15(S)-羟基二碳四烯酸对嗜酸性慢性鼻窦炎伴鼻息肉的预测意义。

IF 2.1 Q3 ALLERGY
Asia Pacific Allergy Pub Date : 2025-06-01 Epub Date: 2025-03-17 DOI:10.5415/apallergy.0000000000000187
Ying Li, Bing Yan, Bangyu Cui, Yimin Ren, Yang Wang, Luo Zhang, Chengshuo Wang
{"title":"15(S)-羟基二碳四烯酸对嗜酸性慢性鼻窦炎伴鼻息肉的预测意义。","authors":"Ying Li, Bing Yan, Bangyu Cui, Yimin Ren, Yang Wang, Luo Zhang, Chengshuo Wang","doi":"10.5415/apallergy.0000000000000187","DOIUrl":null,"url":null,"abstract":"<p><strong>Background: </strong>Among the different endotypes of chronic rhinosinusitis with nasal polyps (CRSwNP), eosinophilic CRSwNP (ECRSwNP) exhibits more severe symptoms and a higher rate of recurrence compared with noneosinophilic CRSwNP (non-ECRSwNP), as well as distinct metabolic alterations. Hence, early identification of metabolic alterations in polyps is crucial for the prediction and selection of personalized treatment for patients with CRSwNP, especially ECRSwNP. However, clinical practice faces a deficiency in readily accessible and expedited predictive diagnostics of metabolic changes.</p><p><strong>Objective: </strong>This study aimed to assess the capacity of 15(S)-hydroxyeicosatetraenoic acid (15(S)-HETE) concentrations in nasal secretions to classify endotypes and predict the recurrence of CRSwNP.</p><p><strong>Methods: </strong>Levels of 15(S)-HETE in nasal secretions were measured via enzyme-linked immunosorbent assay (ELISA) in 57 patients with ECRSwNP and 49 patients with non-ECRSwNP. The expression and distribution of ALOX15 were assessed by immunohistochemical staining. In addition, multivariate logistic regression analysis was conducted to identify predictive factors for polyp recurrence. The optimal cutoff value was determined as the point on the receiver operating characteristic (ROC) curve with the maximum Youden Index.</p><p><strong>Results: </strong>The concentration of 15(S)-HETE in nasal secretions was significantly higher in the ECRSwNP group (median [interquartile range (IQR)]: 294.34 ng/mL [83.23-701.34 ng/mL]) than in the non-ECRSwNP group (median [IQR]: 100.19 ng/mL [25.53-207.25 ng/mL]) (<i>P</i> < 0.0001). Furthermore, it was positively correlated with the eosinophil counts and percentage in nasal polyp tissue (<i>r</i> = 0.620, <i>P</i> < 0.001 and <i>r</i> = 0.487, <i>P</i> < 0.001, respectively). Multivariate logistic regression analysis showed that 15(S)-HETE in nasal secretions was a risk factor for the recurrence of CRSwNP (odds ratio = 1.004, 95% confidence interval = 1.001-1.008, <i>P</i> = 0.022), and the ROC curve showed a predictive value for recurrence of CRSwNP (area under the curve = 0.890, <i>P</i> < 0.001).</p><p><strong>Conclusion: </strong>15(S)-HETE in nasal secretions, as measured by ELISA, can serve as a reliable and alternative indicator for identifying ECRSwNP and predicting CRSwNP recurrence.</p>","PeriodicalId":8488,"journal":{"name":"Asia Pacific Allergy","volume":"15 2","pages":"74-81"},"PeriodicalIF":2.1000,"publicationDate":"2025-06-01","publicationTypes":"Journal Article","fieldsOfStudy":null,"isOpenAccess":false,"openAccessPdf":"https://www.ncbi.nlm.nih.gov/pmc/articles/PMC12289098/pdf/","citationCount":"0","resultStr":"{\"title\":\"Predictive significance of 15(S)-hydroxyeicosatetraenoic acid for eosinophilic chronic rhinosinusitis with nasal polyps.\",\"authors\":\"Ying Li, Bing Yan, Bangyu Cui, Yimin Ren, Yang Wang, Luo Zhang, Chengshuo Wang\",\"doi\":\"10.5415/apallergy.0000000000000187\",\"DOIUrl\":null,\"url\":null,\"abstract\":\"<p><strong>Background: </strong>Among the different endotypes of chronic rhinosinusitis with nasal polyps (CRSwNP), eosinophilic CRSwNP (ECRSwNP) exhibits more severe symptoms and a higher rate of recurrence compared with noneosinophilic CRSwNP (non-ECRSwNP), as well as distinct metabolic alterations. Hence, early identification of metabolic alterations in polyps is crucial for the prediction and selection of personalized treatment for patients with CRSwNP, especially ECRSwNP. However, clinical practice faces a deficiency in readily accessible and expedited predictive diagnostics of metabolic changes.</p><p><strong>Objective: </strong>This study aimed to assess the capacity of 15(S)-hydroxyeicosatetraenoic acid (15(S)-HETE) concentrations in nasal secretions to classify endotypes and predict the recurrence of CRSwNP.</p><p><strong>Methods: </strong>Levels of 15(S)-HETE in nasal secretions were measured via enzyme-linked immunosorbent assay (ELISA) in 57 patients with ECRSwNP and 49 patients with non-ECRSwNP. The expression and distribution of ALOX15 were assessed by immunohistochemical staining. In addition, multivariate logistic regression analysis was conducted to identify predictive factors for polyp recurrence. The optimal cutoff value was determined as the point on the receiver operating characteristic (ROC) curve with the maximum Youden Index.</p><p><strong>Results: </strong>The concentration of 15(S)-HETE in nasal secretions was significantly higher in the ECRSwNP group (median [interquartile range (IQR)]: 294.34 ng/mL [83.23-701.34 ng/mL]) than in the non-ECRSwNP group (median [IQR]: 100.19 ng/mL [25.53-207.25 ng/mL]) (<i>P</i> < 0.0001). Furthermore, it was positively correlated with the eosinophil counts and percentage in nasal polyp tissue (<i>r</i> = 0.620, <i>P</i> < 0.001 and <i>r</i> = 0.487, <i>P</i> < 0.001, respectively). Multivariate logistic regression analysis showed that 15(S)-HETE in nasal secretions was a risk factor for the recurrence of CRSwNP (odds ratio = 1.004, 95% confidence interval = 1.001-1.008, <i>P</i> = 0.022), and the ROC curve showed a predictive value for recurrence of CRSwNP (area under the curve = 0.890, <i>P</i> < 0.001).</p><p><strong>Conclusion: </strong>15(S)-HETE in nasal secretions, as measured by ELISA, can serve as a reliable and alternative indicator for identifying ECRSwNP and predicting CRSwNP recurrence.</p>\",\"PeriodicalId\":8488,\"journal\":{\"name\":\"Asia Pacific Allergy\",\"volume\":\"15 2\",\"pages\":\"74-81\"},\"PeriodicalIF\":2.1000,\"publicationDate\":\"2025-06-01\",\"publicationTypes\":\"Journal Article\",\"fieldsOfStudy\":null,\"isOpenAccess\":false,\"openAccessPdf\":\"https://www.ncbi.nlm.nih.gov/pmc/articles/PMC12289098/pdf/\",\"citationCount\":\"0\",\"resultStr\":null,\"platform\":\"Semanticscholar\",\"paperid\":null,\"PeriodicalName\":\"Asia Pacific Allergy\",\"FirstCategoryId\":\"1085\",\"ListUrlMain\":\"https://doi.org/10.5415/apallergy.0000000000000187\",\"RegionNum\":0,\"RegionCategory\":null,\"ArticlePicture\":[],\"TitleCN\":null,\"AbstractTextCN\":null,\"PMCID\":null,\"EPubDate\":\"2025/3/17 0:00:00\",\"PubModel\":\"Epub\",\"JCR\":\"Q3\",\"JCRName\":\"ALLERGY\",\"Score\":null,\"Total\":0}","platform":"Semanticscholar","paperid":null,"PeriodicalName":"Asia Pacific Allergy","FirstCategoryId":"1085","ListUrlMain":"https://doi.org/10.5415/apallergy.0000000000000187","RegionNum":0,"RegionCategory":null,"ArticlePicture":[],"TitleCN":null,"AbstractTextCN":null,"PMCID":null,"EPubDate":"2025/3/17 0:00:00","PubModel":"Epub","JCR":"Q3","JCRName":"ALLERGY","Score":null,"Total":0}
引用次数: 0

