猫麻疹病毒自然感染后肾脏病理改变及caspase依赖性活性。

IF 2.6 2区 农林科学 Q1 VETERINARY SCIENCES
Aisyah Nikmatuz Zahro, Panida Poonsin, Michael Sieg, Thomas Vahlenkamp, Chutchai Piewbang, Somporn Techangamsuwan
{"title":"猫麻疹病毒自然感染后肾脏病理改变及caspase依赖性活性。","authors":"Aisyah Nikmatuz Zahro, Panida Poonsin, Michael Sieg, Thomas Vahlenkamp, Chutchai Piewbang, Somporn Techangamsuwan","doi":"10.1186/s12917-025-04953-z","DOIUrl":null,"url":null,"abstract":"<p><strong>Background: </strong>Feline morbillivirus (FeMV) has been associated with renal pathology in cats; however, the specific pathological alterations caused by FeMV infection remain controversial. This study aimed to investigate histopathological changes, viral localization, and apoptotic activity in the kidneys of FeMV-infected cats.</p><p><strong>Methods: </strong>Kidney tissues from 150 deceased cats with suspected or confirmed chronic kidney disease (CKD) were screened for FeMV using conventional reverse-transcription PCR (cRT-PCR). Positive cases were genotyped and quantified for viral load using reverse-transcription digital PCR (RT-dPCR). A control group of nine FeMV-negative kidneys with CKD was included for comparison. Histological evaluation was conducted using hematoxylin and eosin (H&E), periodic acid-Schiff (PAS), and Masson's trichrome staining. Immunohistochemistry (IHC) and in situ hybridization (ISH) were employed to localize viral antigens and assess expression of apoptotic markers, including cleaved caspase-3 (cCasp3), B-cell lymphoma 2 (BCL-2), and BCL-2-associated X protein (BAX).</p><p><strong>Results: </strong>FeMV RNA was detected in 6% (9/150) of kidneys, all classified as genotype 1. Histological findings in FeMV-positive cases included eosinophilic intracytoplasmic inclusion bodies, lymphoplasmacytic tubulointerstitial nephritis (TIN) and varying degrees of fibrosis. FeMV antigens were localized in the renal tubular epithelial cells. Statistically, cCasp3 expression (P = 0.005) and interstitial fibrosis (P = 0.040) were significantly higher in FeMV-positive cases than in FeMV-negative controls. No significant differences were observed for TIN, BAX, or BCL-2 expression (P > 0.05). Among FeMV-positive cases, viral load was significantly associated with cCasp3 expression (P = 0.049), but not with TIN, fibrosis, BAX, or BCL-2 expression. Spearman's correlation revealed a strong positive correlation between viral load and cCasp3 expression (ρ = 0.8222, P = 0.007).</p><p><strong>Conclusions: </strong>FeMV infection in cats was associated with increased caspase-3-mediated apoptotic activity and interstitial fibrosis in kidney tissue, particularly in cases with higher viral loads. While these findings suggest a possible role for FeMV in renal injury, the absence of consistent associations with other apoptotic markers and inflammatory parameters indicates that additional factors may contribute to disease progression. Further studies, including longitudinal and experimental investigations, are needed to clarify the pathogenic mechanisms and the clinical relevance of FeMV in feline kidney disease.</p>","PeriodicalId":9041,"journal":{"name":"BMC Veterinary Research","volume":"21 1","pages":"489"},"PeriodicalIF":2.6000,"publicationDate":"2025-07-25","publicationTypes":"Journal Article","fieldsOfStudy":null,"isOpenAccess":false,"openAccessPdf":"https://www.ncbi.nlm.nih.gov/pmc/articles/PMC12291386/pdf/","citationCount":"0","resultStr":"{\"title\":\"Pathological alteration and caspase-dependent activity of feline kidneys in natural infection of feline morbillivirus.