潜在抗covid-19植物药物安全性的临床前评价:SAYE PLUS对亚慢性毒性研究中Wistar大鼠生化和组织病理学参数的影响

IF 2.7 3区 医学 Q2 PHARMACOLOGY & PHARMACY
Joël Ouédraogo, Sylvain Ilboudo, Geoffroy Gueswindé Ouédraogo, Gaétan Donzèo Somda, Barthélemy Bonogo, Virginie Dakuyo, Salfo Ouédraogo, Raïnatou Boly, Mathieu Nitiéma, Dofini Réné Magnini, Rasmané Semdé, Sylvin Ouédraogo
{"title":"潜在抗covid-19植物药物安全性的临床前评价:SAYE PLUS对亚慢性毒性研究中Wistar大鼠生化和组织病理学参数的影响","authors":"Joël Ouédraogo, Sylvain Ilboudo, Geoffroy Gueswindé Ouédraogo, Gaétan Donzèo Somda, Barthélemy Bonogo, Virginie Dakuyo, Salfo Ouédraogo, Raïnatou Boly, Mathieu Nitiéma, Dofini Réné Magnini, Rasmané Semdé, Sylvin Ouédraogo","doi":"10.1186/s40360-025-00973-5","DOIUrl":null,"url":null,"abstract":"<p><p>Although considered safe and widely used, some natural remedies are responsible for health ailments to their users that deserve to be investigated. SAYE PLUS is one of the most widely used traditional recipes as antimalaria for decades and recently against Covid-19 in Burkina Faso and beyond, and is commonly regarded as safe to use. In the present study, sub-chronic toxicity tests were performed orally in Wistar rats at daily doses of 250, 500, and 1000 mg/kg for 90 days, following the guidelines of the Organization for Economic Cooperation and Development (OECD). The results revealed neither symptoms of toxicity nor mortality. Depending on the dose, time frame, or animal sex, compared with the control, SAYE PLUS powder caused a statistically significant reduction in the water and food consumption of the treated rats. Significantly increases in serum creatinine, total protein, hydrogen phosphate ion (PO<sub>4</sub><sup>2</sup>), and potassium ion (K<sup>+</sup>) levels were detected in females at all doses. Compared to control values, the male rats' glucose decreased while its PO<sub>4</sub><sup>2-</sup> increased significantly at the daily dose of 1000 mg/kg of SAYE PLUS. Histopathological analysis revealed that the rat heart, lungs, liver, kidneys, and spleen histostructure were unaffected by sub-chronic exposure to SAYE PLUS up to 1000 mg/kg/d. The Findings provide some scientific information on the toxicological profile of the phytomedicine SAYE PLUS when administered in repeated doses for 90 days. However, they are limited by the absence of analysis of the animals' hematological parameters. Nevertheless, results show that for patient safety, it is not advisable to use SAYE PLUS for more than two consecutive weeks. Furthermore, herbal remedies need careful evaluation before or during their human use, especially when a new form of use other than the traditional one is proposed. Further long-term studies focusing on the hematological parameters and certain kidney and liver functional indicators will add the scientific merit and interest of the present work.</p>","PeriodicalId":9023,"journal":{"name":"BMC Pharmacology & Toxicology","volume":"26 1","pages":"138"},"PeriodicalIF":2.7000,"publicationDate":"2025-07-28","publicationTypes":"Journal Article","fieldsOfStudy":null,"isOpenAccess":false,"openAccessPdf":"https://www.ncbi.nlm.nih.gov/pmc/articles/PMC12306133/pdf/","citationCount":"0","resultStr":"{\"title\":\"Preclinic evaluation of the safety of potential anticovid-19 phytomedicine: SAYE PLUS impacts on Wistar rat biochemical and histopathological parameters in sub-chronic toxicity study.\",\"authors\":\"Joël Ouédraogo, Sylvain Ilboudo, Geoffroy Gueswindé Ouédraogo, Gaétan Donzèo Somda, Barthélemy Bonogo, Virginie Dakuyo, Salfo Ouédraogo, Raïnatou Boly, Mathieu Nitiéma, Dofini Réné Magnini, Rasmané Semdé, Sylvin Ouédraogo\",\"doi\":\"10.1186/s40360-025-00973-5\",\"DOIUrl\":null,\"url\":null,\"abstract\":\"<p><p>Although considered safe and widely used, some natural remedies are responsible for health ailments to their users that deserve to be investigated. SAYE PLUS is one of the most widely used traditional recipes as antimalaria for decades and recently against Covid-19 in Burkina Faso and beyond, and is commonly regarded as safe to use. In the present study, sub-chronic toxicity tests were performed orally in Wistar rats at daily doses of 250, 500, and 1000 mg/kg for 90 days, following the guidelines of the Organization for Economic Cooperation and Development (OECD). The results revealed neither symptoms of toxicity nor mortality. Depending on the dose, time frame, or animal sex, compared with the control, SAYE PLUS powder caused a statistically significant reduction in the water and food consumption of the treated rats. Significantly increases in serum creatinine, total protein, hydrogen phosphate ion (PO<sub>4</sub><sup>2</sup>), and potassium ion (K<sup>+</sup>) levels were detected in females at all doses. Compared to control values, the male rats' glucose decreased while its PO<sub>4</sub><sup>2-</sup> increased significantly at the daily dose of 1000 mg/kg of SAYE PLUS. Histopathological analysis revealed that the rat heart, lungs, liver, kidneys, and spleen histostructure were unaffected by sub-chronic exposure to SAYE PLUS up to 1000 mg/kg/d. The Findings provide some scientific information on the toxicological profile of the phytomedicine SAYE PLUS when administered in repeated doses for 90 days. However, they are limited by the absence of analysis of the animals' hematological parameters. Nevertheless, results show that for patient safety, it is not advisable to use SAYE PLUS for more than two consecutive weeks. Furthermore, herbal remedies need careful evaluation before or during their human use, especially when a new form of use other than the traditional one is proposed. Further long-term studies focusing on the hematological parameters and certain kidney and liver functional indicators will add the scientific merit and interest of the present work.</p>\",\"PeriodicalId\":9023,\"journal\":{\"name\":\"BMC Pharmacology & Toxicology\",\"volume\":\"26 1\",\"pages\":\"138\"},\"PeriodicalIF\":2.7000,\"publicationDate\":\"2025-07-28\",\"publicationTypes\":\"Journal Article\",\"fieldsOfStudy\":null,\"isOpenAccess\":false,\"openAccessPdf\":\"https://www.ncbi.nlm.nih.gov/pmc/articles/PMC12306133/pdf/\",\"citationCount\":\"0\",\"resultStr\":null,\"platform\":\"Semanticscholar\",\"paperid\":null,\"PeriodicalName\":\"BMC Pharmacology & Toxicology\",\"FirstCategoryId\":\"3\",\"ListUrlMain\":\"https://doi.org/10.1186/s40360-025-00973-5\",\"RegionNum\":3,\"RegionCategory\":\"医学\",\"ArticlePicture\":[],\"TitleCN\":null,\"AbstractTextCN\":null,\"PMCID\":null,\"EPubDate\":\"\",\"PubModel\":\"\",\"JCR\":\"Q2\",\"JCRName\":\"PHARMACOLOGY & PHARMACY\",\"Score\":null,\"Total\":0}","platform":"Semanticscholar","paperid":null,"PeriodicalName":"BMC Pharmacology & Toxicology","FirstCategoryId":"3","ListUrlMain":"https://doi.org/10.1186/s40360-025-00973-5","RegionNum":3,"RegionCategory":"医学","ArticlePicture":[],"TitleCN":null,"AbstractTextCN":null,"PMCID":null,"EPubDate":"","PubModel":"","JCR":"Q2","JCRName":"PHARMACOLOGY & PHARMACY","Score":null,"Total":0}
引用次数: 0

