甲状旁腺功能减退合并心血管并发症1例:中年妇女室间隔夹层动脉瘤。

IF 3.3 3区 医学 Q3 ENDOCRINOLOGY & METABOLISM
Ronghua Huang, Yi Zhou, Xingshou Pan, Liufang Zhou, Zhengjiang Liu
{"title":"甲状旁腺功能减退合并心血管并发症1例:中年妇女室间隔夹层动脉瘤。","authors":"Ronghua Huang, Yi Zhou, Xingshou Pan, Liufang Zhou, Zhengjiang Liu","doi":"10.1186/s12902-025-02009-9","DOIUrl":null,"url":null,"abstract":"<p><strong>Background: </strong>Hypoparathyroidism (HypoPT) is a rare endocrine disease characterized by hypocalcemia, hyperphosphatemia, and insufficient or no parathyroid hormone (PTH) secretion. Hypoparathyroidism-induced chronic hypocalcemia may lead to cardiovascular complications, including myocardial dysfunction and arrhythmias. Interventricular septal dissecting aneurysm, a rare cardiac anomaly, typically arises following structural or ischemic heart disease. This disease can lead to ventricular septal rupture and aneurysmal cystic chamber formation, causing changes in cardiac structure and hemodynamics as well as giving rise to various heart complications.</p><p><strong>Case presentation: </strong>No study has reported an association between hypocalcemia and cardiac masses. We encountered a case of hypoparathyroidism in a middle-aged woman who developed an interventricular septal dissecting aneurysm. Upon examination, we found that HypoPT has a profound impact on the heart.</p><p><strong>Conclusions: </strong>Hypocalcemia caused by HypoPT can result in structural changes in the heart and myocardial injury. Furthermore, there is a potential link between HypoPT and cardiac aneurysm. The development of an interventricular septal dissecting aneurysm can lead to various cardiac complications; therefore, its early diagnosis and treatment are necessary.</p>","PeriodicalId":9152,"journal":{"name":"BMC Endocrine Disorders","volume":"25 1","pages":"186"},"PeriodicalIF":3.3000,"publicationDate":"2025-07-25","publicationTypes":"Journal Article","fieldsOfStudy":null,"isOpenAccess":false,"openAccessPdf":"https://www.ncbi.nlm.nih.gov/pmc/articles/PMC12291317/pdf/","citationCount":"0","resultStr":"{\"title\":\"A case of hypoparathyroidism with cardiovascular complications: interventricular septal dissecting aneurysm in a middle-aged woman.\",\"authors\":\"Ronghua Huang, Yi Zhou, Xingshou Pan, Liufang Zhou, Zhengjiang Liu\",\"doi\":\"10.1186/s12902-025-02009-9\",\"DOIUrl\":null,\"url\":null,\"abstract\":\"<p><strong>Background: </strong>Hypoparathyroidism (HypoPT) is a rare endocrine disease characterized by hypocalcemia, hyperphosphatemia, and insufficient or no parathyroid hormone (PTH) secretion. Hypoparathyroidism-induced chronic hypocalcemia may lead to cardiovascular complications, including myocardial dysfunction and arrhythmias. Interventricular septal dissecting aneurysm, a rare cardiac anomaly, typically arises following structural or ischemic heart disease. This disease can lead to ventricular septal rupture and aneurysmal cystic chamber formation, causing changes in cardiac structure and hemodynamics as well as giving rise to various heart complications.</p><p><strong>Case presentation: </strong>No study has reported an association between hypocalcemia and cardiac masses. We encountered a case of hypoparathyroidism in a middle-aged woman who developed an interventricular septal dissecting aneurysm. Upon examination, we found that HypoPT has a profound impact on the heart.</p><p><strong>Conclusions: </strong>Hypocalcemia caused by HypoPT can result in structural changes in the heart and myocardial injury. Furthermore, there is a potential link between HypoPT and cardiac aneurysm. The development of an interventricular septal dissecting aneurysm can lead to various cardiac complications; therefore, its early diagnosis and treatment are necessary.</p>\",\"PeriodicalId\":9152,\"journal\":{\"name\":\"BMC Endocrine Disorders\",\"volume\":\"25 1\",\"pages\":\"186\"},\"PeriodicalIF\":3.3000,\"publicationDate\":\"2025-07-25\",\"publicationTypes\":\"Journal Article\",\"fieldsOfStudy\":null,\"isOpenAccess\":false,\"openAccessPdf\":\"https://www.ncbi.nlm.nih.gov/pmc/articles/PMC12291317/pdf/\",\"citationCount\":\"0\",\"resultStr\":null,\"platform\":\"Semanticscholar\",\"paperid\":null,\"PeriodicalName\":\"BMC Endocrine Disorders\",\"FirstCategoryId\":\"3\",\"ListUrlMain\":\"https://doi.org/10.1186/s12902-025-02009-9\",\"RegionNum\":3,\"RegionCategory\":\"医学\",\"ArticlePicture\":[],\"TitleCN\":null,\"AbstractTextCN\":null,\"PMCID\":null,\"EPubDate\":\"\",\"PubModel\":\"\",\"JCR\":\"Q3\",\"JCRName\":\"ENDOCRINOLOGY & METABOLISM\",\"Score\":null,\"Total\":0}","platform":"Semanticscholar","paperid":null,"PeriodicalName":"BMC Endocrine Disorders","FirstCategoryId":"3","ListUrlMain":"https://doi.org/10.1186/s12902-025-02009-9","RegionNum":3,"RegionCategory":"医学","ArticlePicture":[],"TitleCN":null,"AbstractTextCN":null,"PMCID":null,"EPubDate":"","PubModel":"","JCR":"Q3","JCRName":"ENDOCRINOLOGY & METABOLISM","Score":null,"Total":0}
引用次数: 0

