIOUS DISEASES","Score":null,"Total":0}
引用次数: 0

摘要

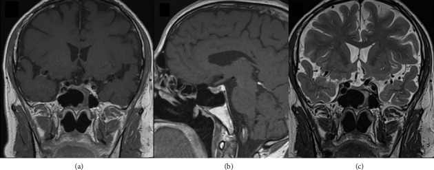
鞍形弓形体病在垂体中的发生极为罕见,文献中仅有少数报道,主要影响免疫功能低下的患者。我们报告一个有趣的情况下,54岁的男子与最初的无症状全垂体功能低下诊断在调查尿石症。头颅CT及MRI显示一大片鞍区病变,初步怀疑为无功能的垂体大腺瘤。经鼻内蝶窦手术,组织病理诊断为垂体刚地弓形虫脓肿。本病例强调,这些类型的感染也可发生在免疫功能正常的患者。
本文章由计算机程序翻译,如有差异,请以英文原文为准。

A Medical Rarity: Isolated <i>Toxoplasma gondii</i> Abscess in the Pituitary Gland of an Immunocompetent Patient.

A Medical Rarity: Isolated <i>Toxoplasma gondii</i> Abscess in the Pituitary Gland of an Immunocompetent Patient.

A Medical Rarity: Isolated <i>Toxoplasma gondii</i> Abscess in the Pituitary Gland of an Immunocompetent Patient.

A Medical Rarity: Isolated Toxoplasma gondii Abscess in the Pituitary Gland of an Immunocompetent Patient.

The occurrence of sellar toxoplasmosis in the pituitary gland is exceedingly rare, and only a few reports have been published in the literature, primarily impacting immunocompromised patients. We report an intriguing case of a 54-year-old man with an initial asymptomatic panhypopituitarism diagnosed under investigation for urolithiasis. Cranial CT and MRI revealed a large sellar lesion first suspectable of a nonfunctioning pituitary macroadenoma. An endonasal transsphenoidal surgery was performed, and the histopathological diagnosis was surprisingly a pituitary Toxoplasma gondii abscess. This case highlights that these types of infections can also occur in immunocompetent patients.

求助全文
通过发布文献求助,成功后即可免费获取论文全文。 去求助
来源期刊
自引率
0.00%
发文量
64
审稿时长
13 weeks
×
引用
GB/T 7714-2015
复制
MLA
复制
APA
复制
导出至
BibTeX EndNote RefMan NoteFirst NoteExpress
×
提示
您的信息不完整,为了账户安全,请先补充。
现在去补充
×
提示
您因"违规操作"
具体请查看互助需知
我知道了
×
提示
确定
请完成安全验证×
copy
已复制链接
快去分享给好友吧!
我知道了
右上角分享
点击右上角分享
0
联系我们:info@booksci.cn Book学术提供免费学术资源搜索服务,方便国内外学者检索中英文文献。致力于提供最便捷和优质的服务体验。 Copyright © 2023 布克学术 All rights reserved.
京ICP备2023020795号-1
ghs 京公网安备 11010802042870号
Book学术文献互助
Book学术文献互助群
群 号:604180095
Book学术官方微信