盆腔静脉曲张放射栓塞后肺胶栓塞1例。

IF 2.8 3区 医学 Q2 RESPIRATORY SYSTEM
Elise Longueville, Sandra Dury, Julien Ancel, Jonathan Attali, Rahma Larad-Riffault, Camille Pierrot, Jeanne-Marie Perotin, Gaetan Deslee
{"title":"盆腔静脉曲张放射栓塞后肺胶栓塞1例。","authors":"Elise Longueville, Sandra Dury, Julien Ancel, Jonathan Attali, Rahma Larad-Riffault, Camille Pierrot, Jeanne-Marie Perotin, Gaetan Deslee","doi":"10.1186/s12890-025-03867-8","DOIUrl":null,"url":null,"abstract":"<p><strong>Background: </strong>Non-thrombotic pulmonary embolism (NTPE) is defined as embolization in the pulmonary circulation of biological or non-biological substances and foreign bodies. The migration of glue in the pulmonary circulation during interventional procedures is unusual and has been reported mainly after gastroenterological procedures. The most severe cases of NTPE can be life-threatening.</p><p><strong>Case presentation: </strong>A 31-year-old woman developed respiratory failure 24 h after radiological embolization of pelvic varices. Glue embolization was detected during the intervention and was confirmed on a chest CT scan showing multiple bilateral hyperdense elements up to sub-pleural regions. The patient developed respiratory symptoms 24 h after the procedure, progressively worsening with oxygen requirement up to 6 L/min. A follow-up chest CT angiography showed a thrombotic pulmonary embolism. Treatments included curative anticoagulation, antibiotherapy, corticosteroids, and oxygen, leading to improvement after 10 days of treatment.</p><p><strong>Conclusions: </strong>This case report highlights that NTPE can occur after all interventional procedures using glue including pelvic procedures and can be complicated by thrombotic pulmonary embolism.</p>","PeriodicalId":9148,"journal":{"name":"BMC Pulmonary Medicine","volume":"25 1","pages":"360"},"PeriodicalIF":2.8000,"publicationDate":"2025-07-28","publicationTypes":"Journal Article","fieldsOfStudy":null,"isOpenAccess":false,"openAccessPdf":"https://www.ncbi.nlm.nih.gov/pmc/articles/PMC12302744/pdf/","citationCount":"0","resultStr":"{\"title\":\"Pulmonary glue embolism after radiological embolization of pelvic varices: a case report.\",\"authors\":\"Elise Longueville, Sandra Dury, Julien Ancel, Jonathan Attali, Rahma Larad-Riffault, Camille Pierrot, Jeanne-Marie Perotin, Gaetan Deslee\",\"doi\":\"10.1186/s12890-025-03867-8\",\"DOIUrl\":null,\"url\":null,\"abstract\":\"<p><strong>Background: </strong>Non-thrombotic pulmonary embolism (NTPE) is defined as embolization in the pulmonary circulation of biological or non-biological substances and foreign bodies. The migration of glue in the pulmonary circulation during interventional procedures is unusual and has been reported mainly after gastroenterological procedures. The most severe cases of NTPE can be life-threatening.</p><p><strong>Case presentation: </strong>A 31-year-old woman developed respiratory failure 24 h after radiological embolization of pelvic varices. Glue embolization was detected during the intervention and was confirmed on a chest CT scan showing multiple bilateral hyperdense elements up to sub-pleural regions. The patient developed respiratory symptoms 24 h after the procedure, progressively worsening with oxygen requirement up to 6 L/min. A follow-up chest CT angiography showed a thrombotic pulmonary embolism. Treatments included curative anticoagulation, antibiotherapy, corticosteroids, and oxygen, leading to improvement after 10 days of treatment.</p><p><strong>Conclusions: </strong>This case report highlights that NTPE can occur after all interventional procedures using glue including pelvic procedures and can be complicated by thrombotic pulmonary embolism.</p>\",\"PeriodicalId\":9148,\"journal\":{\"name\":\"BMC Pulmonary Medicine\",\"volume\":\"25 1\",\"pages\":\"360\"},\"PeriodicalIF\":2.8000,\"publicationDate\":\"2025-07-28\",\"publicationTypes\":\"Journal Article\",\"fieldsOfStudy\":null,\"isOpenAccess\":false,\"openAccessPdf\":\"https://www.ncbi.nlm.nih.gov/pmc/articles/PMC12302744/pdf/\",\"citationCount\":\"0\",\"resultStr\":null,\"platform\":\"Semanticscholar\",\"paperid\":null,\"PeriodicalName\":\"BMC Pulmonary Medicine\",\"FirstCategoryId\":\"3\",\"ListUrlMain\":\"https://doi.org/10.1186/s12890-025-03867-8\",\"RegionNum\":3,\"RegionCategory\":\"医学\",\"ArticlePicture\":[],\"TitleCN\":null,\"AbstractTextCN\":null,\"PMCID\":null,\"EPubDate\":\"\",\"PubModel\":\"\",\"JCR\":\"Q2\",\"JCRName\":\"RESPIRATORY SYSTEM\",\"Score\":null,\"Total\":0}","platform":"Semanticscholar","paperid":null,"PeriodicalName":"BMC Pulmonary Medicine","FirstCategoryId":"3","ListUrlMain":"https://doi.org/10.1186/s12890-025-03867-8","RegionNum":3,"RegionCategory":"医学","ArticlePicture":[],"TitleCN":null,"AbstractTextCN":null,"PMCID":null,"EPubDate":"","PubModel":"","JCR":"Q2","JCRName":"RESPIRATORY SYSTEM","Score":null,"Total":0}
引用次数: 0

