锁定肱骨钉周围纵向种植体周围骨干骨折1例。

IF 0.8 Q3 MEDICINE, GENERAL & INTERNAL
Ana Del Potro Jareño, Alfonso González Menocal, Ana Antonia Couceiro Laredo, Laura Conde Ruiz, Daniel López Dorado
{"title":"锁定肱骨钉周围纵向种植体周围骨干骨折1例。","authors":"Ana Del Potro Jareño, Alfonso González Menocal, Ana Antonia Couceiro Laredo, Laura Conde Ruiz, Daniel López Dorado","doi":"10.3390/reports8020089","DOIUrl":null,"url":null,"abstract":"<p><p><b>Background and Clinical Significance</b>: Non-prosthetic peri-implant fractures (NPPIFs) are rare injuries occurring around internal fixation devices, and are distinct from periprosthetic fractures. While most studies focus on the femur, humeral NPPIFs remain poorly documented. This case illustrates a complex humeral NPPIF and highlights key surgical considerations. <b>Case Presentation</b>: A 62-year-old woman presented with a spiral humeral shaft fracture (AO 12B2) after a fall. Following closed reduction and antegrade intramedullary nailing, an intraoperative peri-implant fracture occurred at the distal interlocking screw. CT imaging revealed a complex fracture extending from the lateral condyle to the proximal humerus. Treatment included implant removal and open reduction with dual plate fixation-lateral distal and helically contoured proximal plates-plus cerclage bands and antibiotic-loaded beads. Recovery was uneventful, with a full range of motion achieved at six months. At one year, the DASH score and MEPS were 86 and 75, respectively. <b>Conclusions</b>: Humeral NPPIFs are challenging and require individualized, biomechanically sound strategies. This case reinforces the importance of intraoperative assessment and careful implant selection in humeral fracture management.</p>","PeriodicalId":74664,"journal":{"name":"Reports (MDPI)","volume":"8 2","pages":""},"PeriodicalIF":0.8000,"publicationDate":"2025-06-05","publicationTypes":"Journal Article","fieldsOfStudy":null,"isOpenAccess":false,"openAccessPdf":"https://www.ncbi.nlm.nih.gov/pmc/articles/PMC12196821/pdf/","citationCount":"0","resultStr":"{\"title\":\"A Longitudinal Peri-Implant Diaphyseal Fracture Around a Locked Humeral Nail: A Case Report.\",\"authors\":\"Ana Del Potro Jareño, Alfonso González Menocal, Ana Antonia Couceiro Laredo, Laura Conde Ruiz, Daniel López Dorado\",\"doi\":\"10.3390/reports8020089\",\"DOIUrl\":null,\"url\":null,\"abstract\":\"<p><p><b>Background and Clinical Significance</b>: Non-prosthetic peri-implant fractures (NPPIFs) are rare injuries occurring around internal fixation devices, and are distinct from periprosthetic fractures. While most studies focus on the femur, humeral NPPIFs remain poorly documented. This case illustrates a complex humeral NPPIF and highlights key surgical considerations. <b>Case Presentation</b>: A 62-year-old woman presented with a spiral humeral shaft fracture (AO 12B2) after a fall. Following closed reduction and antegrade intramedullary nailing, an intraoperative peri-implant fracture occurred at the distal interlocking screw. CT imaging revealed a complex fracture extending from the lateral condyle to the proximal humerus. Treatment included implant removal and open reduction with dual plate fixation-lateral distal and helically contoured proximal plates-plus cerclage bands and antibiotic-loaded beads. Recovery was uneventful, with a full range of motion achieved at six months. At one year, the DASH score and MEPS were 86 and 75, respectively. <b>Conclusions</b>: Humeral NPPIFs are challenging and require individualized, biomechanically sound strategies. This case reinforces the importance of intraoperative assessment and careful implant selection in humeral fracture management.</p>\",\"PeriodicalId\":74664,\"journal\":{\"name\":\"Reports (MDPI)\",\"volume\":\"8 2\",\"pages\":\"\"},\"PeriodicalIF\":0.8000,\"publicationDate\":\"2025-06-05\",\"publicationTypes\":\"Journal Article\",\"fieldsOfStudy\":null,\"isOpenAccess\":false,\"openAccessPdf\":\"https://www.ncbi.nlm.nih.gov/pmc/articles/PMC12196821/pdf/\",\"citationCount\":\"0\",\"resultStr\":null,\"platform\":\"Semanticscholar\",\"paperid\":null,\"PeriodicalName\":\"Reports (MDPI)\",\"FirstCategoryId\":\"1085\",\"ListUrlMain\":\"https://doi.org/10.3390/reports8020089\",\"RegionNum\":0,\"RegionCategory\":null,\"ArticlePicture\":[],\"TitleCN\":null,\"AbstractTextCN\":null,\"PMCID\":null,\"EPubDate\":\"\",\"PubModel\":\"\",\"JCR\":\"Q3\",\"JCRName\":\"MEDICINE, GENERAL & INTERNAL\",\"Score\":null,\"Total\":0}","platform":"Semanticscholar","paperid":null,"PeriodicalName":"Reports (MDPI)","FirstCategoryId":"1085","ListUrlMain":"https://doi.org/10.3390/reports8020089","RegionNum":0,"RegionCategory":null,"ArticlePicture":[],"TitleCN":null,"AbstractTextCN":null,"PMCID":null,"EPubDate":"","PubModel":"","JCR":"Q3","JCRName":"MEDICINE, GENERAL & INTERNAL","Score":null,"Total":0}
引用次数: 0

