水提物对Wistar大鼠生化及血液指标的急性及亚急性毒性研究。

IF 3.4 2区 医学 Q1 INTEGRATIVE & COMPLEMENTARY MEDICINE
David Miaffo, Oulianovie Guessom Kamgue, Kilenma Kolefer, Elizé Dadaya, Talba Abba Mahamad, Barthelemy Maidadi, Albert Kamanyi
{"title":"水提物对Wistar大鼠生化及血液指标的急性及亚急性毒性研究。","authors":"David Miaffo, Oulianovie Guessom Kamgue, Kilenma Kolefer, Elizé Dadaya, Talba Abba Mahamad, Barthelemy Maidadi, Albert Kamanyi","doi":"10.1186/s12906-025-05027-1","DOIUrl":null,"url":null,"abstract":"<p><strong>Background: </strong>Cissus polyantha (C. polyantha) Glig and Bradt is a climbing plant of the Vitaceae family generally distributed in tropical regions and used in traditional African pharmacopoeia for the treatment of conjunctivitis, pain, inflammation, microbial diseases and diabetes mellitus. The aim of this study was to evaluate the acute and subacute toxicity of the aqueous extract from leafy stems of C. polyantha (AECP) in rats.</p><p><strong>Methods: </strong>In acute toxicity, AECP was administered orally at a single dose of 2000 mg/kg. Clinical signs, general behavior and mortality were assessed for 14 days. In subacute toxicity, AECP at 111, 222 and 444 mg/kg was administered orally for 28 days. Body weight, internal organ weight, water intake, food consumption, biochemical parameters, hematological profile and histological examinations were evaluated.</p><p><strong>Results: </strong>Acute toxicity results showed no signs of poisoning and no mortality. The mean lethal dose (LD<sub>50</sub>) of AECP was therefore greater than 2000 mg/kg. In subacute toxicity, a significant increase in body weight, water and food consumption, liver weight and lymphocyte counts as well as a decrease in ALT activity and creatinine levels were recorded in rats of both sexes treated at 222 and/or 444 mg/kg. AECP caused a notable reduction in uric acid, total cholesterol and triglycerides at all doses tested. Histopathological analysis of rat kidneys shows slight mesengial hyperplasia at 444 mg/kg. However, all other parameters evaluated did not experience significant variation after AECP administration at all doses.</p><p><strong>Conclusions: </strong>In acute toxicity, the LD<sub>50</sub> is greater than 2000 mg/kg, so AECP is of low toxicity. In subacute toxicity, only the dose of 444 mg/kg of AECP resulted in decreased body weight, water and food consumption, and increased liver weight, ALT activity, and lymphocyte counts. Doses below 444 mg/kg may therefore be safe.</p>","PeriodicalId":9128,"journal":{"name":"BMC Complementary Medicine and Therapies","volume":"25 1","pages":"288"},"PeriodicalIF":3.4000,"publicationDate":"2025-07-28","publicationTypes":"Journal Article","fieldsOfStudy":null,"isOpenAccess":false,"openAccessPdf":"https://www.ncbi.nlm.nih.gov/pmc/articles/PMC12302864/pdf/","citationCount":"0","resultStr":"{\"title\":\"Acute and subacute toxicity of the aqueous extract of Cissus Polyantha Glig and Bradt (Vitaceae) on biochemical and hematological parameters in Wistar rats.\",\"authors\":\"David Miaffo, Oulianovie Guessom Kamgue, Kilenma Kolefer, Elizé Dadaya, Talba Abba Mahamad, Barthelemy Maidadi, Albert Kamanyi\",\"doi\":\"10.1186/s12906-025-05027-1\",\"DOIUrl\":null,\"url\":null,\"abstract\":\"<p><strong>Background: </strong>Cissus polyantha (C. polyantha) Glig and Bradt is a climbing plant of the Vitaceae family generally distributed in tropical regions and used in traditional African pharmacopoeia for the treatment of conjunctivitis, pain, inflammation, microbial diseases and diabetes mellitus. The aim of this study was to evaluate the acute and subacute toxicity of the aqueous extract from leafy stems of C. polyantha (AECP) in rats.</p><p><strong>Methods: </strong>In acute toxicity, AECP was administered orally at a single dose of 2000 mg/kg. Clinical signs, general behavior and mortality were assessed for 14 days. In subacute toxicity, AECP at 111, 222 and 444 mg/kg was administered orally for 28 days. Body weight, internal organ weight, water intake, food consumption, biochemical parameters, hematological profile and histological examinations were evaluated.</p><p><strong>Results: </strong>Acute toxicity results showed no signs of poisoning and no mortality. The mean lethal dose (LD<sub>50</sub>) of AECP was therefore greater than 2000 mg/kg. In subacute toxicity, a significant increase in body weight, water and food consumption, liver weight and lymphocyte counts as well as a decrease in ALT activity and creatinine levels were recorded in rats of both sexes treated at 222 and/or 444 mg/kg. AECP caused a notable reduction in uric acid, total cholesterol and triglycerides at all doses tested. Histopathological analysis of rat kidneys shows slight mesengial hyperplasia at 444 mg/kg. However, all other parameters evaluated did not experience significant variation after AECP administration at all doses.</p><p><strong>Conclusions: </strong>In acute toxicity, the LD<sub>50</sub> is greater than 2000 mg/kg, so AECP is of low toxicity. In subacute toxicity, only the dose of 444 mg/kg of AECP resulted in decreased body weight, water and food consumption, and increased liver weight, ALT activity, and lymphocyte counts. Doses below 444 mg/kg may therefore be safe.</p>\",\"PeriodicalId\":9128,\"journal\":{\"name\":\"BMC Complementary Medicine and Therapies\",\"volume\":\"25 1\",\"pages\":\"288\"},\"PeriodicalIF\":3.4000,\"publicationDate\":\"2025-07-28\",\"publicationTypes\":\"Journal Article\",\"fieldsOfStudy\":null,\"isOpenAccess\":false,\"openAccessPdf\":\"https://www.ncbi.nlm.nih.gov/pmc/articles/PMC12302864/pdf/\",\"citationCount\":\"0\",\"resultStr\":null,\"platform\":\"Semanticscholar\",\"paperid\":null,\"PeriodicalName\":\"BMC Complementary Medicine and Therapies\",\"FirstCategoryId\":\"3\",\"ListUrlMain\":\"https://doi.org/10.1186/s12906-025-05027-1\",\"RegionNum\":2,\"RegionCategory\":\"医学\",\"ArticlePicture\":[],\"TitleCN\":null,\"AbstractTextCN\":null,\"PMCID\":null,\"EPubDate\":\"\",\"PubModel\":\"\",\"JCR\":\"Q1\",\"JCRName\":\"INTEGRATIVE & COMPLEMENTARY MEDICINE\",\"Score\":null,\"Total\":0}","platform":"Semanticscholar","paperid":null,"PeriodicalName":"BMC Complementary Medicine and Therapies","FirstCategoryId":"3","ListUrlMain":"https://doi.org/10.1186/s12906-025-05027-1","RegionNum":2,"RegionCategory":"医学","ArticlePicture":[],"TitleCN":null,"AbstractTextCN":null,"PMCID":null,"EPubDate":"","PubModel":"","JCR":"Q1","JCRName":"INTEGRATIVE & COMPLEMENTARY MEDICINE","Score":null,"Total":0}
引用次数: 0

