杜匹单抗治疗难治性皮肤扁平苔藓的疗效:一项基于病例的回顾。

IF 3 Q2 MEDICINE, RESEARCH & EXPERIMENTAL
Cristina Guerriero, Luisa Boeti, Francesco Mastellone, Giulia Coscarella, Gennaro Marco Falco, Gerardo Palmisano, Helena Pelanda, Ketty Peris, Donato Rigante
{"title":"杜匹单抗治疗难治性皮肤扁平苔藓的疗效:一项基于病例的回顾。","authors":"Cristina Guerriero, Luisa Boeti, Francesco Mastellone, Giulia Coscarella, Gennaro Marco Falco, Gerardo Palmisano, Helena Pelanda, Ketty Peris, Donato Rigante","doi":"10.3390/diseases13070225","DOIUrl":null,"url":null,"abstract":"<p><p><i>Background:</i> Cutaneous lichen planus (CLP) is a chronic inflammatory T cell-mediated disease driven by a mixed Th1 and Th2 lymphocyte population, for which many of the currently available treatments have poor efficacy. <i>Aim:</i> The aim of this study was to indicate the clinical success of dupilumab administration after two years of treatment in a case of longstanding CLP and to perform a review of the medical literature related to the use of dupilumab in different dermatologic settings and in CLP. <i>Case presentation:</i> One 26-year-old woman with a previous history of atopic dermatitis had a long-lasting skin condition, referred to as a suspected lichen, which started when she was 7 years old. Her disease exhibited a relapsing-remitting course with severe bouts of pruritus over a very long period. The final histological diagnosis of CLP was confirmed at the age of 26. Starting dupilumab (injected subcutaneously at a dose of 600 mg followed by a maintenance dose of 300 mg every two weeks) resolved the skin scenery of this patient, who is currently in full remission. <i>Conclusions:</i> The remarkable recovery from CLP obtained via treatment with dupilumab in this single-patient case study emphasizes the potential therapeutic implications of targeting the Th2 pathway in this skin disorder.</p>","PeriodicalId":72832,"journal":{"name":"Diseases (Basel, Switzerland)","volume":"13 7","pages":""},"PeriodicalIF":3.0000,"publicationDate":"2025-07-18","publicationTypes":"Journal Article","fieldsOfStudy":null,"isOpenAccess":false,"openAccessPdf":"https://www.ncbi.nlm.nih.gov/pmc/articles/PMC12293882/pdf/","citationCount":"0","resultStr":"{\"title\":\"Efficacy of Dupilumab in a Young Woman with Refractory Cutaneous Lichen Planus: A Case-Based Review.\",\"authors\":\"Cristina Guerriero, Luisa Boeti, Francesco Mastellone, Giulia Coscarella, Gennaro Marco Falco, Gerardo Palmisano, Helena Pelanda, Ketty Peris, Donato Rigante\",\"doi\":\"10.3390/diseases13070225\",\"DOIUrl\":null,\"url\":null,\"abstract\":\"<p><p><i>Background:</i> Cutaneous lichen planus (CLP) is a chronic inflammatory T cell-mediated disease driven by a mixed Th1 and Th2 lymphocyte population, for which many of the currently available treatments have poor efficacy. <i>Aim:</i> The aim of this study was to indicate the clinical success of dupilumab administration after two years of treatment in a case of longstanding CLP and to perform a review of the medical literature related to the use of dupilumab in different dermatologic settings and in CLP. <i>Case presentation:</i> One 26-year-old woman with a previous history of atopic dermatitis had a long-lasting skin condition, referred to as a suspected lichen, which started when she was 7 years old. Her disease exhibited a relapsing-remitting course with severe bouts of pruritus over a very long period. The final histological diagnosis of CLP was confirmed at the age of 26. Starting dupilumab (injected subcutaneously at a dose of 600 mg followed by a maintenance dose of 300 mg every two weeks) resolved the skin scenery of this patient, who is currently in full remission. <i>Conclusions:</i> The remarkable recovery from CLP obtained via treatment with dupilumab in this single-patient case study emphasizes the potential therapeutic implications of targeting the Th2 pathway in this skin disorder.</p>\",\"PeriodicalId\":72832,\"journal\":{\"name\":\"Diseases (Basel, Switzerland)\",\"volume\":\"13 7\",\"pages\":\"\"},\"PeriodicalIF\":3.0000,\"publicationDate\":\"2025-07-18\",\"publicationTypes\":\"Journal Article\",\"fieldsOfStudy\":null,\"isOpenAccess\":false,\"openAccessPdf\":\"https://www.ncbi.nlm.nih.gov/pmc/articles/PMC12293882/pdf/\",\"citationCount\":\"0\",\"resultStr\":null,\"platform\":\"Semanticscholar\",\"paperid\":null,\"PeriodicalName\":\"Diseases (Basel, Switzerland)\",\"FirstCategoryId\":\"1085\",\"ListUrlMain\":\"https://doi.org/10.3390/diseases13070225\",\"RegionNum\":0,\"RegionCategory\":null,\"ArticlePicture\":[],\"TitleCN\":null,\"AbstractTextCN\":null,\"PMCID\":null,\"EPubDate\":\"\",\"PubModel\":\"\",\"JCR\":\"Q2\",\"JCRName\":\"MEDICINE, RESEARCH & EXPERIMENTAL\",\"Score\":null,\"Total\":0}","platform":"Semanticscholar","paperid":null,"PeriodicalName":"Diseases (Basel, Switzerland)","FirstCategoryId":"1085","ListUrlMain":"https://doi.org/10.3390/diseases13070225","RegionNum":0,"RegionCategory":null,"ArticlePicture":[],"TitleCN":null,"AbstractTextCN":null,"PMCID":null,"EPubDate":"","PubModel":"","JCR":"Q2","JCRName":"MEDICINE, RESEARCH & EXPERIMENTAL","Score":null,"Total":0}
引用次数: 0