摘要

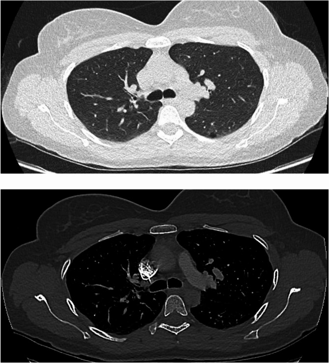
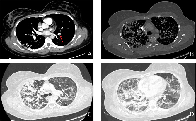
背景:非血栓性肺栓塞(NTPE)被定义为生物或非生物物质和异物在肺循环中的栓塞。在介入手术中,肺循环中胶的迁移是不寻常的,并且主要在胃肠病学手术后报道。NTPE最严重的病例可能危及生命。病例介绍:一名31岁女性在盆腔静脉曲张放射栓塞24小时后出现呼吸衰竭。在干预期间检测到胶栓塞,并在胸部CT扫描上证实显示多个双侧高密度元素直至胸膜下区域。患者在手术后24小时出现呼吸道症状,逐渐恶化,需氧量高达6 L/min。随后的胸部CT血管造影显示血栓性肺栓塞。治疗包括抗凝治疗、抗生素治疗、皮质类固醇和氧气治疗,治疗10天后病情有所改善。结论:本病例报告强调,NTPE可发生在所有使用胶水的介入手术后,包括骨盆手术,并可并发血栓性肺栓塞。
本文章由计算机程序翻译,如有差异,请以英文原文为准。

Pulmonary glue embolism after radiological embolization of pelvic varices: a case report.

Pulmonary glue embolism after radiological embolization of pelvic varices: a case report.

Pulmonary glue embolism after radiological embolization of pelvic varices: a case report.

Pulmonary glue embolism after radiological embolization of pelvic varices: a case report.

Background: Non-thrombotic pulmonary embolism (NTPE) is defined as embolization in the pulmonary circulation of biological or non-biological substances and foreign bodies. The migration of glue in the pulmonary circulation during interventional procedures is unusual and has been reported mainly after gastroenterological procedures. The most severe cases of NTPE can be life-threatening.

Case presentation: A 31-year-old woman developed respiratory failure 24 h after radiological embolization of pelvic varices. Glue embolization was detected during the intervention and was confirmed on a chest CT scan showing multiple bilateral hyperdense elements up to sub-pleural regions. The patient developed respiratory symptoms 24 h after the procedure, progressively worsening with oxygen requirement up to 6 L/min. A follow-up chest CT angiography showed a thrombotic pulmonary embolism. Treatments included curative anticoagulation, antibiotherapy, corticosteroids, and oxygen, leading to improvement after 10 days of treatment.

Conclusions: This case report highlights that NTPE can occur after all interventional procedures using glue including pelvic procedures and can be complicated by thrombotic pulmonary embolism.

求助全文
通过发布文献求助,成功后即可免费获取论文全文。 去求助
来源期刊
BMC Pulmonary Medicine
BMC Pulmonary Medicine RESPIRATORY SYSTEM-
CiteScore
4.40
自引率
3.20%
发文量
423
审稿时长
6-12 weeks
期刊介绍: BMC Pulmonary Medicine is an open access, peer-reviewed journal that considers articles on all aspects of the prevention, diagnosis and management of pulmonary and associated disorders, as well as related molecular genetics, pathophysiology, and epidemiology.
×
引用
GB/T 7714-2015
复制
MLA
复制
APA
复制
导出至
BibTeX EndNote RefMan NoteFirst NoteExpress
×
提示
您的信息不完整,为了账户安全,请先补充。
现在去补充
×
提示
您因"违规操作"
具体请查看互助需知
我知道了
×
提示
确定
请完成安全验证×
copy
已复制链接
快去分享给好友吧!
我知道了
右上角分享
点击右上角分享
0
联系我们:info@booksci.cn Book学术提供免费学术资源搜索服务,方便国内外学者检索中英文文献。致力于提供最便捷和优质的服务体验。 Copyright © 2023 布克学术 All rights reserved.
京ICP备2023020795号-1
ghs 京公网安备 11010802042870号
Book学术文献互助
Book学术文献互助群
群 号:604180095
Book学术官方微信