摘要

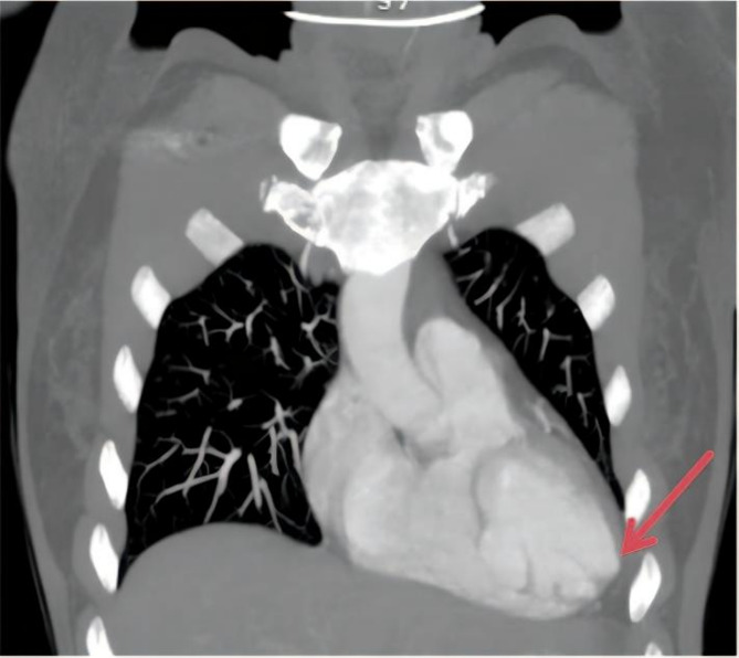
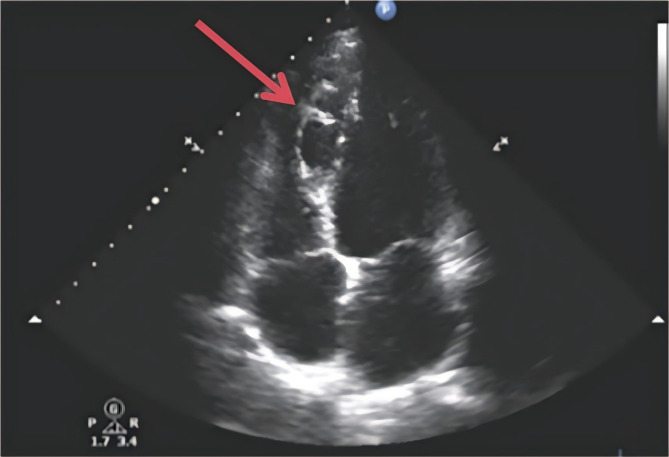
背景:甲状旁腺功能减退症(HypoPT)是一种罕见的内分泌疾病,其特征为低钙血症、高磷血症和甲状旁腺激素(PTH)分泌不足或无分泌。甲状旁腺功能减退症引起的慢性低钙血症可导致心血管并发症,包括心肌功能障碍和心律失常。室间隔夹层动脉瘤是一种罕见的心脏异常,通常发生在结构性或缺血性心脏病之后。这种疾病可导致室间隔破裂和动脉瘤性囊腔形成,引起心脏结构和血流动力学的改变,并引起各种心脏并发症。病例介绍:没有研究报道低钙血症和心脏肿块之间的关联。我们遇到了一个病例甲状旁腺功能低下在一个中年妇女谁发展室间隔夹层动脉瘤。经检查,我们发现HypoPT对心脏有深远的影响。结论:HypoPT引起的低钙血症可引起心脏结构改变和心肌损伤。此外,HypoPT与心动脉瘤之间存在潜在的联系。室间隔夹层动脉瘤的发展可导致各种心脏并发症;因此,早期诊断和治疗是必要的。
本文章由计算机程序翻译,如有差异,请以英文原文为准。