摘要

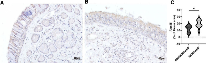
背景:在慢性鼻窦炎伴鼻息肉(CRSwNP)的不同内分型中,嗜酸性CRSwNP (ECRSwNP)比非嗜酸性CRSwNP(非ECRSwNP)表现出更严重的症状和更高的复发率,以及明显的代谢改变。因此,早期识别息肉代谢改变对于CRSwNP患者,特别是ECRSwNP患者的预测和个性化治疗选择至关重要。然而,临床实践面临着代谢变化易于获得和快速预测诊断的不足。目的:本研究旨在评估鼻腔分泌物中15(S)-羟基二十碳四烯酸(15(S)-HETE)浓度对内型的分类和预测CRSwNP复发的能力。方法:采用酶联免疫吸附法(ELISA)检测57例ECRSwNP患者和49例非ECRSwNP患者鼻分泌物中15(S)-HETE的水平。免疫组织化学染色检测ALOX15的表达和分布。此外,我们还进行了多因素logistic回归分析,以确定息肉复发的预测因素。以受试者工作特征(ROC)曲线上约登指数最大的点为最佳截断值。结果:ECRSwNP组鼻分泌物中15(S)-HETE浓度(中位数[四分位数间距(IQR)]: 294.34 ng/mL [83.23 ~ 701.34 ng/mL])显著高于非ECRSwNP组(中位数[IQR]: 100.19 ng/mL [25.53 ~ 207.25 ng/mL]) (P < 0.0001)。与鼻息肉组织嗜酸性粒细胞计数和百分比呈正相关(r = 0.620, P < 0.001, r = 0.487, P < 0.001)。多因素logistic回归分析显示鼻腔分泌物中15(S)-HETE是CRSwNP复发的危险因素(优势比= 1.004,95%可信区间= 1.001 ~ 1.008,P = 0.022), ROC曲线显示CRSwNP复发的预测价值(曲线下面积= 0.890,P < 0.001)。结论:ELISA检测鼻腔分泌物中15(S)-HETE可作为鉴别ECRSwNP和预测CRSwNP复发的可靠替代指标。
本文章由计算机程序翻译,如有差异,请以英文原文为准。

Predictive significance of 15(S)-hydroxyeicosatetraenoic acid for eosinophilic chronic rhinosinusitis with nasal polyps.