摘要

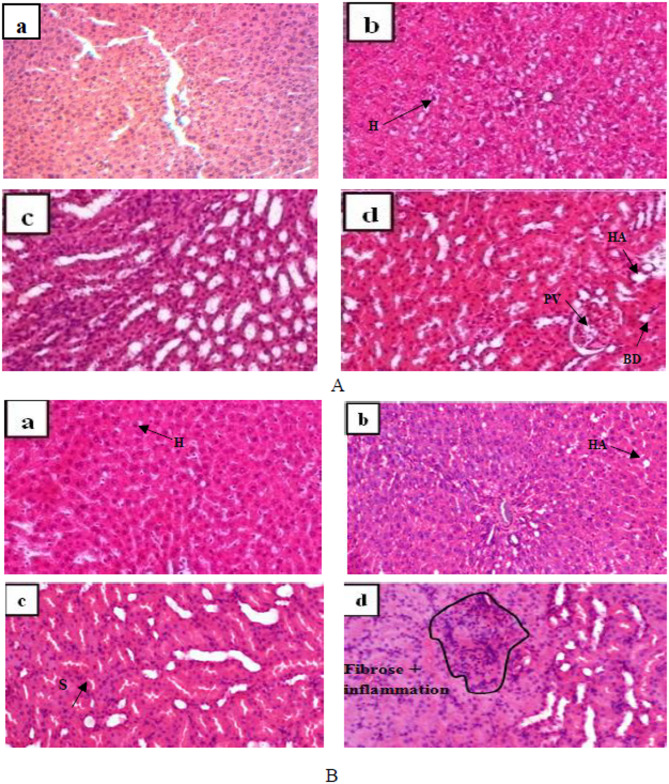
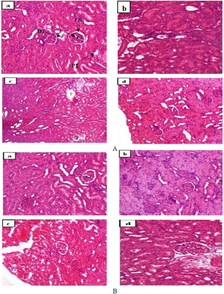
背景:Cissus polyantha (C. polyantha) Glig and Bradt是一种葡萄科的攀缘植物,普遍分布于热带地区,在非洲传统药典中用于治疗结膜炎、疼痛、炎症、微生物疾病和糖尿病。本研究的目的是评价多刺叶茎水提物(AECP)对大鼠的急性和亚急性毒性。方法:急性中毒时,AECP单次口服,剂量为2000 mg/kg。临床症状,一般行为和死亡率评估14天。在亚急性毒性试验中,AECP按111、222和444 mg/kg剂量口服28天。评估体重、内脏重量、饮水量、食量、生化指标、血液学特征和组织学检查。结果:急性毒性试验未见中毒迹象,无死亡。因此,AECP的平均致死剂量(LD50)大于2000 mg/kg。在亚急性毒性中,222和/或444 mg/kg剂量的雄性和雌性大鼠体重、水和食物消耗、肝脏重量和淋巴细胞计数显著增加,ALT活性和肌酐水平下降。在所有测试剂量下,AECP都能显著降低尿酸、总胆固醇和甘油三酯。大鼠肾组织病理学分析显示,剂量为444 mg/kg时,肾系膜轻度增生。然而,在所有剂量的AECP给药后,评估的所有其他参数都没有显著变化。结论:急性毒性时,AECP的LD50大于2000 mg/kg,属于低毒。在亚急性毒性中,仅444 mg/kg剂量的AECP就导致体重、水和食物消耗减少,肝脏重量、ALT活性和淋巴细胞计数增加。因此,低于444毫克/公斤的剂量可能是安全的。
本文章由计算机程序翻译,如有差异,请以英文原文为准。