摘要

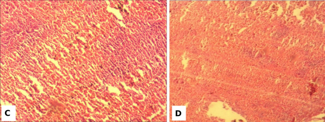
虽然被认为是安全和广泛使用的,但一些自然疗法对其使用者的健康疾病负有责任,值得调查。SAYE PLUS是几十年来以及最近在布基纳法索和其他国家用于抗Covid-19的最广泛使用的传统抗疟疾配方之一,通常被认为是安全的。在本研究中,按照经济合作与发展组织(经合组织)的指导方针,对Wistar大鼠进行了亚慢性毒性试验,每日剂量分别为250、500和1000 mg/kg,持续90天。结果显示既没有毒性症状也没有死亡。与对照组相比,根据剂量、时间范围或动物性别的不同,SAYE PLUS粉末导致治疗大鼠的水和食物消耗在统计学上显著减少。在所有剂量下,女性血清肌酐、总蛋白、磷酸氢离子(PO42)和钾离子(K+)水平均显著升高。与对照组相比,日给药剂量为1000 mg/kg的雄性大鼠血糖明显降低,PO42-明显升高。组织病理学分析显示,大鼠的心脏、肺、肝脏、肾脏和脾脏组织结构不受亚慢性暴露于高达1000mg /kg/d的SAYE PLUS的影响。这些发现提供了一些关于植物药SAYE PLUS在90天内重复给药时毒理学特征的科学信息。然而,由于缺乏对动物血液学参数的分析,它们受到了限制。然而,结果显示,为了患者的安全,不建议使用SAYE PLUS连续超过两周。此外,草药在人类使用之前或使用过程中需要仔细评估,特别是在提出传统使用方式以外的新使用方式时。进一步的长期研究集中在血液学参数和某些肾脏和肝脏功能指标将增加科学价值和本工作的兴趣。
本文章由计算机程序翻译,如有差异,请以英文原文为准。