\",\"authors\":\"Aisyah Nikmatuz Zahro, Panida Poonsin, Michael Sieg, Thomas Vahlenkamp, Chutchai Piewbang, Somporn Techangamsuwan\",\"doi\":\"10.1186/s12917-025-04953-z\",\"DOIUrl\":null,\"url\":null,\"abstract\":\"<p><strong>Background: </strong>Feline morbillivirus (FeMV) has been associated with renal pathology in cats; however, the specific pathological alterations caused by FeMV infection remain controversial. This study aimed to investigate histopathological changes, viral localization, and apoptotic activity in the kidneys of FeMV-infected cats.</p><p><strong>Methods: </strong>Kidney tissues from 150 deceased cats with suspected or confirmed chronic kidney disease (CKD) were screened for FeMV using conventional reverse-transcription PCR (cRT-PCR). Positive cases were genotyped and quantified for viral load using reverse-transcription digital PCR (RT-dPCR). A control group of nine FeMV-negative kidneys with CKD was included for comparison. Histological evaluation was conducted using hematoxylin and eosin (H&E), periodic acid-Schiff (PAS), and Masson's trichrome staining. Immunohistochemistry (IHC) and in situ hybridization (ISH) were employed to localize viral antigens and assess expression of apoptotic markers, including cleaved caspase-3 (cCasp3), B-cell lymphoma 2 (BCL-2), and BCL-2-associated X protein (BAX).</p><p><strong>Results: </strong>FeMV RNA was detected in 6% (9/150) of kidneys, all classified as genotype 1. Histological findings in FeMV-positive cases included eosinophilic intracytoplasmic inclusion bodies, lymphoplasmacytic tubulointerstitial nephritis (TIN) and varying degrees of fibrosis. FeMV antigens were localized in the renal tubular epithelial cells. Statistically, cCasp3 expression (P = 0.005) and interstitial fibrosis (P = 0.040) were significantly higher in FeMV-positive cases than in FeMV-negative controls. No significant differences were observed for TIN, BAX, or BCL-2 expression (P > 0.05). Among FeMV-positive cases, viral load was significantly associated with cCasp3 expression (P = 0.049), but not with TIN, fibrosis, BAX, or BCL-2 expression. Spearman's correlation revealed a strong positive correlation between viral load and cCasp3 expression (ρ = 0.8222, P = 0.007).</p><p><strong>Conclusions: </strong>FeMV infection in cats was associated with increased caspase-3-mediated apoptotic activity and interstitial fibrosis in kidney tissue, particularly in cases with higher viral loads. While these findings suggest a possible role for FeMV in renal injury, the absence of consistent associations with other apoptotic markers and inflammatory parameters indicates that additional factors may contribute to disease progression. Further studies, including longitudinal and experimental investigations, are needed to clarify the pathogenic mechanisms and the clinical relevance of FeMV in feline kidney disease.</p>\",\"PeriodicalId\":9041,\"journal\":{\"name\":\"BMC Veterinary Research\",\"volume\":\"21 1\",\"pages\":\"489\"},\"PeriodicalIF\":2.6000,\"publicationDate\":\"2025-07-25\",\"publicationTypes\":\"Journal Article\",\"fieldsOfStudy\":null,\"isOpenAccess\":false,\"openAccessPdf\":\"https://www.ncbi.nlm.nih.gov/pmc/articles/PMC12291386/pdf/\",\"citationCount\":\"0\",\"resultStr\":null,\"platform\":\"Semanticscholar\",\"paperid\":null,\"PeriodicalName\":\"BMC Veterinary Research\",\"FirstCategoryId\":\"97\",\"ListUrlMain\":\"https://doi.org/10.1186/s12917-025-04953-z\",\"RegionNum\":2,\"RegionCategory\":\"农林科学\",\"ArticlePicture\":[],\"TitleCN\":null,\"AbstractTextCN\":null,\"PMCID\":null,\"EPubDate\":\"\",\"PubModel\":\"\",\"JCR\":\"Q1\",\"JCRName\":\"VETERINARY SCIENCES\",\"Score\":null,\"Total\":0}","platform":"Semanticscholar","paperid":null,"PeriodicalName":"BMC Veterinary Research","FirstCategoryId":"97","ListUrlMain":"https://doi.org/10.1186/s12917-025-04953-z","RegionNum":2,"RegionCategory":"农林科学","ArticlePicture":[],"TitleCN":null,"AbstractTextCN":null,"PMCID":null,"EPubDate":"","PubModel":"","JCR":"Q1","JCRName":"VETERINARY SCIENCES","Score":null,"Total":0}
引用次数: 0