摘要

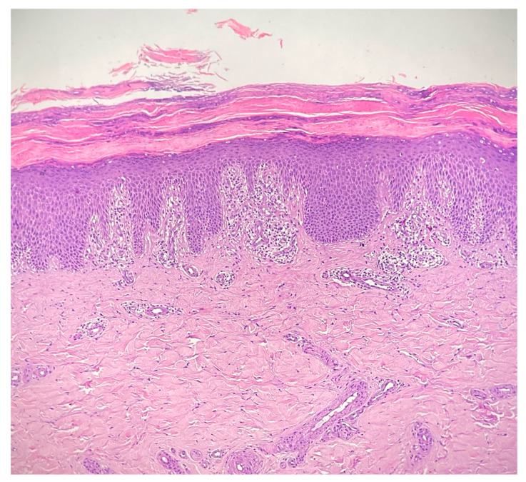
背景:皮肤扁平苔藓(CLP)是一种由Th1和Th2混合淋巴细胞群驱动的慢性炎症性T细胞介导的疾病,目前许多可用的治疗方法疗效不佳。目的:本研究的目的是表明在长期CLP病例中治疗两年后给予dupilumab的临床成功,并对与不同皮肤病和CLP中使用dupilumab相关的医学文献进行回顾。病例介绍:一名既往有特应性皮炎病史的26岁妇女,在她7岁时开始出现一种长期皮肤状况,称为疑似地衣。她的疾病在很长一段时间内表现出反复缓解的过程,伴有严重的瘙痒。最终组织学诊断为CLP是在26岁。开始使用dupilumab(皮下注射剂量为600mg,然后维持剂量为300mg,每两周一次)解决了该患者的皮肤问题,该患者目前处于完全缓解期。结论:在这个单例病例研究中,通过dupilumab治疗CLP获得的显著恢复强调了靶向Th2途径治疗这种皮肤疾病的潜在治疗意义。
本文章由计算机程序翻译,如有差异,请以英文原文为准。

Efficacy of Dupilumab in a Young Woman with Refractory Cutaneous Lichen Planus: A Case-Based Review.

Efficacy of Dupilumab in a Young Woman with Refractory Cutaneous Lichen Planus: A Case-Based Review.

Efficacy of Dupilumab in a Young Woman with Refractory Cutaneous Lichen Planus: A Case-Based Review.

Efficacy of Dupilumab in a Young Woman with Refractory Cutaneous Lichen Planus: A Case-Based Review.

Background: Cutaneous lichen planus (CLP) is a chronic inflammatory T cell-mediated disease driven by a mixed Th1 and Th2 lymphocyte population, for which many of the currently available treatments have poor efficacy. Aim: The aim of this study was to indicate the clinical success of dupilumab administration after two years of treatment in a case of longstanding CLP and to perform a review of the medical literature related to the use of dupilumab in different dermatologic settings and in CLP. Case presentation: One 26-year-old woman with a previous history of atopic dermatitis had a long-lasting skin condition, referred to as a suspected lichen, which started when she was 7 years old. Her disease exhibited a relapsing-remitting course with severe bouts of pruritus over a very long period. The final histological diagnosis of CLP was confirmed at the age of 26. Starting dupilumab (injected subcutaneously at a dose of 600 mg followed by a maintenance dose of 300 mg every two weeks) resolved the skin scenery of this patient, who is currently in full remission. Conclusions: The remarkable recovery from CLP obtained via treatment with dupilumab in this single-patient case study emphasizes the potential therapeutic implications of targeting the Th2 pathway in this skin disorder.

求助全文
通过发布文献求助,成功后即可免费获取论文全文。 去求助
来源期刊
CiteScore
0.80
自引率
0.00%
发文量
0
审稿时长
6 weeks
×
引用
GB/T 7714-2015
复制
MLA
复制
APA
复制
导出至
BibTeX EndNote RefMan NoteFirst NoteExpress
×
提示
您的信息不完整,为了账户安全,请先补充。
现在去补充
×
提示
您因"违规操作"
具体请查看互助需知
我知道了
×
提示
确定
请完成安全验证×
copy
已复制链接
快去分享给好友吧!
我知道了
右上角分享
点击右上角分享
0
联系我们:info@booksci.cn Book学术提供免费学术资源搜索服务,方便国内外学者检索中英文文献。致力于提供最便捷和优质的服务体验。 Copyright © 2023 布克学术 All rights reserved.
京ICP备2023020795号-1
ghs 京公网安备 11010802042870号
Book学术文献互助
Book学术文献互助群
群 号:604180095
Book学术官方微信