小鼠鼻中隔的星形胶质细胞规格是由发育起源和局部信号共同决定的

IF 20 1区 医学 Q1 NEUROSCIENCES
Yajun Xie, Christopher M. Reid, Miguel Turrero Garcίa, Fiona Dale-Huang, Alejandro A. Granados, Yi Lu, Jiwen Li, Sarah M. Hanson, Walter R. Mancia Leon, Jonathan Liu, Manal Adam, Olivia Mosto, Angela O. Pisco, Ye Zhang, Arturo Alvarez-Buylla, Corey C. Harwell
{"title":"小鼠鼻中隔的星形胶质细胞规格是由发育起源和局部信号共同决定的","authors":"Yajun Xie, Christopher M. Reid, Miguel Turrero Garcίa, Fiona Dale-Huang, Alejandro A. Granados, Yi Lu, Jiwen Li, Sarah M. Hanson, Walter R. Mancia Leon, Jonathan Liu, Manal Adam, Olivia Mosto, Angela O. Pisco, Ye Zhang, Arturo Alvarez-Buylla, Corey C. Harwell","doi":"10.1038/s41593-025-02007-z","DOIUrl":null,"url":null,"abstract":"Astrocyte specification during development is influenced by both intrinsic and extrinsic factors, but the precise contribution of each remains poorly understood. Here we show that mouse septal astrocytes derived from Nkx2.1- and Zic4-expressing progenitor zones are primarily allocated into the medial septal and lateral septal nuclei, respectively. Astrocytes in these areas exhibit distinctive molecular and morphological features. Using single-nucleus RNA sequencing, we traced the developmental trajectories of cells in the septum and found that neurons and astrocytes undergo region-specific and developmental-stage-specific local cell–cell interactions. Expression of the morphogens sonic hedgehog and fibroblast growth factors by medial septal and lateral septal neurons, respectively, promote the specification of astrocytes in each region. Finally, heterotopic cell transplantation studies showed that septal astrocyte specification depends on the local microenvironment, regardless of developmental origin. Our data highlight the importance of the local environment in determining astrocyte functional specialization. The relative contribution of intrinsic and extrinsic factors to astrocyte heterogeneity is unknown. Using heterotropic transplantation of septal astrocytes with distinct lineage origins, we show that local factors specify their ultimate identities.","PeriodicalId":19076,"journal":{"name":"Nature neuroscience","volume":"28 8","pages":"1676-1687"},"PeriodicalIF":20.0000,"publicationDate":"2025-07-28","publicationTypes":"Journal Article","fieldsOfStudy":null,"isOpenAccess":false,"openAccessPdf":"https://www.nature.comhttps://www.nature.com/articles/s41593-025-02007-z.pdf","citationCount":"0","resultStr":"{\"title\":\"Astrocyte specification in the mouse septum is shaped by both developmental origin and local signals\",\"authors\":\"Yajun Xie, Christopher M. Reid, Miguel Turrero Garcίa, Fiona Dale-Huang, Alejandro A. Granados, Yi Lu, Jiwen Li, Sarah M. Hanson, Walter R. Mancia Leon, Jonathan Liu, Manal Adam, Olivia Mosto, Angela O. Pisco, Ye Zhang, Arturo Alvarez-Buylla, Corey C. Harwell\",\"doi\":\"10.1038/s41593-025-02007-z\",\"DOIUrl\":null,\"url\":null,\"abstract\":\"Astrocyte specification during development is influenced by both intrinsic and extrinsic factors, but the precise contribution of each remains poorly understood. Here we show that mouse septal astrocytes derived from Nkx2.1- and Zic4-expressing progenitor zones are primarily allocated into the medial septal and lateral septal nuclei, respectively. Astrocytes in these areas exhibit distinctive molecular and morphological features. Using single-nucleus RNA sequencing, we traced the developmental trajectories of cells in the septum and found that neurons and astrocytes undergo region-specific and developmental-stage-specific local cell–cell interactions. Expression of the morphogens sonic hedgehog and fibroblast growth factors by medial septal and lateral septal neurons, respectively, promote the specification of astrocytes in each region. Finally, heterotopic cell transplantation studies showed that septal astrocyte specification depends on the local microenvironment, regardless of developmental origin. Our data highlight the importance of the local environment in determining astrocyte functional specialization. The relative contribution of intrinsic and extrinsic factors to astrocyte heterogeneity is unknown. Using heterotropic transplantation of septal astrocytes with distinct lineage origins, we show that local factors specify their ultimate identities.\",\"PeriodicalId\":19076,\"journal\":{\"name\":\"Nature neuroscience\",\"volume\":\"28 8\",\"pages\":\"1676-1687\"},\"PeriodicalIF\":20.0000,\"publicationDate\":\"2025-07-28\",\"publicationTypes\":\"Journal Article\",\"fieldsOfStudy\":null,\"isOpenAccess\":false,\"openAccessPdf\":\"https://www.nature.comhttps://www.nature.com/articles/s41593-025-02007-z.pdf\",\"citationCount\":\"0\",\"resultStr\":null,\"platform\":\"Semanticscholar\",\"paperid\":null,\"PeriodicalName\":\"Nature neuroscience\",\"FirstCategoryId\":\"3\",\"ListUrlMain\":\"https://www.nature.com/articles/s41593-025-02007-z\",\"RegionNum\":1,\"RegionCategory\":\"医学\",\"ArticlePicture\":[],\"TitleCN\":null,\"AbstractTextCN\":null,\"PMCID\":null,\"EPubDate\":\"\",\"PubModel\":\"\",\"JCR\":\"Q1\",\"JCRName\":\"NEUROSCIENCES\",\"Score\":null,\"Total\":0}","platform":"Semanticscholar","paperid":null,"PeriodicalName":"Nature neuroscience","FirstCategoryId":"3","ListUrlMain":"https://www.nature.com/articles/s41593-025-02007-z","RegionNum":1,"RegionCategory":"医学","ArticlePicture":[],"TitleCN":null,"AbstractTextCN":null,"PMCID":null,"EPubDate":"","PubModel":"","JCR":"Q1","JCRName":"NEUROSCIENCES","Score":null,"Total":0}
引用次数: 0