Acute and subacute toxicity of the aqueous extract of Cissus Polyantha Glig and Bradt (Vitaceae) on biochemical and hematological parameters in Wistar rats.

Acute and subacute toxicity of the aqueous extract of Cissus Polyantha Glig and Bradt (Vitaceae) on biochemical and hematological parameters in Wistar rats.

Acute and subacute toxicity of the aqueous extract of Cissus Polyantha Glig and Bradt (Vitaceae) on biochemical and hematological parameters in Wistar rats.

Acute and subacute toxicity of the aqueous extract of Cissus Polyantha Glig and Bradt (Vitaceae) on biochemical and hematological parameters in Wistar rats.

Background: Cissus polyantha (C. polyantha) Glig and Bradt is a climbing plant of the Vitaceae family generally distributed in tropical regions and used in traditional African pharmacopoeia for the treatment of conjunctivitis, pain, inflammation, microbial diseases and diabetes mellitus. The aim of this study was to evaluate the acute and subacute toxicity of the aqueous extract from leafy stems of C. polyantha (AECP) in rats.

Methods: In acute toxicity, AECP was administered orally at a single dose of 2000 mg/kg. Clinical signs, general behavior and mortality were assessed for 14 days. In subacute toxicity, AECP at 111, 222 and 444 mg/kg was administered orally for 28 days. Body weight, internal organ weight, water intake, food consumption, biochemical parameters, hematological profile and histological examinations were evaluated.

Results: Acute toxicity results showed no signs of poisoning and no mortality. The mean lethal dose (LD50) of AECP was therefore greater than 2000 mg/kg. In subacute toxicity, a significant increase in body weight, water and food consumption, liver weight and lymphocyte counts as well as a decrease in ALT activity and creatinine levels were recorded in rats of both sexes treated at 222 and/or 444 mg/kg. AECP caused a notable reduction in uric acid, total cholesterol and triglycerides at all doses tested. Histopathological analysis of rat kidneys shows slight mesengial hyperplasia at 444 mg/kg. However, all other parameters evaluated did not experience significant variation after AECP administration at all doses.

Conclusions: In acute toxicity, the LD50 is greater than 2000 mg/kg, so AECP is of low toxicity. In subacute toxicity, only the dose of 444 mg/kg of AECP resulted in decreased body weight, water and food consumption, and increased liver weight, ALT activity, and lymphocyte counts. Doses below 444 mg/kg may therefore be safe.

求助全文
通过发布文献求助,成功后即可免费获取论文全文。 去求助
来源期刊
BMC Complementary Medicine and Therapies
BMC Complementary Medicine and Therapies INTEGRATIVE & COMPLEMENTARY MEDICINE-
CiteScore
6.10
自引率
2.60%
发文量
300
审稿时长
19 weeks
期刊介绍:
×
引用
GB/T 7714-2015
复制
MLA
复制
APA
复制
导出至
BibTeX EndNote RefMan NoteFirst NoteExpress
×
提示
您的信息不完整,为了账户安全,请先补充。
现在去补充
×
提示
您因"违规操作"
具体请查看互助需知
我知道了
×
提示
确定
请完成安全验证×
copy
已复制链接
快去分享给好友吧!
我知道了
右上角分享
点击右上角分享
0
联系我们:info@booksci.cn Book学术提供免费学术资源搜索服务,方便国内外学者检索中英文文献。致力于提供最便捷和优质的服务体验。 Copyright © 2023 布克学术 All rights reserved.
京ICP备2023020795号-1
ghs 京公网安备 11010802042870号
Book学术文献互助
Book学术文献互助群
群 号:604180095
Book学术官方微信