摘要

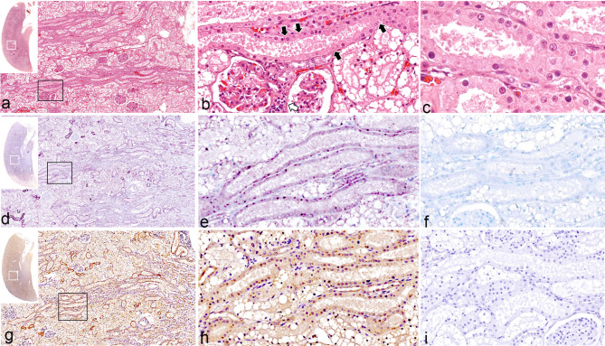
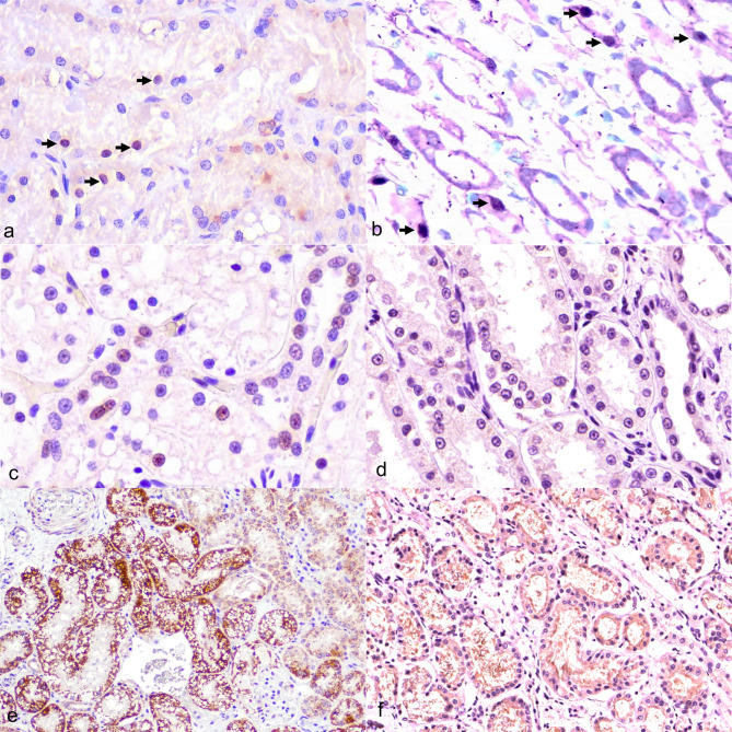
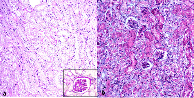
背景:猫麻疹病毒(FeMV)与猫的肾脏病理有关;然而,FeMV感染引起的具体病理改变仍有争议。本研究旨在研究femv感染猫肾脏的组织病理学变化、病毒定位和细胞凋亡活性。方法:采用传统的反转录PCR (rt -PCR)方法对150只疑似或确诊慢性肾脏疾病(CKD)的死猫的肾脏组织进行FeMV筛选。阳性病例采用逆转录数字PCR (RT-dPCR)进行基因分型和病毒载量定量。对照组为9例femv阴性肾脏CKD患者进行比较。采用苏木精-伊红(H&E)、周期性酸-希夫(PAS)和马松三色染色进行组织学评价。采用免疫组织化学(IHC)和原位杂交(ISH)技术定位病毒抗原并评估凋亡标志物的表达,包括cleaved caspase-3 (cCasp3)、b细胞淋巴瘤2 (BCL-2)和BCL-2相关X蛋白(BAX)。结果:6%(9/150)的肾脏检测到FeMV RNA,均为基因1型。femv阳性病例的组织学表现包括嗜酸性细胞浆内包涵体、淋巴浆细胞性小管间质性肾炎(TIN)和不同程度的纤维化。FeMV抗原定位于肾小管上皮细胞。femv阳性组cCasp3表达(P = 0.005)和间质纤维化(P = 0.040)显著高于阴性组。TIN、BAX、BCL-2的表达差异无统计学意义(P < 0.05)。在femv阳性病例中,病毒载量与cCasp3表达显著相关(P = 0.049),但与TIN、纤维化、BAX或BCL-2表达无关。Spearman相关分析显示病毒载量与cCasp3表达呈正相关(ρ = 0.8222, P = 0.007)。结论:猫的FeMV感染与caspase-3介导的凋亡活性增加和肾组织间质纤维化有关,特别是在病毒载量较高的情况下。虽然这些发现提示了FeMV在肾损伤中的可能作用,但缺乏与其他凋亡标志物和炎症参数的一致关联表明,其他因素可能有助于疾病进展。需要进一步的研究,包括纵向和实验研究,来阐明FeMV在猫肾脏疾病中的致病机制和临床相关性。
本文章由计算机程序翻译,如有差异,请以英文原文为准。

Pathological alteration and caspase-dependent activity of feline kidneys in natural infection of feline morbillivirus.