摘要

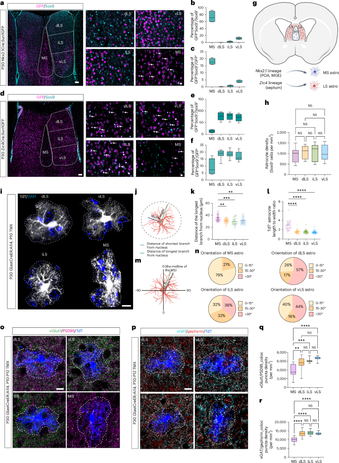
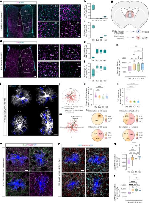
星形胶质细胞在发育过程中受到内在和外在因素的影响,但每种因素的确切作用仍然知之甚少。本研究表明,来自表达Nkx2.1-和zic4祖细胞区的小鼠间隔星形胶质细胞主要分别分布于间隔内侧核和间隔外侧核。这些区域的星形胶质细胞表现出独特的分子和形态特征。利用单核RNA测序,我们追踪了中隔细胞的发育轨迹,发现神经元和星形胶质细胞经历了区域特异性和发育阶段特异性的局部细胞-细胞相互作用。内间隔和外侧间隔神经元分别表达形态因子sonic hedgehog和成纤维细胞生长因子,促进各区域星形胶质细胞的特化。最后,异位细胞移植研究表明,鼻中隔星形胶质细胞规格取决于局部微环境,而与发育起源无关。我们的数据强调了局部环境在决定星形胶质细胞功能特化中的重要性。
本文章由计算机程序翻译,如有差异,请以英文原文为准。

Astrocyte specification in the mouse septum is shaped by both developmental origin and local signals

Astrocyte specification in the mouse septum is shaped by both developmental origin and local signals

Astrocyte specification in the mouse septum is shaped by both developmental origin and local signals
Astrocyte specification during development is influenced by both intrinsic and extrinsic factors, but the precise contribution of each remains poorly understood. Here we show that mouse septal astrocytes derived from Nkx2.1- and Zic4-expressing progenitor zones are primarily allocated into the medial septal and lateral septal nuclei, respectively. Astrocytes in these areas exhibit distinctive molecular and morphological features. Using single-nucleus RNA sequencing, we traced the developmental trajectories of cells in the septum and found that neurons and astrocytes undergo region-specific and developmental-stage-specific local cell–cell interactions. Expression of the morphogens sonic hedgehog and fibroblast growth factors by medial septal and lateral septal neurons, respectively, promote the specification of astrocytes in each region. Finally, heterotopic cell transplantation studies showed that septal astrocyte specification depends on the local microenvironment, regardless of developmental origin. Our data highlight the importance of the local environment in determining astrocyte functional specialization. The relative contribution of intrinsic and extrinsic factors to astrocyte heterogeneity is unknown. Using heterotropic transplantation of septal astrocytes with distinct lineage origins, we show that local factors specify their ultimate identities.
求助全文
通过发布文献求助,成功后即可免费获取论文全文。 去求助
来源期刊
Nature neuroscience
Nature neuroscience 医学-神经科学
CiteScore
38.60
自引率
1.20%
发文量
212
审稿时长
1 months
期刊介绍: Nature Neuroscience, a multidisciplinary journal, publishes papers of the utmost quality and significance across all realms of neuroscience. The editors welcome contributions spanning molecular, cellular, systems, and cognitive neuroscience, along with psychophysics, computational modeling, and nervous system disorders. While no area is off-limits, studies offering fundamental insights into nervous system function receive priority. The journal offers high visibility to both readers and authors, fostering interdisciplinary communication and accessibility to a broad audience. It maintains high standards of copy editing and production, rigorous peer review, rapid publication, and operates independently from academic societies and other vested interests. In addition to primary research, Nature Neuroscience features news and views, reviews, editorials, commentaries, perspectives, book reviews, and correspondence, aiming to serve as the voice of the global neuroscience community.
×
引用
GB/T 7714-2015
复制
MLA
复制
APA
复制
导出至
BibTeX EndNote RefMan NoteFirst NoteExpress
×
提示
您的信息不完整,为了账户安全,请先补充。
现在去补充
×
提示
您因"违规操作"
具体请查看互助需知
我知道了
×
提示
确定
请完成安全验证×
copy
已复制链接
快去分享给好友吧!
我知道了
右上角分享
点击右上角分享
0
联系我们:info@booksci.cn Book学术提供免费学术资源搜索服务,方便国内外学者检索中英文文献。致力于提供最便捷和优质的服务体验。 Copyright © 2023 布克学术 All rights reserved.
京ICP备2023020795号-1
ghs 京公网安备 11010802042870号
Book学术文献互助
Book学术文献互助群
群 号:604180095
Book学术官方微信