摘要

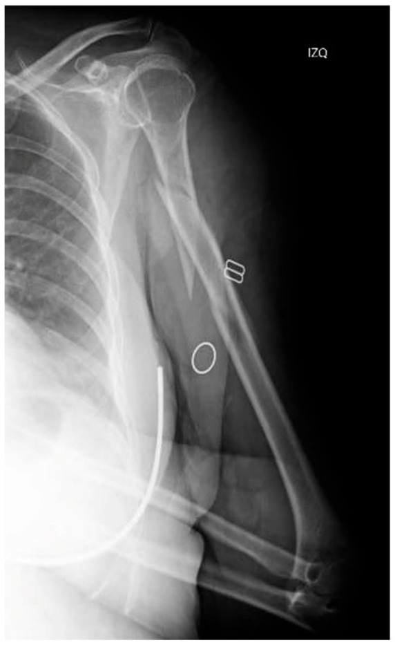
背景和临床意义:非假体种植体周围骨折(NPPIFs)是发生在内固定装置周围的罕见损伤,与假体周围骨折不同。虽然大多数研究集中在股骨,但肱骨nppif的文献记录很少。本病例说明了复杂的肱骨NPPIF,并强调了关键的手术注意事项。病例介绍:一名62岁女性在跌倒后出现螺旋状肱骨轴骨折(ao12b2)。在闭合复位和顺行髓内钉固定后,术中远端联锁螺钉发生种植体周围骨折。CT显示一复杂骨折,从外侧髁延伸至肱骨近端。治疗包括植入物移除和切开复位双钢板固定-外侧远端和螺旋形近端钢板-加上环扎带和载抗生素珠。恢复顺利,6个月时实现了全范围活动。一年后,DASH评分和MEPS分别为86分和75分。结论:肱骨nppif具有挑战性,需要个性化的、生物力学健全的策略。这个病例强调了术中评估和谨慎选择植入物在肱骨骨折治疗中的重要性。
本文章由计算机程序翻译,如有差异,请以英文原文为准。

A Longitudinal Peri-Implant Diaphyseal Fracture Around a Locked Humeral Nail: A Case Report.

A Longitudinal Peri-Implant Diaphyseal Fracture Around a Locked Humeral Nail: A Case Report.

A Longitudinal Peri-Implant Diaphyseal Fracture Around a Locked Humeral Nail: A Case Report.

A Longitudinal Peri-Implant Diaphyseal Fracture Around a Locked Humeral Nail: A Case Report.

Background and Clinical Significance: Non-prosthetic peri-implant fractures (NPPIFs) are rare injuries occurring around internal fixation devices, and are distinct from periprosthetic fractures. While most studies focus on the femur, humeral NPPIFs remain poorly documented. This case illustrates a complex humeral NPPIF and highlights key surgical considerations. Case Presentation: A 62-year-old woman presented with a spiral humeral shaft fracture (AO 12B2) after a fall. Following closed reduction and antegrade intramedullary nailing, an intraoperative peri-implant fracture occurred at the distal interlocking screw. CT imaging revealed a complex fracture extending from the lateral condyle to the proximal humerus. Treatment included implant removal and open reduction with dual plate fixation-lateral distal and helically contoured proximal plates-plus cerclage bands and antibiotic-loaded beads. Recovery was uneventful, with a full range of motion achieved at six months. At one year, the DASH score and MEPS were 86 and 75, respectively. Conclusions: Humeral NPPIFs are challenging and require individualized, biomechanically sound strategies. This case reinforces the importance of intraoperative assessment and careful implant selection in humeral fracture management.

求助全文
通过发布文献求助,成功后即可免费获取论文全文。 去求助
来源期刊
自引率
0.00%
发文量
0
审稿时长
11 weeks
×
引用
GB/T 7714-2015
复制
MLA
复制
APA
复制
导出至
BibTeX EndNote RefMan NoteFirst NoteExpress
×
提示
您的信息不完整,为了账户安全,请先补充。
现在去补充
×
提示
您因"违规操作"
具体请查看互助需知
我知道了
×
提示
确定
请完成安全验证×
copy
已复制链接
快去分享给好友吧!
我知道了
右上角分享
点击右上角分享
0
联系我们:info@booksci.cn Book学术提供免费学术资源搜索服务,方便国内外学者检索中英文文献。致力于提供最便捷和优质的服务体验。 Copyright © 2023 布克学术 All rights reserved.
京ICP备2023020795号-1
ghs 京公网安备 11010802042870号
Book学术文献互助
Book学术文献互助群
群 号:604180095
Book学术官方微信