Pathological alteration and caspase-dependent activity of feline kidneys in natural infection of feline morbillivirus.

Pathological alteration and caspase-dependent activity of feline kidneys in natural infection of feline morbillivirus.

Pathological alteration and caspase-dependent activity of feline kidneys in natural infection of feline morbillivirus.

Background: Feline morbillivirus (FeMV) has been associated with renal pathology in cats; however, the specific pathological alterations caused by FeMV infection remain controversial. This study aimed to investigate histopathological changes, viral localization, and apoptotic activity in the kidneys of FeMV-infected cats.

Methods: Kidney tissues from 150 deceased cats with suspected or confirmed chronic kidney disease (CKD) were screened for FeMV using conventional reverse-transcription PCR (cRT-PCR). Positive cases were genotyped and quantified for viral load using reverse-transcription digital PCR (RT-dPCR). A control group of nine FeMV-negative kidneys with CKD was included for comparison. Histological evaluation was conducted using hematoxylin and eosin (H&E), periodic acid-Schiff (PAS), and Masson's trichrome staining. Immunohistochemistry (IHC) and in situ hybridization (ISH) were employed to localize viral antigens and assess expression of apoptotic markers, including cleaved caspase-3 (cCasp3), B-cell lymphoma 2 (BCL-2), and BCL-2-associated X protein (BAX).

Results: FeMV RNA was detected in 6% (9/150) of kidneys, all classified as genotype 1. Histological findings in FeMV-positive cases included eosinophilic intracytoplasmic inclusion bodies, lymphoplasmacytic tubulointerstitial nephritis (TIN) and varying degrees of fibrosis. FeMV antigens were localized in the renal tubular epithelial cells. Statistically, cCasp3 expression (P = 0.005) and interstitial fibrosis (P = 0.040) were significantly higher in FeMV-positive cases than in FeMV-negative controls. No significant differences were observed for TIN, BAX, or BCL-2 expression (P > 0.05). Among FeMV-positive cases, viral load was significantly associated with cCasp3 expression (P = 0.049), but not with TIN, fibrosis, BAX, or BCL-2 expression. Spearman's correlation revealed a strong positive correlation between viral load and cCasp3 expression (ρ = 0.8222, P = 0.007).

Conclusions: FeMV infection in cats was associated with increased caspase-3-mediated apoptotic activity and interstitial fibrosis in kidney tissue, particularly in cases with higher viral loads. While these findings suggest a possible role for FeMV in renal injury, the absence of consistent associations with other apoptotic markers and inflammatory parameters indicates that additional factors may contribute to disease progression. Further studies, including longitudinal and experimental investigations, are needed to clarify the pathogenic mechanisms and the clinical relevance of FeMV in feline kidney disease.

求助全文
通过发布文献求助,成功后即可免费获取论文全文。 去求助
来源期刊
BMC Veterinary Research
BMC Veterinary Research VETERINARY SCIENCES-
CiteScore
4.80
自引率
3.80%
发文量
420
审稿时长
3-6 weeks
期刊介绍: BMC Veterinary Research is an open access, peer-reviewed journal that considers articles on all aspects of veterinary science and medicine, including the epidemiology, diagnosis, prevention and treatment of medical conditions of domestic, companion, farm and wild animals, as well as the biomedical processes that underlie their health.
×
引用
GB/T 7714-2015
复制
MLA
复制
APA
复制
导出至
BibTeX EndNote RefMan NoteFirst NoteExpress
×
提示
您的信息不完整,为了账户安全,请先补充。
现在去补充
×
提示
您因"违规操作"
具体请查看互助需知
我知道了
×
提示
确定
请完成安全验证×
copy
已复制链接
快去分享给好友吧!
我知道了
右上角分享
点击右上角分享
0
联系我们:info@booksci.cn Book学术提供免费学术资源搜索服务,方便国内外学者检索中英文文献。致力于提供最便捷和优质的服务体验。 Copyright © 2023 布克学术 All rights reserved.
京ICP备2023020795号-1
ghs 京公网安备 11010802042870号
Book学术文献互助
Book学术文献互助群
群 号:604180095
Book学术官方微信