Preclinic evaluation of the safety of potential anticovid-19 phytomedicine: SAYE PLUS impacts on Wistar rat biochemical and histopathological parameters in sub-chronic toxicity study.

Preclinic evaluation of the safety of potential anticovid-19 phytomedicine: SAYE PLUS impacts on Wistar rat biochemical and histopathological parameters in sub-chronic toxicity study.

Preclinic evaluation of the safety of potential anticovid-19 phytomedicine: SAYE PLUS impacts on Wistar rat biochemical and histopathological parameters in sub-chronic toxicity study.

Preclinic evaluation of the safety of potential anticovid-19 phytomedicine: SAYE PLUS impacts on Wistar rat biochemical and histopathological parameters in sub-chronic toxicity study.

Although considered safe and widely used, some natural remedies are responsible for health ailments to their users that deserve to be investigated. SAYE PLUS is one of the most widely used traditional recipes as antimalaria for decades and recently against Covid-19 in Burkina Faso and beyond, and is commonly regarded as safe to use. In the present study, sub-chronic toxicity tests were performed orally in Wistar rats at daily doses of 250, 500, and 1000 mg/kg for 90 days, following the guidelines of the Organization for Economic Cooperation and Development (OECD). The results revealed neither symptoms of toxicity nor mortality. Depending on the dose, time frame, or animal sex, compared with the control, SAYE PLUS powder caused a statistically significant reduction in the water and food consumption of the treated rats. Significantly increases in serum creatinine, total protein, hydrogen phosphate ion (PO42), and potassium ion (K+) levels were detected in females at all doses. Compared to control values, the male rats' glucose decreased while its PO42- increased significantly at the daily dose of 1000 mg/kg of SAYE PLUS. Histopathological analysis revealed that the rat heart, lungs, liver, kidneys, and spleen histostructure were unaffected by sub-chronic exposure to SAYE PLUS up to 1000 mg/kg/d. The Findings provide some scientific information on the toxicological profile of the phytomedicine SAYE PLUS when administered in repeated doses for 90 days. However, they are limited by the absence of analysis of the animals' hematological parameters. Nevertheless, results show that for patient safety, it is not advisable to use SAYE PLUS for more than two consecutive weeks. Furthermore, herbal remedies need careful evaluation before or during their human use, especially when a new form of use other than the traditional one is proposed. Further long-term studies focusing on the hematological parameters and certain kidney and liver functional indicators will add the scientific merit and interest of the present work.

求助全文
通过发布文献求助,成功后即可免费获取论文全文。 去求助
来源期刊
BMC Pharmacology & Toxicology
BMC Pharmacology & Toxicology PHARMACOLOGY & PHARMACYTOXICOLOGY&nb-TOXICOLOGY
CiteScore
4.80
自引率
0.00%
发文量
87
审稿时长
12 weeks
期刊介绍: BMC Pharmacology and Toxicology is an open access, peer-reviewed journal that considers articles on all aspects of chemically defined therapeutic and toxic agents. The journal welcomes submissions from all fields of experimental and clinical pharmacology including clinical trials and toxicology.
×
引用
GB/T 7714-2015
复制
MLA
复制
APA
复制
导出至
BibTeX EndNote RefMan NoteFirst NoteExpress
×
提示
您的信息不完整,为了账户安全,请先补充。
现在去补充
×
提示
您因"违规操作"
具体请查看互助需知
我知道了
×
提示
确定
请完成安全验证×
copy
已复制链接
快去分享给好友吧!
我知道了
右上角分享
点击右上角分享
0
联系我们:info@booksci.cn Book学术提供免费学术资源搜索服务,方便国内外学者检索中英文文献。致力于提供最便捷和优质的服务体验。 Copyright © 2023 布克学术 All rights reserved.
京ICP备2023020795号-1
ghs 京公网安备 11010802042870号
Book学术文献互助
Book学术文献互助群
群 号:604180095
Book学术官方微信