A case of hypoparathyroidism with cardiovascular complications: interventricular septal dissecting aneurysm in a middle-aged woman.

A case of hypoparathyroidism with cardiovascular complications: interventricular septal dissecting aneurysm in a middle-aged woman.

A case of hypoparathyroidism with cardiovascular complications: interventricular septal dissecting aneurysm in a middle-aged woman.

A case of hypoparathyroidism with cardiovascular complications: interventricular septal dissecting aneurysm in a middle-aged woman.

Background: Hypoparathyroidism (HypoPT) is a rare endocrine disease characterized by hypocalcemia, hyperphosphatemia, and insufficient or no parathyroid hormone (PTH) secretion. Hypoparathyroidism-induced chronic hypocalcemia may lead to cardiovascular complications, including myocardial dysfunction and arrhythmias. Interventricular septal dissecting aneurysm, a rare cardiac anomaly, typically arises following structural or ischemic heart disease. This disease can lead to ventricular septal rupture and aneurysmal cystic chamber formation, causing changes in cardiac structure and hemodynamics as well as giving rise to various heart complications.

Case presentation: No study has reported an association between hypocalcemia and cardiac masses. We encountered a case of hypoparathyroidism in a middle-aged woman who developed an interventricular septal dissecting aneurysm. Upon examination, we found that HypoPT has a profound impact on the heart.

Conclusions: Hypocalcemia caused by HypoPT can result in structural changes in the heart and myocardial injury. Furthermore, there is a potential link between HypoPT and cardiac aneurysm. The development of an interventricular septal dissecting aneurysm can lead to various cardiac complications; therefore, its early diagnosis and treatment are necessary.

求助全文
通过发布文献求助,成功后即可免费获取论文全文。 去求助
来源期刊
BMC Endocrine Disorders
BMC Endocrine Disorders ENDOCRINOLOGY & METABOLISM-
CiteScore
4.40
自引率
0.00%
发文量
280
审稿时长
>12 weeks
期刊介绍: BMC Endocrine Disorders is an open access, peer-reviewed journal that considers articles on all aspects of the prevention, diagnosis and management of endocrine disorders, as well as related molecular genetics, pathophysiology, and epidemiology.
×
引用
GB/T 7714-2015
复制
MLA
复制
APA
复制
导出至
BibTeX EndNote RefMan NoteFirst NoteExpress
×
提示
您的信息不完整,为了账户安全,请先补充。
现在去补充
×
提示
您因"违规操作"
具体请查看互助需知
我知道了
×
提示
确定
请完成安全验证×
copy
已复制链接
快去分享给好友吧!
我知道了
右上角分享
点击右上角分享
0
联系我们:info@booksci.cn Book学术提供免费学术资源搜索服务,方便国内外学者检索中英文文献。致力于提供最便捷和优质的服务体验。 Copyright © 2023 布克学术 All rights reserved.
京ICP备2023020795号-1
ghs 京公网安备 11010802042870号
Book学术文献互助
Book学术文献互助群
群 号:604180095
Book学术官方微信