Predictive significance of 15(S)-hydroxyeicosatetraenoic acid for eosinophilic chronic rhinosinusitis with nasal polyps.

Predictive significance of 15(S)-hydroxyeicosatetraenoic acid for eosinophilic chronic rhinosinusitis with nasal polyps.

Predictive significance of 15(S)-hydroxyeicosatetraenoic acid for eosinophilic chronic rhinosinusitis with nasal polyps.

Background: Among the different endotypes of chronic rhinosinusitis with nasal polyps (CRSwNP), eosinophilic CRSwNP (ECRSwNP) exhibits more severe symptoms and a higher rate of recurrence compared with noneosinophilic CRSwNP (non-ECRSwNP), as well as distinct metabolic alterations. Hence, early identification of metabolic alterations in polyps is crucial for the prediction and selection of personalized treatment for patients with CRSwNP, especially ECRSwNP. However, clinical practice faces a deficiency in readily accessible and expedited predictive diagnostics of metabolic changes.

Objective: This study aimed to assess the capacity of 15(S)-hydroxyeicosatetraenoic acid (15(S)-HETE) concentrations in nasal secretions to classify endotypes and predict the recurrence of CRSwNP.

Methods: Levels of 15(S)-HETE in nasal secretions were measured via enzyme-linked immunosorbent assay (ELISA) in 57 patients with ECRSwNP and 49 patients with non-ECRSwNP. The expression and distribution of ALOX15 were assessed by immunohistochemical staining. In addition, multivariate logistic regression analysis was conducted to identify predictive factors for polyp recurrence. The optimal cutoff value was determined as the point on the receiver operating characteristic (ROC) curve with the maximum Youden Index.

Results: The concentration of 15(S)-HETE in nasal secretions was significantly higher in the ECRSwNP group (median [interquartile range (IQR)]: 294.34 ng/mL [83.23-701.34 ng/mL]) than in the non-ECRSwNP group (median [IQR]: 100.19 ng/mL [25.53-207.25 ng/mL]) (P < 0.0001). Furthermore, it was positively correlated with the eosinophil counts and percentage in nasal polyp tissue (r = 0.620, P < 0.001 and r = 0.487, P < 0.001, respectively). Multivariate logistic regression analysis showed that 15(S)-HETE in nasal secretions was a risk factor for the recurrence of CRSwNP (odds ratio = 1.004, 95% confidence interval = 1.001-1.008, P = 0.022), and the ROC curve showed a predictive value for recurrence of CRSwNP (area under the curve = 0.890, P < 0.001).

Conclusion: 15(S)-HETE in nasal secretions, as measured by ELISA, can serve as a reliable and alternative indicator for identifying ECRSwNP and predicting CRSwNP recurrence.

求助全文
通过发布文献求助,成功后即可免费获取论文全文。 去求助
来源期刊
CiteScore
2.50
自引率
5.90%
发文量
33
期刊介绍: Asia Pacific Allergy (AP Allergy) is the official journal of the Asia Pacific Association of Allergy, Asthma and Clinical Immunology (APAAACI). Although the primary aim of the journal is to promote communication between Asia Pacific scientists who are interested in allergy, asthma, and clinical immunology including immunodeficiency, the journal is intended to be available worldwide. To enable scientists and clinicians from emerging societies appreciate the scope and intent of the journal, early issues will contain more educational review material. For better communication and understanding, it will include rational concepts related to the diagnosis and management of asthma and other immunological conditions. Over time, the journal will increase the number of original research papers to become the foremost citation journal for allergy and clinical immunology information of the Asia Pacific in the future.
×
引用
GB/T 7714-2015
复制
MLA
复制
APA
复制
导出至
BibTeX EndNote RefMan NoteFirst NoteExpress
×
提示
您的信息不完整,为了账户安全,请先补充。
现在去补充
×
提示
您因"违规操作"
具体请查看互助需知
我知道了
×
提示
确定
请完成安全验证×
copy
已复制链接
快去分享给好友吧!
我知道了
右上角分享
点击右上角分享
0
联系我们:info@booksci.cn Book学术提供免费学术资源搜索服务,方便国内外学者检索中英文文献。致力于提供最便捷和优质的服务体验。 Copyright © 2023 布克学术 All rights reserved.
京ICP备2023020795号-1
ghs 京公网安备 11010802042870号
Book学术文献互助
Book学术文献互助群
群 号:604180095
Book学术官方微信